患者,女性,45岁。患者入院前2小时不慎跌倒,当时左肘部着地即感疼痛,随后肿胀,不敢活动。就诊于北京大学人民医院急诊科,拍摄X线片示“左桡骨小头骨折”。即入院治疗。既往体健。查体:左肘关节中度肿胀,桡骨头处压痛明显,可触及骨擦感。左肘内侧可见皮下青紫,局部压痛。左肘关节活动受限,外翻应力试验阳性。辅助检查:X线片(急诊):左桡骨头骨折(图1)。

图1 术前肘关节正侧位X线片
【治疗原则】
患者桡骨头粉碎骨折,同时合并侧副韧带损伤,由于患者相对年轻,分析认为最佳的治疗方案为桡骨头切开复位内固定术。
患者麻醉成功后,常规仰卧位。常规消毒铺巾,患肘上止血带。取左肘外侧Kocher入路,切口5cm,切开皮肤、皮下组织以及环状韧带,术中见桡骨头粉碎骨折,断端瘀血较多。清除血凝块。冲洗后试复位,以普通螺钉固定桡骨小头部分,选择AO T形板固定,拧入螺钉。将桡骨头复位后,修复桡尺侧副韧带( LUCL)复合体,试行活动,见内固定稳定。冲洗后放置负压引流,逐层关闭伤口。
然后取左肘内侧切口,长约8cm,逐层切开皮肤,暴露内侧副韧带,见断端瘀血多,韧带断裂。冲洗后以可吸收锚钉固定,重建内侧副韧带。检查活动度满意后,放置负压引流逐层关闭伤口。
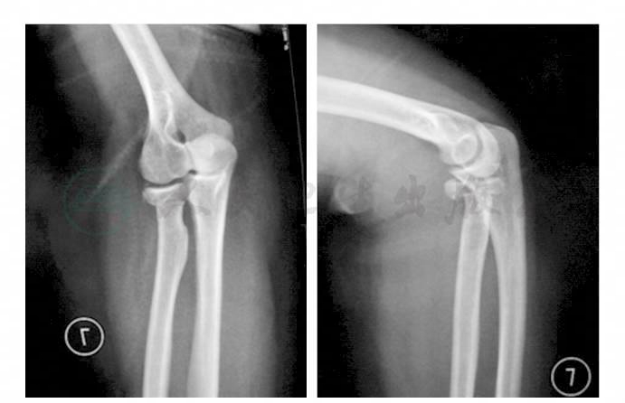
术后第2日,嘱患者开始患侧肘的被动活动,术后第3日移除引流管,行X线检查示钢板位置良好,无松动、断裂(图2),术后第5日开始肘关节各个方向的主动活动,包括屈伸及旋前、旋后。

图2 术后肘关节正侧位X线片
【随访结果】
患者术后10个月随访,左肘屈曲110°,伸直40°,旋前50°,旋后50°。右肘屈曲140°,伸直0°,旋前70°,旋后70°。Mayo评分80分。DASH评分15.83分。Broberg and Morrey评分72分,ASES评分72.61分(图3)。

图3 术后肘关节功能像