淋巴瘤起源于淋巴结和淋巴组织,是免疫系统的恶性肿瘤,可发生于身体的任何部位,淋巴结、扁桃体、脾及骨髓最易受到累及。无痛性、进行性淋巴结肿大和局部肿块是淋巴瘤特征性的临床表现,可伴有某些器官的受压迫症状。病变侵犯结外组织如扁桃体、鼻咽部、胃肠道、骨骼或皮肤等,可表现为相应组织器官受损的症状,当淋巴瘤浸润骨髓时可形成淋巴瘤细胞白血病。常伴有发热、消瘦、盗汗等全身症状,最后出现恶病质。由于患者病变部位和范围不同,淋巴瘤的临床表现也具有多样性。根据组织病理学特征将淋巴瘤分为霍奇金淋巴瘤和非霍奇金淋巴瘤两大类。
病例介绍
患者男性,75岁,以“腹胀1个月,加重5天”为主诉于2007年7月12日入院。
现病史:患者1个月前开始自觉腹胀,腹围逐渐增加,进食后腹胀加重,无腹痛,无恶心、呕吐,尿量较前减少,24小时约500ml,尿色较深,未诊治。5天前腹胀加重,伴有上腹痛,进食后腹胀明显,伴双下肢水肿,无颜面部水肿,于当地医院检查发现腹水并行腹水穿刺术,化验提示腹水为渗出液,未找到瘤细胞。为进一步诊治入院,患者病来觉乏力,偶尔出现反酸、胃灼热症状,无皮肤瘙痒,无头晕、头痛,无胸闷、胸痛,无发热,晨起偶有咳嗽、咳少量白痰,无呼吸困难,食欲欠佳,睡眠尚可,近2个月体重下降约6kg。
既往史:40余年前行阑尾切除术。否认肝炎、结核、糖尿病、冠心病、高血压等病史。否认药物过敏史。
个人史:饮酒史40余年,日饮白酒100g,未戒酒;吸烟史30余年,日吸烟20支,戒烟8年。
体格检查:体温36.5℃,脉搏96次/分,呼吸18次/分,血压130/80mmHg。神志清楚,查体合作。未见肝掌及蜘蛛痣。浅表淋巴结未触及。眼睑无水肿,巩膜无黄染,睑结膜无苍白。颈静脉无怒张,左肺可闻及散在干啰音,右肺呼吸音弱。心率96次/分,律齐,各瓣膜区未闻及心脏杂音。腹膨隆,可见腹壁静脉显露,腹壁软,无压痛及反跳痛,肝脏肋下约7cm,剑突下约5cm,质韧,脾肋下未触及,移动性浊音阳性。双下肢水肿。
辅助检查:
血常规:白细胞8.9×109/L,中性粒细胞0.7%,红细胞4.9×1012/L,血红蛋白158g/L,血小板355×109/L。
肝功能:总蛋白57.1g/L,清蛋白32.5g/L,谷丙转氨酶346U/L,谷草转氨酶40U/L,总胆红素2.2μmol/L。
肝炎病毒标志物(甲、乙、丙):阴性。
肾功能、血糖及尿常规正常。
肝胆脾彩超:注意弥漫性肝损伤改变;腹腔淋巴结肿大;腹腔积液。
胸片:右侧胸腔积液。
入院诊断:1.腹水待查,酒精性肝硬化?2.肺内感染。
患者有长期饮酒史,出现腹胀、腹水,化验肝功能转氨酶升高、血清清蛋白下降,彩超提示弥漫性肝损伤,考虑酒精性肝硬化可能性大,入院后给予抗炎、保肝、利尿等对症治疗。完善相关化验检查,进一步除外心源性、肾源性腹水及结核、恶性肿瘤所致腹水,结果回报如下:
血乳酸脱氢酶:408U/L。
血清肿瘤标志物:CEA、AFP、CA199、游离及总SA均正常,CA125轻度升高284.7U/ml。
