一般情况
男,26岁,农民,汉族。
主诉
发现心脏杂音20年,反复咯血4年。
病史摘要
患者20年前发现心脏杂音,外院检查提示先天性心脏病,室间隔缺损(嵴下型),7年前测肺动脉压约90mmHg,4年前患者常无明显诱因下出现咯血,最多一次咯鲜血400ml左右,测肺动脉压约128mmHg,住院对症治疗好转后出院,长期口服卡托普利,半月前加用西地那非口服,今日上午再次咯血,收住入院治疗。发病以来患者活动后胸闷、气喘明显,食欲、睡眠良好,大小便正常。
查体
BP 127/80mmHg,神清,颈软,无抵抗,颈静脉无怒张,桶状胸,双肺呼吸音清,无干湿啰音,心率73次/分,律齐,胸骨左缘第3肋间闻及2/6级收缩期杂音,腹软,无压痛、反跳痛,双下肢无水肿。
辅助检查
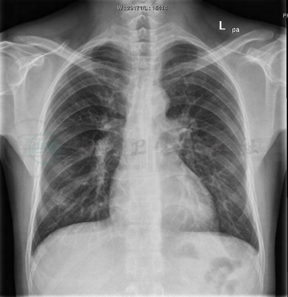
心脏彩超提示右心房46mm,右心室45mm,肺动脉内径33mm,先天性心脏病,室间隔缺损(膜周部),重度肺动脉高压110mmHg,心室水平双向分流,以右向左分流为主。胸片和心电图检查见图1~图3。
图1 入院胸片
心影增大,右下肺感染
图2 心电图
窦性心律,右心室肥厚
图3 治疗后复查胸片
心影较前缩小
初步诊断
先天性心脏病、室间隔缺损、重度肺动脉高压、心功能Ⅱ~Ⅲ级。
入院后予卡托普利25mg,每日3次(后加量为50mg,每日3次),硝苯地平10mg,每日2次(后加量为20mg,每日2次),美托洛尔12.5mg,每日2次(后加量为25mg,每日2次),异山梨酯10mg,每日3次,并予呋塞米、螺内酯利尿,减轻心脏负荷,肺动脉高压者是肺栓塞的高危患者,予华法林抗凝治疗,调整INR在1.8~2.5之间。



