【病因】
沙雷菌属,属于肠道细菌,常存在于土壤、水和食物中,革兰氏染色阴性。导致眼部感染最多见的为角膜炎和眼内炎。该菌引起的角膜感染多有危险因素存在,如配戴角膜接触镜、眼睑闭合不全、角膜异物以及长期应用糖皮质激素等。近年来,已经发现该菌对多种抗生素均产生耐药,应该引起临床的注意。
【病理机制】
一般情况下,沙雷菌很难侵入正常的角膜组织。只有当角膜上皮屏障作用被破坏时,细菌可侵入角膜基质内繁殖。其导致的角膜感染的程度与分泌蛋白水解酶的分泌量呈正相关,致病性强的毒株产生的蛋白水解酶量多,引起的角膜溶解坏死反应明显。
【临床表现】
角膜炎多见于配戴软性角膜接触镜及患糖尿病的高龄病人。沙雷菌导致角膜感染的病灶特点为:
(1)早期表现为角膜上皮的糜烂。
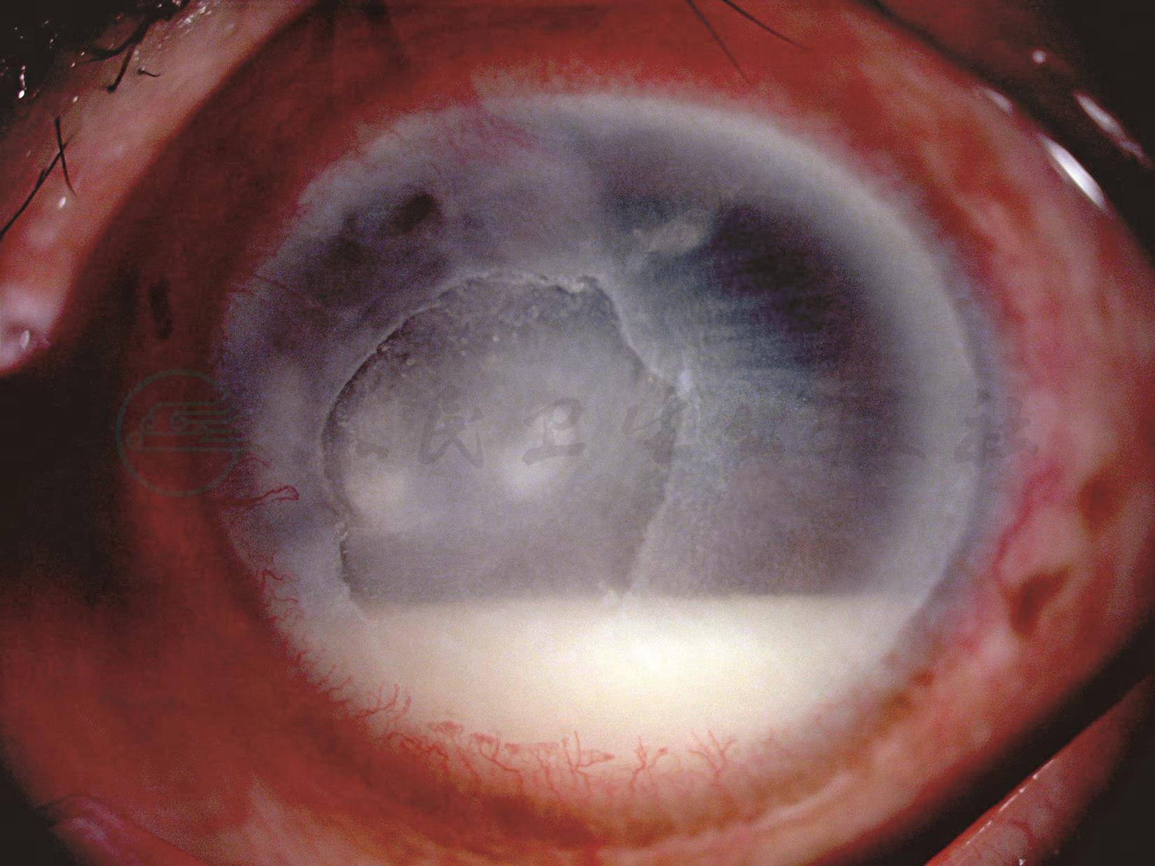
(2)随病情发展,发生角膜大面积的溃疡(图2-7-1,图2-7-2)。
(3)前房积脓有时可呈红色(有些菌株可产生红色或粉红色色素)。

