病史摘要一
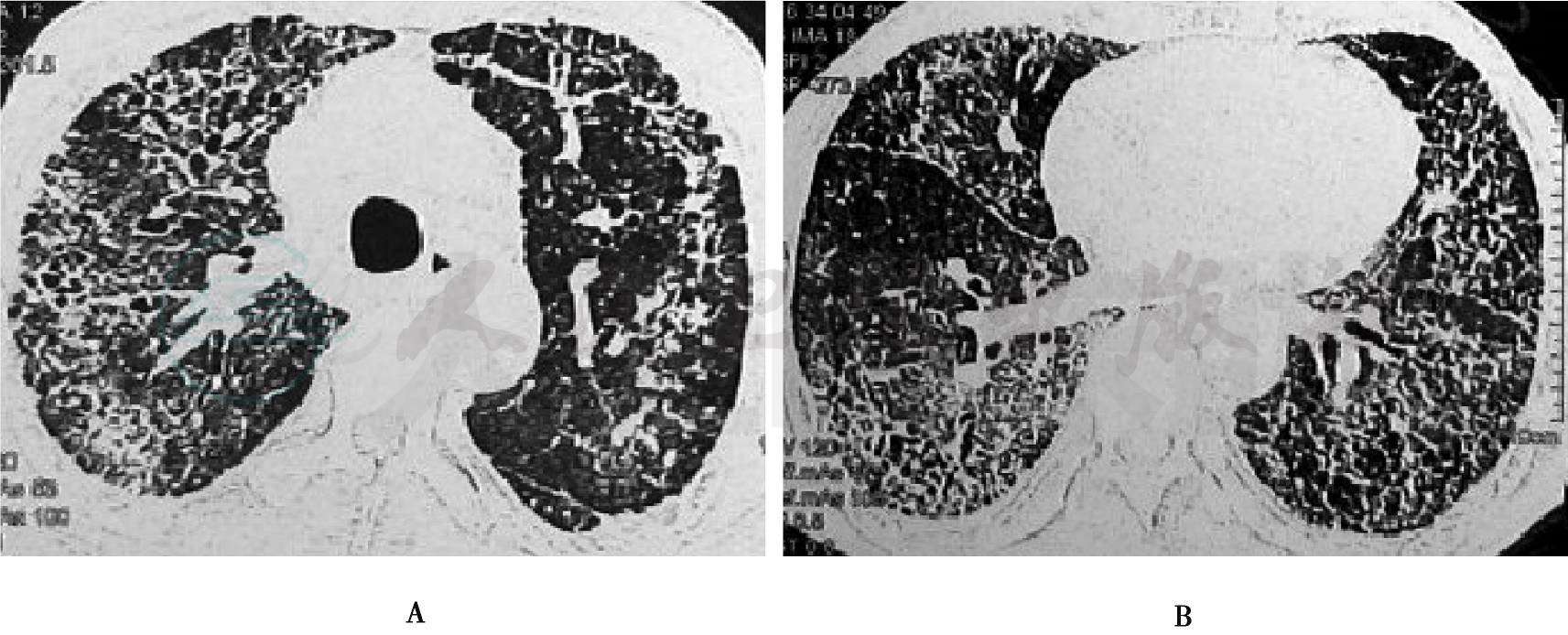
患者,男性,59岁,农民,主因“咳嗽咳痰,活动后气促3个月余”于2009年3月16日第一次收住我科,入院后查血清抗核抗体(ANA)(+,1∶20,均质型);抗中性粒细胞胞浆抗体(ANCA)(+,胞浆型);血管炎三项:抗髓过氧化物抗体(MPO)(+),抗蛋白酶3抗体(PR3)、抗基底膜抗体(GBM)均阴性。肺部CT(图1)示双肺呈蜂窝状、网格状改变并感染,双侧胸膜增厚及粘连。经纤支镜下肺活检示肺间质纤维化,肺泡壁增厚,轻度慢性炎症,未见血管炎病变,抗酸及PAS染色阴性,未见血管炎改变。结合临床最后诊断为特发性肺纤维化合并感染。予以左氧氟沙星抗感染控制感染后,予泼尼松30mg/d口服,患者病情好转。出院后,患者坚持口服泼尼松30mg/d,2个月;20mg/d,1个月;15mg/d,1年。2009年7月8日复查肺部CT(图2)较前无明显好转。2010年7月患者自觉症状改善停用泼尼松。患者因受凉、劳累后出现咳嗽咳痰,活动后气促,间断发热,于2010年10月11日第二次收住我科。起病后,患者精神、食纳较差,二便正常。既往史无特殊,其弟弟2009年也因气促,经肺CT诊断为双肺间质病变。
图1 肺CT(2009-02-20)
图2 肺CT(2009-07-08)
入院查体
T 37.2℃,P 89次/分,R 24次/分,BP 114/58mmHg。唇稍发绀,双肺呼吸音稍粗,右中下肺可闻及散在湿啰音,双肺可闻及Velcro湿啰音。心率89次/分,律齐,无杂音。关节无红肿,无杵状指。
辅助检查
血常规WBC 12.1×109/L↑,N 75.0%,Hb 129g/L,PLT 406×109/L↑;血气分析PO267mmHg↓;肝功能ALB 32.4g/L↓;空腹血糖:8.25mmol/L↑;血沉102mm/h↑。大小便常规、肾功能、可提取性核抗原(ENA)14项、抗核抗体(ANA)组、血管炎三项均(-)。肺功能FVC 2.86L,FEV1%预计值91%,FEV1/FVC90%,通气功能基本正常;弥散功能中度损害。
病史摘要二
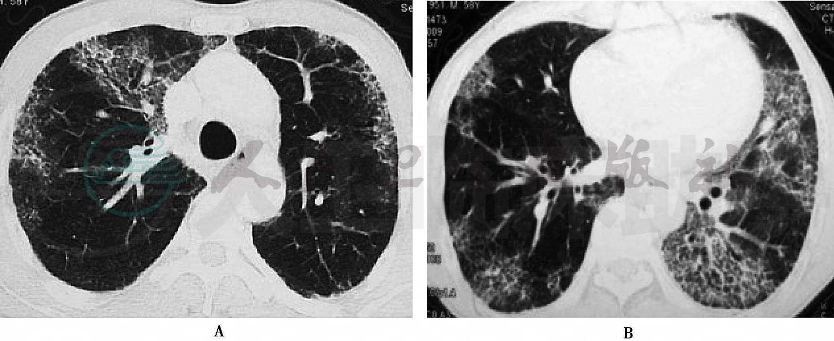
