双顶径切面、头围切面、腹围切面、股骨长轴切面、最大羊水池切面、多普勒指标的测量切面见第四章。
双顶径切面、头围切面、腹围切面、股骨长轴切面、最大羊水池切面、多普勒指标的测量切面见第四章。
1.核对孕周 妊娠14周前根据顶臀长评估孕周,妊娠14周后根据头围或头围+股骨长度估算孕龄。
2.结合胎儿双顶径、头围、腹围、股骨长度测量指标,根据超声仪器内的软件得出估计胎儿体重(estimated fetal weight,EFW),参考相应孕周正常值范围,小于10百分位数可考虑有FGR的可能。
3.胎儿生长径线超声 动态监测胎儿生长趋势。中、晚孕期间隔2~3周随访胎儿生长径线超声,观察胎儿生长速度及羊水量。
4.产科多普勒超声 是监测母胎循环的重要手段,常用的参数有脐动脉、大脑中动脉、脑胎盘比、静脉导管、子宫动脉等。
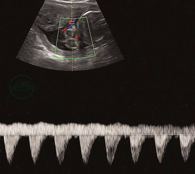
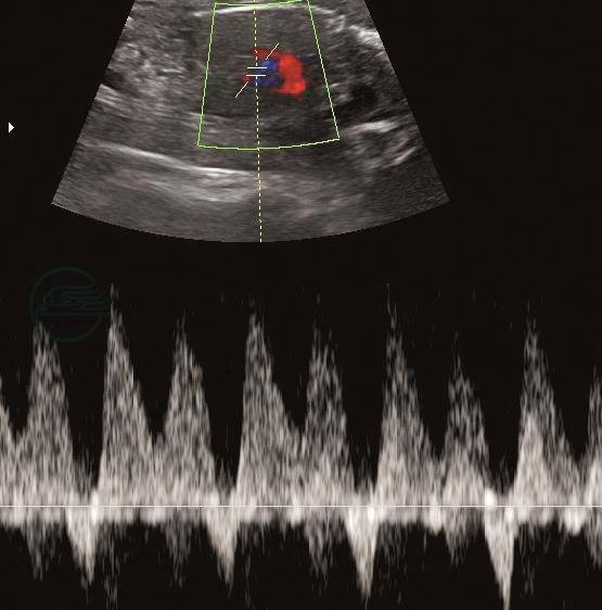
(1)脐动脉:是了解胎盘功能的重要指标。当胎盘功能不良时,会出现舒张期血流降低、搏动指数(PI)增高,舒张末期血流消失甚至反向。当EFW小于第10百分位数时,建议每1~2周测量脐动脉;当脐动脉多普勒指标出现异常时,目前尚无循证证据提供最佳的多普勒监测频率。英国皇家妇产科医师协会(RCOG)推荐对于短期内需继续妊娠的、PI>第95百分位数的FGR胎儿,每周多普勒超声监测2次;对舒张末期血流消失或反向者,每天监测1次(图1~图2)。

图1脐动脉
妊娠26+6周,脐动脉舒张期血流消失
引自:中国产科超声检查指南(第2版).第2版.ISBN:978-7-117-37733-1.主编:

图2脐动脉
妊娠27+2周,脐动脉舒张期血流反向
引自:中国产科超声检查指南(第2版).第2版.ISBN:978-7-117-37733-1.主编:
(2)大脑中动脉:胎儿宫内慢性缺氧时,由于脑保护效应,出现舒张期血流增加,PI降低(图3)。
(3)脑胎盘比(cerebroplacental ratio,CPR):是指大脑中动脉PI和脐动脉PI的比值。ISUOG指南将CPR低于第5百分位数或脐动脉PI高于第95百分位数定义为晚发型FGR的多普勒诊断标准。CPR发现胎儿缺氧比单个脐动脉和大脑中动脉多普勒指标更加敏感,与不良围产儿结局的相关性更强。

