第一节 卵巢肿瘤概述
卵巢虽小,组织成分却非常复杂,卵巢肿瘤组织学类型繁多(参见WHO2003年版卵巢肿瘤组织学分类),且有良性、交界性和恶性之分,是全身脏器中原发肿瘤类型最多的部位,因此,超声诊断卵巢肿瘤具体类型较为困难。
【卵巢肿瘤与相关标志物】
不同类型的卵巢肿瘤具有一定的相对特异的标志物,可用于辅助诊断及病情监测。①CA125、CA19-9、CEA:卵巢上皮性肿瘤标志物;②AFP(甲胎蛋白):对卵巢卵黄囊瘤、未成熟型畸胎瘤、无性细胞瘤有协助诊断意义;③HCG:对非妊娠性绒毛膜癌有特异性;④性激素:颗粒细胞瘤、卵泡膜细胞瘤可产生较高水平的雌激素;⑤鳞癌相关抗原(SCC):成熟型畸胎瘤恶变时可升高。
【卵巢肿瘤与声像图类型】
由于卵巢组织的多样性和肿瘤类型的复杂性,超声检查无法进行组织学诊断,但可对之进行较准确的超声物理声像特征判定。根据声像图表现其物理声像特征主要分三大类:①囊性病变:病灶内囊性部分≥90%;②实性病变:病灶内实性部分≥90%;③混合性病变:又可分为实性为主的病变(囊性部分占10%~49%)和囊性为主的病变(囊性部分占50%~89%)。
根据卵巢肿瘤的血流分布情况,卵巢肿瘤声像图上可分为三型。0型:肿瘤周边及内部均无明显的血流信号;Ⅰ型:实性部分可见点状、短线状血流信号,或囊内分隔上可见血流信号,或囊壁见血流信号;Ⅱ型:实性部分可见树枝状或网状血流信号,伴或不伴囊内分隔血流信号。根据声像图的物理性质,结合肿瘤边界、分隔、内部结构及其血流分布特征,可反映肿瘤病变的大体结构和血供情况,进而判断其病理性质。
【扫查方法】
对有性生活史者可采用经阴道或经腹超声扫查,无性生活史者则可采用经直肠或经腹超声扫查。正常卵巢体积较小,位置多变,因此卵巢病变的超声检查需经腹联合经阴道或经直肠扫查。
【注意事项】
1.扫查方法互补
经腹和腔内超声结合可提高卵巢显示率及其病变显示范围,尤其适合肥胖、绝经后卵巢较小的患者和盆腔术后粘连、卵巢难以显示者。对于较大的卵巢肿瘤,经腹扫查观察其全貌,经阴道或直肠扫查观察其内部血供特征、与子宫的关系等。
2.检查技术的选择
应常规选用灰阶显像和多普勒超声技术观察卵巢病变,判断困难及有条件的机构可以增加超声造影技术(参见中国医师协会超声造影相关指南),了解卵巢病变血流灌注情况。
第二节 卵巢瘤样病变
【简介】
卵巢瘤样病变(tumour-like conditions)病理类型包括妊娠黄体瘤、间质卵泡膜细胞增生症、间质增生症、卵巢重度水肿以及一些功能性囊肿等。临床上常见的瘤样病变多数为功能性囊肿即非赘生性囊肿,包括滤泡囊肿、黄体囊肿、黄素化囊肿、子宫内膜异位囊肿等。卵巢功能性囊肿多数需结合月经史判断,超声图像有一定特征。
【超声诊断要点】
1.卵巢单房囊肿
滤泡囊肿、黄体囊肿和单纯性囊肿均可表现为卵巢内的单房囊肿。囊肿壁薄,内为无回声,直径常不超过50mm,偶可达70~80mm。囊肿一侧常可见正常卵巢结构,呈半月形附于囊肿边,内见小卵泡(图7-1)。CDFI显示囊壁上细小环状或半环状血流信号。多数在4~6周内逐渐吸收或自行破裂,临床上不需特殊处理。