患者,男性,50岁,司机,系病例1患者的弟弟。主因“咳嗽,胸闷气促3年,加重伴发热6天”于2012年4月19日收住我科。患者3年前,无明显诱因出现阵发性咳嗽,痰少,干咳为主,活动后胸闷,无胸痛、发热等。2009年曾在我院门诊就诊,诊断为“双肺间质性肺炎”,但患者未予重视及规范治疗。上述症状逐渐加重。2011年7月13日在我院门诊就诊,行肺部CT(图3)示双肺间质病变,寻常型间质性肺炎(UIP)可能性大,诊断为“特发性肺纤维化”,予以口服泼尼松30mg/d,1个月后症状无明显改善,患者自行停药。2012年1月,患者到广州就诊后,再次服用泼尼松30mg/d,1个月。入院前6天,患者受凉后,咳嗽咳痰、胸闷较前明显加重,咳较多白色黏液痰,痰中偶有少量血丝。轻微活动后即感明显气促。伴发热,体温波动在37.5℃左右,并停用激素治疗。无胸痛、脱发畏光、关节肿痛等。患者自起病来,精神、睡眠差,饮食尚可,二便正常。既往史:10年前患有肺结核,已治愈,余无特殊。个人史:吸烟20年、40支/天,饮酒20年、白酒1斤/天,烟酒已戒3年。
图3 肺CT(2011-07-11)
入院查体
T 38.2℃,P 127次/分,R 44次/分,BP 148/100mmHg,SpO284%。急性面容,精神差。双肺呼吸音粗,双下肺可闻及Velcro啰音,左肺明显。心率127次/分,律齐,各瓣膜区未闻及病理性杂音。关节无红肿,无杵状指。
辅助检查
血常规WBC 15.3×109/L↑,N 84.0%↑,Hb 147g/L,PLT 240×109/L;尿常规示尿蛋白121mg/L↑;肝肾功能ALT 69.6U/L↑,BUN 7.7mmol/L↑,CREA 101.5μmol/L↑;血沉24mm/h↑;C反应蛋白19.5mg/L↑;血气分析pH 7.41,PO2 38mmHg↓;大便常规、可提取性核抗原(ENA)14项、抗核抗体(ANA)组、肿瘤标志物、真菌全套均(-);血管炎三项示抗MPO抗体弱阳性(后复查阴性)。多次痰培养及痰抗酸染色均(-)。
肺部CT(图4):双肺弥漫性斑片状影,间质性肺炎改变,双上肺肺大疱,纵隔内及双肺门多发淋巴结肿大,双侧胸膜增厚粘连。
图4 肺CT(2012-04-20)
一、诊疗经过
