(一)病例信息
【病史】
女性患者,58岁,教师,主因咳嗽2个月,活动后气短半个月住院治疗。患者2个月前无明显诱因出现间断咳嗽,夜间为著,无发热、咳痰、咯血、胸痛,抗感染治疗效果不佳,半个月前出现活动后气短,且症状进行性加重,不能登楼梯,无夜间阵发性呼吸困难及端坐呼吸,为进一步诊治收入院。患者自发病以来,无皮疹、光过敏、关节肿痛、口腔溃疡、雷诺现象,精神、食欲、睡眠可,大小便正常,近期体重无明显变化。
患者既往患颈椎病,6个月前口服减肥药芬氟拉明3个月,否认高血压、心脏病、糖尿病、结核及肿瘤病史;吸烟3年,3~4支/天,已戒烟,否认饮酒史;否认家族肿瘤、遗传性疾病病史。
【体格查体】
体温36.8℃,心率84次/分,呼吸18次/分, 血压135/90mmHg。一般情况可,全身浅表淋巴结未触及肿大;双下肺可闻及细小湿啰音;心律齐,未闻明显心脏病理性杂音;腹软,无压痛、反跳痛及肌紧张,肝、脾肋下未触及,双肾区无叩痛;双下肢无水肿,无杵状指。
【影像学检查】
X线胸片示双肺纤维索条状、网状及小点状浸润影,右肋膈角变钝。
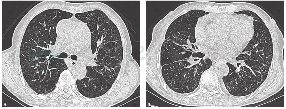
胸部CT示双肺弥漫性间质改变,支气管血管束不均一结节状增粗,从肺门向外周呈放射状,部分分支末梢可到达胸膜,气管前、腔静脉后、隆嵴旁、主动脉旁等纵隔淋巴结肿大,右侧少量胸腔积液(图1)。
图1 胸部CT表现
胸部CT可见双肺弥漫性间质病变,支气管血管束增粗
(二)临床思辨
【临床特点】
1.患者为中年女性,病程呈慢性。
2.主要症状及体征为进行性加重的咳嗽及活动后气短,双下肺可闻及细小湿啰音。
3.影像学检查示双肺弥漫性间质病变,纵隔淋巴结增大,少量胸腔积液。
4.抗感染疗效不佳。
【思辨要点】
患者为中年女性,以咳嗽、活动后气短为主要临床表现,结合影像学特征表现为弥漫性肺间质病变,首先需要考虑如下疾病:
间质性肺炎:可见于风湿免疫病、有害职业暴露以及药物性肺损伤等,若无明确病因,考虑为特发性。本例患者既往长期接触粉尘,有患本病可能,需完善胸部HRCT进一步明确诊断;虽然无皮疹、关节肿痛等器官受累表现,仍需要完善自身抗体检测以排除自身免疫性疾病肺部受累;曾口服芬氟拉明3个月,但该药并无导致间质性肺疾病的报道,故考虑药物性肺病可能性不大。
结节病:常表现为双侧对称性纵隔、肺门淋巴结肿大,累及肺部时也可以出现肺间质改变。本例患者目前尚不能排除该病可能,可完善血管紧张素转化酶(angiotensin-convertion enzyme,ACE)、支气管肺泡灌洗液CD4/CD8比值、淋巴结或肺组织活检进一步协助诊断。
恶性肿瘤:本例患者胸部影像学表现为纵隔淋巴结肿大、肺部间质病变及胸腔积液,需考虑恶性肿瘤转移可能,由于未见肺部原发占位性病变,故需进一步完善检查以明确有无其他部位肿瘤。
心源性肺水肿:胸部CT表现也可为肺门周围血管束增粗及肺间质病变。本例患者症状表现为活动后呼吸困难、夜间为著的咳嗽,结合胸部CT表现,需排除是否存在肺水肿。鉴于患者既往无高血压及心脏病病史,无少尿、夜间阵发性呼吸困难及端坐呼吸,胸部CT影像学未见心脏增大,该诊断可能性不大。
感染性疾病:可引起肺间质病变的感染性疾病主要包括非典型病原体及病毒感染,但感染性疾病表现为急性病程,常合并发热、寒战等感染中毒表现。本例患者临床表现与此不符。另外,患者出现纵隔淋巴结肿大,故还需要排除结核分枝杆菌感染的可能。
