英文名称 :porencephaly
Heschl于1859年最早提出“脑穿通畸形”(porencephalic malformation)这一术语。关于这种疾病的称呼十分混乱,人们对其认识不一,最初本病是指大脑半球脑实质先天性缺损并与脑室相通。以后许多学者也曾沿用过“脑穿通畸形”这一概念,由于人们的认识不同,所包括的范畴也就不一样。文献中本病曾用过的名称有“脑穿通囊肿”“先天性脑空洞症”“脑积水性空洞脑”“脑憩室”“良性脑囊肿”等。1925年LeCount将它定义为“与脑室相通的囊或表面覆盖蛛网膜的,并由一薄层脑组织与脑室相隔的囊肿”。脑穿通畸形又分真性脑穿通畸形及假性脑穿通畸形。前者指大脑皮质原发性发育异常的囊肿,与脑室相通,其病因不明,可能与胎儿发育畸形、母体感染或营养障碍等相关,各种原因造成脑组织分化完成之后局部脑组织破坏缺失,脑内可伴有局限性发育障碍;后者即所谓的“良性脑囊肿”,不与脑室相通,单发或多发脑空洞,主要是继发于脑血管闭塞,并常沿大脑中动脉分布区发生。目前,脑穿通畸形多指真性脑穿通畸形,一般定义为大脑半球内有空洞或囊肿与脑室相通,其内充满脑脊液,有时扩延至软脑膜,但不进入蛛网膜下腔的一种疾病,其囊壁内衬室管膜上皮细胞。
脑穿通畸形的病因是多种多样的,大致可分为先天性及后天性两大类。
1.先天性脑穿通畸形
一般认为先天性脑穿通畸形与胚胎期的发育异常或母体的营养障碍有关,也可能与遗传因素有关,家族性脑穿通畸形已有报道。1983年Berg报道一组5例家族性脑穿通畸形病例,1986年Zonana报道2个家族中有6个成员患婴儿偏瘫,其中5例有先天性脑穿通畸形。
2.后天性脑穿通畸形
后天性脑穿通畸形是由各种原因引起脑组织破坏所致的,包括产伤、颅脑外伤(尤其是颅脑火器伤)、颅内血肿、颅内炎症、窒息、脑部手术、脑梗死等各种造成脑血管循环障碍的疾病。另外,脑脊液循环障碍、脑室穿刺、脑积水、颅内良性囊肿自发破入脑室及脑变性疾病等,亦可能为其病因。产伤及新生儿脑外伤在病因学中的重要性,未成熟脑对腔隙的形成具有敏感性,这一观点已被许多学者注意到。许多学者认为多数后天性脑穿通畸形是继发于血管病变。脑积水可能与脑穿通畸形有关,但证据不足,脑积水可能使先前存在的裂隙扩大而形成囊肿。颅内蛛网膜囊肿自发破入脑室也可为本病的病因之一。
脑穿通畸形的发生率很低。本病可为单发,也可为多发,绝大多数为单发,占87%以上。脑穿通畸形文献中报道其占颅内良性囊肿的0.3%~0.9%。在Draw等(1948)报道的30例良性脑囊肿的病例中,仅有1例脑穿通畸形;Naef(1958)报道其发生率为0.3%;Bisgaard-Frantzen(1951)则报道为 0.9%。 早产儿、过期儿、难产儿的脑穿通畸形发生率高。
一般认为上述诸因素造成脑组织的局限性软化坏死、吸收、脑脊液渗入,脑组织搏动及脑室内压增高,使脑室“疝入”囊腔内,即形成脑穿通畸形。反复多次的脑室穿刺或造影,可造成脑组织缺损,亦可形成脑穿通畸形。脑积水、脑脊液循环障碍或先天性脑室系统阻塞引起的脑室内压增高,脑室颞角或第三脑室就会疝出,形成憩室样囊肿,在先存在有脑裂隙或脑室壁坏死的情况下,由于局部阻力变小,脑积水造成脑室压力增高,使裂隙或囊肿扩大而形成脑穿通畸形。