梗阻性黄疸是消化科常见疾病,若不及时解除梗阻,引发急性重症胆管炎可危及生命。近年来,内镜下治疗因其创伤小、并发症少、疗效确切、术后恢复快等优点得到广泛应用。行经内镜鼻胆管引流(endoscopic naso biliary drainage,ENBD)、支架置入术可及时解除梗阻,降低胆管压力,引流胆汁,缓解症状,降低并发症的发生率。
病例介绍
患者女性,81岁,以“胆管支架置入术后1年,周身黄染伴发热、腹痛2个月”为主诉入院。
现病史:患者1年前无明显诱因出现皮肤及巩膜黄染,无腹痛,无发热,无恶心呕吐,行PET-CT、CT、经内镜逆行胰胆管造影术(endoscopic retrograde cholangiopancreatography,ERCP)等检查诊断为“胆管癌;梗阻性黄疸”,于我科行胆管金属支架置入术,术后恢复良好出院。2个月前患者再次出现皮肤及巩膜黄染,伴有腹痛,有发热,无恶心呕吐,现为进一步诊治,收入我科。患者现发热,体温38.0℃左右,偶有腹痛,无腹胀,无恶心呕吐,无呕血黑便,精神欠佳,食欲尚可,睡眠欠佳,小便赤黄,大便呈白陶土样,体重无明显变化。
既往史:2型糖尿病病史3年,否认高血压、冠心病病史,否认肝炎、结核等传染病史,否认输血史。
体格检查:体温38.3℃,脉搏92次/分,呼吸18次/分,血压125/65mmHg。神清语明,全身浅表淋巴结未触及肿大,周身皮肤见黄染,无皮疹及出血点,无肝掌、蜘蛛痣。眼睑无水肿,结膜无苍白,巩膜黄染。腹部平坦,腹软,上腹有压痛,无反跳痛及肌紧张,肝脾肋下未及,Murphy征阴性,肝肾区无叩痛,移动性浊音阴性,肠鸣音5次/分。双下肢无水肿。
辅助检查:
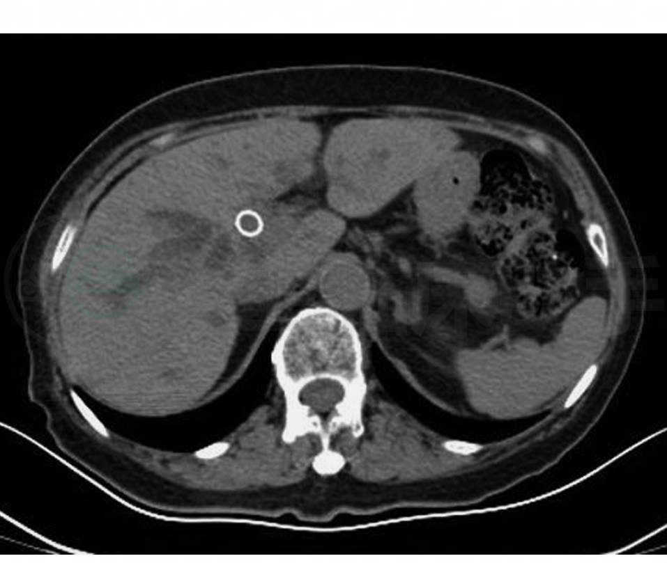
上腹CT平扫(图1):符合胆道支架置入术后改变;肝门部胆道梗阻,考虑胆管癌累及肝门胆管汇合部,胆囊管受累可能性大。
图1 上腹部CT
胆道支架置入术后,肝门部胆道梗阻
血常规:白细胞10.7×109/L,血红蛋白95g/L,中性粒细胞85.2%。
肝功能:总胆红素289.8μmol/L,直接胆红素224.6μmol/L,间接胆红素65.2μmol/L。
空腹血糖:11.89mmol/L。
入院诊断:1.梗阻性黄疸;2.胆道支架置入术后;3.胆管癌;4. 2型糖尿病。
考虑患者再次出现梗阻性黄疸为胆汁引流不畅所致,入院后完善相关化验与检查,未见绝对禁忌证,行十二指肠镜检查,插管成功后回抽胆汁为白胆汁,考虑患者感染较重,未行造影及支架置入术,暂留置鼻胆管进行引流。1周后患者总胆红素降至188.2μmol/L,一般状态平稳,引流胆汁为黄绿色,行ERCP造影见原左肝管-肝总管-胆总管支架内管腔狭窄,左肝管显影,少量造影剂弥散至右肝,沿导丝置入10mm×80mm金属支架一枚至左肝,上下两端跨越狭窄段,回抽可见黄绿色胆汁,支架内留置鼻胆管。术后予禁食水,抗感染、抑酸、抑制胰酶分泌、补液等对症治疗,术后第2日复查总胆红素为140μmol/L,无发热、腹痛等不适主诉,拔除鼻胆管,进半流食,术后第4日患者出院。