泌尿系彩超:前列腺增生伴钙化,建议PSA检查;腹腔积液。
胸部CT平扫:右肺中叶炎症;右侧胸腔及叶间裂积液,双侧前胸壁局限性胸膜增厚;双肺上叶多发小叶中心型肺气肿;腹腔积液。
心脏彩超:静息状态下心脏收缩功能正常。
PPD试验阴性。
根据上述结果,我们除外了心源性及肾源性腹水,进一步行腹腔穿刺术完善腹水相关化验,明确腹水性质。腹水化验结果回报如下:
常规:李凡他试验阳性,白细胞数1340×106/L,淋巴细胞90%,中性粒细胞10%。
生化:氯化物102.0mmol/L,糖4.08mmol/L,蛋白43.5g/L。
肿瘤标志物:CEA、AFP、CA199均正常,CA125>1000.0U/ml。
乳酸脱氢酶:1667U/L(正常值109~245U/L);腺苷脱氨酶:25U/L。
结核菌培养(噬菌体法)阴性,结核菌涂片未找到抗酸杆菌;腹水培养未见细菌生长。
化验结果提示腹水为渗出液,而肝硬化腹水通常为漏出液,如合并细菌性腹膜炎时可表现为渗出液,腹水化验白细胞数升高,但以中性粒细胞升高为主,与患者化验结果(淋巴细胞升高为主)不相符,此时需注意结核或腹腔恶性肿瘤所致腹水。患者无结核病史,也没有发热、盗汗等结核中毒症状,胸部CT未提示肺结核病变,PPD试验阴性,腹水腺苷脱氨酶正常且结核菌培养阴性,故考虑结核性腹水可能性不大。患者腹水CA125及乳酸脱氢酶显著升高,不除外腹腔恶性肿瘤所致,完善全腹部CT增强扫描。全腹部增强CT及腹水细胞学检查结果如下:
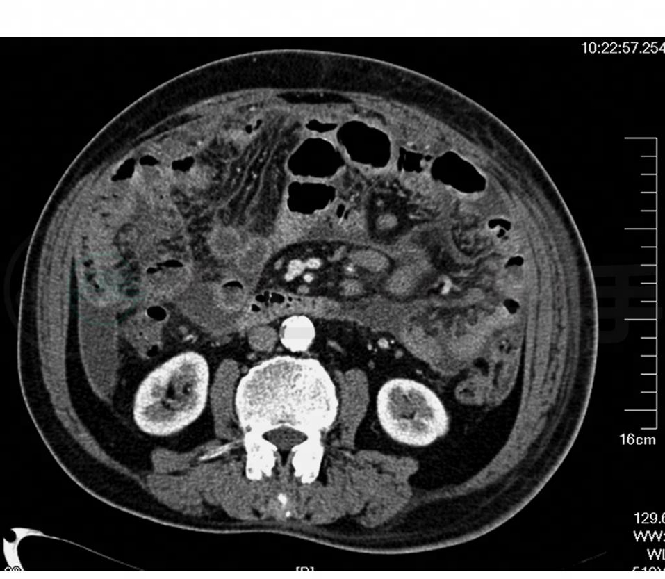
全腹部增强CT:腹腔及右心膈角区多发肿大淋巴结(图1),注意淋巴瘤可能;腹盆腔积液,右侧胸腔积液。
图1 全腹部增强CT
腹膜后及肠系膜血管束周边见多发肿大淋巴结影
腹水细胞学:腹水中见大量散在瘤细胞(图2),核圆、浆少,可疑淋巴瘤或白血病。
复查腹水细胞学:可见大量散在分布的瘤细胞,免疫分型LCA(+)、CK(-)、EMA(-)、Vimentin (-)、MPO(-),考虑非霍奇金恶性淋巴瘤。
图2 腹水细胞学
腹水见大量散在的瘤细胞,核圆、浆少
虽然临床上淋巴瘤以淋巴结肿大及局部肿块为主,或是表现为器官浸润性损伤等改变,而以腹水为主要表现的病例极少见,但是该患者有两次腹水细胞学支持,且腹部CT也提示腹腔及右心膈角区多发肿大淋巴结,注意淋巴瘤,因此,确定诊断:非霍奇金淋巴瘤(B细胞型)Ⅲ期。
患者诊断明确后转入血液科治疗,先后给予OP、CHOP、CTOP方案化疗,患者腹水一度减少并消失,复查CT提示腹腔肿大淋巴结亦消失,但是胸水又逐渐增多,而且纵隔间隙内多组淋巴结较前明显增大,双腋窝出现新发多个小淋巴结。10月22日再次入院化疗,骨髓穿刺提示瘤细胞占5.2%,淋巴瘤发展至Ⅳ期,给予E-CTOP方案化疗。化疗结束17天,患者突然出现胸闷并意识不清,化验提示低血糖,离子紊乱(低钠血症、低氯血症),代谢性酸中毒合并呼吸性碱中毒,并出现脑疝,最终抢救无效死亡。