图7-1 卵巢单房囊肿灰阶与CDFI声像
A.卵巢单房囊肿灰阶声像;B.卵巢单房囊肿CDFI声像;CY:囊肿;箭头:囊肿周围正常卵巢组织
2.黄体血肿
根据黄体内出血量和时间不同其声像图表现多样化。黄体早期囊内出血较多时表现为卵巢内近圆形囊肿,囊壁厚,囊内杂乱不均质低回声;黄体中期血肿内血液凝固,囊壁变薄而规则,内壁光滑,囊内回声减低,呈粗细不等网状结构;黄体晚期血液部分吸收,囊内回声可呈实性稍高回声,当血液完全吸收后形成黄体囊肿,囊壁变得光滑,囊内无回声。CDFI显示囊肿周围环状血流信号,记录到高速低阻的血流频谱,阻力指数有时可低于0.40(图7-2,图2-4)。

图7-2 卵巢黄体血肿CDFI声像
CY:黄体血肿
3.多囊卵巢综合征
双侧卵巢轮廓清晰,均匀性增大,一侧或两侧卵巢内含有≥12个直径小于10mm的小囊泡状结构,在卵巢皮质呈车轮状分布;卵巢中部髓质回声增强;卵巢无优势卵泡生长及排卵征象(图7-3)。子宫大小正常或偏小,内膜薄,缺乏周期性变化,或内膜呈不同程度增生改变,无分泌期改变。
4.子宫内膜异位囊肿
卵巢内囊性占位,呈圆形或椭圆形,可单发也可多发,大小不一,直径一般5~6cm,最大可达20cm以上;边界清,囊壁较厚,内壁欠光滑;囊内回声多数为均匀云雾状低回声,见图7-4,也可呈无回声内散在细点状回声、类实质型和混合型回声,内部回声可随体位变动而发生移动或漂浮。部分病例可观察到周期性变化,月经期内部回声增多,体积稍增大,月经期过后则相反。CDFI显示病灶内无明显血流信号。
【鉴别诊断】

图7-3 卵巢多囊样改变声像
A.右侧卵巢多囊样改变声像;B.左侧卵巢多囊样改变声像;箭:卵巢

图7-4 卵巢子宫内膜异位囊肿声像
CY:卵巢子宫内膜异位囊肿;箭头:卵巢子宫内膜异位囊肿边界
1.黄体血肿因出血时间、出血量不同而声像图变化较大,与较小的卵巢恶性肿瘤、异位妊娠和炎性包块内血流信号丰富且呈低阻力动脉血流频谱相似,需仔细鉴别,可根据月经周期和黄体血肿的环状血流信号鉴别,短期复查声像图有改变。
2.较大的黄体血肿破裂时,临床表现类似急腹症,有时声像图表现酷似异位妊娠或盆腔炎,可借助病史和HCG水平鉴别。
3.子宫内膜异位囊肿呈混合性回声时,需与卵巢实性肿瘤鉴别,后者实性部分可见较丰富血流信号。
【注意事项】
1.卵巢功能性或非赘生性囊肿常与月经周期性改变有关,动态随访观察有助于明确诊断。
2.对于各种卵巢单房性囊肿超声无法准确鉴别,可仅提示单纯性囊肿。
3.黄体血肿是最常见的卵巢生理性改变,最容易被误诊为卵巢肿瘤,充分认识黄体的特征并结合月经周期是诊断的关键。
4.多囊卵巢综合征是临床诊断,超声只能观察和提示卵巢多囊样改变。
5.卵巢子宫内膜异位囊肿的声像变化多样,有时与其他附件肿块有相同的灰阶和CDFI声像图特征,难以准确诊断。卵巢上斑点状异位病灶,或深部子宫内膜异位病灶超声检查常常无法检测出来。
第三节 良性卵巢肿瘤
【简介】
常见的良性卵巢肿瘤(benign ovarian tumor)包括卵巢囊腺瘤、成熟型畸胎瘤、卵巢纤维瘤和卵泡膜细胞瘤(后两者属于卵巢卵泡膜-纤维瘤组肿瘤),这些肿瘤约占所有卵巢良性肿瘤的95%以上。
尽管良性卵巢肿瘤种类繁多,形态各异,具体肿瘤病理类型较难鉴别,在超声声像图上表现为子宫旁囊性、实性和混合性回声等多种类型肿块,但绝大多数肿块形态规整、边界较清,内部回声相对清晰,且属于少血供型。
以下情况符合良性肿瘤特点:①随月经周期改变的或与早孕伴随的卵巢肿块,表现为囊性,即使内部有少许回声,多数也为良性;②与葡萄胎或绒毛膜癌伴随的双侧卵巢多房性囊肿,间隔较细者;③直径小于5cm的囊肿,囊壁薄而光滑,囊内无实性成分者;④具有典型的囊性畸胎瘤声像图特征;⑤具有典型纤维瘤声像图特征的实性肿块;⑥CDFI显示瘤内无血流,或少许血流信号,频谱为高阻血流。
【超声诊断要点】
1.囊腺瘤
属于卵巢上皮性肿瘤。多数表现为多房囊性肿块,少部分表现为单房性,肿块外形椭圆形,边界清晰,囊内为无回声,囊壁不规则,囊壁光滑。浆液性囊腺瘤以单房、少房居多,黏液性囊腺瘤以多房为主,且瘤体较大(图7-5,图7-6)。乳头状囊腺瘤在瘤内壁及分隔上可见散在的点状、结节状或乳头状凸起,以浆液性囊腺瘤多见(图7-7)。CDFI显示囊壁、囊内间隔以及乳头上可见细条状血流(图7-8),频谱多普勒可记录到低速中等阻力动脉频谱。当分隔较多,血流较丰富时,血流频谱与恶性卵巢肿瘤频谱相似,需注意交界性囊腺瘤可能,但超声较难鉴别。卵巢囊腺瘤病变可呈双侧性,以浆液性囊腺瘤多见。

