英文名称 :sympathetic ophthalmia
交感性眼炎(sympathetic ophthalmia)是葡萄膜穿透性外伤(包括外伤和手术)后发生的一种双侧肉芽肿性全葡萄膜炎。外伤眼称为诱发眼(exciting eye),而另一眼则称为交感眼(sympathizing eye)。目前认为,交感性眼炎是一种自身免疫介导的眼内炎症,在组织病理学上表现为淋巴细胞和巨噬细胞呈结节状或弥漫性浸润葡萄膜,其起病隐匿,进展迅速,而且病情经常反复恶化。2000年Kilmartin做了以人口为基数的交感性眼炎发病情况的调查研究,发病率每年为0.03/10万。其发病机制、临床表现和治疗叙述如下。
在交感性眼炎的病因研究中,曾有过结核、病毒感染学说和黑色素过敏学说,但目前认为交感性眼炎的发生属自身免疫机制。双眼弥漫性全葡萄膜炎与HLA-DRB1或HLA-DQA1或HLA-DQB1相关,离体研究发现T细胞可作用于视网膜抗原,提示自身免疫机制在其发病中起到重要作用。交感性眼炎免疫病理学研究发现,脉络膜组织中含大量T淋巴细胞和Th1细胞因子,伴有主要组织相容性复合物Ⅱ型和黏附分子,提示其发病为T细胞介导的免疫反应。葡萄膜的炎症可能针对的是眼部的自身抗原。
引起葡萄膜炎症反应的抗原仍未确定。Collin的动物实验显示,在给豚鼠注射全葡萄膜匀浆加上佐剂,可诱发类似交感性眼炎的眼部炎症反应。用多种视网膜蛋白免疫动物可产生实验性自身免疫性葡萄膜视网膜炎。这些蛋白是视紫红质、视网膜可溶性抗原(S-Ag)、视网膜光感受细胞间结合蛋白和鸟苷一磷酸二酯酶。模型中介导炎症的细胞主要为T淋巴细胞和巨噬细胞。临床表现和病理所见与交感性眼炎非常相似,这取决于免疫的剂量、注射途径、佐剂和动物种属。动物模型可出现Dalen-Fuchs结节、非肉芽肿性及肉芽肿性葡萄膜炎、视网膜血管炎、渗出性视网膜脱离、玻璃体炎、虹膜睫状体炎和角膜后沉着物。Dalen-Fuchs结节是指葡萄膜有淋巴细胞、上皮样细胞及Langerhans巨细胞浸润。脉络膜病变始于大血管层,在血管周围出现淋巴细胞浸润,逐渐形成典型结节。结节中心为上皮样细胞及巨细胞,周围为淋巴细胞,有些还能见到浆细胞。Broekuyse等(1992)描述一种不溶性葡萄膜黑色素制剂可产生仅限于葡萄膜炎症的免疫动物模型。其他组的研究发现,该模型表现出疾病自发的复发现象。葡萄膜抗原引起的炎症反应与交感性眼炎一致,这与交感性眼炎通常发生在葡萄膜组织创伤后有关。而且黑色素蛋白诱导的实验性葡萄膜炎与交感性眼炎一样,组织病理损伤主要发生在葡萄膜。最近Sugita等报道,在HLA-A2型交感性眼炎患者中,能特异性识别黑色素抗原多肽MART-1的T淋巴细胞可溶解黑色素细胞。这支持疾病是针对MART-1抗原的自身免疫反应。
Rao和Roberge等研究了致敏反应的机制,结膜下注射视网膜抗原加佐剂可出现对侧的葡萄膜炎症反应。提示眼内缺乏淋巴引流,导致结膜下淋巴细胞对视网膜抗原敏感。而在眼外伤时,正常情况下个别位于眼内的抗原通过伤口可接触到淋巴细胞,眼内组织长时间暴露于眼外环境中,细菌可作为佐剂加强致敏反应。
青光眼滤过性手术通常不会引发交感性眼炎,这意味着交感性炎症的发生,不仅要有创伤还必须有诱发免疫系统的致敏作用。正常情况下的房水是淋巴细胞激活的抑制剂,部分通过β-转化生长因子(TGF-β)的表达来实现。这一抑制途径可被创伤中房水内生成的非特异性炎症因子所终止。眼组织结构的完整性对于维持正常视功能具有重要的意义,此种组织结构完整性的维持有赖于多种机制,其中最重要的机制之一是眼内免疫赦免机制。有实验表明,前房是重要的免疫赦免区,此对维持眼内免疫微环境的稳定性有重要意义。将抗原和异体物质引入前房后,可以诱导出特异性非补体结合抗体和细胞毒性T细胞的前体细胞,但迟发型过敏反应(delayed type hypersensitivity,DTH)缺如,此种现象或机制被称为前房相关免疫偏离(anterior chamber associated immune deviation,ACAID)。损伤这种抑制机制,是延期处理眼部创伤和多次眼部手术后交感性眼炎发生率增高的原因之一。另外,Nd∶YAG激光光凝睫状体,也可引发交感性眼炎。
