第一章 总论

PPT-细菌性角膜炎《眼科临床指南》解读
第一节 概论
美国眼科学会编辑出版的Preferred Practice Patterns( PPP)为临床指导性文件,其中文译本的书名为《眼科临床指南》(下文简称《临床指南》)。该《临床指南》的宗旨是将科学文献中所凝练出的科学证据与眼科临床实践经验相结合,指明疾病诊断与治疗的正确方向或路径,以提高临床医生的诊治水平,为病人提供高质量的医疗服务。
《临床指南》是在美国眼科学会的支持与关注下,由中华医学会眼科学分会组织,赵家良教授主持编译完成的。由于美国眼科学会定期对PPP的内容进行修订,以期能不断补充最具有科学性证据的建议,因此,《临床指南》也在2006年第1版的基础上,于2013年出版了第2版。《临床指南》第2版共包括十八册的内容,细菌性角膜炎为第十册,本专著旨在针对细菌性角膜炎的相关内容进行解读。
为了使临床医生能够更好地理解和运用《临床指南》,有必要首先对《临床指南》的定义、编写目的与原则,以及编写过程等进行简要的介绍。
一、什么是“临床指南”
根据《辞海》(第6版)(上海辞书出版社)的解释,“指南”一词的原意为指南针,常比喻正确的指导。也有将“指南”解释为人们辨别方向的依据,后引申为指导性文件或资料。依此,“临床指南”便可定义为:提供给临床医师,用于医疗实践的指导性文件,其特点是指明疾病诊断与治疗的正确方向或路径。一般情况下,“临床指南”的内容可以分为原则性指导和具体方法性指导两个方面。
在实际临床工作中,除了“临床指南”,我们还经常见到“临床规范与专家共识”。根据个人的理解,在这里简要解释一下“临床规范”“临床指南”及“专家共识”之间的区别。
“临床规范”的含义是按照既定的临床标准进行操作,如手术操作规范或诊疗规范等,可视为临床常规操作的标准。规范往往是由卫生主管部门责成相关专家委员会讨论制定而成,对临床相关操作或诊疗过程具有一定的约束作用。
“临床指南”是临床指导性的文件,其提出的诊治原则与方法适用于大多数病人的诊治,尤其是其中提出的诊疗方法,对临床实践具有很好的指导意义,临床医生在医疗实践中应该予以遵循。
“专家共识”是一组专家主要根据自己的临床经验,针对某个或某些临床问题,经过讨论达成的共同认识。一般是在临床上围绕这些问题存在不同认识,或有不同诊疗方案,而且这些不同导致了临床医生难以抉择时,才通过讨论的形式来达成多数专家的一致性认识或意见,以便临床医生加以参考。
二、临床指南是由谁编写而成的
美国眼科学会出版的《临床指南》是“由学识渊博的卫生专业人员组成的专家委员会,以所能利用的科学资料作为基础制定而成”。譬如,《临床指南》中细菌性角膜炎的内容,是由美国眼科学会组织8位知名角膜病与外眼病专家,共同讨论与撰写而成。在编写过程中,还有8位眼科临床指南编写委员会成员以及6位美国眼科学会职员参与编辑工作。当所编写的内容完成后,还将其送给了其他相关的学术团体和学术组织的有关专家,由他们进行审阅及修改后才最终定稿。
三、临床指南编写的目的