图7-5 卵巢浆液性囊腺瘤声像
M:卵巢浆液性囊腺瘤;箭头:浆液性囊腺瘤边界

图7-6 卵巢黏液性囊腺瘤声像
M:卵巢黏液性囊腺瘤;箭头:黏液性囊腺瘤边界

图7-7 卵巢乳头状囊腺瘤声像
UT:子宫体;M:卵巢乳头状囊腺瘤;箭头:乳头状囊腺瘤边界

图7-8 卵巢囊腺瘤CDFI声像
M:卵巢囊腺瘤;箭头:卵巢囊腺瘤边界
2.成熟型畸胎瘤
属于卵巢生殖细胞肿瘤。成熟型畸胎瘤病理组织的多样性使其声像图表现多样复杂,其声像图类型可分为囊性型、混合型和实性型,较具特异性的征象有:
(1)壁立结节征:
囊肿内壁上可见隆起的强回声结节,可为单个或多个,其后可伴有声影,结节的组织结构可为牙齿或骨组织(图7-9)。
(2)脂液分层征:
肿块浅层为均匀点状中强水平回声,代表比重较低的皮脂和少许毛发,深层为含水的无回声,肿块内高和低回声区之间有一水平分层界面(图7-10)。
(3)面团征:
肿块无回声区内含高回声团,圆形或椭圆形,边缘清晰,浮于囊肿内或附于囊壁,肿瘤也可只表现为高回声团,高回声团多为脂质和毛发形成(图7-11)。

图7-9 卵巢成熟型畸胎瘤声像(壁立结节征)
M:卵巢成熟型畸胎瘤;箭头:卵巢畸胎瘤边界;箭:壁立结节征

图7-10 卵巢成熟型畸胎瘤声像(脂液分层征)
M:卵巢成熟型畸胎瘤;箭头:卵巢畸胎瘤边界;箭:脂液分层征

图7-11 卵巢成熟型畸胎瘤声像(面团征)
M:卵巢成熟型畸胎瘤;箭头:卵巢畸胎瘤边界
(4)瀑布征:
肿块内含实性强回声团块,后方回声明显衰减,似瀑布状或垂柳状,其组织结构上常为大量皮肤组织或骨组织聚集(图7-12)。

图7-12 卵巢成熟型畸胎瘤声像(瀑布征)
M:卵巢成熟型畸胎瘤;箭头:卵巢畸胎瘤边界
(5)其他征象:
除了以上相对特征性的图像表现外,在囊肿内部还可有散在星花点状高回声(图7-13),平行短线状回声或多种回声特征混杂等(图7-14)。

