英文名称 :orbital rhabdom yosarcoma
眼眶横纹肌肉瘤(rhabdomyosarcoma of orbit)是儿童眼眶内最常见的原发性恶性肿瘤,占儿童恶性肿瘤的5%,该瘤可发生在四肢、躯干、鼻咽、鼻窦和眼眶等处,眼眶横纹肌肉瘤占眼眶肿瘤的15%~20%。发病年龄较广泛,从出生到成人均可发病。大多数发生在10岁以下的儿童,平均发病年龄7.5岁,无明显的性别差异,多为单眼受累,双眼发病极少见。
发病原因不清,可能与致癌基因的异常表达或基因突变有关,Mastrangelo等(1998)认为11号染色体长臂不同等位基因的丧失,对抑癌因产生影响。Zhang等2000年报道ras、P53基因的突变在胚胎型横纹肌肉瘤的发病中起重要作用,其异常表达的蛋白产物与患者的预后有关。
肉眼观察见肿瘤呈黄红色或黄色,若出血坏死可呈红色,质中等硬度,易破碎,肿块无包膜,常侵犯周围的眼眶组织,肿块也可见推压性边缘。切面呈灰红色,鱼肉状。基于组织病理学特点将其分为胚胎型、腺泡状和多形性(分化型)。
1.胚胎型
是横纹肌肉瘤中最常见的类型,肿瘤由密集的细胞区和疏松的粘液基质区组成。瘤细胞呈圆形、椭圆形或梭形。有的细胞排列成松散的束状,间或梭形细胞排列成栅栏状,似恶性神经鞘瘤。细胞核染色深,核分裂多见,有的梭形细胞质一端膨大突起,接着延长逐渐变小形似蝌蚪外观。有的瘤细胞呈横纹肌母细胞分化,细胞质嗜酸性,Masson三色将胞质染成鲜红色,PAS使胞质内糖原染色,PTAH染色揭示胞质内肌丝,梭形细胞质内可见横纹,圆形的细胞几乎见不到横纹。即使用特殊染色,油镜观察,也只能在60%的病例中发现横纹。
2.腺泡状
较少见,肿瘤由致密的纤维隔分成不规则的类似肺腺泡的空间结构,分化差、较大或多角形瘤细胞疏松地附着在纤维隔上,脱落的细胞进入腺泡腔,部分发生空泡样退变。可在肌母细胞质内找到横纹,但横纹较胚胎型少见。核位于周边的多核瘤巨细胞比胚胎型多见,此型预后较差。
3.多形性(分化型)
此型最少见,瘤细胞形态各异,有的细胞大呈圆形,有的细胞为蝌蚪状或飘带状,有的细胞则为多边形,但它们的胞质丰富,嗜酸性,HE染色在胞质中可找到横纹,Masson三色染色横纹更明显。
1.X线检查
患侧眶软组织密度加大,部分病例可出现眶骨破坏,晚期病例可见眼眶和眶上裂扩大。
2.CT检查
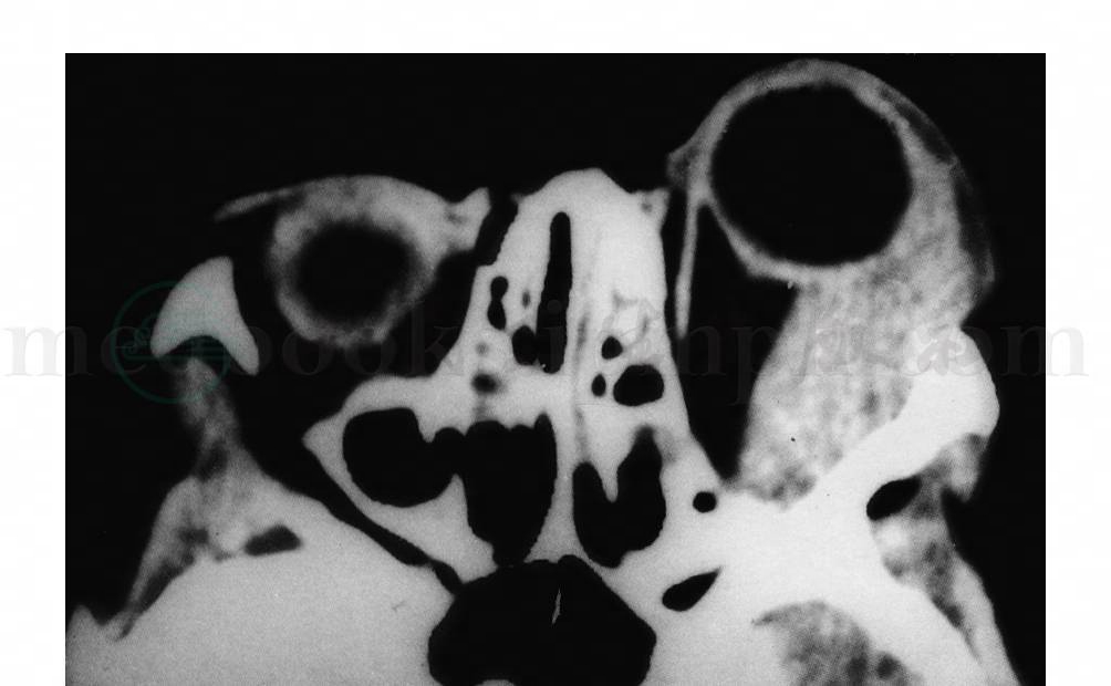
CT扫描显示肿块形状不规则,边界不清,内密度不均匀,静脉注射造影剂后肿块明显增强,肿块充满眼眶,并向前沿巩膜生长,巩膜与肿瘤接触范围大,边界不清,形成所谓的铸造型,眼球明显前突(图2)。约2/3的病例有眶骨质破坏,大多数病例眶内侧壁、筛骨纸板破坏。肿瘤突进筛窦,肿瘤也可破坏眶底、眶外壁、眶顶,肿瘤向上颌窦、颞窝和颅内伸延。
图2 眼部横纹肌肉瘤CT图像显示左眼眶内外侧不规则肿块,与外直肌融合,眼球明显突出
3.MRI检查
MRI显示肿块优于CT,但了解骨质破坏不如CT检查。T1加权像多为中等信号,T2加权像为高信号,若肿块内出血,T1和T2加权像都为高信号,肿瘤坏死区与实体区信号不一样。增强扫描明显强化。
横纹肌肉瘤恶性程度高,随着对该病认识逐渐完善和深化,治疗方法也不断改进,治愈率逐渐提高。20世纪60年代眼眶横纹肌肉瘤传统治疗方式是侵入性手术及眼眶内容物剜出,术后不作放射和化学疗法,其3年治愈率为26%~45%。目前已很少作眶内容物剜出,在怀疑眼眶横纹肌肉瘤时,作前路或眶外壁开眶,在不损伤眼重要功能结构前提下,将肿瘤尽量切除,病理活检证实为横纹肌肉瘤时,眼局部行外放射治疗,剂量50~60Gy,时间6~8周,正、侧位各一半,并全身使用化学疗法,常用药物为长春新碱、环磷酰胺和阿霉素,根据病变的程度选用合适的化疗药物,患者体重决定用药的剂量。手术切除、病理诊断、局部外照射和全身化学治疗相结合,3年治愈率超过90%。如患者治疗后病变区无肿瘤细胞,以后复发的机会少。如术后不进行局部外照射和全身化学治疗,复发率高。CT证实肿瘤充满眼眶,眶骨有破坏,眼基本无功能,应作眶内容物剜出,然后作放射治疗和化学治疗。



