英文名称 :malrotation of kidney
肾旋转异常(renal malrotation,或abnormal renal rotation)系肾蒂不在正常位置的先天性肾脏异常,可发生于单侧或双侧。
胚胎发育过程中(胚胎第4~8周),肾上升的同时肾盂从腹侧向中线旋转90°,当肾上升到肾窝时,其肾盏应向外侧,肾盂则指向内侧。若肾在上升时未发生旋转或未按照正常规律旋转,则可发生不同类型的旋转异常。Weyrauch按肾盂的位置将肾旋转异常分为腹侧位型(未旋转)、侧位型(反向旋转)、腹中线位型(旋转不全)和背侧位型(旋转过度)等。最多见的是旋转不全,即肾盂朝向前方;如旋转过度,则肾盂朝向后侧。IVU可明确诊断,如无并发症存在则不需要治疗。
根据旋转轴的不同,本病可分为三型:环绕长轴、环绕横轴和环绕前后轴。其中环绕长轴的旋转异常最常见,又分为以下几种类型:①不旋转肾,与胚胎期相同,肾盂朝向腹侧;②不完全旋转肾,肾盂朝向腹内侧;③相反旋转肾,肾血管围着肾前方扭转,肾盂指向外侧,肾盏指向中线;④过度旋转肾,肾异常旋转180°,肾盂面向背侧。
IVU或逆行肾盂造影(retrograde pyelography,RPG)可清楚地显示肾盂方向异常,并根据肾盂朝向明确肾旋转异常是前位、前中位、后位或侧位;肾长轴与中线的交角变小(正常约16°)或与中线平行;输尿管径路较正常者更偏离中线;有时可见肾盂输尿管交界处狭窄、扭曲或异位血管压迫征象。
【影像检查技术与优选】
IVU、超声、CT和MRI均可显示肾盏、肾盂位置和形态异常,CT和MRI可多平面、多方向并更详细地显示肾脏形态、肾血管异常及并发症。
【影像学表现】
1.X线
IVU显示肾盏及其漏斗部没有位于肾盂的外侧,而是大部分与肾盂影像相重叠,或转至肾盂的内侧,肾盂显示较长,输尿管上中段不同程度地外移,旋转异常之肾盂、肾盏形态异常。
2.超声
肾门在肾的前方、后方或外侧,如合并肾积水、肾结石或尿路感染则出现相应的超声表现。
3.CT和MRI
断面成像和三维重组图像可清楚反映出旋转异常肾脏的位置以及与同侧输尿管的关系,还可显示同侧输尿管及膀胱有无并存的先天性发育畸形。

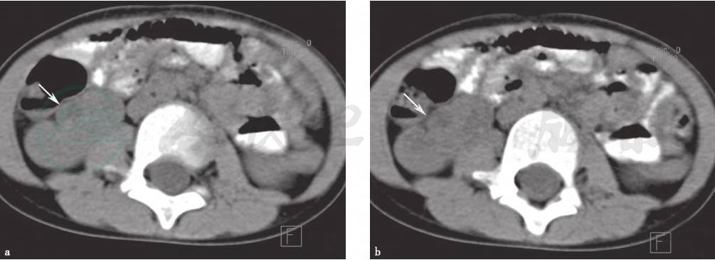
图1 肾旋转异常
a、b.CT平扫示右肾门指向前外侧(白箭),肾门增宽,肾实质密度、厚度未见异常
在临床上肾旋转异常无重要意义,如无并发症存在,则不需要治疗。