图3大脑中动脉
妊娠34+5周,大脑中动脉舒张期血流增加
引自:中国产科超声检查指南(第2版).第2版.ISBN:978-7-117-37733-1.主编:
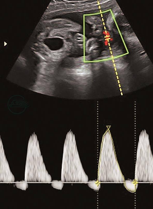
(4)静脉导管:严重FGR常合并胎儿心血管功能的改变,心前静脉的血流模式取决于心脏的顺应性、收缩力及后负荷,心房收缩波(a波)降低、消失和反向提示胎儿心脏功能受损(图4)。静脉导管血流评估对新生儿酸中毒和不良结局有一定预测价值。
(5)子宫动脉:反映母体侧胎盘循环状态,子宫动脉阻力随孕周增加逐渐降低。早孕期子宫动脉多普勒是预测子痫前期的重要指标,亦是中、晚孕期监测胎盘功能的指标之一。
5.FGR的诊断标准 胎儿生长径线和母胎多普勒血流监测见表1。

图4静脉导管
妊娠26+6周,静脉导管a波反向
引自:中国产科超声检查指南(第2版).第2版.ISBN:978-7-117-37733-1.主编:
表1FGR的诊断标准

引自:中国产科超声检查指南(第2版).第2版.ISBN:978-7-117-37733-1.主编:
1.核对孕周 妊娠14周前根据顶臀长评估孕周,妊娠14周后根据头围或头围+股骨长度估算孕龄。
2.结合胎儿双顶径、头围、腹围、股骨长度测量指标,根据超声仪器内的软件得出估计胎儿体重(estimated fetal weight,EFW),参考相应孕周正常值范围,小于10百分位数可考虑有FGR的可能。
3.胎儿生长径线超声 动态监测胎儿生长趋势。中、晚孕期间隔2~3周随访胎儿生长径线超声,观察胎儿生长速度及羊水量。
4.产科多普勒超声 是监测母胎循环的重要手段,常用的参数有脐动脉、大脑中动脉、脑胎盘比、静脉导管、子宫动脉等。
(1)脐动脉:是了解胎盘功能的重要指标。当胎盘功能不良时,会出现舒张期血流降低、搏动指数(PI)增高,舒张末期血流消失甚至反向。当EFW小于第10百分位数时,建议每1~2周测量脐动脉;当脐动脉多普勒指标出现异常时,目前尚无循证证据提供最佳的多普勒监测频率。英国皇家妇产科医师协会(RCOG)推荐对于短期内需继续妊娠的、PI>第95百分位数的FGR胎儿,每周多普勒超声监测2次;对舒张末期血流消失或反向者,每天监测1次(图1~图2)。

图1脐动脉
妊娠26+6周,脐动脉舒张期血流消失
引自:中国产科超声检查指南(第2版).第2版.ISBN:978-7-117-37733-1.主编:

图2脐动脉
妊娠27+2周,脐动脉舒张期血流反向
引自:中国产科超声检查指南(第2版).第2版.ISBN:978-7-117-37733-1.主编:
(2)大脑中动脉:胎儿宫内慢性缺氧时,由于脑保护效应,出现舒张期血流增加,PI降低(图3)。
(3)脑胎盘比(cerebroplacental ratio,CPR):是指大脑中动脉PI和脐动脉PI的比值。ISUOG指南将CPR低于第5百分位数或脐动脉PI高于第95百分位数定义为晚发型FGR的多普勒诊断标准。CPR发现胎儿缺氧比单个脐动脉和大脑中动脉多普勒指标更加敏感,与不良围产儿结局的相关性更强。