编写“临床指南”的目的是“为高质量的临床医疗服务提供指导”。具体地说,“临床指南”是通过提供诊疗原则及具体诊治方法的指导性建议和方案,提高临床医生对疾病的诊断与治疗水平,为病人提供高质量的医疗服务。譬如,在《临床指南》中,对细菌性角膜炎的发病率、致病细菌种类与分布、临床特征、诊断依据、实验室检查及治疗方案等方面,均提出了原则性指导意见与建议,以及某些具体治疗措施,对临床医生提高细菌性角膜炎诊治水平,无疑会有良好的帮助。
然而,专家委员会也同时指出,“《临床指南》的内容适用于大多数病人的疾病状况,但不可能对所有的病人适用,而且指南并不是任何情况下都必须遵守的医疗标准。”初看这段叙述,读者可能会感觉专家委员会在规避风险,但是细细想来,在临床疾病的诊断与治疗过程中,无论是哪个指南或规范,都不可能适用于所有的病人,这是由于对疾病的认识需要有不断深入的过程,以及病人个体差异所决定的。所以,在临床实践中,既要依据临床指南提供的指导原则和方法进行诊治疾病,又要根据病人的具体情况,综合给出最适合个体病人的诊治方案。也正是充分考虑到临床问题的复杂性,专家委员会还提出,在优先考虑病人需求的基础上,为进一步提高疾病的诊疗水平,应鼓励临床医生在临床实践中有所创新。
四、临床指南编写的原则
在编写《临床指南》的细菌性角膜炎内容时,专家委员会提出了编写的三个原则,简要概括如下:
1.实用性原则
即密切结合临床相关问题,《临床指南》所选择的内容均具有高度临床针对性。由于临床指南的读者对象主要为临床医师,故将临床实用性放在编写原则的第一位,其理由不言而喻。
2.重要性分级原则
所谓重要性分级是指《临床指南》对所提出的建议、方案或方法措施的重要程度均进行了等级划分。譬如,在细菌性角膜炎中,专家委员会将重要性程度划分为3个等级:A级为最重要;B级为中等重要;C级为相关,但不是关键。
重要性程度的等级划分的实际意义在于,在疾病诊疗中,各种建议、方案或方法措施的重要性不同,对其重要性程度加以权重,可以使临床医师在实践中有所侧重。譬如,在“诊断”的“病史”中,配戴角膜接触镜史一项的后面标注了“[A:]”,其含义是在诊断细菌性角膜炎时,病人有配戴角膜接触镜病史,对于建立临床诊断是非常重要的。因为绝大多数细菌性角膜炎的发生均有危险因素存在,在发达国家,配戴角膜接触镜是首位危险因素。在我国,外伤是细菌性角膜炎的第一位危险因素。然而,近年来,随着我国配戴角膜接触镜人群不断增加,其所致的细菌性角膜炎病例有增多趋势,因此也应该引起眼科医生的重视。临床医生对《临床指南》中标注为A级的建议、方案或方法措施,在临床实践工作中应优先考虑,给予特别注意。
3.科学依据强度分级原则
在《临床指南》中,专家委员会不仅对诊断与治疗的建议、方案或方法措施的重要性程度进行了分级,而且对确定其重要性等级所依证据的科学性也进行了强度分级。具体分为三级,分别为Ⅰ级、Ⅱ级及Ⅲ级,依次解释为:Ⅰ级为有科学性强的证据支持;Ⅱ级为有科学性一般的证据支持;Ⅲ级为证据的科学性有待进一步验证。专家委员会还对各科学依据强度级别的含义给出了具体的解释:
