少见。多由刀、剪等利器或枪弹异物存留所致,常合并有严重眼睑及眶内穿通损伤、撕裂伤、骨折、眼球和眼肌的损伤。多数致伤物有污染,因此泪腺穿通伤后,特别是有异物存留时,易继发感染,形成化脓性泪腺炎,致泪腺组织严重破坏;异物残留,不但会影响伤口愈合,甚至可有泪腺坏死或眶蜂窝织炎,形成泪腺瘘。
一般很少见有单纯泪腺外伤,多为眼睑外伤、外上方眶缘骨折合并泪腺外伤。泪腺外伤X线平片不能显示。
1.CT表现
泪腺肿胀、轮廓不清、密度增高或不均匀,多伴有局部眼睑肿胀,有时可见碎骨片(图1)。
2.MRI表现
泪腺肿胀,T1WI呈等或高信号,T2WI呈稍高信号(图2),脂肪抑制T2WI呈高信号,信号不均匀。

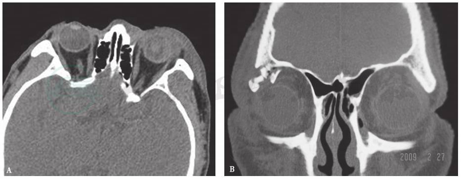
图1眼睑泪腺外伤的CT检查
A.眼眶横轴位软组织窗CT:左侧泪腺体积增大,密度不均;左眼睑软组织影增厚;左眼玻璃体密度增高;B.眼眶冠状位骨窗CT:右眼眶外上方眶缘粉碎性骨折,泪腺区多发骨碎片
引自:张效房眼外伤学.第1版.ISBN:978-7-117-30536-5.主编:

图2左泪腺及眼睑外伤MRI检查
A、B.分别为横轴位、冠状位脂肪抑制T2WI图像:示左侧泪腺体积增大、呈高信号,左眼睑软组织增厚、信号增高一般很少见有单纯泪腺外伤,多为眼睑外伤、外上方眶缘骨折合并泪腺外伤。泪腺外伤X线平片不能显示。
引自:张效房眼外伤学.第1版.ISBN:978-7-117-30536-5.主编:
1.由于泪腺外伤有时伴有眶上缘的骨折及颅脑的损伤,故术前应注意患者的意识是否清楚,颅内有无积血、积气,有无脑脊液漏等,必要时转神经外科进行治疗。
2.泪腺外伤清创术,首先应对伤口进行彻底清创,用生理盐水进行伤口冲洗,清除异物,对坏死的泪腺组织予以切除。并将眶隔缩短加固缝合于眶骨膜,使泪腺被悬吊并复位于它的正常解剖位置。
3.挫伤造成的泪腺脱垂,早期可先用手法复位,然后用绷带加压治疗2周,部分患者可能获得永久性复位。手法复位成功率很低,多数情况下需手术复位,将泪腺缝于骨膜,同时进行眶隔加固。
4.泪腺穿孔及感染者,应积极进行抗感染治疗,形成的瘘管,可手术切除。



