英文名称 :liver infarction
肝梗死(hepatic infarction)是肝脏局部组织因血流阻断而引起的坏死,任何引起肝脏血流阻断又未建立有效的侧支循环,使局部肝组织缺血的因素均可导致梗死。临床上肝梗死发生相对少见,由于肝脏有双重血供,肝动脉和门静脉之间存在着不同水平的侧支循环,单纯肝动脉和门静脉栓塞时一般不易发生肝梗死,但短时间内导致门静脉分支栓塞,肝梗死极易发生,因为肝脏血供的70%~80%来自于门静脉。因门脉受累(门静脉高压、血栓或癌栓形成等)致肝脏门静脉灌注减少,同时伴有肝动脉缺血(动脉粥样硬化、血栓或栓塞、肝动脉瘤或动脉炎等)时可发生肝梗死。肝梗死临床主要见于门静脉栓塞、肝脏手术后、肝脏肿瘤、肝脏钝伤、肝脏移植术后,各种肝损伤性药物、妊娠相关性疾病、休克、胆管疾病、麻醉、结节性动脉炎、糖尿病等也可引起。根据梗死发生部位,肝梗死可分为肝叶型、包膜下型、胆管周围型。
本病确诊主要借助腹部增强CT与MRI检查,临床中常选用腹部增强CT,超声检查亦可提示肝梗死,需做进一步检查。肝脏组织病理检查可明确病变部位的病理表现,更有助于本病的诊断。目前对梗死段缺血程度及恢复治疗的研究较缺乏,有待进一步探索发现。
1.CT
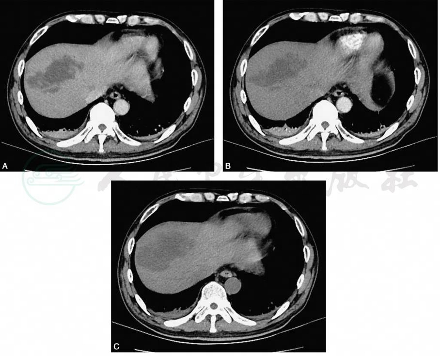
(1)肝叶型
平扫病灶呈扇形、楔形或类圆形的片状低密度影,尖端指向肝门,边缘可较清晰锐利或略模糊,延伸至肝包膜,肝包膜累及的范围较大,部分病灶内可有更低气体密度影;增强后动脉期病灶无强化或边缘有环形或晕状强化,延迟期强化消失,呈等密度(图1)。

图1肝梗死肝叶型
引自:中华影像医学·肝胆胰脾卷.第3版.ISBN:978-7-117-28982-5.主编:
(2)包膜下型
病灶较局限,内缘不规则,外缘为光滑肝包膜的低密度影,呈梭形或新月形,增强后坏死区无强化,而在坏死区周围可显示晕状强化。
(3)胆管周围型
胆管外围分支状低密度影,其走行与受累胆管一致,胆管可扩张积气,胆管周围低密度影边缘较为清晰。
2.MRI
肝叶型梗死病灶均呈楔形,边界清而平直,呈“直边界征”,均沿肝脏边缘分布、尖端指向肝门,其内血管影走行自然,病灶在T1WI呈低信号,在T2WI呈高信号。当梗死面积较大时,MRI均显示病变区域门静脉分支变细、高信号血栓形成,肝门附近蜂窝状血管影,提示侧支循环形成。增强扫描动脉期病灶内多无强化,部分边缘线样强化,但与CT相比,MRI无需增强即可直接观察到肝叶梗死中狭窄或闭塞、走行尚自然的血管影,易与恶性肿瘤等所致的血管推挤及侵犯相鉴别,也易观察到病灶周围侧支循环形成情况、邻近器官的病变等,在肝梗死诊断中有重要价值。
3.超声
超声显示肝脏梗死部位回声均匀性减低,正常肝组织回声可相对增高,两者之间以门静脉矢状部为界,明显分为高、低回声图。正常肝组织内动静脉血流可显示,门静脉矢状部血流正常,梗死灶内动静脉血流均未显示。有时腹腔内可伴有少量积液,积液透声较差,内可见细弱点状回声。二维超声可显示肝脏实质灰阶改变,而彩色多普勒超声可以准确提示肝脏血流灌注情况,从而为临床诊断提供依据。