Ⅰ级:科学性强,指科学证据来自至少一项设计周密、实施准确、随机对照的临床试验研究的结果;或来自对随机对照试验研究结果进行的荟萃分析。简而言之,专家委员会认为,只有那些以随机对照的临床试验研究结果为依据所提出的建议、方案或方法措施,其科学性才是最强的。譬如:《临床指南》在“诊断试验”的“培养和涂片检查”中提出,“无论在哪种情况下,角膜标本都应当立即送到实验室培养。”这项建议的后面标注了“[A:I]”,其意义是,当医生采集了病人角膜标本后,应该立即将其送至实验室进行检验,这一条不仅在临床诊断中是最重要([A:]),而且支持其是最重要的科学依据也是最强的,为Ⅰ级。
Ⅱ级:科学性一般,是指科学证据来自以下研究结果:①非随机对照研究;②队列研究或病例对照研究,最好为多中心研究;③有或无干预措施的、多时间点的系列研究。以上述三项中任何一项研究结果为依据所提出的建议、方案或方法措施,均视为科学性Ⅱ级。比较Ⅰ级的科学性来看,Ⅱ级的科学性为一般。譬如,《临床指南》在“治疗”的“首次治疗”中提出,“对于淋病奈瑟球菌性角膜炎的病人,全身治疗是必需的。”其后面标注为“[A:Ⅱ]”,说明此治疗措施是最重要的([A:]),但是支持其重要性程度的科学证据来自非随机对照研究,所以其证据的科学性为Ⅱ级。
Ⅲ级:指科学性有待进一步验证,是指科学证据来自描述性研究、病例报告或专家委员会/专家组织的报告(如专家共识或专家论坛等)。Ⅲ级的科学性需要进一步研究证实,说明其依据的科学性存在不足。譬如,《临床指南》在外眼检查一节中提出,“除角膜检查之外,必须进行外眼检查,并特别注意下列各项:包括皮肤病及全身状态的检查。”其后面标注“[B:Ⅲ]”,说明此项建议的重要性中等,而且其依据的证据的科学性仍需要进一步研究证实。
由此看出,在阅读《临床指南》时,读者不仅需要注意每项建议、方案或方法措施在临床实践中的重要程度,而且还要注意支持其重要程度的依据的科学性等级。对于那些科学性需要进一步证实的建议、方案及方法措施,在临床实践中需要继续深入探索与研究。
本节要点
1.《临床指南》是眼科实践的指导性文件,其目的是提高临床医生对疾病的诊治水平,为病人提供高质量的医疗服务。
2.《临床指南》中的建议和诊疗方案,有不同的重要性等级及科学性强度的分级。
3.临床指南的内容适用于大多数病人的疾病情况,但不可能适用于所有病人的疾病状况。临床医生在《临床指南》的指导下,要根据每位病人的具体情况,综合给出最适合的诊治方案。
第二节 细菌性角膜炎的定义及流行病学
一、疾病定义
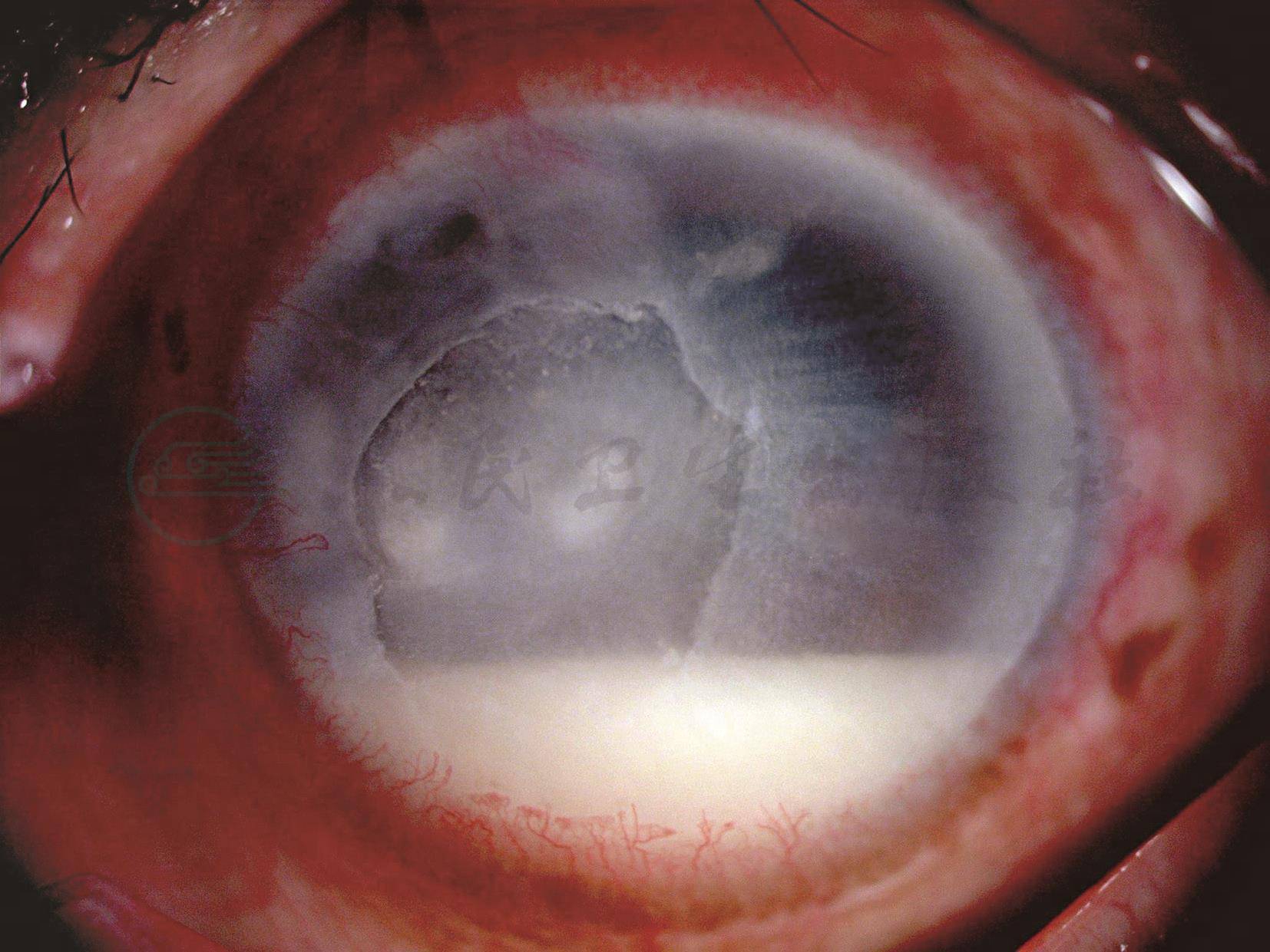
《临床指南》中将细菌性角膜炎定义为:由于细菌感染所致的角膜感染性疾病。由于正常角膜是透明且无血管的组织,一旦发生细菌感染,如果不及时诊断与治疗,不仅角膜组织会遭受破坏甚至穿孔,而且感染可能向眼内扩散,进一步引起眼内感染,严重影响病人的视功能,因此,角膜细菌感染是眼科急症。

