检查详情-人卫临床助手-人民卫生出版社 Insert title here Insert title here
Insert title here
首页 >  检查 >  头部CT平扫检查
头部CT平扫检查
男女均适用
概述

颅脑、五官和颈部常用的扫描方法为平扫和增强扫描。检查体位通常为仰卧位,但颅脑的某些部位检查也采用俯卧位,如脑垂体检查(图1)。颅脑CT检查须注意扫描基线,有听眶线(RBL)、听眦线(OML)和听眉线(EML)(图2)。由于不同扫描基线的断面解剖显示结构有所不同,在扫描时需加以注意。

图1 颅脑扫描冠状位体位

图2 颅脑扫描基线

适应证

一、颅脑

CT平扫可应用于颅脑外伤、急性脑出血、脑萎缩、脑梗死、先天性发育异常,颅内肿瘤,脑血管性疾病,颅内感染,颅遗传性代谢性脑部疾病,脑白质病,颅骨骨源性疾病,颅内压增高、脑积水等,有时需要做增强扫描。CT平扫时多采用横断面扫描,当疑似垂体瘤、颅底病变、小脑病变以及大脑凸面病变时可加做冠状面扫描。

二、垂体

鞍区肿瘤,颅脑外伤累及鞍区,鞍区肿瘤侵犯周围结构情况,鞍区肿瘤术后复查等。

检查前准备
此内容为收费内容
检查过程
此内容为收费内容
临床应用

1.颅内出血

图6~图14为颅内出血病例。

2.颅脑外伤出血伴骨折

图15为颅脑外伤出血伴骨折病例。

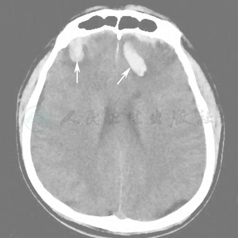
图6 双侧额叶出血

图7  右侧颞叶脑出血

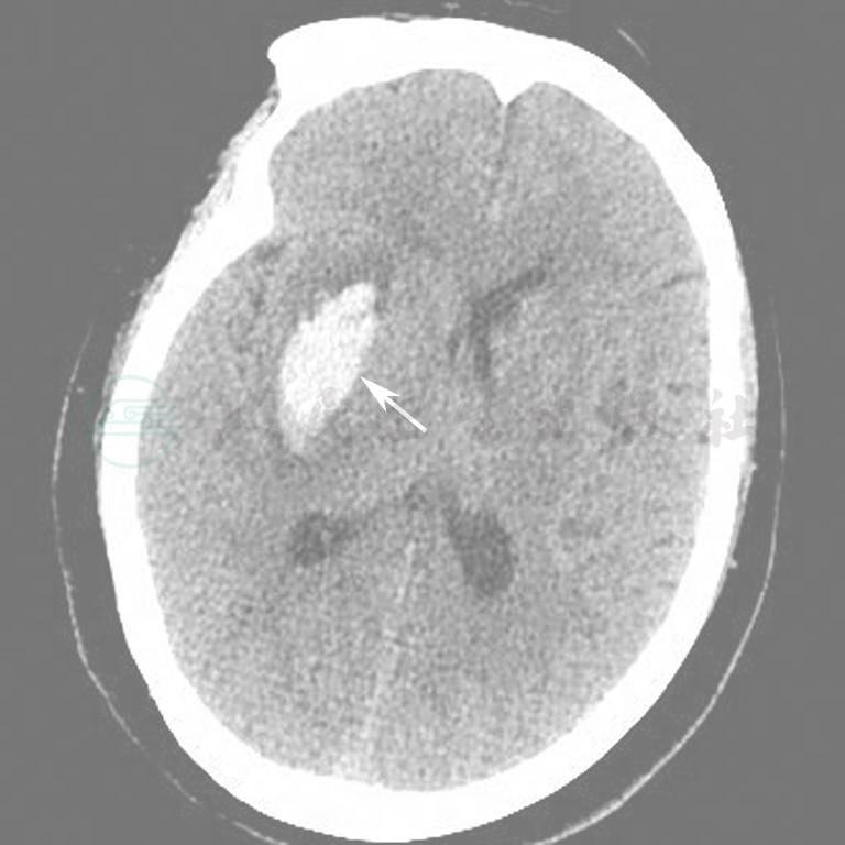
图8  右侧基底节区脑出血

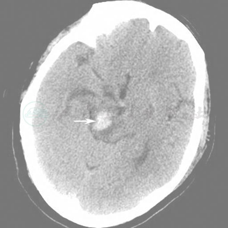
图9  脑干右份出血

图10  颅内出血(硬膜外)