图3大脑中动脉
妊娠34+5周,大脑中动脉舒张期血流增加
引自:中国产科超声检查指南(第2版).第2版.ISBN:978-7-117-37733-1.主编:
(4)静脉导管:严重FGR常合并胎儿心血管功能的改变,心前静脉的血流模式取决于心脏的顺应性、收缩力及后负荷,心房收缩波(a波)降低、消失和反向提示胎儿心脏功能受损(图4)。静脉导管血流评估对新生儿酸中毒和不良结局有一定预测价值。
(5)子宫动脉:反映母体侧胎盘循环状态,子宫动脉阻力随孕周增加逐渐降低。早孕期子宫动脉多普勒是预测子痫前期的重要指标,亦是中、晚孕期监测胎盘功能的指标之一。
5.FGR的诊断标准 胎儿生长径线和母胎多普勒血流监测见表1。

图4静脉导管
妊娠26+6周,静脉导管a波反向
引自:中国产科超声检查指南(第2版).第2版.ISBN:978-7-117-37733-1.主编:
表1FGR的诊断标准

引自:中国产科超声检查指南(第2版).第2版.ISBN:978-7-117-37733-1.主编:
FGR与小于胎龄儿(small for gestational age infant,SGA)产前很难完全区分。SGA是指胎儿体格及体重较小,但无器官功能障碍,预后良好。FGR系指因多种因素导致未达到应有的遗传学上生长潜能,可同时伴有母胎多普勒血流异常、胎儿器官功能异常,预后不良的可能性大。
部分FGR胎儿估测体重可能大于相同孕周第10百分位数,对于这部分胎儿的产前监护、产科高危因素的筛查和多普勒超声母胎血流动力学检测都十分重要。
FGR与小于胎龄儿(small for gestational age infant,SGA)产前很难完全区分。SGA是指胎儿体格及体重较小,但无器官功能障碍,预后良好。FGR系指因多种因素导致未达到应有的遗传学上生长潜能,可同时伴有母胎多普勒血流异常、胎儿器官功能异常,预后不良的可能性大。
部分FGR胎儿估测体重可能大于相同孕周第10百分位数,对于这部分胎儿的产前监护、产科高危因素的筛查和多普勒超声母胎血流动力学检测都十分重要。
1.FGR产前检出率为12%~50%,总检出率约为31%。FGR死胎发生率约为16.7%,产前发现的FGR死胎发生率为9.7%,未经产前发现的FGR死胎发生率为18.2%。
2.胎儿生长径线超声测量BPD、HC、AC、FL,估计胎儿体重(EFW)误差高达20%以上,不推荐过于频繁测量胎儿生长径线。
3.多普勒参数的准确性受到孕妇仰卧位综合征、多胎妊娠、胎心率异常、胎动及呼吸样运动、羊水过少或过多、胎儿体位等因素的影响。
4.多普勒参数包括PI、RI、S/D,建议采用PI作为胎儿多普勒检测的血流参数,应使用相同孕周的第95百分位数作为多普勒参数正常值上限。
5.严重FGR可发生胎死宫内。妊娠30周以前静脉导管a波持续反向,妊娠30~32周脐动脉舒张末期血流反向,妊娠32~34周脐动脉舒张末期血流消失,胎儿不良预后的可能性增加,也是临床决策的重要参考。
1.FGR产前检出率为12%~50%,总检出率约为31%。FGR死胎发生率约为16.7%,产前发现的FGR死胎发生率为9.7%,未经产前发现的FGR死胎发生率为18.2%。
2.胎儿生长径线超声测量BPD、HC、AC、FL,估计胎儿体重(EFW)误差高达20%以上,不推荐过于频繁测量胎儿生长径线。
3.多普勒参数的准确性受到孕妇仰卧位综合征、多胎妊娠、胎心率异常、胎动及呼吸样运动、羊水过少或过多、胎儿体位等因素的影响。
4.多普勒参数包括PI、RI、S/D,建议采用PI作为胎儿多普勒检测的血流参数,应使用相同孕周的第95百分位数作为多普勒参数正常值上限。
5.严重FGR可发生胎死宫内。妊娠30周以前静脉导管a波持续反向,妊娠30~32周脐动脉舒张末期血流反向,妊娠32~34周脐动脉舒张末期血流消失,胎儿不良预后的可能性增加,也是临床决策的重要参考。



