英文名称 :hemangioma
本病包括血管瘤(hemangioma)及血管畸形,可能是不同的发展阶段,可发生于外耳道、中耳、面神经管前膝部及内耳道底,较少见于后膝。通常认为本病罕见,在高加索人中比较常见,儿童发病率可达12%,男女之比为1∶3。血管瘤全身各部位均可发生,约60%发生于头颈部,25%在躯干部,15%在四肢。血管瘤80%为单发,20%为多发。
某些血管瘤有特殊的表现或是某些综合征的表现之一。
1.马富克西综合征(Maffucci’syndrome)又称伴发血管瘤的软骨发育不良(dyschondroplasia with hemangiomata)。患者在出生时往往正常,到儿童时期有多个皮下海绵状血管瘤。在青春期前,手足的小骨发生坚硬的软骨性豆大结节,逐渐变大。以后,长骨的骨骺线附近发生较大的结节,称为内生软肌瘤(enchondroma)。若干年后,可有同样的损害出现于躯干,多半分布于一侧。除了血管瘤外,皮肤还可有静脉扩张、淋巴管瘤及淋巴管扩张,也可有白癜风等色素变化。由于骨化作用有缺陷,骨骼软化常发生病理性骨折。
本病常有家族史,可由于不完全常染色体显性遗传,不能自然消失。
2.出汗性血管瘤(sudoriparous angioma)是疼痛而多汗的血管瘤,直径约12~20mm,呈淡青到暗红色。这种半球形血管瘤在碰撞挤控时,汗液显著增多而可成为汗珠。
组织变化是真皮中部及深部有大小不等的血管,管壁很薄,周围为扩张的囊肿性汗腺。
3.疣状血管瘤(hemangicma verrucosum)出生时或儿童期发病,是血管瘤的表面皮肤发疣状增殖,血管瘤呈青红色,边界清楚,最常见于下肢,也可发生于胸部及前臂等处,不会自然消失。本病进展缓慢,可形成卫星状结节。早期切除是唯一疗法。
4.樱桃色血管瘤(cherry angioma)又称老年血管瘤(senile angioma),通常发生于中年或老年人的躯干尤其常见于脐部以上,常随年龄的增长而增多,但有的在青年时期就已发生。
皮损是针头到豆粒大的半球状小瘤,颜色鲜红而像红辣椒或樱桃色,因而又称“红辣椒点(cayenne pepper spots)”,是由很多扩张并有内皮细胞增生的新生毛细血管所构成,往往成十成百,既不消失,也不扩展或恶变。
5.丛状血管瘤(plexiform angioma)又称蔓状动脉血管瘤(angioma arteriale racemosa),多半发生于头部、眼眶、颈部及耳朵等靠近颈动脉的部位,可以侵蚀颅骨而进入颅内。
丛状血管瘤是可压缩的褐红色柔软肿瘤,表面凹凸不平,容易损破出血。蔓藤或蚯蚓状瘤体扭成一团,是由管壁不匀的扩张小动脉及小静脉相互缠绕而成,瘤体有搏动而和脉搏一致,听诊时可听到收缩期较强的杂音(图1)。

图1丛状血管瘤
6.希派尔-林道(von Hippel-Lindau)综合征是皮肤、视网膜、小脑及脊髓都有血管瘤。多囊肾、多囊肺或多囊胰以及嗜铬细胞瘤或肾上腺瘤或某些先天性异常往往同时存在。
7.高罕病(Gorham’s disease)又称伴有骨质溶解的血管瘤性痣(angiomatous naevi with osteolysis)。皮肤有血管瘤,骨骼系统中某一根或几根骨头不见或发生骨质溶解,溶解骨质完全或部分地由纤维组织代替。本病很少见,通常在幼童时期开始发。
血管瘤分为毛细血管瘤、海绵状血管瘤和混合血管瘤三型。毛细血管瘤是表浅的血管瘤,起源于毛细真皮,过去通常被称为“草莓状”血管瘤。海绵状血管瘤位于网状真皮或皮下组织内,外观呈蓝色或无色。混合血管瘤起源于毛细真皮和网状真皮或皮下组织。
骨血管瘤为瘤样增生的血管组织,掺杂于骨小梁之间,不易将其单独分离。从组织学上分为海绵状血管瘤及毛细血管瘤,前者多见于脊柱和颅骨,后者多见于扁骨和长管骨干骺端。肉眼所见:肿瘤组织为灰红色或暗红色,极易出血,肿瘤使骨质膨胀变薄,在肿瘤壁上常见到粗糙而硬化的不规则骨嵴。镜下所见:海绵状血管瘤的组织,大多是密集的薄壁扩张血管,属于毛细血管或小静脉,血管中充满红细胞,肿瘤边缘可有残存的正常骨小梁,在肿瘤组织间可见到脂肪性骨髓。
