【病因】
诺卡菌属于放线菌科,其特征介于细菌和真菌之间,广泛存在于土壤、草木等自然界中。该菌生长过程中会发出细长的菌丝,菌丝断裂后,菌体呈短杆状或球状,革兰氏染色阳性,为需氧菌。除了引起角膜感染外,放线菌还可导致结膜炎、泪腺炎、葡萄膜炎、眼内炎和巩膜扣带的感染。
【病理机制】
在细菌性角膜炎中,诺卡菌导致的角膜感染所占比例不足百分之一。该菌为专性细胞内生长的细菌,可在吞噬细胞内繁殖。诺卡菌不产生外毒素,菌壁含有脂肽和脂多糖成分,繁殖速度较慢。宿主的体液免疫与细胞免疫均参与了病理过程。
【临床表现】
诺卡菌角膜感染往往继发于轻微角膜损伤后,或配戴角膜接触镜。角膜炎起病较缓慢,病程易迁延。
诺卡菌性角膜炎的病灶特征:
(1)早期表现为点状角膜上皮病变。
(2)随着病情发展,角膜基质浸润,或浅层角膜溃疡形成,溃疡底部灰白粗糙,溃疡边缘有坏死组织呈花饰状。
(3)严重的病例可形成角膜深层溃疡或基质脓疡,并有卫星灶出现;未能及时诊治的病人,可出现后弹力层膨出或角膜穿孔。
(4)严重的病例常并伴有前房炎性反应,或前房积脓。
【诊断】
诺卡菌性角膜炎的诊断主要依靠实验室检查。
实验室检查主要包括:
(1)微生物检查:角膜刮片细胞学检查与诺卡菌培养。临床医生送检角膜诺卡菌培养时,应在化验单上注明标本需要诺卡菌培养,或向实验室特殊说明。
(2)角膜激光共聚焦显微镜检查:有文献报道利用角膜激光共聚焦显微镜可查见诺卡菌菌丝样结构,但是其临床实际诊断意义仍待进一步研究证实。
【治疗】
1.药物治疗
(1)方案a:
一般情况下,眼局部可首选磺胺类药物(10%~30%磺胺醋酰钠,或4%磺胺嘧啶)局部应用,同时联合全身磺胺类药物治疗(如磺胺嘧啶、磺胺甲唑及三联磺胺)(图2-10-1,图2-10-2)。
(2)方案b:
对于严重病例,联合口服多西环素,每次100mg,每日2次,连续1周;或口服四环素;或口服氨苄西林每次0.25~1.0g,每日4次(图2-10-3,图2-10-4)。

图2-10-1 诺卡菌性角膜炎(轻度)

图2-10-2 同一病人治疗后
(3)方案c:
对于耐药菌株感染,以上药物治疗效果欠佳的病人,可选用0.5%~1%阿米卡星滴眼液点眼,同时给予阿米卡星20mg结膜下注射,每日1次,连续3~5天。

图2-10-3 诺卡菌性角膜炎(中度)

图2-10-4 同一病人治疗后
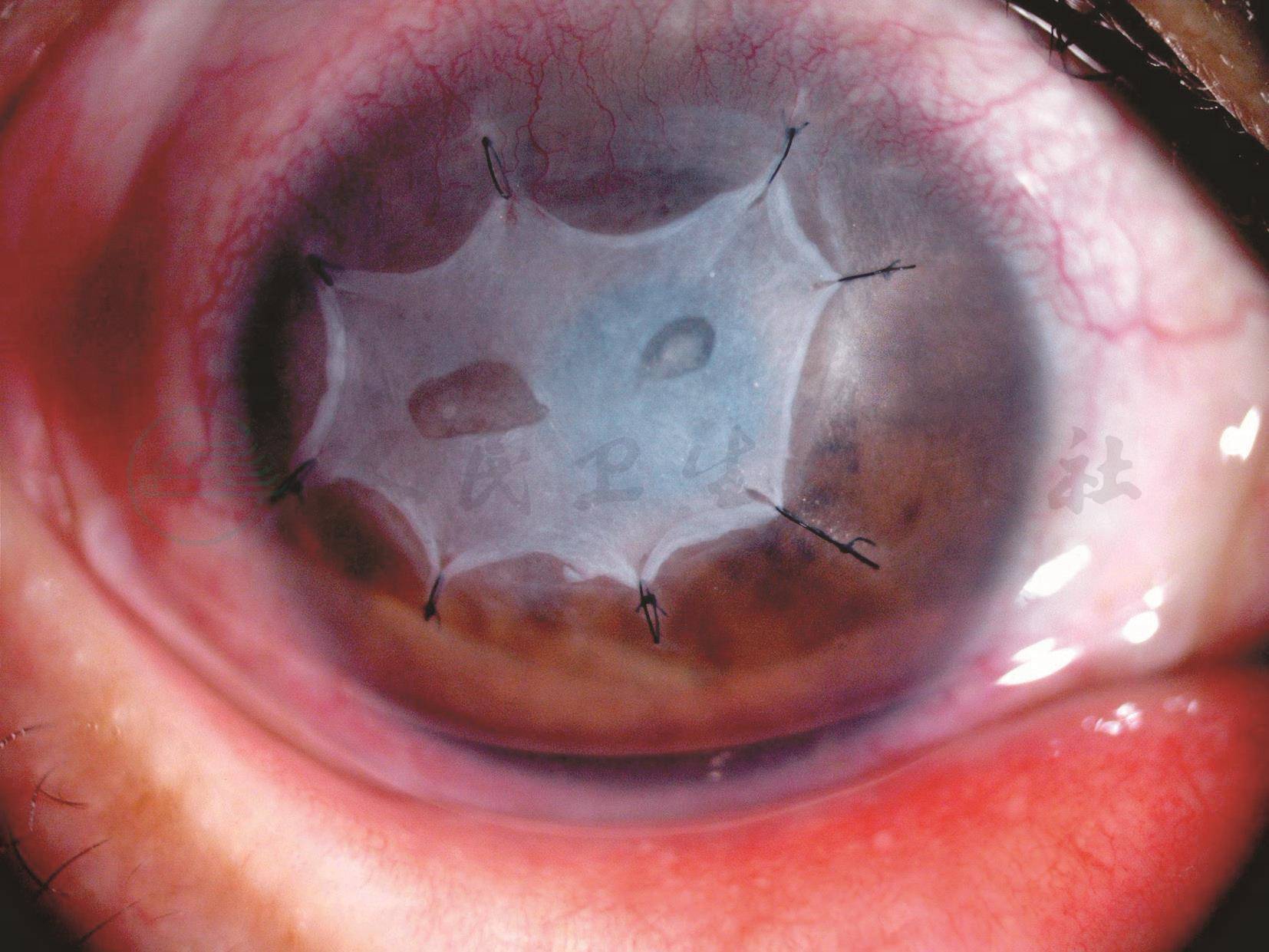
2.手术治疗
有角膜后弹力层膨出或穿孔倾向的病人,可行结膜瓣遮盖,或羊膜遮盖,或角膜移植(图2-10-5,图2-10-6)。

图2-10-5 诺卡菌性角膜炎(重度)(局部病灶切除+羊膜遮盖)

图2-10-6 同一病人手术治疗后