图1-2-1 中央区细菌性角膜溃疡

图1-2-2 边缘性角膜溃疡(细菌性)
角膜细菌感染多始发于角膜中央或旁中央区(图1-2-1),少数也可始发于角膜周边区(图1-2-2)。细菌性角膜感染的病灶形态呈多样性,可为圆形、椭圆形、条状或不规则样。另外,病灶的深浅也可不一,因此,《临床指南》中指出,细菌性角膜炎的病种定位包括:角膜溃疡、非特异性角膜溃疡、边缘性角膜溃疡、环形角膜溃疡、中央区角膜溃疡、前房积脓性角膜溃疡、穿孔的角膜溃疡、角膜脓肿(脓疡)及角膜浸润,以上所述的病名均为以角膜病灶的形态、部位及病理特征为依据所做出的临床诊断,其含义是在首诊病人时,在没有取得微生物检验报告证实为细菌感染前,临床医生可以根据临床表现,按上述病名进行细菌性角膜炎的临床诊断。
在临床实践中,我们通常按以下病名进行临床诊断:
(1)角膜溃疡,原因待查,细菌性?
(2)角膜炎,伴前房积脓,原因待查,细菌性?
(3)角膜溃疡,角膜穿孔,原因待查,细菌性?
待实验室检验结果证实为细菌感染时,再修改临床诊断为病因学诊断,即细菌性角膜炎。
二、流行病学
1.发病率
细菌是化脓性角膜炎的最常见病原体之一,也是主要的致盲眼病。
到目前为止,其确切发病率尚不清楚。美国北部的县级调查所提供的资料显示,在20世纪的50年代到60年代,该地区的细菌性角膜炎的发病率为2/100000至11/100000,时至80年代,随着角膜接触镜的广泛应用,细菌性角膜炎的病人数量不断上升,配戴角膜接触镜导致的细菌性角膜炎发病率为10/100000~30/100000。
在一些发展中国家,细菌性角膜炎是角膜盲第一位的原因。资料表明,全球估计已有数十万人由于细菌性角膜炎导致角膜混浊,而引起视觉功能障碍。如果按照美国报道的11/100000发病率计算,全世界每年约有55万细菌性角膜炎的病人。到目前为止,我国尚无细菌性角膜炎人群中发病率的报道。由于我国人口数占到全球人口数的四分之一,所以简单地按人口基数来推算,我国每年大约有十几万细菌性角膜炎的病人。
《临床指南》中提到美国估计每年有30000人罹患角膜微生物感染(包括细菌、真菌、阿米巴原虫),但是并没有提示细菌性角膜炎在其中的比例,所以难以确定细菌性角膜感染病例数。北京市眼科研究所眼微生物实验室检查的结果提示,在角膜微生物感染中,细菌所致的角膜炎占40.09%,真菌性角膜炎占55.32%,阿米巴角膜炎占4.59%。但是,这只是依据实验室检验结果给出的百分比数字,而细菌性角膜炎在我国人群中的患病情况,以及角膜细菌感染在感染性角膜炎中所占比例,均需要流行病学的调查结果予以证实。
2.患病人群分布特征
《临床指南》中并未明确指出细菌性角膜炎好发年龄及性别差异,北京市眼科研究所2006~2016年角膜细菌统计资料显示:
(1)年龄分布:
细菌性角膜炎在各个年龄组的人群均可发生。但是各个年龄组中,导致角膜炎的常见细菌的种类稍有不同(表1-2-1)
表1-2-1 不同年龄组细菌革兰氏染色及形态分布

(2)性别分布:
细菌性角膜炎病人中,男性的比例高于女性,但是致病菌的种类并无明显差别(表1-2-2)。
表1-2-2 不同性别病人细菌革兰氏染色及形态分布

(3)危险因素:
正常情况下,角膜极少发生细菌感染,细菌性角膜炎的发生绝大多数都有危险因素存在。在临床实践中发现,如果没有危险因素,一般情况下就不会发生细菌性角膜感染。
《临床指南》中将主要危险因素归为四类:
1)外源性因素:主要包括外伤、配戴角膜接触镜、眼部手术,以及药物相关因素等。
2)眼表疾病:主要包括泪液缺乏、眼睑异常以及邻近组织感染的扩散等。
3)角膜上皮异常:主要包括神经营养性角膜病变、反复发作的角膜上皮病变、病毒性角膜炎继发感染,以及大泡性角膜病变等。
4)全身疾病:主要包括:代谢性疾病,如糖尿病、消耗性疾病(如营养不良)、免疫功能低下、皮肤疾病、血管胶原病,以及颅脑神经手术后等。
任何能够破坏泪膜、角膜上皮细胞、角膜缘血管以及角膜内皮细胞完整性的因素均可破坏角膜上皮的屏障功能,为细菌感染提供机会。
在我国,最常见的危险因素包括:外伤、配戴角膜接触镜、眼表疾病、角膜及其它眼部手术、局部或全身性疾病等。
临床实践中,可将我国细菌性角膜炎的危险因素归纳为三个大类:
1)外源性危险因素(主要包括外伤、配戴角膜接触镜、眼部手术,以及药物相关因素等)。
2)眼局部疾病相关性危险因素(眼表疾病和角膜上皮病变等)。
3)全身疾病相关性危险因素(如糖尿病和甲亢等)。
在细菌性角膜炎的临床诊断过程中,询问病人患病中是否存在危险因素,是建立临床诊断的关键依据之一。危险因素的简化分类更有利于临床分析判断。外伤是我国细菌性角膜炎最常见的危险因素之一,职业性眼前节的外伤中,有6%会发生细菌性角膜炎。在农村,植物性和非植物性角膜擦伤的病人,发生细菌性角膜感染的占5%(图1-2-3,图1-2-4)。