图7-13 卵巢成熟型畸胎瘤声像(星花征)
M:卵巢成熟型畸胎瘤;箭头:卵巢畸胎瘤边界;箭:星花征

图7-14 卵巢成熟型畸胎瘤声像(杂乱回声征)
M:卵巢成熟型畸胎瘤;箭头:卵巢畸胎瘤边界
(6)CDFI表现:
绝大多数成熟型畸胎瘤血流特征为少血流或无血流信号,即无论瘤内回声如何复杂,瘤中部甚至包膜上都极难显示血流信号,可据此血流特征区别其他附件肿块。个别瘤体内含单一特殊组织成分如神经组织、甲状腺组织等,瘤内实性成分可检测到血流信号。
3.卵泡膜-纤维瘤组肿瘤
属于卵巢性索-间质细胞肿瘤,常见类型为卵泡膜细胞瘤和卵巢纤维瘤。声像图具有如下特征:肿块呈椭圆形,边界清楚,内为实性或以实性为主的混合性回声;内部回声可呈较均质的高或低回声、也可呈不均质的高或低回声。高回声常见于卵泡膜细胞瘤,可伴后方回声衰减;低回声常见于纤维瘤,伴回声衰减;不均质回声常为两种组织成分混合所致,可呈“增强-衰减”模式(图7-15);可合并因雌激素增多相关的病变如子宫肌瘤及子宫内膜增生症等;纤维瘤可伴有少量胸水、腹水。CDFI显示瘤体中心或周边少许血流信号。
【鉴别诊断】

图7-15 卵巢卵泡膜细胞瘤灰阶与CDFI声像
A.卵巢卵泡膜细胞瘤灰阶声像;B.卵巢卵泡膜细胞瘤CDFI声像;M:卵泡膜细胞瘤;箭头:卵泡膜细胞瘤边界
1.良性卵巢肿瘤需与其他来源的盆腔肿块和病变,如浆膜下子宫肌瘤、盆腔腹膜后肿瘤、肠道肿瘤等相鉴别。仔细判断双侧有无正常卵巢结构,仔细观察肿块与子宫及相邻器官的关系可帮助鉴别。个别疑难病例可借助静脉超声造影辅助诊断肿块来源。
2.良性卵巢肿瘤需与卵巢功能性囊肿鉴别,后者有周期性特征,定期复查可缩小或消退。
3.成熟型畸胎瘤因瘤内成分复杂,回声多样,有时容易漏诊和误诊。发现可疑的附件肿块时可在腹部稍加压观察肿块的整体运动,与周围肠管蠕动相鉴别;与其他病变鉴别时注意其血流特征,成熟畸胎瘤瘤内常无血流信号,若CDFI可显示较丰富的血流信号,应怀疑恶变或其他类型肿瘤。
【注意事项】
1.良性卵巢肿瘤种类繁多,超声检查在多数情况下可以判断卵巢肿块的物理性质,除了典型的成熟型畸胎瘤外,多数难以准确判断其病理类型。
2.卵巢肿瘤的定位诊断强调寻找两侧卵巢,如果能显示明确的正常卵巢结构,排除卵巢肿瘤则较有把握,也能防止漏诊。
3.有些良性卵巢肿瘤可双侧发生,检查时不要遗漏。
第四节 恶性卵巢肿瘤
【简介】
恶性卵巢肿瘤(malignant ovarian tumor)占妇科恶性肿瘤的25%,在女性致死性癌症中排第4位。由于恶性卵巢肿瘤起病隐匿,大部分病例在发现时已是晚期。恶性卵巢肿瘤的种类更为繁多和复杂,但在超声声像图表现上有一定的共性,尤其是晚期恶性卵巢肿瘤,不同病理类型表现为相类似的特征,了解恶性卵巢肿瘤声像特征有助于判断卵巢肿瘤的良恶性,早期发现恶性卵巢肿瘤。
【超声诊断要点】
1.灰阶超声表现

