(一)病例信息
【病史】
男性患者,49岁,因“咳嗽、胸痛、咯血10余天,发热、气喘1周”入院。患者于10余天前无明显诱因开始出现咳嗽、胸痛(为持续性牵拉痛,以左侧为甚,无放射痛,与呼吸无明显关联)伴咯血(以痰中带血丝为主),无恶心、呕吐、气喘,在当地医院进行对症治疗(具体不详),但症状无明显好转。1周前,患者开始出现发热,初为低热(最高体温37.8℃),伴活动后气喘,体力明显下降,无腹胀、腹泻、全身皮疹、头晕、头痛等,于县医院住院,诊断为“支气管扩张合并咯血”。经止血、抗感染及对症治疗后,患者胸痛症状稍好转,但咯血量较前增多,活动后气喘较前加重,且体温达39.8℃,遂转我院进一步诊治。起病以来,患者精神、饮食、睡眠一般,大小便尚可,体力、体重下降。
患者既往有慢性胆囊炎病史,否认高血压、糖尿病、冠心病、肝炎、结核等病史,无手术、外伤史,否认食物、药物过敏史。
【体格检查】
体温38.8℃,心率117次/分,呼吸20次/分,血压110/80mmHg,SpO292%(未吸氧)。神志清楚,颈软,口唇无发绀,锁骨上淋巴结未触及肿大;双肺呼吸音粗糙,右下肺可闻及湿啰音;心律齐;腹部平软,无压痛及反跳痛;双肾区无叩痛;双下肢不肿,生理反射存在,病理征阴性。
【影像学检查】
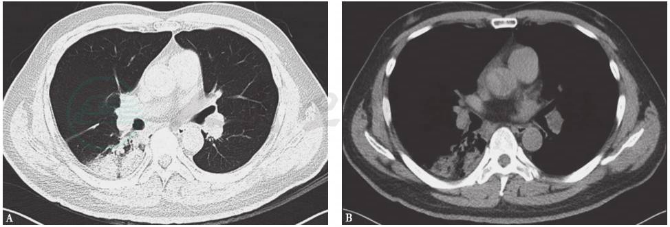
胸部CT(入院前1周,当地县医院):双下肺部分支气管轻度扩张并感染,并见右下肺索条影,双侧少量胸腔积液(图1)。
图1 胸部CT表现(入院前1周,当地县医院)
胸部CT显示双下肺部分支气管轻度扩张并感染,并见右下肺索条影(A),双侧少量胸腔积液(B)
引自:主编:.呼吸系统疑难病例诊疗辨析.第1版.ISBN:978-7-117-26415-0
(二)临床思辨
【临床特点】
1.患者为中年男性,急性起病。
2.主要症状为咳嗽、胸痛、咯血10余天,发热、气喘1周。
3.体温38.8℃,心率117次/分,SpO2 92%(未吸氧);双肺呼吸音粗糙,右下肺可闻及湿啰音。
4.胸部CT显示双下肺部分支气管轻度扩张并感染,双侧少量胸腔积液。
5.抗感染、止血治疗效果不佳。
【思辨要点】
本例患者出现的咳嗽、胸痛、咯血均为呼吸系统疾病常见症状,需要结合病史、辅助检查结果等进行鉴别诊断。其中,咳嗽并无特异性,多种疾病均可出现;胸痛常见于胸膜炎、肺栓塞、肺癌;咯血常见于支气管扩张症、肺结核、肺血管疾病、肺癌、真菌感染等。因此,对于本病例,目前应重点分析以下疾病可能。
肺结核:病变部位多分布于肺尖和下叶背段,可见浸润渗出、纤维硬结和空洞坏死性病灶,但咯血多见于未经治疗病程较长的结核病患者,也常见于结核病灶好转后继发支气管扩张者。本例患者支气管扩张病变位于下肺,也未见相应结核样病灶,故可排除结核可能。
支气管肺癌:痰中带血是中心性支气管肺癌的常见症状之一,胸部CT可见气道内占位病变、阻塞性肺不张或阻塞性肺炎。支气管镜检查有助于明确诊断。
支气管扩张:多有反复咯血伴有慢性咳痰,痰量较多;X线胸片可显示环状或条纹状阴影,或有囊肿形成。有肺结核病史者可出现结核后支气管扩张。
