第一节 育龄期女性的子宫卵巢
【检查方法】
检查途径可采用经腹、经阴道、经直肠超声检查。扫查方法参见第一章总论第四节。
【正常声像图表现】
1.子宫及肌层
在子宫矢状切面、横切面扫查宫体和宫颈,子宫形态规整,轮廓清晰,肌层呈均匀等回声(图2-1)。CDFI显示子宫肌层条状、星点样分布的血流信号。

图2-1 子宫矢状切面和横切面声像
A.子宫正中矢状切面;B.子宫横切面。UT:子宫体;CX:宫颈
2.子宫内膜
子宫内膜回声及厚度随月经周期发生变化:①月经期(月经周期第1~4天):内膜由回声不均匀变为均匀整齐的带状中、高回声,宫腔闭合线呈线状高回声;②增生期(月经周期第5~14天):内膜呈“三线征”,由宫腔线和内膜基底层与子宫前后壁间的界线构成,内膜呈均匀低回声;③分泌期(月经周期第15~28天):内膜呈均匀的中、高回声(图2-2)。

图2-2 子宫内膜分期
A.月经期子宫内膜;B.增生期子宫内膜;C.分泌早期子宫内膜;D.分泌晚期子宫内膜。UT:子宫体;CX:宫颈;箭示子宫内膜
3.卵巢
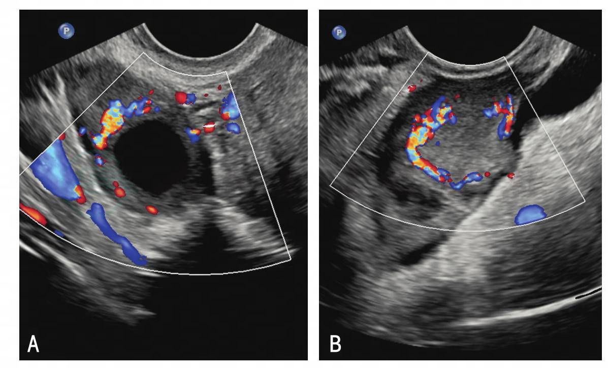
①月经期:双卵巢内可见数个窦卵泡(图2-3),卵泡直径在3~7mm;②增生期:一侧卵巢内可见优势卵泡发育,直径可达18~24mm,另一侧卵巢可无明显改变;③排卵期:一侧卵巢内优势卵泡因排卵转变为黄体,形成不规则环状低回声,其内透声差,壁厚。排卵前在优势卵泡壁上可见彩色血流信号,频谱多普勒可测到低阻血流。排卵后优势卵泡塌陷,转变为黄体,其周围可见环状血流信号,频谱多普勒为低阻血流频谱。根据黄体囊内出血量的不同和检查时间不同,黄体内回声可为无回声、网状低回声或云雾状不均回声等(图2-4)。

