英文名称 :light chain deposition disease
英文名称 :light chain deposition disease
轻链沉积病 (light chain deposition disease,LCDD)是由于异常浆细胞产生过多的轻链,重链合成相对减少,导致体内有过多的游离轻链,大量异常轻链产生并沉积于全身各个脏器组织所导致的系统性疾病。20世纪50年代,人们首次在一名骨髓瘤患者中发现肾小球存在结节样病变,而刚果红染色阴性,因此并非淀粉样变性。1976年,Randall在上述病变部位中检出单克隆轻链,首次认识到轻链能够以淀粉样变性以外的方式沉积于组织而致病,并将其命名为轻链沉积病。
LCDD散在发病,确切发病率不清。迄今为止,全世界LCDD的病例报告仅500例左右。国内直至20世纪90年代才陆续有LCDD的个案报道。Heilman等人回顾了260例不明原因蛋白尿病例的肾活检结果,发现其中有7例为LCDD,占2.69%。但LCDD的发病率可能远远高于实际报道,国外一个对57例MM患者的尸检报告显示,3例 (5.3%)存在LCDD。发病年龄以中、老年为主,通常发生在45岁以后,但范围较宽,在已报道的病例中,年龄分布从35岁至80岁。男性多于女性,男女之比为4∶1。2/3病例继发于淋巴细胞增生性疾病,包括MM、淋巴瘤、巨球蛋白血症等。
LCDD散在发病,确切发病率不清。迄今为止,全世界LCDD的病例报告仅500例左右。国内直至20世纪90年代才陆续有LCDD的个案报道。Heilman等人回顾了260例不明原因蛋白尿病例的肾活检结果,发现其中有7例为LCDD,占2.69%。但LCDD的发病率可能远远高于实际报道,国外一个对57例MM患者的尸检报告显示,3例 (5.3%)存在LCDD。发病年龄以中、老年为主,通常发生在45岁以后,但范围较宽,在已报道的病例中,年龄分布从35岁至80岁。男性多于女性,男女之比为4∶1。2/3病例继发于淋巴细胞增生性疾病,包括MM、淋巴瘤、巨球蛋白血症等。
LCDD是由于单克隆轻链在肾组织异常沉积所致。一个天然的免疫球蛋白分子由两条相同的重链和轻链组成,轻链与重链之间由二硫键连接。轻链有两种:κ链和λ链,根据其分子结构,轻链分为恒定区(CL)和可变区(VL)。目前对于LCDD的发病机制尚不清楚。通过对异常沉积的轻链分子进行基因检测,发现编码轻链的基因发生了突变,这些改变主要发生于轻链的可变区,以VkⅣ亚型的变异为最多见。核苷酸变异导致编码蛋白质的氨基酸序列发生异常,进而影响蛋白质的构象,导致其稳定性下降,并可通过羰基化作用、电荷作用等促进其聚集。氨基酸序列以及局部环境的不同可导致轻链沉积后的形态不同,可能与轻链形成淀粉样纤维或非淀粉样LCDD有关。
此外,Herrera等研究发现,轻链蛋白可通过与系膜细胞的相互作用激活转化生长因子β(TGF-β)的表达,刺激系膜细胞分泌细胞外基质(Ⅳ型胶原、层黏蛋白laminin、纤连蛋白及tenascin),与肾小球的系膜结节状硬化形成有关;而胰岛素样生长因子、成纤维细胞生长因子与TGF-β共同作用参与肾小管损伤及肾间质纤维化。
LCDD是由于单克隆轻链在肾组织异常沉积所致。一个天然的免疫球蛋白分子由两条相同的重链和轻链组成,轻链与重链之间由二硫键连接。轻链有两种:κ链和λ链,根据其分子结构,轻链分为恒定区(CL)和可变区(VL)。目前对于LCDD的发病机制尚不清楚。通过对异常沉积的轻链分子进行基因检测,发现编码轻链的基因发生了突变,这些改变主要发生于轻链的可变区,以VkⅣ亚型的变异为最多见。核苷酸变异导致编码蛋白质的氨基酸序列发生异常,进而影响蛋白质的构象,导致其稳定性下降,并可通过羰基化作用、电荷作用等促进其聚集。氨基酸序列以及局部环境的不同可导致轻链沉积后的形态不同,可能与轻链形成淀粉样纤维或非淀粉样LCDD有关。
