男性,46岁,无明显不适,查体胸片发现“左上肺肿物”10天,外院CT提示左上肺结节,肺癌可能,血CEA正常。为明确诊断行体部FDG PET/CT检查。
1.肺结核并淋巴结及骨结核;
2.肺癌并淋巴结及骨转移;
3.结节病;
4.淋巴瘤。
【FDG PET/CT图像及随访CT图像】(图1~图7)
图1 18F-FDG PET MIP前后位
左肺内、纵隔及左肺门多处局灶性放射性摄取增高,箭头所示为左肺上叶病灶
引自:主编:.PET/CT疑难病例精解.第1版.ISBN:978-7-117-17027-7
图2 FDG-PET/CT胸部横断图像
A. PET图像;B. CT肺窗;C. CT纵隔窗。左肺上叶局灶放射性摄取增高灶,SUVmax为4.2,同机CT定位于左肺上叶尖后段结节影(箭头)
图3 胸部同机CT薄层重建(肺窗,横断面)
左肺上叶尖后段结节影,边缘毛糙,周围可见少许小斑片影
引自:主编:.PET/CT疑难病例精解.第1版.ISBN:978-7-117-17027-7
图4 胸部CT多平面重建
A. 冠状位;B. 矢状位。左肺上叶尖后段结节,远端可见斑片及索条影(十字交叉)
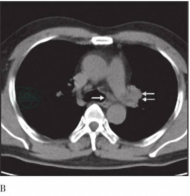
图5 FDG-PET/CT胸部横断面图像
A. PET图像;B. CT图像纵隔窗。纵隔4L区(箭头)及左肺门10L区(双箭头)放射性摄取增高的淋巴结
图6 FDG-PET/CT 头部、盆腔及胸部横断图像
A、C、E. PET图像;B、D、F. CT骨窗图像。多处骨骼(左侧颧骨、第3胸椎、左侧髂骨)代谢活性增高灶,CT上呈稍低密度或无明显改变(箭头)
图7 头部CT平扫横断图像
A. 骨窗;B. 软组织窗。PET/CT检查1个月后随访CT,可见左侧颧弓骨质破坏及周围软组织肿胀(箭头)
【FDG PET/CT图像表现】
左肺上叶尖后段结节,边缘毛糙,近端可见斑片、索条影,整个病变放射性呈条片状摄取增高,SUVmax为4.2,平均为3.1;右肺下叶及右肺中叶胸膜下多发微结节,其放射性摄取未见异常。
纵隔及左肺门(2R、4R、4L、10L和11L区)多发肿大淋巴结,放射性摄取增高,SUVmax(范围)为3.0~9.8,平均(范围)为2.2~5.3。
第3胸椎椎体右缘局灶性骨质密度减低,放射性摄取增高,SUVmax为8.2,平均为6.6;左颧弓局部骨皮质可疑低密度改变,放射性摄取增高,SUVmax为4.7,平均为2.8;左、右髂骨局灶性代谢活性增高灶,同机CT平扫相应部位骨质密度未见异常。