图2-3 双侧卵巢声像
R:右侧卵巢;L:左侧卵巢

图2-4 卵巢内黄体声像
A.卵巢内黄体呈液性无回声,周围环状血流信号;B.卵巢内黄体呈实性稍高回声,周围环状血流信号
【测量方法】
测量方法见图2-5。

图2-5 子宫测量方法示意图
a:子宫长径;b:子宫前后径;c:子宫横径;d:宫颈长径
1.宫体测量
取子宫正中矢状切面,以清楚显示宫腔线和宫颈管线相连为标准矢状切面。长径为宫底部至宫颈内口的距离,育龄期正常参考值为5.0~7.5cm;前后径为与宫体长径相垂直的最大前后距离,育龄期正常参考值为3.0~4.5cm;横径测量取近子宫底部的横切面,显示宫腔线最宽处,沿两侧宫角处稍下方测量宫体两侧的最大横径,生育年龄正常参考值为4.5~6.0cm。一般子宫体三条测量径线之和小于15.0cm。
2.子宫内膜测量
在子宫体长径、前后径测量的同一平面测量子宫内膜厚度,为前后两侧的双层内膜的厚度。若有宫腔积液,应分别测量前、后壁内膜厚度。育龄期内膜厚度一般不超过12mm。随月经周期有所变化:月经期内膜厚度约2~3mm,增生早期(第5~7天)内膜厚度约5~6mm,增生中期(第8~10天)内膜厚度约7~8mm,增生晚期(第11~14天)内膜厚约9~10mm,分泌期(第15~28天)内膜厚度可达12mm,偶可达15mm。子宫内膜厚度存在个体差异,变异较大。
3.子宫颈测量
在子宫体长径、前后径测量的同一平面测量宫颈长径,宫颈长径为宫颈内口至外口的距离,前后径为垂直宫颈管纵轴的最大前后距离,横径取宫颈横切面最大宽径。宫颈长度变异较大,非孕期一般在20mm左右,宫颈无明显病变时测量意义不大。
4.卵巢测量
由于卵巢呈类椭圆形,且位置不固定,测量卵巢大小时,应显示卵巢最大切面测量其长径、宽径,在其垂直切面测量厚径。因卵巢随卵泡发育大小有较大变化,一般情况下卵巢测量不作为常规要求。
【注意事项】
1.经阴道超声扫查时,若子宫过大或卵巢位置过高,应联合经腹扫查,以免漏诊较大盆腔包块。
2.测量子宫体长度和子宫颈长度时,如果宫腔内膜线或宫颈管线弯曲,应该沿弯曲线分节段测量并累加。
3.卵巢随生理周期不同超声声像图可发生较大改变,故卵巢生理性囊肿、出血性黄体应注意与其他病理性卵巢病变相鉴别。
第二节 青春期前女性的子宫卵巢
【检查方法】
青春期前包括新生儿期、婴幼儿期、儿童期、青春前期,主要采用经腹超声检查法,必要时可行经会阴或经直肠超声检查,采用高分辨力探头效果佳。
【正常声像图表现】
1.子宫及宫颈
矢状切面上呈细长形“茄子”状,肌层呈均匀稍低回声,局部放大可显示宫腔内膜线样回声,宫颈下方可显示阴道气线。CDFI显示子宫内无明显血流信号。从出生到青春前期,正常子宫发育规律为宫体增大速度较宫颈快,因此子宫体与宫颈长度的比例从1∶2→1∶1→2∶1。月经来潮前子宫内膜无周期性改变,较难分辨(图2-6)。
2.卵巢
双侧卵巢内可显示蜂窝状细小无回声的卵泡结构,最大直径一般不超过5mm。CDFI显示卵巢内无明显血流信号。儿童期卵巢大小约3mm×2.5mm×1.5mm,青春前期卵巢大小接近育龄期。

图2-6 青春期前子宫声像
经腹扫查子宫、宫颈矢状切面。UT:子宫体;CX:宫颈;BL:膀胱。测量键显示宫体和宫颈长径
【注意事项】
1.选择适宜的高频探头,禁用经阴道超声检查。
2.婴幼儿子宫、卵巢较小,经腹扫查时膀胱不宜过度充盈。
第三节 绝经期女性的子宫卵巢
【检查方法】
检查途径可采用经腹、经阴道、经直肠超声检查。扫查方法参见第一章总论第四节。
【正常声像图表现】
1.子宫和宫颈
随绝经年份增加,宫体逐渐萎缩变小,肌层回声欠均匀,浆膜下肌层逐渐出现斑点状高回声钙化斑,宫体边界清晰。CDFI显示肌壁内无明显血流信号。因宫颈缩小不明显,宫体与宫颈比例逐渐接近1∶1。
2.子宫内膜
绝经后内膜无周期性变化,内膜厚度小于5mm,可呈较均匀的稍高回声,也可因内膜机化呈斑点状高回声;有时因绝经后宫颈内口粘连,宫腔内可见少许积液的声像改变,若无临床症状,可视为正常(图2-7)。

图2-7 绝经后子宫声像
子宫、宫颈矢状切面。UT:子宫体;CX:宫颈;箭示内膜,箭头示宫腔积液
3.卵巢
双侧卵巢逐渐萎缩呈实性低回声,难辨卵泡结构(图2-8)。CDFI显示卵巢内无明显血流信号。
【注意事项】
1.绝经后子宫和卵巢萎缩,建议采用经阴道超声检查,无性生活者可采用经直肠超声检查。
2.绝经后内膜应注意测量厚度及描述回声特征。

图2-8 绝经后卵巢声像
R:右侧卵巢;L:左侧卵巢