基本信息
英文名称 :persistent pupillary membrane
中文别名 :瞳孔残膜
作者
于刚;吴倩
英文别名
residual pupillary membrane;residual membrane of pupil
概述
永存瞳孔膜(又称为瞳孔残膜)是由于瞳孔部的第一和第二中央动脉弓和其伴随的中胚叶组织在胚胎发育过程中萎缩不全所致,少数病例为常染色体显性遗传。大多数永存瞳孔膜发生于虹膜表面的中胚层,起自虹膜小环。临床表现为虹膜瞳孔区或晶状体前囊表面覆盖有棕色条索状或膜状组织。
病因学
先天性瞳孔残膜是胚胎时期晶状体表面血管膜萎缩吸收不全的残迹。
病理学
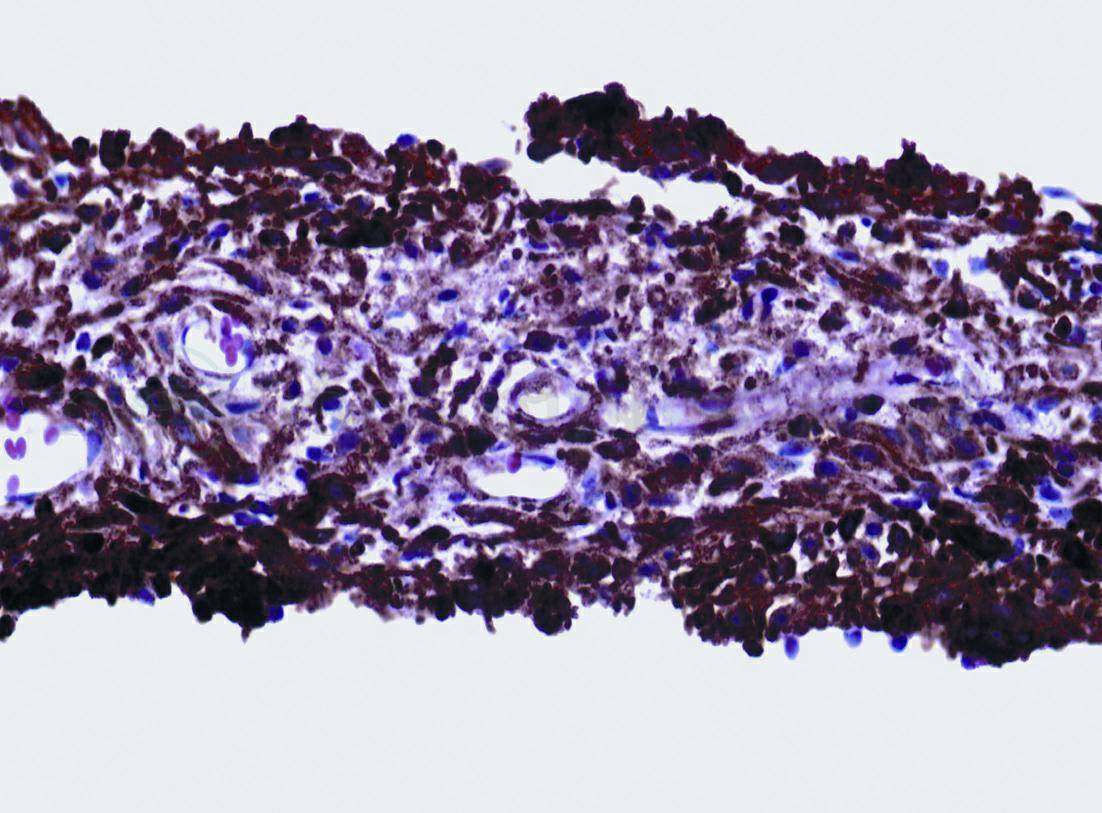
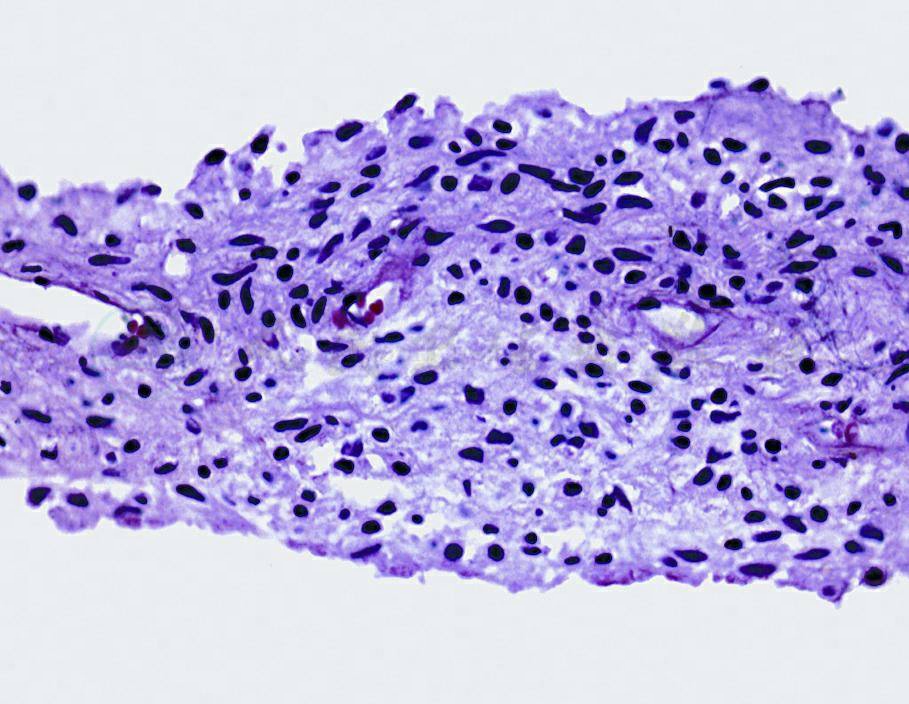
永存瞳孔膜主要由含有大量黑色素细胞和血管的中胚叶组织组成(图1)。




图1先天性瞳孔残膜
A和B.瞳孔区被条索状或膜样色素组织不同程度遮盖 C.膜样组织中有大量树突状或不规则形状的黑色素细胞和少量血管HE×400 D.切片脱色素后显示黑色素细胞呈良性细胞形态HE×400
此内容为收费内容
此内容为收费内容
此内容为收费内容
治疗
无特殊治疗。如瞳孔残膜稠密,可考虑以激光或手术切除瞳孔残膜。
此内容为收费内容
来源
眼科病理学图谱,第1版,978-7-117-15015-6,2012.01
眼科护士手册,第1版,978-7-117-11632-9,2009.09
北京协和医院医疗诊疗常规——眼科诊疗常规,第2版,978-7-117-15568-7,2013.03



