病情介绍
患者,女性,52岁,因“发热20余天,加重并出现呼吸困难1周”于2007年10月12日入院。患者于9月22日无明显诱因出现发热,体温38.5~39.2℃,自觉乏力、胸闷、头痛、头晕,纳差。自行服“阿莫西林、复方磺胺甲𫫇唑”等药物治疗无效。其后逐渐出现胸闷、咳嗽、气短。咳嗽较剧烈,以干咳为主,无咯血及脓痰。发病以来无明显盗汗,体温升高时有轻微关节疼痛,发热时面部有潮红,但未出现过皮疹。2周后体温进一步升高至39.5℃以上,予氨苄西林、利巴韦林等药治疗,效果不好。查血WBC 1.9×109/L,RBC 5.01×1012/L,Hb 140g/L,PLT 38×109/L。5天后体温进一步升高至40℃,胸X线示:双肺纹理增多,且出现呼吸困难(图1)。
图1 胸片(10月6日)示双肺纹理增多,双下肺密度轻度增高
入院查体
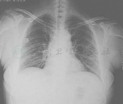
一般状况差,呼吸急促,32次/分,发热面容,口唇轻度发绀,皮肤及巩膜轻度黄染,未见皮肤出血点及皮疹,浅表淋巴结未触及肿大。咽部充血,双侧扁桃体轻度肿大,表面有脓苔。颈部略有抵抗,双肺叩诊呈清音,呼吸音粗,可闻及散在湿啰音,无胸膜摩擦音。心律齐、心率102次/分,心音正常,各瓣膜区未闻及病理性杂音。腹平软,无压痛,肝脏肋下可及,无明显触痛,脾脏未触及。实验室检查:血常规:WBC 2.0×109/L,RBC 4.59×1012/L,Hb 131g/L,PLT 48×109/L;肝功能:ALT 105U/L,AST 125U/L,TBIL 47.5μmol/L,DBIL 35.8μmol/L,LDH 820U/L;肾功能正常;HIV抗体阴性,肥大反应阴性;动脉血气分析:pH 7.38,PaO2 6.93kPa,PaCO2 4.27kPa,SaO2 85%,氧合指数172。胸部CT平扫显示双肺磨玻璃影及条索状影(图2)。
图2 胸CT(10月12日)示双肺弥漫的磨玻璃影及条索状影
骨髓涂片检查提示为“感染性骨髓象”。心电图检查正常。入院诊断:骨髓增生异常综合征?肺部感染。给予哌拉西林/他唑巴坦抗感染治疗,同时予无创呼吸机辅助通气。其间体温仍持续39~40℃之间,解热镇痛药效果不明显,地塞米松5mg仅可维持体温在38℃以下20小时左右,连续使用5天停用。痰细菌学培养阴性,有白色念珠菌生长,痰抗酸染色阴性。4天后扁桃体脓苔消失,但发热仍持续,呼吸困难进一步加重,吸氧浓度60%时血氧饱和度监测82%,PaO2 5.60kPa,PaCO2 4.80kPa。10月19日复查胸部CT检查,肺部病变明显加重,双肺浸润性阴影扩展至全肺,双上肺大片高密度实变影及融合斑片影,双下肺呈弥漫性分布浸润影,伴有少量胸腔积液(图3)。一般状况进一步恶化,出现全身水肿,巩膜黄染;口唇发绀,呼吸频率40次/分,双肺可闻及散在喘鸣音及湿啰音;心率120次/分。动脉血气分析检查:pH 7.36,PaO2 4.80kPa,PaCO2 4.00kPa,氧合指数72。血白细胞数降至1.6×109/L。
转入呼吸监护病房,给予无创呼吸支持,氧流量>10L/min,SaO2可维持在80%左右,家属拒绝有创呼吸支持。此时根据病情发展和肺部阴影迅速扩大,考虑可能为肺间质性肺炎,不排除禽流感,送检痰及血标本进行鉴定。同时给予大剂量甲泼尼龙(120mg/12h)静注。后痰培养出肠杆菌,嗜麦芽窄食假单胞菌及烟曲霉。血培养阴性。即加强抗感染,先后给予亚胺培南/西司他丁、头孢匹胺、复方磺胺甲𫫇唑、粒细胞集落刺激因子等治疗。体温下降至38.5℃,呼吸困难仍持续,复查WBC 1.5×109/L,RBC 4.3×/1012 /L,PLT 32×109/L,N 73%。再次痰培养2次检出烟曲霉(图4),即给予卡泊芬净治疗,1周后体温明显下降至37.5~38℃,但呼吸困难和氧合改善不明显。
