中文别名 :眼色素层炎;葡萄膜腮腺热;眼色素层-腮腺炎;肉样瘤眼腮综合征;Heerfordt综合征
1909年,丹麦眼科学家Heerfordt描述了一类以发热、腮腺炎、眼部症状(包括虹膜睫状体炎、脉络膜炎、角膜炎、结膜炎等)及神经系统症状(主要表现为面神经麻痹)为主要表现的综合征,他称之为葡萄膜腮腺热(uveo-parotid fever),后人称之为Heerfordt综合征,但当时该综合征病因并不清楚。1937年到1938年左右,包括Waldenstrom在内的很多人研究证实Heerfordt综合征是结节病的一种,该综合征的患者很多伴随纵隔淋巴结肿大、皮肤结节病等其他结节病表现,其中亦有行腮腺活检明确找到结节病的病理学证据的报道。之后近一个世纪来,关于该病的文献以个案报道和病例总结为主,目前尚无统一的诊断标准及规范的诊治流程问世。
结节病的发病可能与遗传因素如HLADR等位基因、职业和环境暴露、特殊病原感染如分枝杆菌感染及T细胞异常活化等多种因素相关。但Heerfordt综合征作为结节病的肺外表现之一,其病因尚不明确,目前相关研究不多。多篇病案报道显示该综合征患者腮腺活检常有非干酪样肉芽肿等典型结节病表现,而面神经麻痹可能与肿大腮腺压迫有关,亦有研究表明Heerfordt综合征的颅神经受累与神经周围的肉芽肿病变或淋巴细胞浸润有关。Glocker等人应用多种电生理检查手段,证实该病的面神经麻痹起于小脑脑桥角,向面神经管远端散布,病理特征为神经的脱髓鞘病变。P.Darlington等人的研究显示HLA-DRB1等位基因多态性,尤其是HLA-DRB1*04/*15基因型与结节病肺外表现相关,其中HLA-DRB1*04基因型与Heerfordt综合征相关。此外尚有关于IgA缺乏、JC病毒感染等与Heerfordt综合征相关联的个案报道,提示其可能的病因,但均不明确。
腮腺受累、面神经麻痹及葡萄膜炎等表现,在结节病中均有报道。据报道结节病患者中有10%~30%左右有腮腺受累,另有报道提示结节病中6%患者有腮腺受累,其中约73%为双侧腮腺受累。结节病中有神经系统受累表现的约占5%~15%,其中面神经受累为其最常见表现,可占神经系统结节病所有表现中的25%~50%。结节病中约有25%~80%患者有眼部受累,其中最常见的眼部表现为前葡萄膜炎,约占结节病眼部受累的65%。但Heerfordt综合征较罕见。有报道称结节病中Heerfordt综合征发病率约0.3%。Sharma等人回顾了2005年至2010年间印度新德里所有医疗机构中的164例结节病患者,其中仅2例有Heerfordt综合征,发病率约1.2%。
1.血清学检查
无特异性诊断标志物。与经典的结节病类似,血ACE水平升高常有提示意义。其余文献报道的血清学异常包括CRP等炎症指标升高、IgA升高、血TNFα水平升高等,但均无诊断特异性。
2.超声检查
腮腺超声可见腮腺弥漫肿胀,回声不均,可有多发低回声,腮腺实质内有分隔等表现,腺体内部血供丰富。同时,有条件还可以行超声引导下穿刺,可提高穿刺活检的准确性,避免出血、面神经损伤等并发症(图1)。
图1 Heerfordt综合征患者腮腺超声表现
3.核素检查
Ga67放射性核素检查可见泪腺及腮腺等部位摄取增高,表现为典型的“熊猫征”(图2)。淋巴瘤、HIV感染等疾病,均可能造成上述部位放射性核素摄取增高表现,但双侧摄取增高常见于本病。
图2 Heerfordt综合征患者Ga67放射性核素检查
可见泪腺及腮腺等部位摄取增高,表现为典型的“熊猫征”。此外该患者还见到全身多发结节、纵隔淋巴结代谢摄取增高表现(箭)
4.CT及MRI检查
腮腺CT检查均可见腮腺弥漫增大表现,CT增强后可见不均匀强化表现,可有多发小低密度灶(图3)。MRI上可表现为腮腺弥漫增大,亦可表现为腮腺多发结节浸润影,在T1相和DWI相均有强化表现。同时,MRI还可见到面神经强化表现(图4)。对合并颈部及纵隔淋巴结肿大、肺内病变等典型结节病表现的患者,颈部及胸部CT检查对诊断有所帮助,必要时可以行上述部位的淋巴结活检、CT引导下穿刺等明确诊断。
5.眼科检查
裂隙灯及眼底镜检查有助于葡萄膜炎等眼部表现的诊断。
6.病理活检
腮腺穿刺活检可见到典型的结节病样病理表现,镜下可见上皮样细胞肉芽肿,引起非干酪样坏死形成,对疾病诊断有较大提示意义。其他部位增大淋巴结的活检如能见到典型结节病病理改变,亦对诊断有很大帮助(图5)。
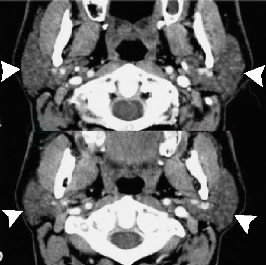
图3 Heerfordt综合征患者腮腺CT表现
可见腮腺弥漫肿大,不均匀强化,有小低密度灶等表现(箭头)
图4 Heerfordt综合征MRI表现
A面神经强化表现(箭);B、C腮腺增大,内有多发结节浸润影,在T1相和DWI相均有强化表现(箭头)
图5 Heerfordt综合征患者腿部淋巴结活检病理
可见典型的结节病病理改变,镜下见非干酪样坏死性上皮细胞肉芽肿形成(箭头)
目前关于该病治疗,并无临床指南及大规模临床试验证据。治疗上除人工泪液等对症治疗外,首选全身糖皮质激素治疗,亦可考虑免疫抑制剂治疗,包括甲氨蝶呤、吗替麦考酚酯、环孢素、硫唑嘌呤、环磷酰胺等。
对于治疗后复发、合并重要脏器损害如神经系统受累、听力受损的病例,可以考虑TNF-α抑制剂如英夫利昔单抗、阿达木单抗等生物制剂治疗。



