英文名称 :tumor of the diaphragm
膈肌肿瘤(tumor of the diaphragm)很少见,原发性更少。至今也仅有近200例原发性膈肌肿瘤病例报道。膈肌肿瘤分为良性和恶性肿瘤,两者的发生率相仿,良性略多于恶性。发病年龄从出生28天到80岁,平均为40岁。女性略多于男性。良性肿瘤以膈肌囊肿(间皮细胞囊肿或支气管源性囊肿)、脂肪瘤最为常见。原发性恶性膈肌肿瘤最常见的为横纹肌肉瘤和纤维肉瘤。继发性恶性肿瘤较原发性常见,可直接由邻近器官的肿瘤蔓延而来,亦可通过血行或淋巴转移至横膈。
1.X线表现
胸片示膈肌区域的半圆形肿块影,短期内可迅速长大,肿块边缘模糊,并呈分叶状;易累及侵犯胸膜腔,可引起胸腔积液征象,致肋膈角消失(图1)。膈肌受侵范围较大或有广泛粘连时,与升高的膈肌较类似,但膈肌恶性肿瘤常表现为膈肌的局限性突起。若肿瘤位于左侧膈肌且体积较大时会推挤膈下胃泡和结肠使其远离该膈肌。


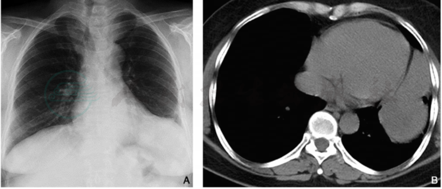
图1 膈肌肉瘤
注:女性,54岁,胸部X线片(A)示左侧膈肌局限性升高,左肋膈角变浅;CT平扫横断面图像(B)示左侧胸腔下部不规则软组织肿块,密度尚均匀;CT增强横断面(C)及冠状位(D)图像可见肿块不均匀强化,冠状位清晰显示肿块与膈肌广基底相连,沿膈肌生长充满左侧肋膈角。
2.CT和MRI表现
平扫时肿块密度/信号均匀或不均匀,增强扫描病变呈均匀或不均匀强化(图1~图3)。MRI常较CT显示更清楚,T1WI病变多呈长T1低信号,T2WI肿瘤多呈较长T2略高信号,边缘模糊或有分叶。一般肉瘤常较早地侵犯胸膜或腹膜,可引起胸腔积液和腹水。而当肺、肝脏、食管等邻近脏器的恶性肿瘤侵及膈肌时,则表现为原发病灶与膈肌之间的脂肪间隙消失分解不清,膈肌增厚、变形,并且可呈不均匀性强化。

图2 膈肌转移瘤(恶性胸腺瘤)
注:男性,58岁,CT横断面图像(A)示左侧膈肌弥漫性增厚并可见软组织肿块形成,密度尚均匀,邻近脾脏受压向内侧移位;冠状位(B)及矢状位(C)重建图像示左侧膈肌及左侧胸膜均可见弥漫不均匀增厚,左侧膈肌形态不规则,可见局灶性结节状突起,脾脏受压向下移位。


图3 膈肌转移瘤、肝脏转移瘤(肺癌)
注:男性,56岁,CT增强横断面动脉期(A)及静脉期(D)示左侧膈肌脚有一类椭圆形结节影,密度不均,冠状位重建动脉期(B)、静脉期(E)及矢状位重建(C)、静脉期(F)显示结节与膈肌脚关系;此外,肝右叶下段可见一小转移瘤结节。
原发性膈肌肿瘤可作手术切除,良性肿瘤预后良好。恶性肿瘤对手术的效果依肿瘤能否切除干净和肿瘤是否已向周围侵犯而异,对放射治疗及化疗多不敏感。



