【主诉】
头痛、阵发性右侧肢体抽搐半个月。
【现病史】
患者,女性,40岁,山东人。患者于2006年5月中旬无诱因出现头痛,位于额顶部,呈持续性钝痛,无发热、恶心、呕吐等伴随症状,对症处理效果欠佳。随后患者头痛时偶伴右侧肢体抽搐,持续约数秒钟自行缓解,发作时无意识丧失,每日发作约3~5次,服用中药治疗效果不佳。2006年5月30日在外院行头颅MRI检查示胼胝体膝部及体部可见不规则T1WI低信号T2WI高信号片状影,大小约4.1cm×2.0cm×1.5cm,增强扫描呈轻度强化。来我院神经科就诊。发病后,记忆力减退,精神、饮食良好,睡眠尚可,大小便正常。
【过去史、个人史及家族史】
诊断“糖尿病”1年,余无特殊。
【查体】
体温:36.2℃,脉搏:79次/min,呼吸:18次/min,血压:128/75mmHg。内科系统检查未见异常。神经系统查体:意识清楚,右利手,言语流利,表情自然。计算力、理解力、记忆力、定向力正常。脑神经检查:嗅觉正常,粗测视力、视野正常,双眼底视乳头无水肿、无出血及渗出,双侧瞳孔等大等圆,直径约3mm,对光反射灵敏。双眼球同轴居中,各方向活动可。鼻唇沟对称,示齿口角无歪斜,听力粗侧正常,转颈、耸肩对称有力,伸舌居中,未见舌肌纤颤及萎缩。四肢肌力、肌容量正常,四肢肌张力呈齿轮样增高,四肢痛、温觉、音叉震动觉对称正常;双侧指鼻试验、跟膝胫试验稳准,Romberg(-);腹壁反射减弱;四肢腱反射减弱;双侧Hoffmann征(-),双侧Babinski征(-)、双侧Chaddock征(-);颈部无抵抗,Kernig征(-)。
【辅助检查】
1.血、便常规正常,尿常规:尿糖17mmol/L。
2.血生化 空腹血糖9.9mmol/L,电解质、肝功能、肾功能、心肌酶等正常。
3.乙肝表面抗原、丙肝抗体、艾滋病抗体均阴性。
4.心电图、胸片正常。
5.胃镜结果 食管至十二指肠均有轻度红肿。
6.腰穿检查 6月21日:脑脊液无色清亮,蛋白定性试验(Pandy试验)阴性,初压150mmH2O,双侧压颈、压腹通畅,终压80mmH2O。脑脊液:白细胞: 15×106/L。氯123mmol/ L(119~129),糖11. 6mmol/L(2.4~4.5),蛋白474mg/L(150~450),MBP(髓鞘碱性蛋白) 1. 1nmol/L(正常<0. 55nmol/L)。涂片未查见新型隐球菌、抗酸杆菌。
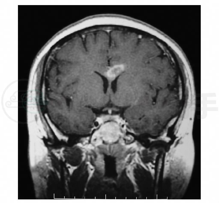
7.头部MRI(2006-5-30)示胼胝体膝部及体部可见不规则T1WI低信号T2WI高信号片状影,大小约4. 1cm×2. 0cm×1. 5cm,增强扫描呈轻度强化(图1~图3)。头颅增强MRI(2006-6-7)示病灶明显强化(图4,图5)。
图1 头颅MRI轴位T2WI示胼胝体膝部及体部不规则高信号影
图2 头颅MRI轴位FLAIR示胝体膝部及体部不规则高信号影
图3 头颅MRI轴位T1WI增强扫描示病灶轻度强化
图4 头颅MRI轴位T1WI增强扫描示病灶轻度强化
图5 头颅MRI冠状位T1WI增强扫描示病灶轻度强化
【诊治经过】
患者入院后于2006-6-7行立体定向胼胝体占位活检术并取病变组织送病理。
【病理结果】
取材部位:胼胝体。
HE染色可见小静脉周围少数炎性细胞浸润,周围髓鞘脱失,胶质细胞增生(图6),白质区疏松脱髓鞘(图7)。LFB染色可见髓鞘显著的大片脱失,血管周围有炎性细胞存在(图8)
病理诊断:炎性脱髓鞘病。
图6 小静脉周围少数炎性细胞浸润,周围髓鞘脱失,胶质细胞增生,HE×200
图7 白质区疏松脱髓鞘,HE×200
图8 髓鞘显著的大片脱失,LFB×200
给予免疫球蛋白治疗,每日10g,应用5天后加用硫唑嘌呤50mg,2次/日。病情好转出院。出院后1年左右随访患者智能恢复正常,脑部病灶基本消失,胼胝体留有极小的T1WI低、T2WI高的异常信号。随访5年病情无复发。