图2-7-1 角膜接触镜引起沙雷菌性角膜炎

图2-7-2 沙雷菌性角膜炎(重度)
【诊断】
根据危险因素及角膜化脓性病灶可以作出临床初步诊断。依据微生物检查明确病因诊断。
角膜涂片细胞学检查中,可见革兰氏染色阴性小杆菌;细菌培养后,利用糖酵解实验、明胶酶及DNA酶分解实验可进行细菌菌种鉴定。
【治疗】
沙雷菌对氟喹诺酮类及氨基苷类抗生素均敏感,一般选用:
(1)氧氟沙星,或左氧氟沙星,或加替沙星,或莫西沙星联合1%妥布霉素滴眼液点眼(24~72小时内频繁点眼)。
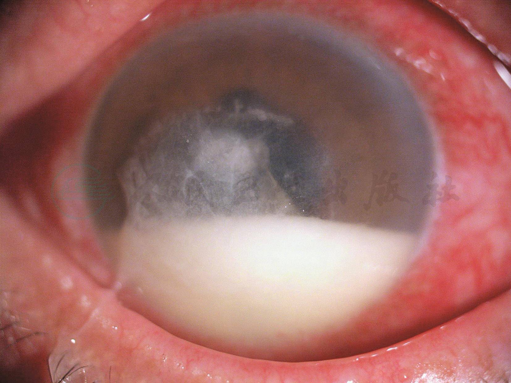
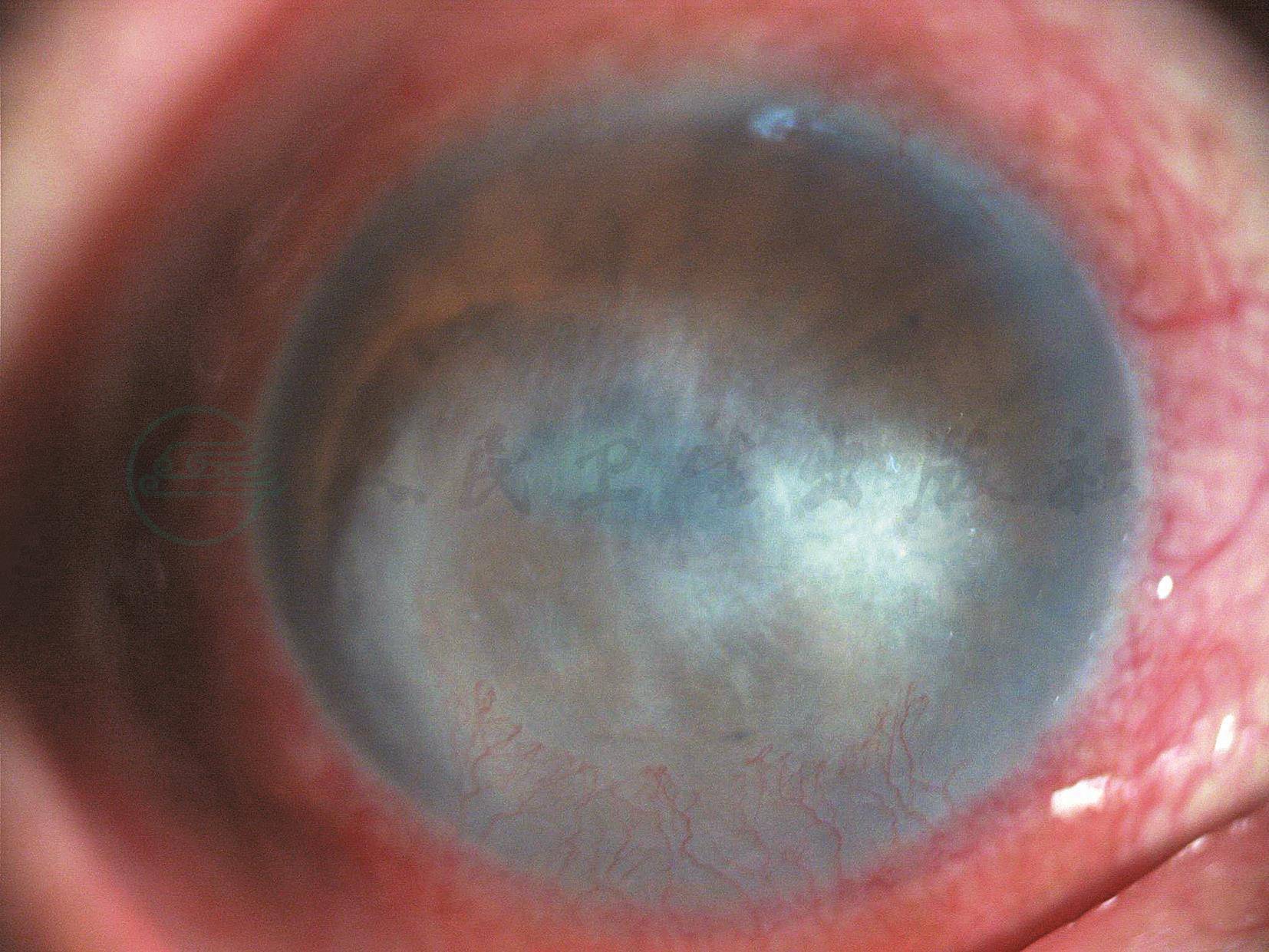
(2)氟喹诺酮类抗生素联合应用第三代头孢类抗生素,如联合应用5%头孢他啶(图2-7-3,图2-7-4)。

图2-7-3 沙雷菌性角膜炎(治疗前)

图2-7-4 同一病人治疗后
(3)对于药物治疗无效的病人,应及时手术治疗(图2-7-5,图2-7-6)。

图2-7-5 沙雷菌性角膜炎(手术前)

图2-7-6 同一病人角膜移植术后