急性肺栓塞:肺栓塞(pulmonary embolism,PE)是内源性或外源性栓子堵塞肺动脉或其分支引起肺循环障碍的临床和病理生理综合征。血栓多源于深静脉,脱落后引起肺血栓栓塞症(pulmonary thromboembolism,PTE)。 肺栓塞的临床表现多种多样,主要取决于血管堵塞程度,发生速度和心、肺基础状态,轻者可无任何症状,重者可发生休克甚至猝死。其典型临床表现为同时出现胸痛、咯血、呼吸困难(“肺梗死三联征”)。本例患者的临床表现(胸痛、咯血、活动后气喘)与肺栓塞表现相似,应高度警惕,须积极完善D-二聚体检测以及CT肺动脉血管造影(CT pulmonary angiography,CTPA)等检查,以明确诊断。
(一)临床信息
【实验室检查】
血常规:WBC 9.18×109/L,RBC 4.26×1012/L,Hb 123g/L,N% 77.0%。
生化:ALT 109U/L,AST 65U/L,TBIL 20.60μmol/L,DBIL 10.53μmol/L,TG 0.94mmol/L,HDL-c 0.71mmol/L,血糖4.89mmol/L,Cr 86.0μmol/L,BUN 3.46mmol/L,CRP 192.51mg/L。
凝血功能:PT 18.3s,PTA 77.0%,INR 1.18,APTT 49.9s,FIB 5.80g/L。
其他: ESR 80mm/1h,PCT 0.12 ng/ml,NT-proBNP 105pg/ml,D-dimer>10.0μg/ml。
【影像学和其他检查】
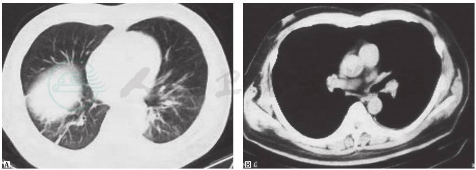
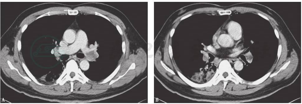
胸部CT、支气管动脉CT血管造影(CT angiography,CTA)和CTPA显示:①双肺动脉主干及分支多发栓塞(图2),右下肺渗出性实变(图3);②双侧支气管动脉未见扩张;③双侧少量胸腔积液。
图2 CTPA表现
CTPA显示双肺动脉主干及分支多发栓塞
引自:主编:.呼吸系统疑难病例诊疗辨析.第1版.ISBN:978-7-117-26415-0
图3 胸部CT表现(入院当天)
胸部CT可见右下肺渗出性实变病灶
引自:主编:.呼吸系统疑难病例诊疗辨析.第1版.ISBN:978-7-117-26415-0
心电图:窦性心动过速。
心脏彩超:①三尖瓣中量反流;②肺动脉高压;③左心室收缩功能正常,舒张功能减低。
双侧下肢静脉彩超:双下肢深静脉通畅。
最后诊断:急性肺血栓栓塞症。
诊断明确后,经抗凝(低分子肝素、华法林)、抗感染及吸氧等治疗1周,患者体温恢复正常,胸痛、咯血、胸闷、气喘等症状明显缓解。
(二)临床思辨
肺血栓栓塞症(PTE)的症状缺乏特异性,常需要采取特殊检查技术才能确诊,故检出率偏低,容易发生漏诊和误诊。本例患者即被误诊为“支气管扩张症合并咯血”。
1.肺栓塞为什么容易误诊?