图7-16 恶性卵巢肿瘤声像(囊性为主回声)
M:恶性卵巢肿瘤;箭头:恶性卵巢肿瘤边界不清

图7-17 恶性卵巢肿瘤声像(囊实性回声)
M:恶性卵巢肿瘤;箭头:恶性卵巢肿瘤边界不清
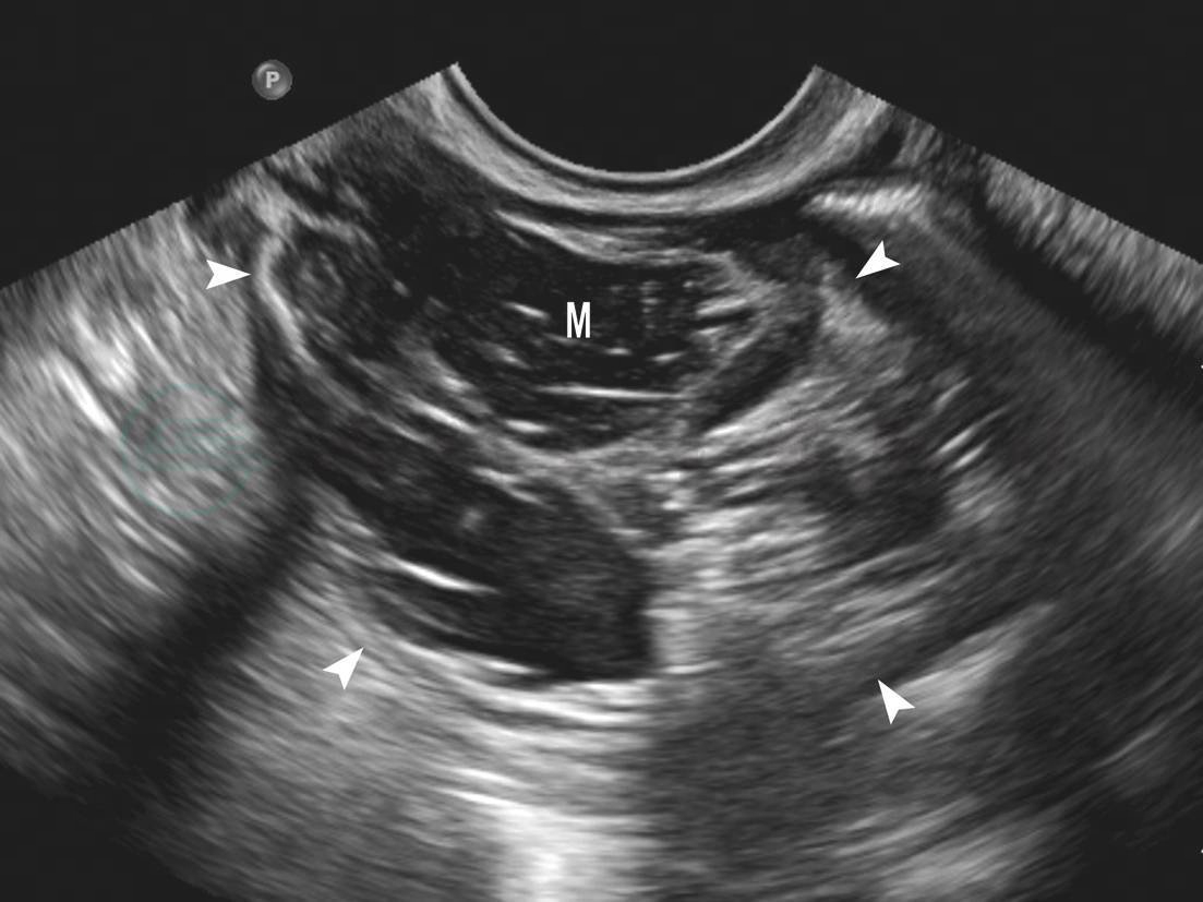
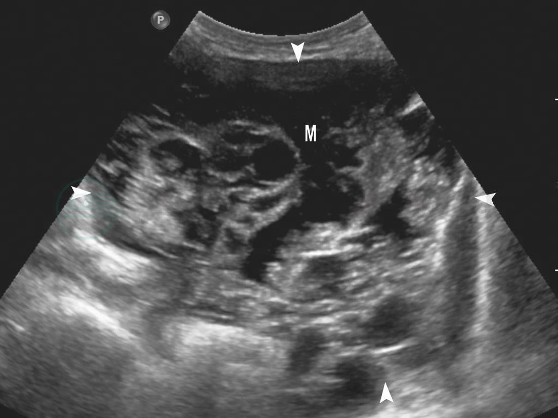
肿块多为囊实性,可呈囊性或实性为主或囊实各半,类圆形或椭圆形,形态可不规整,囊壁厚薄不均,囊腔内有乳头或菜花样实性回声突起,内部回声实性与囊性夹杂,回声杂乱(图7-16,图7-17);实性为主肿块往往形态不规整,椭圆形或肾形,包膜大多完整,内部回声杂乱不均匀,回声强弱不等,在实性回声中夹有大小不一、类圆形或不规则形的无回声区(图7-18)。除肿瘤本身的表现外,盆腹腔内腹水征是恶性卵巢肿瘤的常见合并征象。以囊实性回声为特征的恶性卵巢肿瘤包括:浆液性囊腺癌和黏液性囊腺癌、未成熟畸胎瘤和成熟型畸胎瘤恶变、子宫内膜样腺癌;以实性肿块为表现者包括:颗粒细胞瘤、无性细胞瘤、卵黄囊瘤、支持-莱狄细胞瘤、恶性Brenner瘤、恶性淋巴瘤、克鲁根勃瘤。