图3 胸部CT(10月19日)示双弥漫性密度增高影较前加重
图4 痰培养有烟曲霉生长
由于诊断仍不清楚,考虑白细胞降低与病情发展相关,为排除血液病,于10月29日行骨髓活检术。结果:骨髓病理学检查见粒系增生活跃,骨髓中可见典型多核巨细胞、结核结节(图5),抗酸染色发现多数抗酸杆菌。复阅第一次骨髓穿刺片,也可见到抗酸杆菌。
图5 骨髓活检:骨髓中可见典型多核巨细胞,结核结节(HEX200)
最终诊断
全身血行播散型结核。
重要提示
1.本例患者起病急,进展迅猛,病情极危重,迅速发展为重度Ⅰ型呼吸衰竭并多器官功能损害;
2.临床发热呈持续高热,抗生素治疗无效,激素可降低体温;
3.血白细胞减少,血小板减少,且持续时间较长,但红细胞及血红蛋白正常。骨髓表现为感染骨髓象;
4.肺部病变先为纹理增粗,条索状改变,继之为间质性变化,进行性加重,形成大片浸润和实变,双肺均衡受累,双上肺明显。抗感染、抗病毒、抗曲霉及激素治疗无效,病变迅速扩散;
5.痰培养有肠杆菌,嗜麦芽窄食假单孢菌和曲菌,但痰涂片未检出抗酸杆菌,抗感染治疗细菌清除,但临床表现加重;
6.骨髓活检证实骨髓内结核结节,骨髓片中查出抗酸杆菌,确立诊断历时1个月余;抗结核、激素治疗病情很快得到控制,最终肺部病变吸收完全,未遗留纤维和空洞病灶。
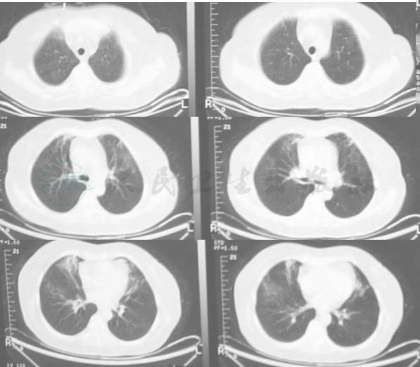
停用所有抗生素及抗真菌药。给予利福平、异烟肼与左氧氟沙星静脉注射,口服吡嗪酰胺,甲泼尼龙80mg/d,连续5天,后减至40mg/d。呼吸机辅助通气支持治疗。一周后体温下降至37.5℃左右,呼吸困难改善,动脉血气分析pH 7.36,PaO2 6.80kPa,PaCO2 4.53kPa。4周后心慌气短明显减轻,体温波动于37℃以下,全身症状好转。化验检查:WBC 5.4×109/L,N 72%,RBC 4.6×1012/L,PLT 123×109/L。动脉血气分析:pH 7.42,PaO2 63mmHg,PaCO2 38mmHg,肝肾功能正常。撤除呼吸支持治疗,可下床活动,继续抗结核治疗。复查胸片及CT见双肺病灶基本吸收(图6,7),出院继续口服抗结核治疗。2个月后随访胸片恢复正常。
图6 胸片(11月13日)示双肺病变吸收
图7 胸部CT(11月29日)示双肺病变基本吸收
1.崔秀琴,肖志坚,韩伟.120例老年血行播散性肺结核临床分析.中国防痨杂志,2006,03:2
2.祝斌.老年血行播散型肺结核病37例误诊.临床肺科杂志,2003,04:34
3.Tanaka D,Hadad S,Barletti S,et al.Calore Bone marrow biopsy in the diagnoses of infectious and non-infectious causes in patients with advanced HIV infection . Journal of Infection,2007,54:362-366
4.范妙仪,易群.老年骨髓结核的诊断和治疗.华西医学,2007:86
5.刘守智,陈文彬.骨髓结核的诊断和治疗. 中华结核和呼吸杂志,1998,21
6.朱琦.双水平正压通气呼吸机治疗肺结核并呼吸衰竭的疗效观察.中国防痨杂志,2006,03:34



