患者,女性,28岁,水产市场文员。因反复咽痛17个月,咳嗽、咳痰10个月,发热2个月于2009年11月2日入院。

图1 胸片(2008年6月25日):肺部炎症

图2 胸片(2008年7月2日):两肺炎性病变加重

图3 胸部CT(2008年9月17日):双肺弥漫性磨玻璃样病变

图4 抗结核治疗2个月后胸部CT复查(2008年11月29日):病变范围明显增加
患者于2008年6月起无明显诱因出现咽痛,开始为说话时咽部不适感,于当地医院就诊,胸片检查提示肺部炎症(图1),予抗感染治疗6天后复查胸片(图2)未见好转,反见加重。拟诊为“肺结核”,于2008年7月2日开始给予利福喷汀、乙胺丁醇、帕司烟肼三联抗结核治疗2个月,其间曾因出现肝功能损害,停用抗结核药并护肝治疗1周后继续抗结核治疗。治疗后,患者咽痛症状无改善,呈进行性加重,严重时吞咽疼痛影响进食,先后于2008年8月、2008年9月两次复查胸片未见好转,行胸部CT检查示双肺弥漫性磨玻璃样病变(图3),又开始给予利福喷汀、乙胺丁醇、链霉素、左氧氟沙星四联抗结核治疗。治疗2个月后(2008年11月),患者症状无改善,复查胸部CT提示病变范围明显增加(图4)。遂于2008年12月转至上级医院就诊,行咽组织活检,病理见多核巨细胞、上皮样细胞构成的结核样结节,未见典型干酪样坏死,考虑增殖型结核可能性大;继续抗结核治疗,同时超声雾化吸入“异烟肼、链霉素”治疗2周。此后(2009年1月)患者开始出现咳嗽,多见于早晨,开始为阵发性单声咳,后咳嗽加剧,为持续性,伴咳白色泡沫痰,偶痰中见血丝,伴轻度活动后气促。遂到某结核病专科医院就诊,复查胸片考虑双侧上、中、下肺野结核并双上肺空洞(图5)。继续抗结核治疗,1个月后(2009年2月)复查胸片提示病灶较前有吸收,空洞缩小(图6)。但患者症状无好转,2个月后复查胸片提示“双肺病灶增多,左上肺空洞增大”(图7)。于该院住院,纤维支气管镜活检病理见由上皮样细胞和朗格汉斯细胞组成的结核样结节,未见干酪样坏死。入院约1周后胸部CT检查提示双肺病变较前有所减少(图8)。2009年5月患者出院,停用抗结核治疗。抗结核治疗期间,患者多次行痰涂片检查未见抗酸杆菌,PPD皮试阴性。患者仍咳嗽、咳痰,服用中药治疗,咳嗽、咳痰稍改善。2009年9月,患者开始出现发热,多于早晨出现,体温最高39℃,下午可自行下降。2009年9月底,于本院门诊行胸部CT示双肺弥漫性片状磨玻璃样、粟粒状阴影,较外院CT片病变进展(图9),考虑感染性病变而收入院进一步治疗。患病期间,患者无胸闷、呼吸困难,无午后低热、盗汗,无关节疼痛、口腔溃疡等。食欲缺乏,精神欠佳,体重下降约5kg。既往体健,个人史、月经婚育史、家族史无特殊。

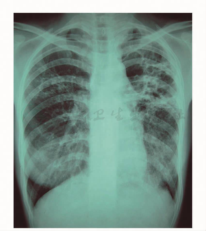
图5 某结核病医院胸片(2009年1月19日),疑诊双侧上中下肺野结核并双上空洞
入院查体:T 36.2℃,P 100次/分,R 18次/分,BP 112/82mmHg,营养中等,神志清。左、右下颌分别触及一大小约0.8cm×0.8cm淋巴结,活动可,无明显触痛,余浅表淋巴结未触及。咽稍充血,右侧咽部见脓性分泌物,左侧扁桃体Ⅱ°肿大。胸廓对称,双侧语颤正常。双肺叩诊清音。双肺呼吸音稍减弱,未闻及干湿性啰音。心、腹未见异常。无杵状指(趾)。

