男,35岁,左侧鼻塞1年,左眼前突半年,间有流泪,无眼痛、头痛,视物无重影。专科检查:左眼前突,左下睑内侧可触及一肿物约2cm×2cm,质中,无红肿,无压痛,左眼外展受限,结膜轻度充血,角膜清,前层深浅正常,房水清,对光反射灵敏,眼底未见异常。
【影像学表现】
CT增强扫描示左眼内直肌周围不规则稍高密度软组织肿物,病变累及眶内外,左侧前组筛窦也见累及(图1A)。横断面T1WI和T2WI显示左眼内直肌周围病变,T1WI呈等信号,T2WI呈稍高信号,内直肌结构显示不清,累及内侧眶脂体,破坏右侧眶板,凸入右侧前组筛窦。病灶前方内眦皮肤层次模糊(图1B、C)。MR增强扫描横断面显示病变明显强化,稍不均匀(图1D)。增强冠状面图像显示病灶累及眶内外(图1E)。鼻咽横断面T2WI显示鼻咽顶后壁丘状凸起,呈稍高信号,病变周围软组织结构清晰,尚未向深部软组织侵犯(图1F)。颅底横断面T1WI显示颅底骨质信号正常(图1G)。
行鼻咽及左眼眶病灶活检。
【病理】
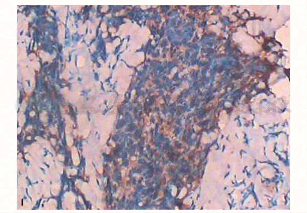
左眼眶0.2~0.3cm组织两粒,镜下组织挤压明显,纤维组织增生,其内见小灶似有异型的上皮细胞,结合临床病史,考虑转移癌。免疫组织化学:CK(+),LCA(-),EMA(+),S-100(-),Syn(-),CgA(-),HMB45(-)。鼻咽0.2~0.3cm组织4粒,镜下为非角化性癌(未分化型),免疫组织化学:LCA(-),CK(+)(图1I、J)。
图1 左侧眼眶转移瘤
A.CT增强扫描;B.T1WI横断位;C.T2WI横断面;D.MR增强横断面;E.MR增强冠状面;F.鼻咽T2WI横断面;G.颅底T1WI横断面;H.病理(HE×100);I.免疫组化CK(+)