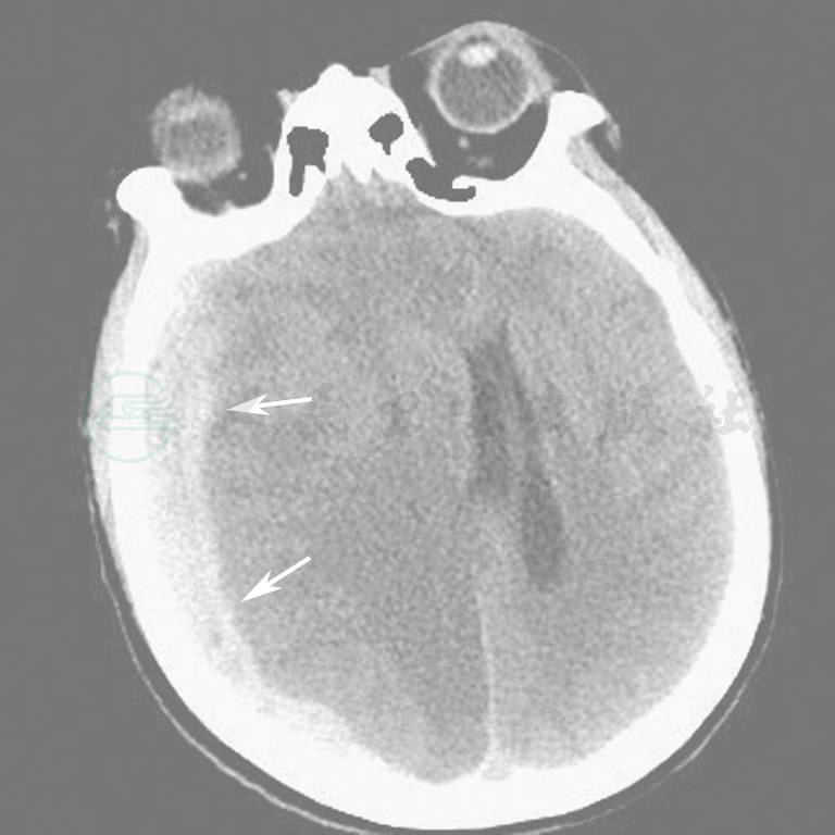
图11  双侧颅内出血(硬膜下)

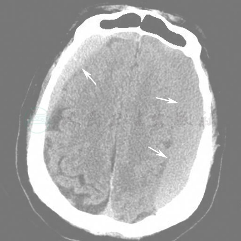
图12  右侧颅内出血(硬膜下)

图13  右侧颅内出血(硬膜下)

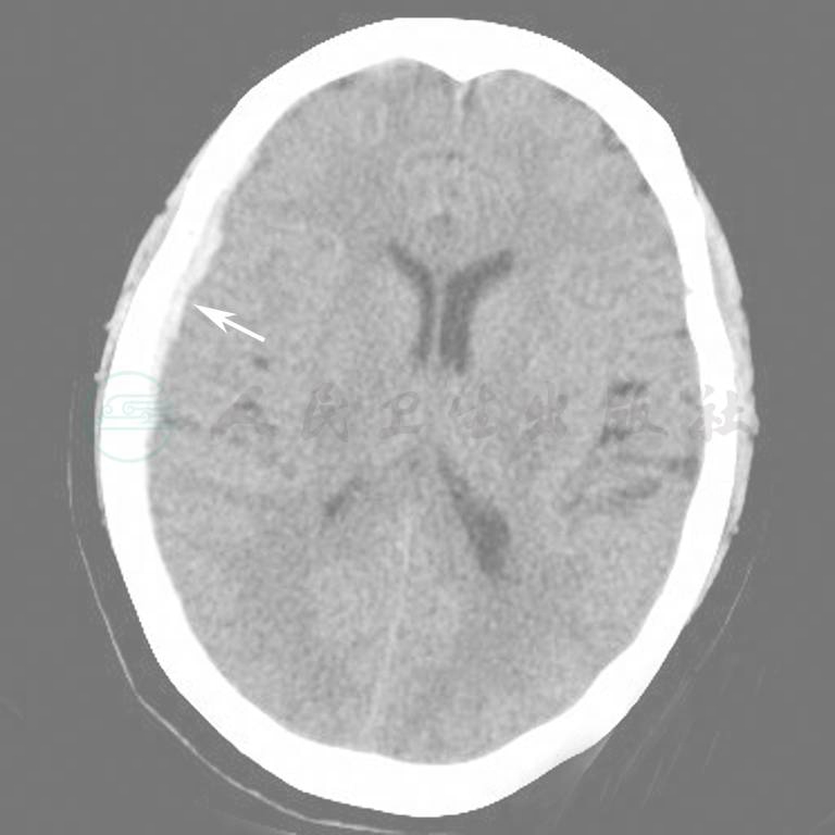
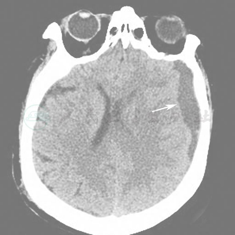
图14  右侧慢性硬膜下出血

图15  外伤后颅内出血(箭)

A.脑组织窗;B.骨窗;C.VR重建

注意事项

为了使CT检查取得较好的效果,扫描前的准备工作必不可少。检查前的准备及注意事项主要有以下几点:

首先,被检查者进入CT室需换鞋,保持机房内的整洁,对患者作好耐心的解释工作,包括检查中机器的响声。如需增强扫描,告诉患者注射对比剂后身体的反应及可能发生的副作用等,消除其紧张情绪,配合检查顺利完成。

其次,要求患者摘掉检查部位的金属发夹、耳环以及颈部的项链等,做冠状扫描时尽可能摘掉义齿,以防伪影产生。

再次,在扫描过程中患者的体位须保持不动,确保检查部位的固定,是减少运动伪影的有效措施。眼部扫描时嘱患者两眼球向前凝视或闭眼不动;对不能配合的患者及婴幼儿,可采用药物镇静。成人一般在检查前采用肌内或静脉注射10mg地西泮,少数效果差者可重复肌注或静脉注10mg地西泮,小儿口服水合氯醛最为安全,按每千克体重50~75mg(总剂量不得超过2g)于扫描前口服。另外,在CT扫描过程中应作好患者和陪护人员的射线防护,在非特殊情况下患者家属不要滞留在扫描室内。

增强扫描后留观15~30分钟,以防止对比剂过敏反应发生。

评论
发表评论
相关疾病
相关病例