图7-18 恶性卵巢肿瘤声像(实性为主回声)
M:恶性卵巢肿瘤;箭头:恶性卵巢肿瘤边界不清
2.多普勒超声表现
肿块的囊壁、囊内间隔上或实性区内可显示丰富的条状、网状或小片状血流信号;频谱多普勒常可记录到低阻力型动脉血流频谱,RI常小于0.40,在肿块边缘部分血流信号较明亮处可记录到较高速血流(图7-19)。
3.实性或实性为主的卵巢肿瘤以恶性居多
如果形态不规则,或伴有肿块中央坏死液化产生的小片无回声区,以及伴腹水、腹膜转移瘤征象,更应考虑恶性卵巢肿瘤可能。

图7-19 恶性卵巢肿瘤CDFI和血流频谱特征
4.转移性卵巢肿瘤
多由消化道如胃和大肠等部位的恶性肿瘤转移而来,称为库肯勃瘤。卵巢转移性肿瘤声像特点与实性为主的卵巢原发性恶性肿瘤相似,但以双侧卵巢受累更为多见,有原发肿瘤的相关病史和临床表现,多数伴有腹水。
【鉴别诊断】
1.恶性卵巢肿瘤需与良性卵巢肿瘤鉴别,根据肿块回声和血流特征等综合指标进行鉴别,见下节。
2.边界不清、形态不规则的恶性卵巢肿瘤需与炎性肿块鉴别,后者有腹痛、发热、血常规检查白细胞升高等临床表现。
【注意事项】
1.不同类型的恶性卵巢肿瘤声像图有相似之处,超声无法准确辨别其病理种类,需结合临床和相关肿瘤标志物综合分析,超声可提示恶性的可能性,最后的诊断依赖手术病理检查。
2.早期卵巢癌超声诊断困难。对绝经期妇女和有家族遗传史者,常规定期超声监测卵巢大小有助于早期诊断。一旦发现卵巢体积增大,形态异常或伴有盆腔积液,应提高警惕。腔内超声检查结合肿瘤相关标志物,可使早期癌诊断特异性明显增高。
3.对于晚期恶性卵巢肿瘤,经腹超声和腔内超声相结合,扩大检查范围,有助于卵巢癌的临床分期诊断。
第五节 卵巢肿瘤的良恶性鉴别诊断
【简介】
卵巢肿瘤良恶性的诊断有赖于手术和病理组织学检查,早期的恶性卵巢肿瘤靠影像学检查和术中肉眼标本检查也难以判断其良恶性,较大的肿块则需综合临床表现(包括患者年龄、症状、月经情况)、影像学特征(超声声像图特征及其他影像学资料)、实验室检查(肿瘤标记物)等作出初步的术前诊断。
【良恶性卵巢肿瘤鉴别要点】
超声检查发现卵巢占位病变,怀疑卵巢肿瘤时,应结合临床病史、体征和肿瘤标记物,分析肿瘤的超声特征,初步进行肿瘤的良恶性判断(表7-1)。
表7-1 良性与恶性卵巢肿瘤的鉴别要点

