英文名称 :benign hypertrophy of salivary gland
中文别名 :变性型唾液腺肿大症;唾液腺肿大症;无症状性唾液腺肿大
唾液腺良性肥大又称变性型唾液腺肿大症、唾液腺肿大症及无症状性唾液腺肿大。以非肿瘤性、非炎症性、慢性、再发性、无痛性肿大为特点。
其真正病因并不完全了解,报告的大部分病例与内分泌失衡有关,主要是卵巢、甲状腺及胰腺功能障碍。卵巢者,见于青春期、停经期、怀孕期、哺乳期及卵巢切除术后;甲状腺者,见于甲状腺功能减退;胰腺者,最多见于糖尿病,甚至血糖、尿糖正常,仅糖耐量曲线异常者,均可表现为腮腺肿大。营养不良是病因之一,除腮腺肿大外,下颌下腺也可肿大。服用某些药物,如保泰松、含碘化合物、硫尿嘧啶及儿茶酚胺等,可致腮腺及下颌下腺肿大。长期饥饿、肥胖、高脂蛋白血症、高血压等,也可致腮腺及下颌下腺肿大。自主神经功能失调也可能是重要的发病原因。
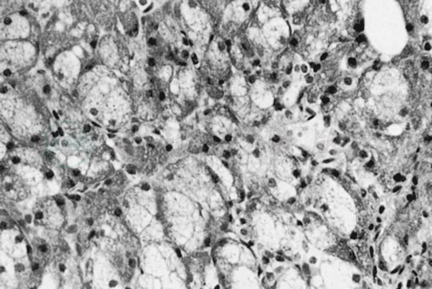
主要病变见于浆液性腺泡,光镜下见浆液性腺泡增大,约为正常腺泡的2~3倍,腺泡细胞之间界限不清,融成一片,腺泡细胞的胞质内有许多小空泡形成,腺泡细胞顶端的酶原颗粒消失;胞核比正常小,位于细胞基部。闰管及分泌管一般均正常。间质结缔组织可出现玻璃样变和水样变性,有的腺泡消失而被脂肪组织所取代(图1)。

图1唾液腺良性肥大
腮腺腺泡增大,腺泡内有许多小空泡形成,胞核小,位于基部
唾液腺造影显示外形正常,但体积明显增大,分支导管较正常者分离较远,这与腺泡本身增大及间质水肿有关。可伴有导管轻度扩张、不整,个别可伴分支导管少数点状扩张。主导管扩张不整与逆行感染有关,分支导管少数点状扩张。排空功能稍迟缓。
超声声像图表现唾液腺弥漫性增大,因腺体伴有脂肪性变,故回声增强,但无局限性回声异常。
CT见唾液腺特别是腮腺弥漫性增大,脂肪性变明显时密度降低,无占位性病变。
唾液腺良性肥大无特殊治疗,常随原发病的好转或恶化而消长。有腮腺肿胀症状者,可采用自身保护疗法,包括按摩腮腺、多喝水、咀嚼无糖口香糖刺激唾液分泌、保持口腔卫生、淡盐水漱口等。



