检查详情-人卫临床助手-人民卫生出版社 Insert title here Insert title here
Insert title here
首页 >  检查 >  胸部数字X射线摄影
胸部数字X射线摄影
男女均适用
概述

胸部X线摄影大体可分为肺部摄影,心脏、大血管摄影,儿童/婴幼儿摄影,床旁X线摄影等。摄影方法主要有:①常规采用正侧位组合摄影,从两个空间方位进行解剖结构定位和诊断。②补充摄影是非常规检查技术,主要是对正侧位不能良好显示的某些解剖结构进行重点/局部显示或属于某种病变的最佳表现体位。这需要技师有较好的影像初诊能力,能及时发现病变并采用技术手段解决问题。补充摄影常常采用透视定位/点片。③“床旁X线摄影”是在患者不能完成转运时,使用平板C臂或移动DR等移动设备在病房、手术室环境进行坐位/半坐位胸部摄影,以了解肺野基本情况(感染、积液)为目的。④特殊摄影,主要采用特殊的成像技术获得更具诊断细节的影像,例如双能量胸部摄影,融合体层摄影等。

适应证

肺部及支气管病变,心脏及大血管病变,纵隔和横膈病变,胸膜和胸壁病变,肋骨骨折及骨质改变,常规体格检查。而胸部—前弓位(前后向)适用于肺尖病变、下胸部叶间胸膜积液及右中叶肺不张等,是在胸部正侧位片检查基础上的一种辅助检查。

检查过程
此内容为收费内容
临床应用

胸部X线摄影是影像学常规检查项目,目的主要是肺部疾患的初诊、筛查、复查,为大部分常见肺部疾病的诊治过程提供影像学依据。

注意事项

(1)设备条件具备时,应采用高电压摄影,滤线栅比值不小于10∶1。

(2)进行病人呼吸屏气的训练。

(3)去除胸部一切可能产生伪影的异物。

(4)重症病人及婴幼儿可采取半卧位或仰卧正位摄影。

评价

目前对X线照片影像的评价概念与方法还未统一和普及,基本上还是视觉的主观评价。鉴于此,对胸部影像的评价要循序渐进。首先,改变原有的单纯从影像技术学的角度去分析、评价,而应向诊断学要求转移。那么,对胸部影像来讲,应向着重于评价肺纹理的追踪及纵隔显示方向转移,要避免全部注意力都放在成像技术条件,如密度、对比度、锐利度、体位等方面。必须明确,X线摄影的目的是为临床诊断提供信息、依据。其次,胸部照片影像的评价标准分为两类。

第一、视觉评价标准包括

肺门阴影结构可辨;锁骨下密度易于肺纹理的追踪;乳房阴影内可追踪到肺纹理;左心影内可分辨出肺纹理;肝肺重叠部可追踪到肺纹理;可显示纵隔阴影;肺尖充分显示;肩胛骨投影于肺野之外;两侧胸锁关节对称;膈肌包括完全,且边缘锐利;心脏、纵隔边缘清晰锐利;胶片尺寸使用适当;标志号码、日期正确;照片无污染、划痕、异物、静电等人工伪影。

第二、物理学评价标准

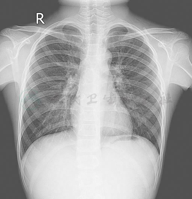
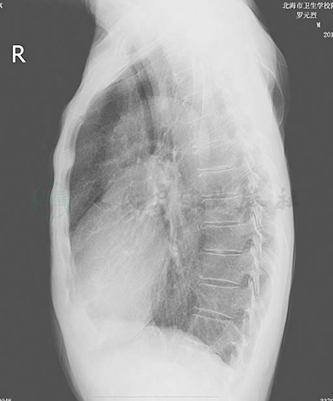
密度,肺野第二前肋间最高密度1.70 ± 0.05;肺门密度(背景均匀无骨骼重叠处)0.75 ± 0.05;肺周边部密度(近胸壁1cm处与单肋骨重叠处)0.65 ± 0.05;心影部密度(左心影内肺纹理处)0.40 ± 0.02;膈下部(肝肺重叠部)0.35 ± 0.02。对比度,肺野(最高密度)与肺门的对比度0.8 ± 0.15;气管(透亮区)与附近纵隔的对比度> 0.05;肺野(最高密度)与气管分叉下纵隔的对比度1.30 ± 15;肺野(最高密度)与邻近肋骨的对比度0.3 ± 0.10;锐利度,肋骨和锁骨骨棱,心脏与横膈边缘锐利;肺纹理边界清晰。颗粒性,肩胛骨下方软组织无颗粒状阴影,即无照片斑点影(图1~图4)。

图1  胸部后前位

图2  胸部侧位

图3  胸部后前位图像

图4  胸部侧位图像

评论
发表评论
相关疾病
相关病例