Jaffe(1929)指出在产伤中,由于脑组织坏死、软化、出血而发展成脑穿通囊肿,这种倾向随年龄增长而减小,而在整个婴儿期似乎这一倾向很重要,在脑积水患者中这种倾向更明显。出血性囊肿扩大,其机制与硬膜下血肿相似或直接与脑室相通。Barret(1965)指出婴儿前囟不闭合亦是易感因素之一,存在两种危险性:一是导致脑室向脑组织缺损的区域畸形发育,并在前囟区更明显,脑室内的脑脊液搏动可加速前囟门区脑腔隙的形成;二是前囟门不闭合具有医源性危险,临床上常通过前囟门进行诊断性穿刺或治疗,而每次操作都是一次危险。因此,前囟不闭合在脑穿通畸形的发生学上有一定意义。
(一)脑电图
主要显示为病变侧明显低电压。可能与脑组织缺损及局部脑萎缩和脑脊液聚集有关。有癫痫症状者,动态视频脑电图可于发作期及发作间期捕捉到癫痫样放电,并大多与囊肿区域相吻合。
(二)CT
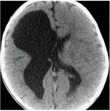
CT扫描主要表现为脑实质内边界清楚的脑脊液性低密度区,并与脑室相通,同侧脑室扩大,可伴有不同程度的脑发育不全和/或局部脑组织萎缩(图1),增强扫描时囊壁无强化。CT扫描不仅能确诊,而且对了解囊肿的大小、部位、形态、数目及治疗方案的选择、预后估计、鉴别诊断等均有重要意义。

图1脑穿通畸形的CT表现
引自:临床神经外科学(第3版).第3版.ISBN:978-7-117-33468-6.主编:
(三)MRI
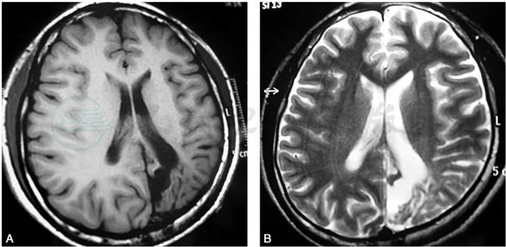
脑穿通畸形在M RI中呈长T1和长T2像,常与脑脊液一样,在T1加权像上呈囊状低信号,在T2加权像上呈高信号(图2)。由于大脑半球各部发育不平衡,其中外侧部生长缓慢,其他各部生长较快,故畸形囊肿多发生在额、颞及顶叶的结合部。

图2脑穿通畸形的MRI表现
A.T1加权像;B.T2加权像。
引自:临床神经外科学(第3版).第3版.ISBN:978-7-117-33468-6.主编:
目前脑穿通畸形尚无成熟的治疗方案。多数学者认为无颅内压增高、脑积水和癫痫发作者可采用保守治疗,有颅内压增高症状者应考虑尽早手术治疗。早期引流可使囊腔不再扩大。脑穿通畸形作为一种良性病变,也存在着潜在性危险。因此,一般主张有症状者,一旦确诊,应考虑早期手术。
手术方式包括:①单纯囊肿切除术,适用于较局限的单发者;②囊肿大部切除加脉络丛电灼术,因病变位置深在,广泛涉及周围邻近重要结构,分离囊壁时易损伤血管,导致其切除程度受限,且仅电灼病变区域部分脉络丛并不能完全控制脑脊液的分泌,因此治疗虽有效但并不理想,容易术后复发;③囊肿大部切除加分流术,此法疗效较好,亦可单纯行分流术,可采用脑室-腹腔分流术或囊腔-腹腔分流术,但术后远期有发生分流管依赖的可能性;④囊壁部分切除加脑皮质造瘘术,适用于脑穿通畸形较大、累及两个以上脑叶者;⑤囊壁切除加致痫灶切除术,主要用于以癫痫为主要症状者。虽然可以术前通过正电子发射体层摄影(PET)、功能磁共振(fM RI)、脑磁图(M EG)、弥散张量成像(DTI)等方法定位功能区,但由于人类大脑存在运动、感觉、语言等个体解剖差异,尤其对于脑穿通畸形,功能区存在非正常解剖的位置重塑,因此,准确且可靠的方法是在术中唤醒麻醉下直接行皮质体感诱发电位记录及皮质电刺激,在准确切除致痫灶的基础上充分保护脑功能。