此外,Herrera等研究发现,轻链蛋白可通过与系膜细胞的相互作用激活转化生长因子β(TGF-β)的表达,刺激系膜细胞分泌细胞外基质(Ⅳ型胶原、层黏蛋白laminin、纤连蛋白及tenascin),与肾小球的系膜结节状硬化形成有关;而胰岛素样生长因子、成纤维细胞生长因子与TGF-β共同作用参与肾小管损伤及肾间质纤维化。
1.部分病例血、尿轻链升高或血轻链κ、λ比值发生异常,血、尿免疫蛋白电泳可见M蛋白,多伴有低γ球蛋白血症。近年开发出血清游离轻链检测试剂,其作为抗体只与游离轻链特异性结合,不与完整的免疫球蛋白上的轻链结合,敏感性高,能检测到大约0.5mg/L的游离κ和λ,比免疫固定电泳法更敏感,并能够提供定量的资料更适用于疾病的监测。合并MM者,骨髓穿刺检查骨髓浆细胞数升高大于15%,其他淋巴细胞增生性疾病患者的浆细胞总数虽无明显升高,但免疫标记显示分泌λ、κ轻链的浆细胞比例失调,出现异常浆细胞克隆。
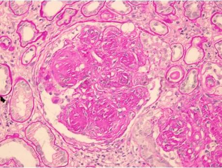
2.肾脏病理 肾小球典型的组织学改变为系膜结节状硬化(图1),与膜增生性肾小球肾炎的分叶样改变及结节性糖尿病肾小球硬化症的改变相似。系膜基质增生呈结节状,类似糖尿病肾病的Kimmelsteil-Wilson结节,PAS染色呈强阳性,刚果红染色阴性。约51%~59%的LCDD患者表现上述典型的系膜结节状硬化,其余病例表现为肾小球系膜细胞和基质轻至中度增生,或为大致正常的肾小球,常伴不同程度的肾小球硬化,也有报道少数肾小球可见新月体形成。几乎所有LCDD病例均有肾小管损伤,肾小管基底膜增厚、皱缩及分层,其外侧缘可见折光的、嗜伊红的、PAS阳性的缎带状沉积物,主要分布于远端小管、髓襻及部分集合管;合并MM时可见肾小管腔内的浓稠蛋白管型,表现为管型肾病的特征;严重损伤者可表现为急性肾小管坏死。肾间质纤维化的程度与肾小球硬化及肾小管的病变相一致,早期可表现为轻度灶状的纤维化伴炎细胞浸润,随着肾小球硬化及肾小管萎缩的加重,晚期可呈现弥漫纤维化伴有嗜伊红物质的沉积。肾小动脉壁常增厚,基底膜外侧可见PAS阳性物质沉积。有报道指出,不同类型的轻链沉积会导致不同的病理组织学改变,结节状肾小球病多为κ轻链的沉积;λ轻链沉积则以肾小管的病变更为突出。
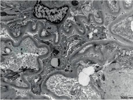
电镜检查可观察到LCDD特征性的超微结构改变,表现为细颗粒状电子致密物质沿肾小管基底膜外侧、肾小球毛细血管基底膜内侧、系膜区、Bowman囊壁及小血管壁沉积(图2、图3),具有重要诊断价值。疾病晚期,肾间质内亦可见类似颗粒状物质沉积。但是部分早期病例仅可观察到肾小球毛细血管基底膜内侧少量、节段性沉积的颗粒物质,此时尚需结合免疫荧光检查进一步确诊。
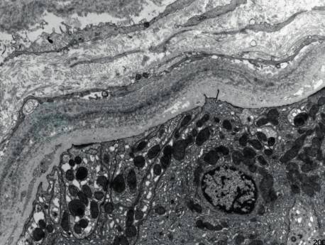
轻链免疫荧光检测具有决定性诊断意义。轻链κ或λ沿肾小管基底膜(TBM)外缘呈线样沉积,以远端小管及髓襻为著,也可见于近端小管,肾小球毛细血管基底膜(GBM)及结节状增生的系膜区、包氏囊壁也可见沉积,但阳性程度弱于肾小管(图4)。LCDD中κ轻链沉积多见于λ轻链,约(2~5) :1。有报道电镜观察到肾小球内的颗粒状沉积物,而免疫荧光却为阴性,有可能为沉积于肾小球内的轻链被修饰致使其抗原决定簇被掩盖,或者早期LCDD病例颗粒状沉积物量少,免疫荧光难以检出,此时免疫电镜检测可能有助于确诊。