(一)临床信息
【实验室检查】
1.血常规
WBC 8.6×109/L,N% 71.47%,Hb 146.4g/L,PLT 207×109/L。
2.其他
尿、便常规正常;肝、肾功能正常;自身抗体阴性;ESR 30mm/1h;PPD试验阳性;血ACE正常。
【影像学检查】
1.胸部HRCT
示双肺弥漫性小结节影,以周边分布为主,小叶间隔和叶间胸膜可见不规则结节状增厚,肺野内细小网状结节影 (图2)。
图2 胸部HRCT表现
2.其他
腹部B超、上消化道钡餐、气钡双重结肠造影及乳腺X线钼靶等检查未发现肝、胆、脾、胰、肾、上消化道、结肠、乳腺等部位肿瘤性占位性病变。
【其他检查】
1.心电图
未见异常。
2.血气分析(室内空气)
pH 7.438,PaO2 78.4mmHg,PaCO2 37.0mmHg,HCO3- 24.8mmol/L。
3.肺功能检查
FEV1 75%预计值,FVC 74%预计值,FEV1/FVC 83%,RV 127%预计值,TLC 102%预计值,呼气中期流速下降,弥散功能正常。
4.支气管镜检查
未见腔内新生物,可见黏膜稍充血、肥厚,管腔内较多白色黏稠分泌物,支气管肺泡灌洗液检测细菌、真菌、结核分枝杆菌阴性,涂片病理未见恶性细胞。
(二)临床思辨
HRCT较普通CT更加清晰地展示了患者肺间质病变的情况,表现为弥漫性肺结节影,结节与肺内淋巴引流相关,累及胸膜、小叶间隔、支气管血管束周围结缔组织,考虑为沿周边淋巴管分布的结节。
结合患者其他辅助检查的结果,目前需要考虑如下问题:
1.如何进一步鉴别诊断?
根据患者HRCT表现为沿淋巴管分布的周边型结节,可逐渐缩小鉴别诊断的范围:
(1)结节病
可出现沿淋巴管分布的结节影伴小叶间隔增厚。本例患者血ACE水平正常、PPD试验阳性不支持结节病诊断,但血ACE水平正常和PPD试验并非排除结节病的指标,故最终确诊仍需要病理检查结果。
(2)肺淋巴管癌病(PLC)
指肿瘤在肺内沿淋巴管转移,影像学表现为肺部弥漫性沿淋巴管分布的结节及肺间质改变。PLC可来源于肺部肿瘤转移,此时可发现肺内原发肿瘤灶(图3);也可来源于肺外肿瘤转移,而在肺部不能发现明确的原发灶(图4)。本例患者除HRCT表现与PLC相似外,还合并纵隔淋巴结增大及胸腔积液,但肺、消化道、乳腺等部位均未发现明确原发灶,支气管肺泡灌洗液亦未找到肿瘤细胞,因此不能排除PLC,还需要更多的组织标本来进行病理诊断。
图3 肺淋巴管癌病胸部CT表现
肺窗示右肺下叶背段团块影(弧形箭头),伴右肺野内肺纹理增粗,右肺叶间裂增厚和结节样改变(蓝色箭头为斜裂,红色箭头为水平裂),并见小叶间隔及小叶内间隔增厚(A);纵隔窗示右下肺背段占位性病变(弧形箭头),未见肺门淋巴结肿大和胸腔积液(B)。病理诊断为肺淋巴管癌病
图4 肺淋巴管癌病胸部CT表现
女性患者,诊断为肺淋巴管癌病。胸部CT表现为双肺弥漫性小叶间隔增厚、叶间胸膜不规则增厚,未发现肺部原发肿瘤灶
(3)肺淋巴瘤
可沿淋巴管走行分布。本例患者并未合并浅表淋巴结肿大,最终确诊也需要肺部病理诊断的支持。
(4)粟粒性肺结核