患者2009年3月第一次在我科住院时,门诊肺部高分辨CT示双肺呈蜂窝状、网格状改变;无药物及职业相关病史;入院后予查自身免疫性疾病相关抗体,示ANCA阳性;为排除血管炎等结缔组织疾病,进一步行支气管镜下肺病理活检,病检结果示肺间质病变,未见血管炎改变。最后结合临床,诊断为特发性肺纤维化。予以抗感染及激素治疗后,患者病情稳定,出院后继续坚持服用激素治疗。于2010年7月在当地复查肺部CT示病变明显吸收后停用激素。此次为受凉后复发,并出现新发咳嗽咳痰,发热等急性症状,血象升高,结合入院后床旁胸片考虑双肺间质病变合并感染,予以N-乙酰半胱氨酸抗纤维化,哌拉西林/他唑巴坦4.5g每8小时一次抗感染治疗,并于10月14日起予以甲泼尼龙40mg/d静滴治疗原发病,同时考虑患者长期使用激素,感染高危宿主,不排除卡氏肺孢子虫感染,予复方磺胺甲𫫇唑片1.0g每日3次治疗8天后,患者病情较前无明显改善,复查床旁胸片示肺部原发病变较前扩大,遂于10月19日改为亚胺培南0.5g每6小时1次、甲泼尼龙120mg静滴加强抗炎。患者症状逐渐好转,10月20日复查肺部CT(图5)示小叶间隔增厚呈网格状、磨玻璃样改变,内夹粟粒样小结节及斑片状影,以肺外围及胸膜下明显,双肺弥漫性间质性病变,与患者前片比较肺部感染较前有吸收,但双肺间质病变较前加重。10月28日因家有急事要求签字出院,遂带药出院。患者出院后1天病情加重,在当地医院因呼吸衰竭抢救无效死亡。
图5 肺CT(2010-10-20)
二、治疗过程
1.诊治经过
入院后查看患者既往肺部高分辨CT(HRCT),符合UIP,间断服用激素,效果不佳,症状逐渐加重,追问病史,无药物、职业、结缔组织相关病史,结缔组织疾病相关抗体检查阴性,UIP诊断明确。因一个家族两个患者相继发病,诊断为“家族性特发性肺纤维化”。此次受凉后,原发症状加重,咳痰多,发热,血象升高,复查肺部CT(图5)示新发渗出病变,考虑原发病合并社区获得性肺炎。入院后予以无创呼吸机辅助呼吸,美洛西林/舒巴坦2.5g每8小时一次、阿奇霉素0.5g每天一次抗感染,N-乙酰半胱氨酸抗纤维化治疗5天后,患者病情无明显好转,体温较前升高,考虑感染未控制,改为美罗培南1.0g每8小时一次、替考拉宁0.4g每天一次抗感染,考虑肺间质病变患者,有长期使用激素病史,为感染高危者,易合并真菌感染,同时予以伊曲康唑0.25g每天一次抗真菌治疗,体温较前稍有下降,但气促症状明显,遂于5月2日起予以甲泼尼龙80mg静滴抗炎治疗。上述症状无明显改善,患者家属于5月12日要求签字出院。
2.最后诊断
(1)家族性特发性肺纤维化;
(2)社区获得性肺炎。