激发眼与交感眼的病理所见,除激发眼有外伤改变外其余完全一致。均具有肉芽肿性葡萄膜炎症的特征,整个葡萄膜组织因炎症细胞浸润而增厚,尤以脉络膜更为显著,厚度可达到正常时的2~3倍乃至5~6倍。所形成典形的结节很像结核,但交感性眼炎时结节中巨细胞吞噬色素现象明显,而且不存在或极少干酪样坏死。脉络膜毛细血管层极少受到侵犯,而在病情发展到一定程度时,也难免波及覆盖于其上的色素上皮,上皮局限性增生,呈扁的斑状或结节状隆起,细胞增大成梭形、杂有上皮样细胞及巨细胞,称为Dalen-Fuchs结节,位于Bruch膜与色素上皮层之间,此结节是由视网膜色素上皮细胞增生、转化而成。Dalen-Fuchs结节并非交感性眼炎所特有,例如在vogt-小柳-原田综合征的病理标本亦可见此结节的改变。
1.FFA
急性期造影的静脉早期,在RPE和脉络膜水平出现多发性强荧光渗漏点,在后期这些强荧光点可融合成片状强荧光,炎症严重的患者可形成多囊状或葫芦状改变(图2B、C)。另外一个常见的表现是视乳头渗漏荧光、黄斑水肿和渗出性视网膜脱离。在一些患者可出视网膜血管荧光素渗漏、血管壁染色等改变。在疾病的慢性期或反复发作的葡萄膜炎患者,可出现造影早期多发性弱荧光区,后期染色,此种荧光改变的部位与临床上所见的Dalen-Fuchs结节的分布相一致。在慢性期,这些结节所在的部位萎缩,造影时呈窗样缺损。
2.ICGA
在疾病的活动期,在后极部和周边部可出现多发性弱荧光区,与FFA显示的高荧光区和彩色眼底照的黄色脉络膜视网膜萎缩区相一致。而在造影中期见到的低荧光区到造影晚期消失,说明是活动性脉络膜炎症。推测这种现象是脉络膜细胞浸润或视网膜下液阻挡,当治疗好转时,这种现象消失。在浆液性视网膜脱离,造影晚期则出现染料积蓄。
3.OCT
可表现为视网膜水肿、视网膜皱褶、视网膜神经上皮脱离和视网膜色素上皮浆液性脱离等,可清楚地显示光感受器外节和脉络膜的炎症改变(图4)。
4.影像学检查
B型超声波检查可发现脉络膜增厚,此种改变支持交感性眼炎的诊断。利用X线和CT检查对诊断和定位眼内异物,简便易行,迅速准确。


图1 眼球破裂伤后交感性眼炎
A.外伤后70天诱发眼,颞侧巩膜破裂伤没及时缝合,引起脉络膜色素增生移行到结膜面;B.交感眼羊脂状Kp,房水闪辉和浮游细胞阳性(刘文提供)






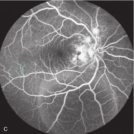
图2 交感性眼炎引起渗出性视网膜脱离
A.患者女,32岁,右眼视力下降3年,加重一个月,视乳头充血,眼底偏红,色素不均,中心凹反光消失;B.左眼外伤后10年,视乳头充血,晚霞状眼底;C.右眼视乳头旁多灶性强荧光,部分融合呈片状,下方可见葫芦状强荧光,视网膜浅脱离;D.外伤眼视乳头周围视网膜色素上皮及脉络膜弥散性萎缩,黄斑中心局部高荧光,晚期无扩大,考虑为窗样缺损;E.OCT检查,右眼玻璃体内渗出物,黄斑中心凹脱离及周边视网膜浅层脱离;F.外伤眼可见黄斑中心凹萎缩,无渗出表现(易长贤提供)


图3 晚期晚霞状眼底合并Dalen-Fuchs结节
A.周边可见分散的黄色点状Dalen-Fuchs结节;B.左眼交感性眼炎呈晚霞状眼底(易长贤提供)


图4 交感性眼炎OCT检查
