男性,63岁,查体发现双肺上叶结节。既往体健,否认肝炎、结核病史,吸烟史约40年,平均10支/日;糖尿病史约10年,口服降糖药。体格检查:体温、呼吸、脉搏、血压均正常;实验室检查:白细胞3.7×109/L,其中单核细胞11.6%,中性粒细胞47.6%,血清结核菌素抗体阴性,血沉30mm/h,肿瘤标志物CA-199、CA-125、角质蛋白21-1、神经元特异性烯醇化酶均正常,检查前空腹血糖7.3mmol/L。
1.肺结核
本病例患者左肺上叶尖后段结节,形态类似球形但不规则,内部密度不均,可见小透亮区及钙化灶,符合结核的CT表现,同时PET显像结节不均匀代谢活跃,不能排除结核。右肺结节见斑点状钙化灶及卫星灶,CT影像符合结核表现,PET显像代谢不活跃,基本诊断结核;综合以上影像学表现,考虑双肺结核,但不能除外恶性病变。该患者没有肺结核的典型临床症状,实验室检查血清结核菌素抗体阴性,与结核诊断矛盾。
2.肺癌
左肺结节有空泡征、边缘毛糙、分叶征、胸膜牵拉等表现,符合肺癌的CT典型影像表现,同时PET显像结节代谢活跃,符合肺癌的代谢表现。纵隔内主肺动脉窗淋巴结肿大,代谢活跃,密度稍高。综上考虑左肺癌并纵隔淋巴结转移可能性大。
3.错构瘤
典型CT表现应该是边缘较光滑,内部混杂密度,可见脂肪密度及钙化影等,本例基本可以排除。
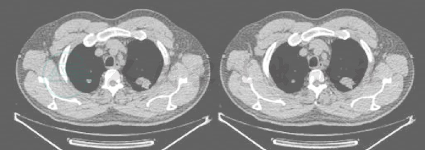
【PET/CT图像及其他影像学图像】(图1~图5)
图1 高分辨CT肺窗横断面
左肺上叶尖后段见分叶状结节影,边缘见稀疏毛刺及胸膜牵拉征,大小约为2.8cm×2.0cm×1.4cm;右肺上叶尖段见类圆形结节影,边界较清楚,大小约为1.5cm×1.3cm×1.3cm
引自:主编:.PET/CT疑难病例精解.第1版.ISBN:978-7-117-17027-7
图2 高分辨CT纵隔窗横断面
左肺上叶结节内见小低密度影及点状钙化影,平均CT值约为34.5Hu,右肺结节内见点状低密度灶及高密度影,结节周围见散在斑点状高密度影
引自:主编:.PET/CT疑难病例精解.第1版.ISBN:978-7-117-17027-7
图3 CT和FDG PET横断面
箭头示左肺上叶结节放射性不均匀异常浓聚,SUVmax约为3.5,延时显像SUVmax约为3.9。右肺结节未见放射性异常浓聚,SUVmax约为1.0
引自:主编:.PET/CT疑难病例精解.第1版.ISBN:978-7-117-17027-7
图4 CT和FDG PET横断面
纵隔内第5组淋巴结增大,密度稍高,放射性异常浓聚,SUVmax约为3.4
引自:主编:.PET/CT疑难病例精解.第1版.ISBN:978-7-117-17027-7
图5 FDG PET延时显像横断面
左肺上叶结节放射性不均匀异常浓聚,SUVmax约为3.9
引自:主编:.PET/CT疑难病例精解.第1版.ISBN:978-7-117-17027-7



