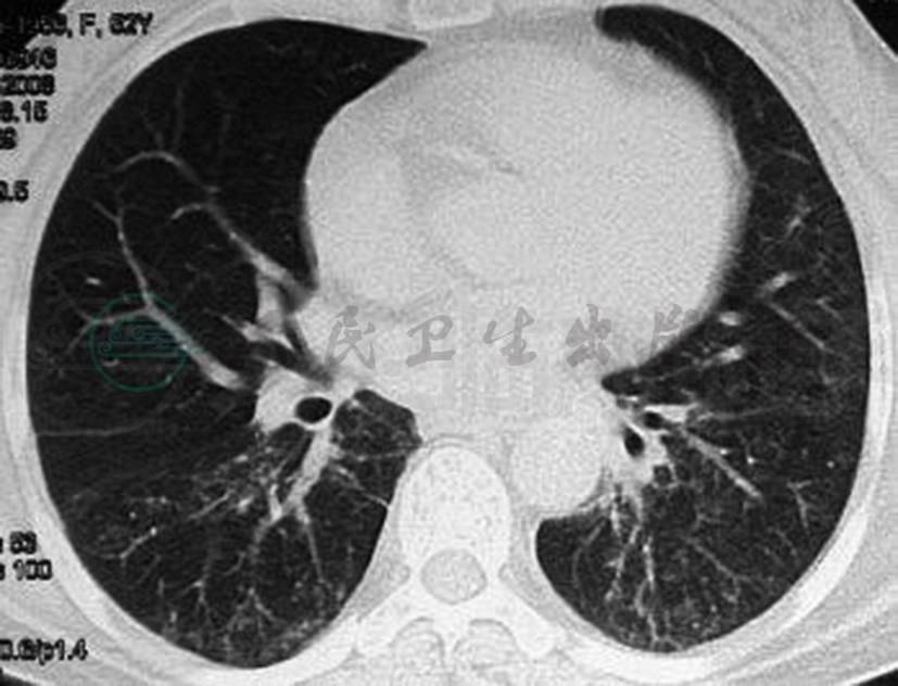
患者,女性,51岁,因“气促2个月,发热1个月,咳嗽、咳痰1周”于2008年2月15日入院。患者2个月前受凉后出现咽痛,无畏寒发热、咳嗽、咳痰等不适,自服感冒药后稍缓解,4天后感气促,活动后加重,在当地多家医院及诊所间断对症治疗,气促加重,遂于2008年1月5日至1月13日在当地市中心医院住院治疗。在住院期间出现下午发热,体温最高达37.5℃,查肺部CT(图1)示双肺多发渗出病变,先后予“头孢他啶,依诺沙星”,“头孢噻肟,克林霉素,氨曲南,亚胺培南”抗感染,患者症状逐渐加重。于1月13日转入某教学医院住院治疗,查血白细胞、血沉升高,动脉血气分析示Ⅰ型呼吸衰竭,诊断考虑:社区获得性肺炎、肺结核待查,入院后予“阿奇霉素,帕珠沙星”抗感染,并予“异烟肼,利福平,吡嗪酰胺,乙胺丁醇”抗结核治疗。治疗1周后复查肺部CT示病变无明显好转,考虑“病毒性肺炎”,遂停抗结核治疗,加用“病毒唑(利巴韦林)”抗病毒,“甲泼尼松”抗炎,无创辅助呼吸机辅助呼吸。患者发热好转,但仍感活动后气促。并于2月5日改用“替考拉宁”抗感染,“氟康唑”抗真菌治疗,症状仍无好转。1周前出现咳嗽、咳痰,咳白色黏稠痰,遂转入我院我科治疗。患者起病以来体重下降约5kg。既往史、个人史无特殊。
图1 肺CT(2008-01-09)
入院查体
T 37.3℃,P 108次/分,R 22次/分,BP 150/100mmHg,SpO2 94%。神志清楚,全身浅表淋巴结未及肿大。唇无发绀,咽稍红,未见颈静脉充盈。胸廓对称无畸形,呼吸运动稍快,双侧语颤增强,双肺呼吸音粗,可闻及较多湿性啰音。心脏、腹部查体无明显异常(-)。
辅助检查
血常规WBC 9.7×109/L,N 85.9%↑;动脉血气(2008年2月20日)pH 7.515,PCO2 25.90mmHg↓,PO2 53.80mmHg↓;可提取性核抗原(ENA)14项示Ro-52(+++);免疫球蛋白IgG 7.07g/L↓;补体C3 0.69g/L↓,C4 0.48mg/L↑。肝肾功能ALB 31.8g/L;血沉44mm/h;C反应蛋白134.00mg/L↑;结核全套、病毒全套、抗核抗体(ANA)组、类风湿因子、抗链“O”均(-)。肺部CT(图2):①双肺多发渗出性病变,考虑感染性病变。②双侧少量胸腔积液。
图2 肺CT(2008-02-18)
1.诊治经过
入院后,患者仍有发热,血象升高,肺部CT示渗出病变,考虑存在感染,因患者在外院长疗程多种抗生素抗感染无效,予以头孢匹胺、左氧氟沙星抗感染兼抗非典型病原菌,无创呼吸机辅助通气,患者病情无明显好转,呼吸衰竭加重,多次查找病原菌无果,考虑可能耐药菌感染,改为亚胺培南及替考拉宁加强抗感染。患者发热、咳痰好转,但仍有明显气促,肺部病变无明显好转。内科大会诊后考虑肺泡蛋白沉积症可能,予以床旁支气管镜下行肺泡灌洗及左下肺活检。肺泡灌洗液稍混,未见牛奶状物质沉积,涂片病理细胞学未见恶性肿瘤细胞,较多间皮细胞。病理组织学结果:多个肺泡内有红染无结构蛋白样物质,伴间质性炎症,未见真菌和肿瘤,PAS染色阳性(因肺泡腔内见红染渗出物质,故不能排除肺泡蛋白沉着症可能)。予以糖皮质激素及支气管镜下局部肺泡灌洗,但呼吸困难无改善,于2008年3月11日再次行肺组织病理活检,结果:淋巴细胞浸润,仅见一个新生的纤维母细胞灶,所有病变的肺泡腔内未见蛋白质沉积,组织改变为肺间质性肺炎(NSIP)。特殊染色:六胺银(-),抗酸(-),AB(-),Masson(+),灌洗液PAS染色(+)。依据病理诊断为“肺间质性肺炎、非特异性间质性肺炎”,先后予甲强龙、美卓乐治疗,呼吸困难明显好转,于3月28日出院。2008年4月24日来我院复查CT示两肺感染病灶较前明显吸收、减少(图3)。
图3 肺CT(2008-04-24)
2.最后诊断
特发性肺间质性肺炎(IIP)、非特异性间质性肺炎。