图1LM系膜结节状硬化(PAS 400×)
引自:肾脏病学.第4版.ISBN:978-7-117-30643-0.主编:

图2EM肾小球基底膜(GBM)内侧细颗粒状电子致密物
引自:肾脏病学.第4版.ISBN:978-7-117-30643-0.主编:

图3EM TBM外侧细颗粒状电子致密物
引自:肾脏病学.第4版.ISBN:978-7-117-30643-0.主编:

图4轻链κ沿肾小管基底膜(TBM)外缘呈线样沉积
引自:肾脏病学.第4版.ISBN:978-7-117-30643-0.主编:
其他器官LCDD的病理表现为相应器官的基底膜外侧及小血管壁可见轻链的沉积。光镜可见基底膜增厚,伴嗜伊红的蛋白样物质沉积;免疫荧光可见轻链λ或κ沿基底膜及小血管壁广泛沉积;电镜在上述相应的部位观察到颗粒状物质。轻链蛋白可沉积于心肌的肌膜外侧,肝脏血窦壁及小胆管基底膜的外侧,大脑的脉络丛及外周神经纤维,眼睫状体色素膜基底膜外等;在肺部及关节的轻链蛋白沉积,还可引起结节样增生。
少数病例报道LCDD合并AL型淀粉样变。如诊断为肾脏LCDD的病例,在肝脏、心肌、舌或皮肤等部位发现由同种轻链沉积形成的淀粉样纤维结构;或肾小球表现LCDD,而肾动脉及心肌的血管呈淀粉样变。提取来自于淀粉样纤维的轻链蛋白与LCDD的轻链蛋白进行蛋白质氨基酸序列分析,发现两者的N末端的氨基酸序列相似,提示具有相同抗原性的轻链蛋白可聚集形成不同的形态结构,可能与局部环境因素有关。同种轻链在同一个体内形成淀粉样纤维与颗粒状的轻链沉积并存的机制尚待深入探讨。
1.部分病例血、尿轻链升高或血轻链κ、λ比值发生异常,血、尿免疫蛋白电泳可见M蛋白,多伴有低γ球蛋白血症。近年开发出血清游离轻链检测试剂,其作为抗体只与游离轻链特异性结合,不与完整的免疫球蛋白上的轻链结合,敏感性高,能检测到大约0.5mg/L的游离κ和λ,比免疫固定电泳法更敏感,并能够提供定量的资料更适用于疾病的监测。合并MM者,骨髓穿刺检查骨髓浆细胞数升高大于15%,其他淋巴细胞增生性疾病患者的浆细胞总数虽无明显升高,但免疫标记显示分泌λ、κ轻链的浆细胞比例失调,出现异常浆细胞克隆。
2.肾脏病理 肾小球典型的组织学改变为系膜结节状硬化(图1),与膜增生性肾小球肾炎的分叶样改变及结节性糖尿病肾小球硬化症的改变相似。系膜基质增生呈结节状,类似糖尿病肾病的Kimmelsteil-Wilson结节,PAS染色呈强阳性,刚果红染色阴性。约51%~59%的LCDD患者表现上述典型的系膜结节状硬化,其余病例表现为肾小球系膜细胞和基质轻至中度增生,或为大致正常的肾小球,常伴不同程度的肾小球硬化,也有报道少数肾小球可见新月体形成。几乎所有LCDD病例均有肾小管损伤,肾小管基底膜增厚、皱缩及分层,其外侧缘可见折光的、嗜伊红的、PAS阳性的缎带状沉积物,主要分布于远端小管、髓襻及部分集合管;合并MM时可见肾小管腔内的浓稠蛋白管型,表现为管型肾病的特征;严重损伤者可表现为急性肾小管坏死。肾间质纤维化的程度与肾小球硬化及肾小管的病变相一致,早期可表现为轻度灶状的纤维化伴炎细胞浸润,随着肾小球硬化及肾小管萎缩的加重,晚期可呈现弥漫纤维化伴有嗜伊红物质的沉积。肾小动脉壁常增厚,基底膜外侧可见PAS阳性物质沉积。有报道指出,不同类型的轻链沉积会导致不同的病理组织学改变,结节状肾小球病多为κ轻链的沉积;λ轻链沉积则以肾小管的病变更为突出。
电镜检查可观察到LCDD特征性的超微结构改变,表现为细颗粒状电子致密物质沿肾小管基底膜外侧、肾小球毛细血管基底膜内侧、系膜区、Bowman囊壁及小血管壁沉积(图2、图3),具有重要诊断价值。疾病晚期,肾间质内亦可见类似颗粒状物质沉积。但是部分早期病例仅可观察到肾小球毛细血管基底膜内侧少量、节段性沉积的颗粒物质,此时尚需结合免疫荧光检查进一步确诊。
轻链免疫荧光检测具有决定性诊断意义。轻链κ或λ沿肾小管基底膜(TBM)外缘呈线样沉积,以远端小管及髓襻为著,也可见于近端小管,肾小球毛细血管基底膜(GBM)及结节状增生的系膜区、包氏囊壁也可见沉积,但阳性程度弱于肾小管(图4)。LCDD中κ轻链沉积多见于λ轻链,约(2~5) :1。有报道电镜观察到肾小球内的颗粒状沉积物,而免疫荧光却为阴性,有可能为沉积于肾小球内的轻链被修饰致使其抗原决定簇被掩盖,或者早期LCDD病例颗粒状沉积物量少,免疫荧光难以检出,此时免疫电镜检测可能有助于确诊。