图1-2-3 植物外伤后,细菌性角膜炎

图1-2-4 过夜配戴角膜接触镜后,沙雷菌性角膜炎
配戴角膜接触镜(尤其是过夜配戴或镜片有不洁沉淀物等)是发达国家细菌性角膜炎最常见的危险因素,文献报道表明,所有类型的角膜接触镜都可能引发角膜的细菌感染,其中软性接触镜过夜配戴者发生比例最高。统计资料显示,硬性角膜接触镜配戴者,每年角膜溃疡的发生率为0.02%,透气性硬性角膜接触镜为0.04%,日戴型软性角膜接触镜0.04%,日夜配戴软性角膜接触镜者为0.2%。
配戴角膜接触镜导致角膜细菌感染,与接触镜本身对角膜上皮损伤、镜片及镜片盒的细菌污染、不合理的配戴和护理方式,以及配戴者的生活与卫生习惯等均有密切关系。近年来,随着我国配戴角膜接触镜人群的逐渐增加,以及各种不同功能的角膜接触镜的出现与应用,如美容角膜接触镜和角膜塑形镜等,配戴角膜接触镜导致细菌性角膜感染,应该引起临床医生的高度重视。
在与角膜细菌感染相关的眼表疾病当中,泪膜异常和眼睑闭合状态的异常是临床容易忽略的危险因素(图1-2-5)。在我国,迁延性角膜上皮缺损和不合理的局部长期使用糖皮质激素也是值得注意的危险因素。

图1-2-5 暴露性角膜炎继发细菌感染
另外,眼科手术后、角膜内皮失代偿所引起的大泡性角膜病变,以及各种类型的累及上皮细胞的角膜变性与角膜营养不良等,均可能继发细菌感染(图1-2-6)。
在临床实践中,危险因素的查找不仅有助于细菌性角膜炎的临床诊断确立,而且还可以帮助医生寻找可能的感染源及感染途径(如术后发生双眼角膜细菌性感染的病人),在预防角膜细菌感染,尤其在预防与手术相关的感染源方面有重要意义。

图1-2-6 准分子手术后角膜细菌感染
本节要点
1.细菌性角膜炎是由于细菌感染所致的角膜感染性疾病。
2.细菌性角膜炎是眼科常见疾病之一,细菌导致的角膜感染为眼科急症。
3.细菌性角膜炎的危险因素可归纳为三个大类:外源性危险因素、眼局部疾病相关性危险因素及全身疾病相关性危险因素。
4.绝大多数细菌性角膜炎的发生均有危险因素存在,在我国,角膜外伤是首位危险因素,配戴角膜接触镜以及眼科手术相关的角膜细菌感染应该引起注意。
第三节 病原菌与发病机制
《临床指南》中列出了美国细菌性角膜炎常见的细菌种类,但是并没有详细地阐述病原菌生物学特性和致病性。如果眼科医生欲深入研究细菌性角膜炎的发病机制,进一步探索其诊断与治疗的新方法,就有必要了解导致我国细菌性角膜炎的常见细菌种类,以及有关细菌的生物学特性和致病性的基础知识。
一、病原菌
1.细菌分类
临床上,导致角膜感染的细菌多种多样,文献报道至少有50多个菌属,其临床常用的传统分类方法有:
(1)根据革兰氏染色分类,可将细菌分为革兰氏阳性和革兰氏阴性两种细菌。
(2)根据形态分类,主要分为球菌和杆菌,少数细菌的形态可以呈球杆状或长丝状。眼科文献中经常提及的是革兰氏阳性球菌或杆菌和革兰氏阴性球菌或杆菌。
(3)根据细菌对氧的需求分类,分为需氧菌和厌氧菌。
2.常见致病菌
一般讲,如果某种细菌导致角膜感染的比例占到所有细菌的5%或以上,在感染学上则被认为是常见感染细菌,如果比例小于5%,则被认为是少见感染细菌。临床上,导致角膜感染的常见细菌多为需氧菌,少数角膜深层的感染、切口深层的感染或带有角膜深层异物的感染,可由厌氧菌引起。
《临床指南》中指出,在美国,革兰氏阳性球菌和革兰氏阴性杆菌是细菌性角膜炎的主要致病菌,这种细菌分布情况与我国的情况类似,只是在我国,革兰氏阳性球菌和革兰氏阴性杆菌所占具体比例与美国有所不同。由于不同种属细菌的致病性和药物敏感性不同,所以了解我国角膜致病菌的种类及药物的敏感性,对临床了解发病机制,以及正确诊断与治疗十分必要。
根据文献报道,导致角膜感染的细菌主要有四大类:①微球菌科(主要是葡萄球菌属和微球菌属);②链球菌属;③假单胞菌属;④肠杆菌科(克雷伯菌属,肠杆菌属,沙雷菌属,变形杆菌属)。约80%的细菌性角膜炎是由上述四类细菌所致。
北京市眼科研究所眼微生物室2006年至2016年的统计结果显示,在我国,导致角膜炎的细菌主要为:表皮葡萄球菌、铜绿假单胞菌、缓症链球菌、肺炎链球菌、金黄色葡萄球菌及口腔链球菌,详见表1-3-1。
表1-3-1 北京市眼科研究所角膜细菌培养结果统计(2006~2016)

