英文名称 :cranium bifidum
颅裂(cranium bifida)为颅骨先天发育异常造成的颅骨缺损,多与神经管闭合不良有关,好发于颅骨的中线部位。按照缺损处有无颅腔内容物膨出,可分为隐性颅裂和显性颅裂。隐性颅裂往往无临床症状,多数无需治疗。显性颅裂又称囊性颅裂,可同时伴有脑积水、腭裂及唇裂等其他畸形。
目前尚不明确,普遍认为先天性发育异常。正常胚胎第四周末时神经管已完全闭合,如神经管闭合过程中发育不良或闭合不全,则该处由中胚叶形成的颅骨、脑膜及蛛网膜下腔等发生障碍,形成该畸形。
1.隐性颅裂
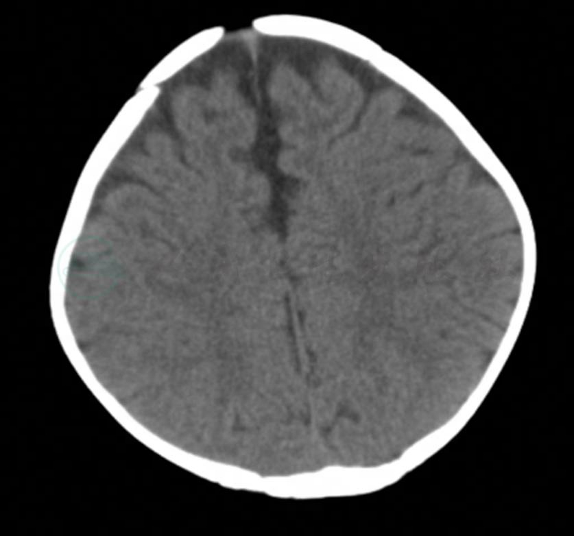
仅表现为颅骨缺损,无组织膨出,多数无症状,X线或CT检查可发现有颅骨缺损或颅缝闭合不全(图12-12-3)。

图12-12-3隐性颅裂CT表现
引自:临床疾病概要(第3版).第3版.ISBN:978-7-117-26065-7.主编:
2.显性颅裂
表现为颅骨缺损伴颅腔内容物膨出,临床上多见。按照膨出的内容物的不同,可进一步分为:
(1)脑膜膨出:
膨出内容物仅包含脑膜和脑脊液。
(2)脑膜脑膨出:
膨出的内容物包含有脑组织。
(3)脑膜脑室膨出:
膨出的内容物中同时包含有部分脑室。
只有通过X线头颅摄影或CT、MRI脑扫描检查,方可明确颅裂的存在及其部位、性质和推断出其膨出的内容。
1.头颅X线平片
可发现颅骨中线上有圆形或椭圆形颅骨缺损。提示裂孔大小和范围。
2.CT
可见颅骨缺损,并提示向外膨出物为囊性或与脑同样密度,可见脑室大小、移位、变形等。
3.MRI
可见颅骨缺损及膨出的脑脊液、脑组织、脑血管及硬脑膜组织信号的肿物,并可发现颅内其他改变或畸形。
隐性颅裂多数无需特殊治疗。而对于显性颅裂的病人多数需要手术干预,且最好在一岁前行手术治疗。手术治疗的目的是切除囊壁、还纳膨出的脑组织,并修补裂孔。对于囊壁欲破或有呼吸障碍等明显临床症状者,需尽早手术治疗。



