男性,80岁,胸闷、气短、咳嗽、咳痰1周,伴体重下降;查体双肺可闻及细小水泡音。
实验室检查:血尿常规未见异常;CEA、CA19-9等各项肿瘤标志物未见异常;血沉40mm/h;结核菌素试验阴性;骨髓细胞学检查阴性。
既往史:60年前因胸骨结核手术治疗。
1.原发性肺淋巴瘤、继发性肺淋巴瘤;
2.支气管肺泡癌;
3.肺转移癌;
4.肺炎性病变。
【FDG PET/CT图像】(图1~图3)
图1 治疗前PET MIP显像
双肺肺野内可见多发大小不一、形态各异的FDG代谢增高灶。纵隔及双侧肺门多个淋巴结FDG代谢增高。右叶甲状腺局灶性FDG代谢增高
引自:主编:.PET/CT疑难病例精解.第1版.ISBN:978-7-117-17027-7
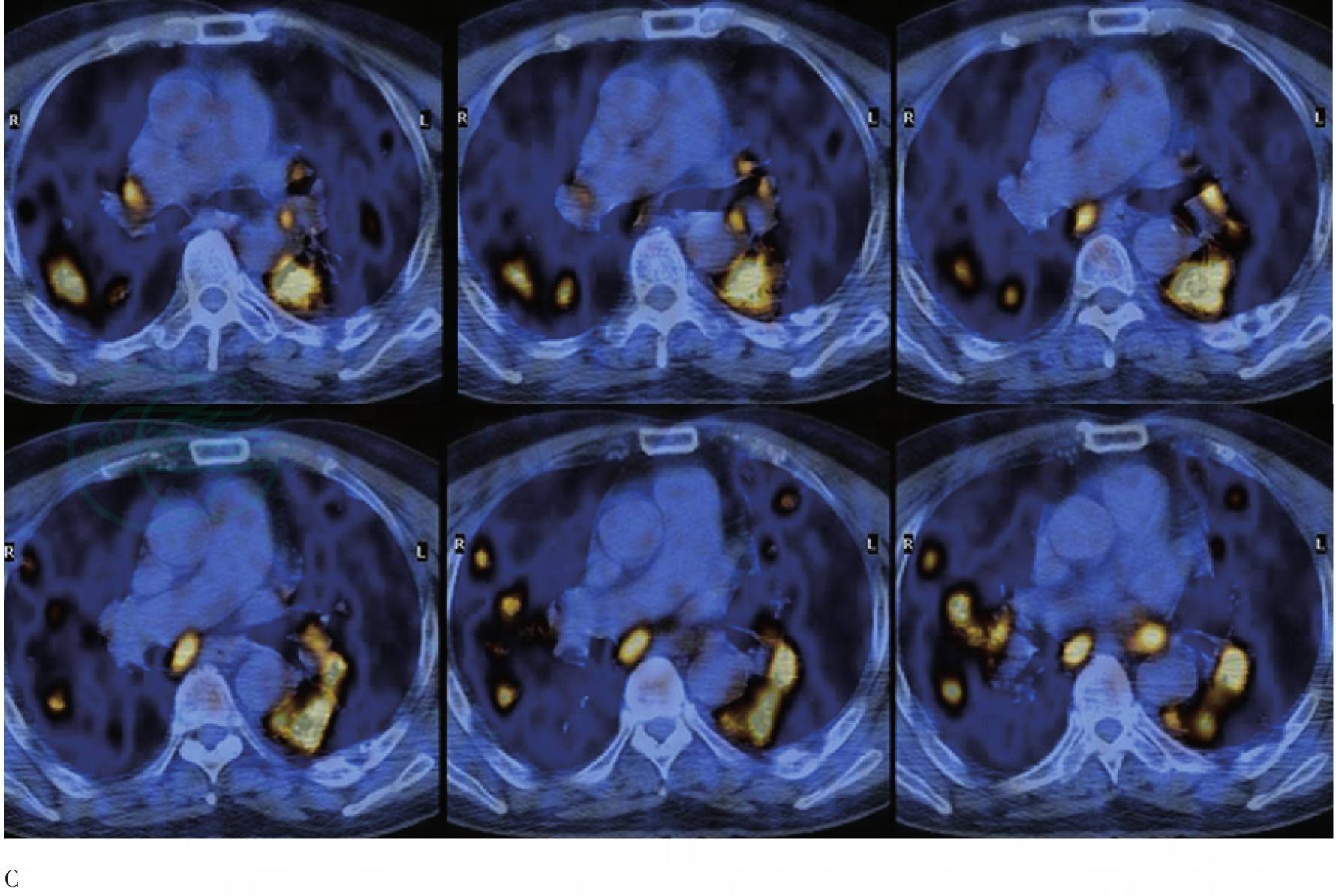
图2 治疗前PET/CT胸部横断层图
A. CT肺窗;B. CT纵隔窗;C. PET/CT融合图像。双肺肺野内多发大小不一、形态各异的密度增高影,边缘模糊,密度不均匀,部分病灶FDG代谢增高;纵隔及双侧肺门多个肿大淋巴结,FDG代谢增高
图3 治疗后PET MIP显像
双侧肺门见多个淋巴结FDG代谢增高。右叶甲状腺局灶性FDG代谢增高
引自:主编:.PET/CT疑难病例精解.第1版.ISBN:978-7-117-17027-7
【FDG PET/CT图像表现】
治疗前PET/CT图像于双肺肺野内可见多发大小不一、形态各异的密度增高影,边缘模糊,密度不均匀,部分病灶FDG代谢增高。纵隔及双侧肺门可见多个肿大淋巴结,FDG代谢增高。另外右叶甲状腺可见局限性FDG代谢增高,CT图像未见异常密度改变。
治疗后PET/CT图像双肺肺野内未见异常密度影及FDG代谢异常增高灶。双侧肺门各见一肿大淋巴结,FDG代谢增高,SUV最高5.1。右叶甲状腺高代谢灶与治疗前比较无明显变化。