导致角膜感染的细菌菌属的分布会受到地域、环境以及生活与卫生条件等因素的影响,而且不同细菌引起角膜炎的概率,也会随着条件的变化而有相应的变化。譬如,以往由于慢性泪囊炎多由肺炎链球菌所致,所以该菌也成为角膜感染的常见病原菌,然而,随着泪囊手术的普及和广谱强效抗生素的应用,肺炎链球菌导致角膜感染的概率已明显下降。再譬如,以往我国角膜分离菌中,居首位的是铜绿假单胞菌(简称绿脓杆菌),这很大程度上与铜绿假单胞菌在自然界中分布很广泛、容易污染有关。近年来,随着卫生环境和生活环境的改善,该菌感染的比例在下降,而同时,在导致眼表防御能力降低的因素作用下,如不合理应用糖皮质激素、糖尿病性角膜上皮病变等,表皮葡萄球菌所致的角膜感染的比例逐渐增高,在我国,该菌已经成为导致角膜感染最常见的细菌。
《临床指南》中给出的主要致病细菌的种类,是根据美国国内细菌性角膜炎的统计得出的数据,可以作为参考。在临床实践中,我国眼科医生更应根据国内报道的细菌性角膜炎致病菌的分布情况来指导诊断与治疗。
3.眼表正常菌群
新生儿在出生后几小时内,眼表一般处于无菌状态,之后会在眼睑皮肤、睑缘及结膜囊内查见有细菌存在,但是正常角膜是无菌的。
正常存在于眼表的细菌被称为眼表正常菌群,一般不导致角膜感染,只有在角膜防御机制被破坏时才有可能引起感染,此时这些细菌也被称为条件致病菌。
实际上,眼表的正常菌群可以分为两大类:
(1)常驻菌群(resident flora):
是在正常人眼表多次同样培养中均可检测出的细菌菌属,而且培养出的细菌数量及菌种组成相对稳定,在培养基上可形成典型的菌落。国外报道正常人眼表常驻菌群主要包括:表皮葡萄球菌、金黄色葡萄球菌、乳酸杆菌、类白喉杆菌及丙酸杆菌。
(2)过路菌群(transient flora):
是正常人在眼表多次同样培养中,有时存在,有时不存在的细菌菌属。由于眼表直接与外界环境接触,所以眼表过路菌群的种类较多,国外报道主要包括:金黄色葡萄球菌、其他葡萄球菌属的细菌、肺炎链球菌及肺炎克雷伯杆菌等。我国目前尚无眼表过路菌群的相关报道。
4.细菌的来源
感染角膜的细菌可以来自以下途径:
(1)外界环境:
如通过接触植物、土壤、污水或空气等。
(2)角膜邻近的组织:
如睑缘、泪道、结膜囊等。
(3)血液传播:
由于正常角膜无血管,故通过这种途径导致角膜感染的病人罕见。
以往,对泪道及结膜囊细菌的存在,临床医生比较关注,但是对睑缘细菌的重视不够。实际上睑缘,尤其是睫毛根部和睑板腺开口区是细菌最易存留的部位。所以,作为角膜感染的细菌可能来源地,尤其手术后眼部感染的细菌来源地,均应引起临床医生的高度重视。这也提示了在手术前,加强对睑缘消毒的必要性。
5.细菌学各论
随着环境的改变,卫生条件的改善,众多广谱抗生素在眼科的广泛应用,以及细菌本身生物学特性的变迁,眼部感染的细菌菌谱分布也在不断发生变化。了解造成眼部感染细菌的基本生物学特性和致病性,将有助于临床医生深入了解细菌性角膜炎的病理机制和治疗措施。
(1)革兰氏阳性球菌
a.葡萄球菌属(Staphylococcus)
●金黄色葡萄球菌(S.aureus):该菌为引起眼部细菌感染的常见细菌之一,可导致角膜、结膜、眼睑、眼内、泪囊、眼眶及巩膜等部位的感染,其中,常见的感染包括:角膜溃疡、结膜炎、泪囊炎及眼内炎。
金黄色葡萄球菌革兰氏染色呈阳性,菌体呈球形,单个、成对或聚集成团排列,无鞭毛,无芽胞,无荚膜(图1-3-1)。吉姆萨染色后,菌体为散在的单个或成堆的蓝色球菌(图1-3-2)。