(1)肺栓塞的症状、体征无特异性。肺栓塞常见的症状有:①不明原因的呼吸困难及气促:是肺栓塞最常见的症状,尤以活动后明显,需与劳力性心绞痛相区别。②胸痛:突然发生,多与呼吸有关,咳嗽时加重,患者常难以耐受,酷似心绞痛发作,可能与冠状动脉痉挛、心肌缺血有关。除冠心病心绞痛外,肺栓塞所致胸痛还需要与夹层动脉瘤相鉴别。③咯血:提示肺梗死,多在梗死后24小时内发生,常为少量咯血。④烦躁不安、惊恐,甚至濒死感:可能与胸痛或低氧血症有关。⑤晕厥:少部分大块肺栓塞可引起循环障碍,其表现可为PTE的唯一或首发症状。⑥腹痛:有时会发生,可能与膈肌受刺激或肠缺血有关。⑦发热:多为低热,少数患者体温可达38.5℃以上。肺栓塞可出现以上症状的不同组合,但仅有不足1/3患者出现典型的肺梗死胸膜性疼痛、呼吸困难和咯血(肺梗死三联征)。
(2)肺栓塞常是静脉血栓形成的合并症,栓子通常来源于下肢和骨盆的深静脉,通过循环到肺动脉引起栓塞。对于没有合并下肢深静脉血栓的患者,更容易漏诊和误诊。
(3)很多基层医院不具备做CTPA的条件,故难以明确诊断。
(4)肺栓塞在发生肺梗死后,胸部X线或CT表现容易被误诊为肺部感染。肺梗死可在发病后12~36小时或数天内出现胸部影像学改变,表现为肺野局部片状影、肺不张或膨胀不全,肺不张侧可见膈肌上抬,有时合并少量至中量胸腔积液。最典型的胸部影像征象为尖端指向肺门的楔形阴影。
2.急性肺栓塞如何治疗?
急性肺栓塞的治疗目主要是帮助患者渡过危险期,缓解栓塞所致心肺功能紊乱,尽可能多地恢复和维持循环血量及组织供氧,并防止复发。
(1)一般治疗
绝对卧床,保持大便通畅,避免用力;对于烦躁、惊恐者,可予镇静剂;对于疼痛者,可使用止痛剂;对发热、咳嗽,可予相应对症处理;对发生低氧血症者,可采取鼻导管或面罩吸氧,必要时行机械通气治疗。
(2)溶栓治疗
对于不存在禁忌证的高危患者,溶栓是一线治疗选择。发生栓塞14天内进行溶栓治疗均有效,但最佳溶栓时间在48小时内。常用溶栓药物有尿激酶和组织型纤维蛋白溶酶原激酶(recombinant tissue plasminogen activator,rtPA),其作用均是激活体内和位于病灶局部的纤维蛋白溶酶原,加速栓子内纤维蛋白溶解,使血栓溶解。
(3)抗凝治疗
适用于非大面积、次大面积肺栓塞,无抗凝禁忌证者。临床疑诊PTE时也可先给予肝素和低分子肝素,续用华法林。
(4)其他治疗
如经肺动脉导管碎解和抽吸血栓、球囊血管成形术、局部小剂量溶栓、腔静脉静脉滤器置入术、外科肺动脉血栓摘除术等。外科血栓摘除术死亡率高,主要适用于危及生命的急性肺栓塞(包括肺动脉主干、主要分支完全阻塞)、有溶栓禁忌证或溶栓无效的患者。
肺血栓栓塞症(PTE)是一种常见疾病,误诊率高,病死率高。PTE的症状、体征无特异性,发生典型“肺梗死三联征”(胸痛、呼吸困难和咯血)者不足1/3。PTE患者胸部X线或CT表现为肺野局部片状影、肺不张或膨胀不全,肺不张侧可见膈肌上抬,有时合并少量至中量胸腔积液,容易被误诊为肺炎、支气管扩张症等疾病。因此,在临床思辨基础之上及时选择恰当的诊断方法至关重要。
(阮玉姝 胡克)
1.葛均波,徐永健.内科学.北京:人民卫生出版社,2013:99-106.
2.Torbicki A,Perrier A,Konstantinides S,et al.Guidelines on the diagnosis and management of acute pulmonary embolism :the Task Force for the Diagnosis and Management of Acute Pulmonary Embolism of the European Society of Cardiology( ESC).Eur Heart J,2008,29:2276-2315.
3.Konstantinides SV,Torbicki A,Agnelli G,et al.2014 ESC guidelines on the diagnosis and management of acute pulmonary embolism.Eur Heart J,2014,35:3033-3073.
4.Douketis J,Tosetto A,Marcucci M,et al.Risk of recurrence after venous thromboembolism in men and women :patient level meta-analysis.BMJ,2011,342:d813.
5.Desai SR.Unsuspected pulmonary embolism on CT scanning :yet another headache for clinicians? Thorax,2007,62:470-472.
6.Limbrey R,Howard L.Developments in the management and treatment of pulmonary embolism.Eur Respir Rev,2015,24(137):484-497.