A.图1患者交感眼,视网膜轻度增厚,黄斑鼻侧光感受器外节中断,对应RPE增厚,表面呈颗粒状,整个后极部脉络膜水肿增厚和结构不清,见高反射光点;B.全身肾上腺糖皮质激素治疗4个月后,复查OCT显示视网膜水肿减轻,黄斑鼻侧仍见外核层高反射和嵌合体带中断(箭),脉络膜水肿减轻,但各层结构不清楚,颞侧脉络膜内仍见高反射点(刘文提供)
交感性眼炎的治疗目的是尽快控制眼内炎症。根据疾病的严重程度,可以选择适宜剂量的肾上腺糖皮质激素全身和局部单独或联合应用。当病情得到控制后,应逐渐减低肾上腺糖皮质激素用量。在所有炎症体征完全消失后,且无全身并发症时,应维持治疗3~6个月。但病情复发或恶化具有不可预测性,有时在数年后炎症会重新复发。因此,必须对患者进行常规性终生随访。
1.肾上腺糖皮质激素
诊断一经确立,就应给予冲击量的抗炎治疗。待感染的因素排除后,及时、足量的肾上腺糖皮质激素治疗,起始剂量为泼尼松每日1.0~1.5mg/kg,早晨顿服,剂量的大小可随着眼部炎症的缓解而逐渐减量。泼尼松10~25mg/日可维持治疗6个月,待减量至10mg/日即可停药。依据眼前节炎症情况局部应用肾上腺糖皮质激素和睫状肌麻痹剂。在严重病例,短期应用肾上腺糖皮质激素冲击疗法更能有效抑制眼部炎症。
2.免疫抑制剂
如果对肾上腺糖皮质激素治疗不敏感,或因全身某些疾病如糖尿病、高血压等限制,不能常规大剂量应用肾上腺糖皮质激素,可以加用免疫抑制剂,如环孢霉素A(CsA)、硫唑嘌呤(Aza)等,使泼尼松的用量减至无毒的水平。CsA治疗交感性眼炎的结果令人鼓舞,已作为交感性眼炎治疗的二线药物,推荐的剂量为CsA每日3~5mg/kg,每日分2次服,可联合泼尼松15~20mg/日,早晨顿服。然而CsA可引起永久的肾毒性,故患者需密切随访。由于CsA的不可逆毒性,大多数眼科学者主张应用免疫抑制剂如硫唑嘌呤,一般每日2mg/kg。
交感性眼炎病程长、易复发,复发率为60%,所以肾上腺糖皮质激素和CsA治疗要坚持6个月,逐渐减量并停药。研究表明,肾上腺糖皮质激素和免疫抑制剂治疗能改善交感性眼炎的视力预后。值得注意的是,局部应用肾上腺糖皮质激素可引起眼压升高和白内障的副作用,全身应用会出现血压升高、肌肉萎缩和糖代谢异常等副作用。免疫制剂有引起骨髓抑制、肝肾损害,以及发生肿瘤的可能性,所以要严格掌握剂量,密切随访病情。
3.手术
在交感性眼炎的处理中,是否摘除受伤眼球仍有争议。以往认为眼外伤后2周内摘除受伤眼可预防交感性眼炎的发生。Kilmartin等指出,眼球摘除与视力预后没有关系。文献报告显示1974-1985年之间有50%的患者摘除眼球;1982—1992年间为59%;近年为28%。Winter等研究了257例活组织学检查证实的交感性眼炎病例,指出摘除诱发眼对交感眼并没有好处,无论在哪一个时间作摘除,即在交感性眼炎发生之前的短时间内,同时或随后,结论都是一样。事实上,诱发眼可能最终获得比较好的视力,摘除则剥夺了这种可能性。交感性眼炎未必是不可治疗的顽症,眼球除视功能外,尚对美容、心理都有较大的影响,对眼球摘除应持慎重的态度。
1.介绍结膜、角膜异物伤产生的常见原因,注意劳动时戴防护眼镜,预防眼外伤的发生。
2.告知病人若溅入异物后,切忌揉擦眼睛和自行剔除异物,应及时到医院处理。
3.异物剔除后,第2天一定要到医院复诊。
4.健康指导 介绍眼内异物伤产生的常见原因,进行生活与生产安全教育,预防眼外伤的发生。介绍交感性眼炎的临床特点、治疗原则及其预后,及早发现可能出现的交感性眼炎。
必须及时,正确处理好受伤眼球,积极,正确治疗受伤眼。如果2周内不能控制炎症,且视力决无复明可能者,即应摘除受伤眼眼球送病理检查,预防交感性眼炎的发生。对于交感性眼炎发生后,激发眼是否摘除则须慎之又慎。原则上激发眼失明且有明显炎症者可予摘除送病理检查;如果尚有一线复明希望者应予保留。因此时摘除激发眼,已无助于交感性眼炎的演变。