面神经血管瘤也可导致周围出现蜂窝状新骨。
高分辨率CT和薄层MRI为主要检查方法,DSA为重要的辅助诊断方法;CT主要显示软组织肿块的位置、钙化及其对周围骨质的破坏情况,MRI可很好地显示肿瘤的范围、形态、信号特征及强化方式,能进一步明确诊断,而DSA可显示异常血管团及其供血血管。
1.CT表现
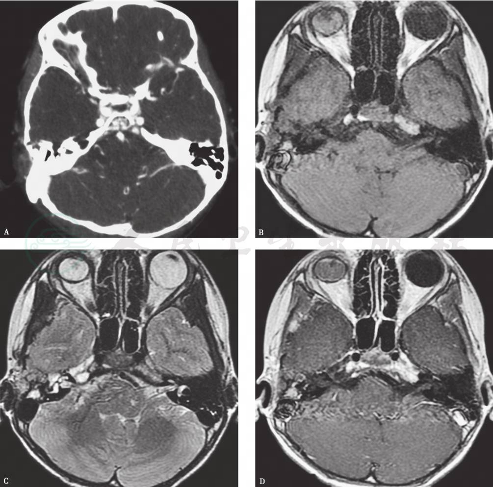
根据发病部位不同,其表现各不相同:①当肿瘤位于鼓室内时,主要表现为鼓室内不规则形软组织肿块,其内可见钙化;②当肿瘤位于内耳道壁或岩尖骨质时,骨质膨大呈蜂窝状或珊瑚状结构,并有骨质破坏,其边缘不整齐;③当肿瘤位于面神经管时,可见前膝部或迷路段骨管扩大,骨质破坏,边缘较毛糙(图1A)。
2.MRI表现
肿瘤在T1WI上呈等信号,T2WI上呈高信号,增强后扫描明显强化(图1B~D)。
3.DSA表现
DSA显示颞骨内异常血管团,主要是颈外动脉分支供血。

图1血管瘤
A.颞骨增强HRCT横断面,示右侧颞骨鳞部、岩部交界处斑片状强化软组织影;B~D.颞骨横断面T1WI、T2WI、增强T1WI,显示鳞部、岩部交界处斑片状稍长T1稍长T2信号影,增强后轻度强化;病变后部见小片状较短T1长T2信号区,增强后明显强化
引自:中华影像医学·头颈部卷.第3版.ISBN:978-7-117-28718-0.主编:
血管瘤治疗包括外科手术治疗、浅层X线治疗、硬化治疗等。30%~60%患者对糖皮质激素治疗反应良好,可以口服泼尼松2~3mg/(kg·d),瘤体减小时迅速递减,4~6周为1个治疗周期;治疗停止时,血管瘤会反弹生长,需要反复治疗6~12个月;也有采用糖皮质激素(曲安奈德、复方倍他米松)局部注射治疗。长时间使用时,需要注意糖皮质激素副作用。如果系统治疗8~10d后,血管瘤仍持续生长,说明激素治疗无效。
普萘洛尔用于治疗血管瘤是2008年由Léauté Labréze无意发现的。普萘洛尔片治疗血管瘤具有明显的效果(部分治疗抵抗),开始时0.5mg/(kg·d),观察3d后(生命体征、血糖正常),改为1mg/(kg·d),1个月后改为2mg/(kg·d);3d见效,效果好的病例1个月可明显消退,治疗时间3~12个月(平均总治疗时间6.1个月),如果复发则继续服用普萘洛尔治疗。服药初期需要监测心率、血压、血糖等。一项系统性回顾研究显示,1 200例接受普萘洛尔治疗的患儿,平均剂量为2.1mg/(kg·d),平均治疗时间为6.4个月,其有效率高达98%,仅有<1%的患儿出现不良反应,不良反应有心率减慢、胃肠道反应、睡眠改变、低血糖、低血压、哮喘发作。另有研究结果显示,普萘洛尔的治愈率可达82%。也有报道显示,普萘洛尔治疗血管瘤的复发率达21%。
2015年我国冉玉平教授发现伊曲康唑(itraconazole)治疗血管瘤具有良好的疗效。儿童口服伊曲康唑口服液5mg/(kg·d),平均治疗两个半月,有效率72.73%。其另一篇报告显示患儿治疗第一个月血管瘤颜色变浅、生长速度放缓,随访3个月时所有患儿皮损明显改善,最后所有皮损改善达80%~100%。治疗期间依从性良好,治疗前、后肝功能和血常规结果正常,其中2例患儿中途腹泻,未中断治疗而自行缓解。研究发现伊曲康唑具有多种非抗真菌作用,具有抗血管生成、抑制Hedgehog(Hh)信号通路、诱导细胞自噬、上调缺氧诱导因子-1α表达、抑制哺乳动物雷帕霉素靶蛋白(mammalian target of rapamycin,mTOR)、调节胆固醇转运、抑制P-糖蛋白等作用。
马来酸噻吗洛尔滴眼液3次/d湿敷,每次10~20min有一定的治疗效果。
免疫调节剂如咪喹莫特霜剂局部治疗,可诱导机体局部产生细胞因子并抑制其增殖,促进凋亡,有效率可达80%,主要适用于增生期或稳定期的浅表病灶,面积不限;可能的不良反应有局部刺激、溃疡和结痂。
局部注射药物主要有糖皮质激素、硬化剂(无水乙醇、平阳霉素、聚桂醇等)。



