可广泛适用于腰椎及椎管的肿瘤性病变、炎症性病变及先天变异,如椎管肿瘤;椎骨肿瘤;椎体及椎管炎性疾病;椎体退行性变和椎管狭窄症;外伤;先天性疾病;腰椎及椎管病变手术后复查;腰脊神经根病变;骨髓病变如再生障碍性贫血及白血病等的胸椎成像。
1.装有心脏起搏器及电子耳蜗者。
2.椎骨植入磁性固定钢板(钛金属除外)。
3.血管金属支架、血管止血金属夹。
4.带有呼吸机及心电监护设备的危重患者。
5.体内有胰岛素泵等神经刺激器患者。
6.妊娠三个月内。
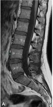
矢状位:显示椎体的连续解剖结构,腰椎呈生理曲度前凸,骶尾椎呈生理性后凸。腰椎椎体呈矩形,椎体边缘骨皮质在T1WI和T2WI上均呈低信号;椎体内随着年龄增长,逐渐由红骨髓向黄骨髓转换,儿童时期主要为红骨髓,T1WI呈低信号,T2WI呈中等信号,随着年龄的增长,椎体内大量脂类或脂肪成分堆积可形成局灶或弥漫性脂肪沉积改变,T1WI呈略高信号,T2WI呈中等信号(图2)。椎体后缘的中间部位有短的条状凹陷,为椎基静脉所致。椎体的附件包括椎弓、椎弓根、椎板、棘突、横突及上、下关节突等,其信号与椎体的信号类似。



图2 正常腰椎MRI图像
A.T1WI;B.T2WI;C.T2WI 脂肪抑制序列椎体松质骨呈中等信号,皮质骨呈低信号,椎体内脂肪沉积呈高信号,脂肪抑制序列呈低信号,脑脊液呈T1为低信号,T2为高信号
椎体的小关节在MRI上显示清晰,椎小关节面覆盖关节软骨,关节软骨和关节间隙内的液体在T1WI呈低到中等信号,在T2WI软骨为低至中等信号,关节腔内液体为高信号,在梯度回波序列关节软骨和液体均呈高信号。
腰椎间盘呈肾形,前厚后薄。椎间盘在T1WI呈较低信号,其中部信号较周围略低,外周部分纤维环与前后纵韧带汇合处信号强度更低,T2WI正常椎间盘中心部分呈高信号,而外周部分为低信号的纤维环(图3)。约90%30岁以上人群在T2WI椎间盘中央可见到一呈水平走行的低信号区,称为髓核裂,由髓核与同心纤维环的内层软骨纤维组织构成,属正常表现。椎体前缘和后缘为前、后纵韧带,在T1WI和T2WI上均呈低信号,与骨皮质、椎间盘纤维环难以区分。脊髓圆锥位于腰1椎体水平,儿童可稍低,腰、骶尾部脊神经根围绕脊髓圆锥和终丝,称为马尾,马尾神经较脊髓圆锥信号略低。椎间孔呈卵圆形,在旁矢状面显示清晰,中等信号的神经根位于神经孔的上部,在周围高信号脂肪组织对比下显示清晰。

图3 正常腰椎间盘MRI图像
椎间盘中央为高信号的髓核,周围低信号为纤维环
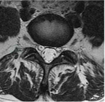
横轴位:椎体与椎间盘呈肾形,椎间盘在T1WI呈低信号,T2WI中央髓核为椭圆形高信号,周围纤维环为低信号。脊髓圆锥末端位于椎管中线稍靠后部,周围有许多神经根围绕,前部的腹侧神经根常呈V形、后部的背侧神经根多呈W形围绕圆锥和终丝。脊髓圆锥向下移行为纤维性终丝,止于盲囊。自圆锥平面向下走行的腰骶神经根称为马尾。圆锥和马尾在T 1WI为中等信号强度,类似于椎间盘信号,在T2WI信号强度低于椎间盘和脑脊液信号。马尾的形态在不同层面各不相同,在圆锥平面呈蜘蛛足样;在L2平面盲囊的下垂部为新月形软组织块影信号;在L3平面为新月形、球形或不规则形;在L4水平神经根均匀散布于脑脊液内;在L5水平稀少的神经根散布于盲囊内。在正中矢状位神经根显示为沿盲囊后部的线样中等信号影,旁正中矢状位显示神经根呈扇形从后向前下方延伸。
硬膜外间隙是骨性椎管与硬脊膜间的一狭窄腔隙,其内填充有硬膜外脂肪、韧带、神经和血管。腰椎硬膜外脂肪在T1WI为高信号,大部分位于硬膜的前和前外方,易与其他组织相区别;硬膜外中后部脂肪较少,多位于双侧黄韧带之间。黄韧带连接相邻的两椎板,厚约3~4mm,位于椎管内面的后部,向前延伸加固椎小关节的关节囊。因含有大量弹力纤维,信号略高于其他纤维和骨皮质,在T1WI、T2WI为中等强度信号。硬脊膜系致密结缔组织,内面有蛛网膜附着,两者间潜在的腔隙为硬膜下腔,MRI图像上通常难以区分。
蛛网膜下腔内含脑脊液和脊髓及马尾神经,脊髓前、后方的蛛网膜下间隙大致相同。蛛网膜下腔的脑脊液在T1WI呈低信号,T2WI为高信号,与脊髓信号相差较大,两者对比明显。但硬脊膜和蛛网膜组成的鞘膜在SE序列T1WI、T2WI不易显示,在梯度回波序列可显示为中等强度信号,Gd-DTPA增强扫描时,此鞘膜在T1WI可呈现高信号。一般齿状韧带、小血管不易在蛛网膜下腔内显示。
腰椎管侧隐窝为椎间孔的入口,位于椎弓根内侧和上关节突的前方,椎体后外侧和相邻椎间盘构成侧隐窝的后壁,其前后径正常大于3mm。
腰椎椎管横断面在上腰部常呈圆形或卵圆形,在下腰部多为三角形,其尖端指向后方,横径多大于前后径,腰段硬膜外间隙内含有较多的脂肪,大多位于硬膜囊前方和前外方,因此可较好地对比显示出椎间盘突出对硬膜囊的压迫。腰段蛛网膜下腔比颈、胸段宽大,尤其在L 2以下水平,MRI图像可清晰显示硬膜外脂肪和宽大的蛛网膜下腔。
对于外伤及炎症性病变,增加矢状位FSET2WI-脂肪抑制序列可增加病灶与背景组织的信号对比度,从而提高病灶检出率,也可鉴别高信号病灶是否为脂肪组织。对于T1WI为高信号的病灶,应常规增加T1WI-脂肪抑制序列,以鉴别高信号病灶是脂肪组织或出血性病灶。
对脂肪瘤应增加T1WI-脂肪抑制序列。
对血液病骨髓病变的观察,除了矢状面T2WI、T1WI序列,还应加作冠状面T1WI序列,以更好地观察脊柱旁结节病变。
对椎管的血管畸形,也可以使用长回波时间(TE>200ms)高分辨(512×512)的FSE-T2WI序列及流动去相位序列,产生“黑血”效应,使畸形血管呈流空表现。也可采用PC法。