图1-3-1 金黄色葡萄球菌,革兰氏染色(×1000)

图1-3-2 金黄色葡萄球菌,角膜涂片,吉姆萨染色(×1000,箭头所示)
●耐甲氧西林金黄色葡萄球菌(MRSA):是目前院内感染的重要病原菌之一,对绝大多数β-内酰胺类抗生素呈交叉耐药,并可对氨基苷类、大环内酯类、氯霉素及四环素类等常用抗生素耐药。根据北京市眼科研究所2006~2016年的统计结果,在金黄色葡萄球菌中,MRSA的比例可高达92.2%。
●凝固酶阴性葡萄球菌(coagulase negative staphylococcus,CNS):眼部常见的凝固酶阴性葡萄球菌主要为表皮葡萄球菌(S.epidermidis),该菌常引起睑缘炎、结膜炎、角膜炎及眼内炎等。
表皮葡萄球菌为革兰氏阳性、葡萄状排列的球菌,无鞭毛,无芽胞,无荚膜。角膜涂片吉姆萨染色后,该菌的性状与金黄色葡萄球菌相似(图1-3-3,图1-3-4)。
●耐甲氧西林表皮葡萄球菌(MRSE):其耐药特性及检验方法与耐甲氧西林金黄色葡萄球菌(MRSA)相同。根据北京市眼科研究所2006~2016年的统计结果,在表皮葡萄球菌中,MRSE的比例可达84.0%。

图1-3-3 表皮葡萄球菌,革兰氏染色(×1000)
b.微球菌属(Micrococcus):
微球菌属为眼结膜囊及眼睑的正常菌群,但有时作为条件致病菌,可引起角膜的慢性或迁延性感染。

图1-3-4 表皮葡萄球菌,角膜涂片,吉姆萨染色(×1000,箭头所示)
微球菌属在涂片镜检中为革兰氏染色阳性球菌,菌体略大于葡萄球菌属,可呈单个、成双排列,或呈典型四联状排列,故又称四联球菌属(图 1-3-5)。

图1-3-5 藤黄微球菌,革兰氏染色(×1000)
c.链球菌属(Streptococcus):
链球菌属为人体鼻腔及咽喉部的正常菌群,常引起角膜感染,也可导致结膜、眼睑、眼内及泪器等的感染。
链球菌属为革兰氏染色阳性细菌,形态呈圆形或卵圆形,以链状排列,链的长短不一。链球菌无鞭毛,无芽胞,部分菌株在培养早期可见有荚膜。
不同种的链球菌,在培养基上的菌落周围可呈现不同的溶血环,根据溶血环的差别,可将链球菌分为:①甲型溶血性链球菌;②乙型溶血性链球菌;③丙型链球菌。
眼科常见的链球菌为肺炎链球菌,革兰氏染色阳性,常以钝端相对、尖端向外的矛头状成双排列(图1-3-6),无鞭毛,无芽胞,角膜涂片吉姆萨染色可见组织细胞间成双排列的小球菌,有些细菌周围可见不染色的荚膜(图1-3-7)。
(2)革兰氏阴性球菌

图1-3-6 肺炎链球菌,革兰氏染色(×1000)
a.奈瑟菌属(Neisseria):
眼科常见的奈瑟菌属为 淋病奈瑟球菌,习称淋球菌,是淋病的病原菌。该菌为严格的人体寄生菌,常引起新生儿结膜感染,俗称“脓漏眼”。严重结膜感染的病人也可发生角膜溃疡,尤其在成人淋球菌性结膜炎的病人,如不能及时有效诊治,会导致角膜穿孔的发生。

图1-3-7 肺炎链球菌,角膜涂片,吉姆萨染色(×1000,箭头所示)
奈瑟菌属为革兰氏阴性的双球菌,无鞭毛,无芽胞,有荚膜和菌毛(图1-3-8)。该菌为需氧菌,但是在初次分离培养时,培养箱内需要加入5%~10%二氧化碳。