图1LM系膜结节状硬化(PAS 400×)
引自:肾脏病学.第4版.ISBN:978-7-117-30643-0.主编:

图2EM肾小球基底膜(GBM)内侧细颗粒状电子致密物
引自:肾脏病学.第4版.ISBN:978-7-117-30643-0.主编:

图3EM TBM外侧细颗粒状电子致密物
引自:肾脏病学.第4版.ISBN:978-7-117-30643-0.主编:

图4轻链κ沿肾小管基底膜(TBM)外缘呈线样沉积
引自:肾脏病学.第4版.ISBN:978-7-117-30643-0.主编:
其他器官LCDD的病理表现为相应器官的基底膜外侧及小血管壁可见轻链的沉积。光镜可见基底膜增厚,伴嗜伊红的蛋白样物质沉积;免疫荧光可见轻链λ或κ沿基底膜及小血管壁广泛沉积;电镜在上述相应的部位观察到颗粒状物质。轻链蛋白可沉积于心肌的肌膜外侧,肝脏血窦壁及小胆管基底膜的外侧,大脑的脉络丛及外周神经纤维,眼睫状体色素膜基底膜外等;在肺部及关节的轻链蛋白沉积,还可引起结节样增生。
少数病例报道LCDD合并AL型淀粉样变。如诊断为肾脏LCDD的病例,在肝脏、心肌、舌或皮肤等部位发现由同种轻链沉积形成的淀粉样纤维结构;或肾小球表现LCDD,而肾动脉及心肌的血管呈淀粉样变。提取来自于淀粉样纤维的轻链蛋白与LCDD的轻链蛋白进行蛋白质氨基酸序列分析,发现两者的N末端的氨基酸序列相似,提示具有相同抗原性的轻链蛋白可聚集形成不同的形态结构,可能与局部环境因素有关。同种轻链在同一个体内形成淀粉样纤维与颗粒状的轻链沉积并存的机制尚待深入探讨。
治疗措施主要针对减少免疫球蛋白轻链的产生。目前多采用化疗,方案包括MP方案、VAD/VAMP、糖皮质激素和环磷酰胺、单纯糖皮质激素、糖皮质激素和沙利度胺,部分患者通过上述治疗尿蛋白减少、肾功能稳定甚至得到改善。近年来,有报道采用糖皮质激素和硼替佐米治疗LCDD患者,并取得了较好的效果。此外,也有大剂量化疗和自体干细胞移植的报道,亦取得较好的效果。辅助治疗措施包括纠正高钙血症及碱化尿液,防止本周蛋白尿形成管型。进入ESRD患者,选择透析治疗,肾移植易复发,因此如果不能有效控制轻链产生,不建议给LCDD患者行肾移植。
治疗措施主要针对减少免疫球蛋白轻链的产生。目前多采用化疗,方案包括MP方案、VAD/VAMP、糖皮质激素和环磷酰胺、单纯糖皮质激素、糖皮质激素和沙利度胺,部分患者通过上述治疗尿蛋白减少、肾功能稳定甚至得到改善。近年来,有报道采用糖皮质激素和硼替佐米治疗LCDD患者,并取得了较好的效果。此外,也有大剂量化疗和自体干细胞移植的报道,亦取得较好的效果。辅助治疗措施包括纠正高钙血症及碱化尿液,防止本周蛋白尿形成管型。进入ESRD患者,选择透析治疗,肾移植易复发,因此如果不能有效控制轻链产生,不建议给LCDD患者行肾移植。