续表

【注意事项】
1.灰阶超声与多普勒超声联合,结合年龄等临床病史判断卵巢肿瘤的良恶性比任何单项指标具有更高的准确性。
2.经阴道多普勒超声检查可获得较好的血流分辨力,有助于检测瘤内血流分布及频谱,辅助鉴别卵巢肿瘤的良恶性。
3.对于多普勒超声无法获得满意血流指标的卵巢肿瘤,有条件可选用静脉超声造影技术辅助判断。
4.因仅有不到一半的卵巢肿瘤具有较典型的良性或恶性的声像图特征,超声对于术前卵巢肿瘤的良恶性判断价值仍然有限;无论采用何种技术和途径,超声检查对于判断交界性或早期恶性卵巢肿瘤的准确性更是非常有限。
第六节 其他卵巢病变
【简介】
卵巢及卵巢肿瘤在特定情况下会发生肿瘤蒂扭转、破裂、瘤内出血、卵巢及附件扭转等。此类病变的共同临床特征为突发下腹痛,伴恶心、呕吐,盆腔内可扪及张力大之包块,压痛明显;大多数有跳跃、剧烈运动、快速体位改变、排便或撞击史。超声检查是重要的辅助诊断和鉴别诊断的方法。
【超声诊断要点】
1.卵巢肿瘤蒂扭转
声像特征包括原发病灶的瘤体特征加上肿瘤与子宫之间的扭转蒂部的“麻绳状”低回声。瘤体为囊性时,可见囊壁水肿,呈均匀增厚;瘤体为实性者,其内回声减低或因伴有缺血坏死,透声性增加。扭转程度不同,“麻绳”的螺旋数量不同,横切面呈一低回声多层同心圆状结构。血流信号可反映扭转程度轻重,扭转初期或较松时,蒂部尚可见同心圆状血流信号(图7-20);扭转圈数多、时间较长时,原发病灶的肿瘤内出现坏死、出血,使得内部回声杂乱,其内部、包膜及扭转的蒂部均无血流信号。

图7-20 卵巢肿瘤蒂扭转蒂部灰阶与CDFI声像
A.卵巢肿瘤蒂扭转蒂部灰阶声像;B.卵巢肿瘤蒂扭转蒂部CDFI声像;M:卵巢肿瘤;箭头:扭转的蒂部
2.卵巢囊肿破裂
子宫旁附件区囊性为主的肿块,边界不清,形状不规则,呈塌陷状;或者原有的囊肿突然变小,囊壁塌陷(图7-21);腹腔内出现游离积液,超声常无法显示破裂口具体位置,偶尔可见囊肿与腹腔积液相通。合并出血时,积液内可见云雾状低回声,单纯囊肿破裂时积液为无回声。CDFI示不规则囊性肿块近子宫侧包膜可见血流信号,具有原发囊肿的血流供应特征。

图7-21 卵巢畸胎瘤破裂声像
经腹扫查卵巢畸胎瘤破裂声像。A.卵巢畸胎瘤破裂灰阶声像;B.卵巢畸胎瘤破裂灰阶声像。M:卵巢畸胎瘤;AS:腹腔积液;箭头:腹腔积液
3.卵巢肿瘤瘤内出血
恶性卵巢肿瘤生长速度较快、瘤体组织坏死时可发生瘤内出血。卵巢囊性肿瘤内出血时,肿瘤内见区域性絮状回声或云雾状回声,内无血流信号。声像图无特异性,其诊断往往需结合腹痛症状,以及通过对比以往附件肿块的声像变化考虑。
4.卵巢扭转
多发生在青少年,无卵巢囊肿或肿瘤病史。超声检查双侧卵巢不对称,扭转侧卵巢肿大,内回声减低,因多数合并输卵管扭转,扭转蒂部呈麻绳状增粗,多普勒超声显示增大卵巢内无血流信号(图7-22)。

图7-22 卵巢扭转CDFI声像
经阴道扫查卵巢扭转声像。箭:卵巢
【鉴别诊断】
1.上述卵巢病变的临床表现与外科其他急腹症相似,尤其后者合并卵巢占位病变时更难鉴别,需紧密结合临床症状和体征,以及结合以往妇科超声阳性结果鉴别。
2.上述卵巢病变的临床症状和附件占位与异位妊娠相似,应根据妊娠相关病史、血HCG水平相鉴别。
【注意事项】
1.以上卵巢病变的超声图像大多数没有特异性,均需密切结合病史进行诊断。
2.高分辨力的多普勒超声未能显示卵巢或卵巢内肿块血流信号,且在肿块与子宫之间出现“麻绳状”低回声,提示有卵巢及附件扭转。但扭转的肿块内探及血流并不能完全排除肿块扭转。扭转时仍然可见血流信号可能与不完全扭转、扭转早期等有关。
3.卵巢及卵巢病变发生慢性扭转时,若没有明确的腹痛病史,极易漏诊。
4.较小的囊肿、单纯性囊肿以及卵巢肿瘤浸润性生长引起的破裂,其症状相对较轻,容易被忽略。
5.肿瘤或囊肿内出血若无明显症状,很难被发现,使得肿瘤内部回声更为复杂,增加判断的难度。