基本信息
英文名称 :retroperitoneal teratoma
概述
腹膜后畸胎瘤好发于婴儿期,大的肿瘤腹部可触及包块,男女发病比例为1∶2。大部分均为良性,恶性少见,但新生儿检出腹膜后畸胎瘤的恶性率较高,约达25%。
此内容为收费内容
辅助检查
1. CT
腹部CT可见腹膜后肿块内有骨质及钙化阴影,通常伴有肾脏等器官移位(图2)。腹膜后畸胎瘤(右侧)肿瘤内可见液体及钙化,右肾向下移位
图2 腹膜后畸胎瘤(右侧)
女孩,静脉肾盂造影示右肾向下移位,右11~12肋处可见钙化影
2. 超声表现
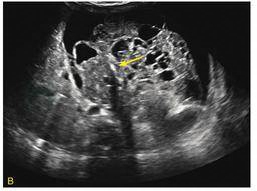
成熟型腹膜后畸胎瘤声像表现为囊实混合性肿块,边界清晰,可有脂液分层及钙化强回声团伴后方声影(图3)。超声显示含有脂肪和钙化的团块,提示畸胎瘤。巨大腹膜后畸胎瘤可压迫肾脏、输尿管,引起尿路梗阻,或使腹主动脉、下腔静脉位移。
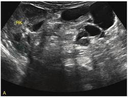
图3 腹膜后畸胎瘤
A.右肾受压,肾盂轻度扩张;B.团块内有钙化强回声(箭头)
此内容为收费内容
治疗
腹膜后畸胎瘤也应尽早经腹腔手术切除。有时肿瘤与周围组织器官粘连紧密,故手术要小心细致,以免误伤瘤体内穿行的大血管如肾动静脉或周围其他重要组织。
作者
黄澄如;王焕民;孙宁
来源
小儿超声诊断学,第2版,978-7-117-16805-2
诸福棠实用儿科学.下册,第8版 ,978-7-117-19978-1



