英文名称 :intrathoracic goiters
胸内甲状腺肿(intrathoracic goiters)大多数是单纯性甲状腺肿,偶尔为甲状腺腺瘤。约占甲状腺疾病的9%~15%,占纵隔肿瘤的5.3%,多位于前纵隔。胸内甲状腺肿有两个来源:①颈部的甲状腺肿向下延伸、扩展或坠入;②极少数为胚胎发育期遗留的迷走甲状腺组织发展成为甲状腺肿,与颈部甲状腺无明显关系,其血供来自胸内。
胸内甲状腺肿可部分或全部位于胸内,依其发生的来源分为两类:
1.胸骨后甲状腺肿
均位于上纵隔,与颈部甲状腺有直接联系,又称继发性或坠入性胸骨后甲状腺肿。绝大多数胸骨后甲状腺位于前上纵隔,当肿瘤发生于侧叶的后侧面时,可下降至后上纵隔。
2.真性胸内甲状腺肿
是胚胎发育期甲状腺胚基随心包和大血管进入纵隔并发育形成,又称为先天性胸内迷走甲状腺肿。其进入胸内后,位于大血管的内后方,与气管很近,此类胸内甲状腺肿与颈部甲状腺仅有血管和纤维索相连或无任何相连。无任何相连者亦可称为原发性或迷走胸内甲状腺肿,多位于中、后纵隔,位于下纵隔的仅占10%~15%,少数可接近膈肌水平。
X线检查见前上纵隔圆形或椭圆形致密阴影,随吞咽上下活动,向一侧或两侧突出,上缘可延伸至颈部,部分病例有钙化。CT能更清楚显示肿块的大小及与周围组织的关系,MRI检查尚能了解肿块与周围大血管的关系,有助于与血管瘤鉴别。放射性核素131碘检查,对诊断及判明有无甲状腺功能亢进均有帮助。
1.X线
胸片上可以表现为前上纵隔增宽,或上纵隔向外突出,上界往往不清,有时可见支气管受压移位。
2.CT
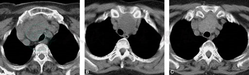
①多数病灶与颈部甲状腺相延续,位于气管前间隙内,亦可伸入到气管与食管之后方;②肿块缘光滑,密度多不均匀,伴单个或多个低密度区,常见点状或不规则钙化;③平扫肿块CT值高于周围肌肉组织,常为50~70Hu,有时可达110~130Hu,囊性区CT值15~35Hu,增强后实质强化明显,且持续时间较长,密度与正常甲状腺相仿略低;④多数病例纵隔大血管及气管有典型推移表现(图1)。
下列征象提示恶性病变:①病灶内低密度区边缘不规则且有结节状突起;②邻近淋巴结增大;③肿块与邻近结构间脂肪层消失;④邻近结构受侵犯等。
3.MRI
多方位观察容易发现纵隔内病变与颈部甲状腺相连,病灶信号混杂,实性部分T1WI常呈等或稍高混杂信号,T2WI呈高信号;囊性结节因成分可以呈复杂多变信号。增强实性部分可见较明显强化,囊性部分不强化。病变如有钙化,显示不如CT,表现为无信号区。

图1胸内甲状腺肿
A~C.不同层面CT横断面平扫图像,上纵隔可见囊实性病灶,与甲状腺右叶相连,实性成分较多,周围血管、气管受压移位
引自:放射诊断学(第2版).第2版.ISBN:978-7-117-30992-9.主编:
4.PET/CT
良性胸内甲状腺肿常呈低摄取,SUV小于2.5,如恶变常呈高摄取,SUV大于2.5。
应手术摘除,继发甲亢者,术前应予甲状腺亢进药物治疗准备,对肿瘤位置较高,体积不大,可经颈部切口完成。体积较大、位置深,宜采用胸骨正中劈开切口,术中应避免喉返神经损伤,若有气管软化,可在气管内置T形管支撑6个月至1年,或将气管软化部外壁用肋骨片作支架,将软化气管壁固定在肋软骨片上,数月后自然硬化。