图1-3-8 淋病奈瑟球菌,革兰氏染色(×1000)
角结膜涂片吉姆萨染色可在中性粒细胞内外见到成双排列,咖啡豆样双球菌,染色呈蓝紫色或紫红色(图1-3-9)。

图1-3-9 淋病奈瑟球菌,结膜涂片,吉姆萨染色(×1000,箭头所示)
b.卡他莫拉菌(Branhamella):
该菌为条件致病菌,其毒力与内毒素有关,只有当机体抵抗力降低时,才引起卡他性角结膜炎。
卡他莫拉菌为革兰氏阴性双球菌,无荚膜,无芽胞,无鞭毛。
(3)革兰氏阳性杆菌:
眼部常见需氧或兼性厌氧的革兰氏阳性杆菌,主要包括:棒状杆菌属及芽孢杆菌属等,两菌属中多数菌种存在于自然界,其中部分菌种是人,或动物黏膜上的正常菌群,导致眼部感染多为条件致病。
a.棒状杆菌属(Corynebacterium):
常见的棒状杆菌主要包括为白喉棒状杆菌和类白喉棒状杆菌群(除白喉棒状杆菌外,其余统称为类白喉棒状杆菌)。白喉棒状杆菌可引起的膜性结膜炎,由于我国已经常规对易感儿童预防接种白喉类毒素,因此白喉棒状杆菌所致的眼部感染已罕见。
类白喉棒状杆菌群包括:假白喉棒状杆菌、结膜干燥杆菌及溃疡棒状杆菌等,多数对人类不致病,但是,其中某些菌种可成为条件致病菌。在角膜分离菌的株中,以麦氏棒状杆菌最为常见。
麦氏棒状杆菌革兰氏染色阳性,形态呈多形性,菌体大小、长短不一,多呈直或微弯状,在细菌菌体的一端或两端膨大常呈棍棒状(图1-3-10),菌体内多有异染颗粒。角结膜涂片吉姆萨染色可见组织细胞间多形的棒状杆菌,大小长短不一,呈八字排列(图1-3-11)。

图1-3-10 麦氏棒状杆菌,革兰氏染色(×1000)

图1-3-11 麦氏棒状杆菌,结膜涂片,吉姆萨染色(×1000,箭头所示)
b.芽胞杆菌属(Bacillus):
眼部分离的芽胞杆菌属主要为枯草芽胞杆菌和蜡样芽胞杆菌,大多数是非致病性腐生菌,广泛存在于自然界,有时可成为条件致病菌。
芽胞杆菌属均革兰氏阳性,为有芽胞的大杆菌,多数有鞭毛(图1-3-12)。眼部感染多数为外伤所致。

图1-3-12 枯草芽胞杆菌,革兰氏染色(×1000,箭头所示芽孢)
(4)革兰氏阴性杆菌
a.肠道杆菌科(Enterobacteriaceae):
肠道杆菌科是一大群生物学性状相似的革兰氏染色阴性的杆菌,大多数寄生于人类和动物的肠道中,也可存在于水、土壤,或腐败的物质中,其中某些种属对人眼有致病性。
●埃希菌属(Escherichia):眼部常见菌种为大肠埃希菌(E.coli),简称大肠杆菌,是人类和动物的肠道正常菌群,但当机体抵抗力下降,或其侵犯肠外组织与器官时,可引起肠道外感染。
大肠埃希菌为革兰氏阴性短杆菌,多数菌株有鞭毛,能运动,菌体周身有菌毛(图1-3-13)。
●克雷伯菌属(Klebsiella):眼科常见菌种为肺炎克雷伯菌(K.pneumonia),俗称肺炎杆菌,该菌存在于自然界,并为人呼吸道的正常菌群,也是常见的条件致病菌。在眼部可引起角膜炎与眼内炎等。

图1-3-13 大肠埃希菌,革兰氏染色(×1000)
肺炎克雷伯菌革兰氏染色阴性,在角膜涂片中,菌体呈卵圆形或球杆状,成对或短链排列,两端较平,有时菌体外包绕有明显的荚膜(图1-3-14)。该菌有菌毛,无鞭毛,无芽胞。在角膜涂片中,为散在、成对或短链状排列的球杆菌(图1-3-15)。

图1-3-14 肺炎克雷伯菌,革兰氏染色(×1000)

图1-3-15 肺炎克雷伯菌,角膜涂片吉姆萨染色(×1000,箭头所示)
●沙雷菌属(Serratia):沙雷菌属主要包括:粘质沙雷菌、液化沙雷菌、深红沙雷菌等。该菌属广泛分布于自然界,如水和土壤中等,是医源性感染的重要条件致病菌之一,也是导致与角膜接触镜相关的角膜感染的主要细菌之一。
沙雷菌属为革兰氏染色阴性的短小杆菌,兼性厌氧,有鞭毛,能运动,有的菌种有微荚膜,但无芽胞。在角膜涂片中,为散在或成堆排列的球杆菌(图1-3-16,图1-3-17)。

图1-3-16 粘质沙雷菌,革兰氏染色 (×1000)

图1-3-17 粘质沙雷菌,角膜涂片,吉姆萨染色(×1000,箭头所示)
b.假单胞菌属(Pseudomonas):
假单胞菌属中的铜绿假单胞菌(P.aeruginosa),简称绿脓杆菌,是角膜、眼内炎常见的病原菌之一,其导致的眼部感染具有起病急、程度重、发展迅速的特点,常在短时间内(如24小时内)导致全角膜溃疡,甚至角膜穿孔。
角膜涂片吉姆萨染色为散在或成堆排列的杆状、长丝状或球杆状,无芽胞,无荚膜,有鞭毛,运动活泼(图1