影像学表现也可见双肺弥漫性结节影,但以随机分布为特点,大小、分布、密度更加均匀、一致,小叶间隔增厚并不常见。本例患者出现血沉增快及PPD试验阳性,符合结核表现,但胸部HRCT示小叶间隔和叶间胸膜不规则结节状增厚,且未出现发热等结核中毒症状,支气管肺泡灌洗液抗酸染色阴性,与结核表现不符,故可基本排除此病。
(5)淋巴细胞性间质性肺炎
淋巴细胞在肺间质中浸润,也可出现类似影像学表现。但本病例无自身免疫病证据,肺功能无限制性通气功能障碍的表现,与此病表现不符,故可排除。
(6)矽肺
也可出现上述影像学表现,但患者有明确的二氧化硅粉尘接触史。本例患者情况与此不符。
(7)心源性肺水肿
一般表现为小叶间隔平滑增厚。本例患者胸部影像学表现为结节状增厚的小叶间隔,与之不符,故可排除。
2.对于本病例,下一步应如何完善检查以明确诊断?
根据以上分析结果,本病例的鉴别诊断主要集中在结节病及恶性肿瘤,最终确诊需要依靠病理检查。获取病理标本的方式可考虑经支气管肺活检、淋巴结活检及外科肺活检等。外科肺活检可取得大块组织标本,获得确切诊断的可靠性最大。当结节病累及支气管黏膜时,行支气管内膜活检具有诊断意义,但本例患者支气管镜下未见黏膜受累表现。
结节病特征性病理表现为非干酪样坏死性肉芽肿形成。肺淋巴管癌病病理表现为脏层胸膜下、肺间质内的淋巴管内肿瘤细胞呈团块样生长,癌栓形成,部分癌栓周围可见不同程度淋巴细胞浸润和(或)间质纤维组织增生。
(一)临床信息
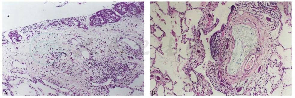
胸腔镜肺活检术中见右侧胸腔积液,未见胸膜或肺占位性病变,右中叶肺活检标本病理示胸膜下、肺内小淋巴管内可见大量鳞状细胞癌栓,灶状血管内血栓和癌栓,符合淋巴管癌病(图5)。
最后诊断:肺淋巴管癌病。
图5 右肺中叶活检标本病理表现
右肺中叶活检标本病理检查显示脏层胸膜下及肺组织淋巴管扩张,其内可见大量癌栓(A.HE染色,200×);肺间质中和血管壁周围淋巴管内可见大量癌栓(B.HE染色,200×)
(二)临床思辨
肺淋巴管癌病(PLC)的概念最早由Troisier于1873年提出,是肿瘤细胞沿淋巴管转移且在淋巴管中弥漫性生长的一种少见的表现形式。PLC约占所有肺部转移性肿瘤的6%~8%。PLC主要以腺癌多见(有报道称可占90%),鳞癌及神经内分泌肿瘤次之。淋巴管内转移性腺癌常来源于乳腺、胃、胰腺、肺、甲状腺等多部位肿瘤;转移性鳞癌主要来源于宫颈、口咽部和肺等部位。
PLC可分为局灶性和弥漫性。局灶性PLC主要见于肺癌的局部淋巴管转移,弥漫性PLC多见于肺外肿瘤转移。PLC根据肿瘤细胞在淋巴管内可能的生长方式分为逆行性和顺行性两种。逆行性PLC指肿瘤首先转移至局部段叶支气管旁或肺门淋巴结,以及纵隔淋巴结,使局部淋巴回流障碍,远端淋巴管扩张,继之肿瘤细胞脱落,并沿淋巴管逆行生长,甚至达周边脏层胸膜间皮下淋巴管起始部位,主要见于原发性肺癌的直接浸润或在肺门和纵隔淋巴结转移,故在早期即可发现肺门淋巴结肿大;顺行性PLC指肿瘤细胞经血行转移,直接种植于脏层胸膜间皮下及肺内的淋巴管内,再沿淋巴管顺行向中心淋巴管生长,最后导致肺门和(或)纵隔淋巴结肿大,故此类型PLC在早期并不一定伴有肺门淋巴结肿大,可发生于任何部位的肿瘤。肿瘤细胞这种在脏层胸膜间皮细胞层下淋巴管内和肺间质淋巴管内的生长倾向在发病机制上仍不完全明确。