图6 继续抗结核治疗1个月后胸片(2009年2月17日):病灶较前有吸收,空洞缩小

图7 2个月后复查胸片(2009年4月20日):双肺病灶增多,左上空洞增大

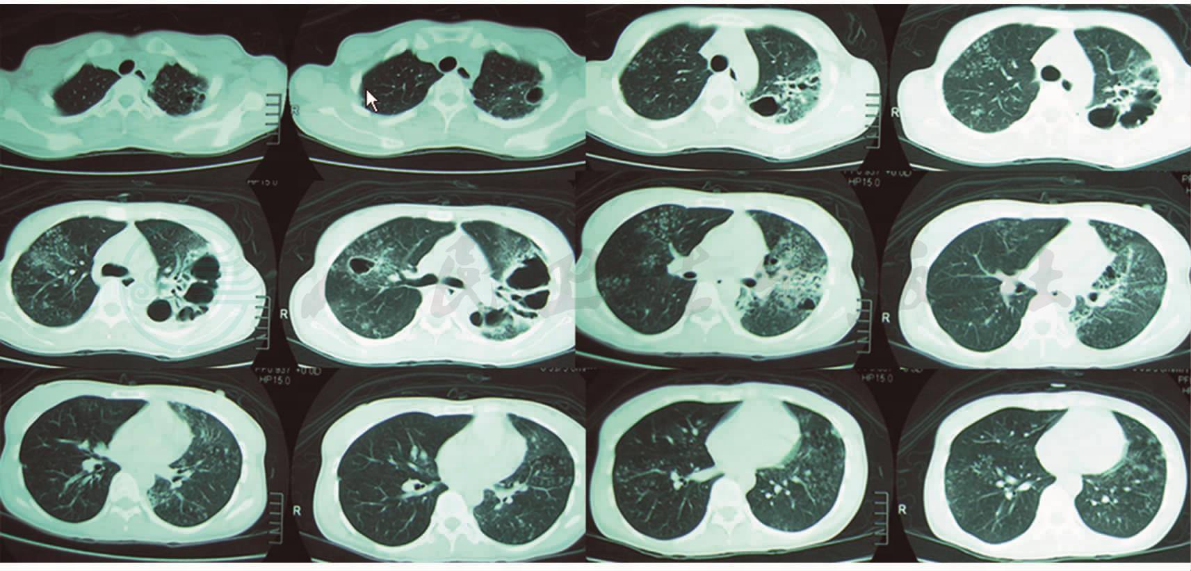
图8 胸部CT(2009年4月29日):双肺病变较前有所减少

图9 胸部CT(2009年9月28日):双肺弥漫性病变较前进展
诊疗经过:患者入院后仍反复发热,体温波动于36~39℃,未予药物治疗,体温可自行下降,伴咳嗽,咳白色稀痰。血常规:WBC 7.67×109/L,N 51.2%,L 30.1%,Hb 98g/L,PLT 359×109/L。尿常规、大便常规、血电解质、肝肾功能未见异常。乙肝表面抗原、丙肝、梅毒、艾滋病抗体阴性。动脉血气分析(呼吸空气):pH 7.39,PaO2 74mmHg,PaCO2 47mmHg。CRP 32.8mg/L,ESR 120mm/h。自身抗体:抗ANA 2.16,抗ds-DNA 1.98,抗心磷脂IgM(+),余阴性。降钙素原<0.05ng/ml。1,3-β-D葡聚糖检测:753.4pg/ml。深部真菌抗原检测:曲霉、假丝酵母菌、隐球菌抗原阴性。肺功能检查:①混合性通气障碍;②肺通气功能下降;③肺容量下降;④肺弥散功能下降;⑤支气管舒张试验阴性。胸片:双肺弥漫性病变。痰找抗酸杆菌阴性(4次)。结核杆菌抗体IgG阴性。PPD皮试阴性。血培养阴性(2次)。3次痰培养结果:细菌培养未发现致病菌,真菌培养初步报告见丝状真菌。纤维支气管镜检查:四级以内支气管未见异常。组织病理活检示:(左B8及右B3)肺组织内见多个类上皮细胞及朗格汉斯细胞,(右B3)标本可见凝固性坏死,不除外结核。PAS(-)。灌洗液涂片未见抗酸杆菌,培养初步报告见丝状真菌。入院10天后(2009年11月11日)行胸腔镜检查(左侧),镜下见多处米粒大、呈黄白色稍隆起病灶,壁层胸膜粘连,见肺大疱组织,肋膈角少量黄色积液。组织病理活检示:胸膜纤维增生,明显增厚;有较多淋巴细胞浸润,并见多个由类上皮细胞、多核巨细胞构成的肉芽肿性病灶,部分病灶可见凝固性坏死;未见肿瘤;抗酸染色、革兰染色、PAS、六胺银均阴性(图10)。组织培养阴性。患者自身抗体阳性,经风湿科会诊认为结缔组织病依据不足,建议随诊。入院后2周(2009年11月17日)患者仍反复出现发热,给予左氧氟沙星抗感染治疗,患者仍发热,一周后(2009年11月24日)请结核病专科会诊考虑非结核分枝杆菌感染可能性大,不能排除结核。遂开始予抗非结核分枝杆菌治疗(左氧氟沙星、克拉霉素、链霉素、乙胺丁醇、异烟肼)。同一天痰培养及纤维支气管镜肺泡灌洗液培养回报为马尔尼菲青霉菌。接着再复查2次痰培养仍见马尔尼菲青霉菌。同时(2009年11月26日),胸部CT检查示:双肺弥漫性粟粒性病变,双肺见多发空洞形成,双肺局部肺实质密度不均匀增高,呈马赛克征,纵隔气管旁、隆突下见多个肿大淋巴结影。病变较前有所进展。因患者多次痰培养见马尔尼菲青霉菌,考虑为肺马尔尼菲青霉病,于2009 年11月27日开始静脉使用伊曲康唑抗真菌治疗,患者体温开始逐渐降至正常。12月2日始改为口服伏立康唑治疗。复查风湿性疾病抗体:抗ANA 1.88,抗ds-DNA 1,抗心磷脂IgM (+)。ESR 34mm/h。患者于2009年12月3日出院。
最终诊断:肺马尔尼菲青霉病。
治疗和转归:出院后,患者抗非结核分枝杆菌及抗真菌治疗一个月后门诊随诊,无发热、咳嗽、咳痰,停用抗非结核分枝杆菌治疗,伏立康唑改为伊曲康唑口服。继续治疗一个月后随诊复查胸部CT:与2009年11月片对比,双肺病变明显吸收(图11)。继续伊曲康唑口服治疗一个月后再次复查胸部CT:与2010年1月片对比,双肺炎性病灶大多吸收,遗留空洞残腔和大疱(图12)。随诊至今,患者无诉不适。

图10 胸腔镜组织病理(2009年11月16日):较多淋巴细胞浸润,并见多个由类上皮细胞、多核巨细胞构成的肉芽肿性病灶,部分病灶可见凝固性坏死;未见肿瘤;抗酸染色、革兰染色、PAS、六胺银均阴性

图11 胸部CT(2010年1月29日):双肺病变明显吸收

图12 胸部CT(2010年3月2日):炎症病变大多吸收,遗留空洞残腔和大疱
3.多次影像学、病理学检查提示结核病改变。