PLC的临床表现并不特异,临床症状可先于胸部X线表现出现。除原发部位肿瘤表现外,可伴有锁骨上窝、腋窝淋巴结肿大。除非同时合并原发性肺癌,否则极少见杵状指/趾。胸部X线片可见网状、结节状间质改变,可见Kerley线及叶间裂增厚,部分患者可见肺门淋巴结肿大及胸腔积液。胸部HRCT有助于鉴别诊断,表现为弥漫性肺间质改变,支气管血管束增粗,结节影沿淋巴管分布,小叶间隔结节样增厚(串珠样增厚,如本例患者所示)或平滑增厚。PET-CT也可用于PLC及原发病灶的诊断。PLC患者肺功能可表现为正常或轻度限制性通气功能障碍,不伴或伴有弥散功能障碍。外科肺活检确诊率高。本病的原发灶有时难以找到,如本例患者最终也未找到原发灶。PLC患者已丧失手术机会,治疗以化疗及对症治疗为主,预后差,约50%患者在3个月内死亡。
肺淋巴管癌病(PLC)可表现为局灶性或弥漫性间质性肺疾病,其发生在临床上并不少见。局灶性肺淋巴管癌病主要继发于同侧中晚期肺癌;而双肺弥漫性肺淋巴管癌病则既可见于肺癌,也可源于其他器官和组织恶性肿瘤,如胃癌、乳腺癌、甲状腺癌等。PLC的临床表现轻重不一,但常呈进行性加重。胸部HRCT见“肺内小结节以沿淋巴管分布为主,支气管血管束结节样增粗伴小叶间隔不规则增厚”表现,具有一定特征性,如果同时见纵隔淋巴结肿大和胸腔积液,则更支持这一诊断。本例患者临床起病隐匿,症状较轻,但HRCT可见典型淋巴管癌病表现,并经病理检查得到进一步证实。
(李冉 高占成)
1.Harold JT.Lymphangitis carcinomatosa of the lungs.Q J Med,1952,21(83):353-360.
2.Bruce DM,Heys SD,Eremin O.Lymphangitis carcinomatosa :a literature review.J R Coll Surg Edinb,1996,41(1):7-13.
3.Mapel DW,Fei RH,Crowell RE.Adenocarcinoma of the lung presenting as a diffuse interstitial process in a 25-year-old man.Lung Cancer,1996,15(2):239-244.
4.Levy H,Horak DA,Lewis MI.The value of bronchial washings and bronchoalveolar lavage in the diagnosis of lymphangitic carcinomatosis.Chest,1988,94(5):1028-1030.
5.Acikgoz G,Kim SM,Houseni M,et al.Pulmonary lymphangitic carcinomatosis (PLC):spectrum of FDG-PET findings.Clin Nucl Med,2006,31(11):673-678.
6.Yang SP,Lin CC.Lymphangitic carcinomatosis of the lungs.The clinical significance of its roentgenologic classification.Chest,1972,62(2):179-187.



