英文名称 :mitral valve prolapse;bicuspid valve prolapse
二尖瓣脱垂(mitral valve prolapse,MVP)是最常见的成人先天性心脏病,在美国人群中发生率在4%~5%。二尖瓣脱垂指的是在收缩期二尖瓣的一个或两个瓣叶向上和向后移位至左心房。虽然二尖瓣脱垂是良性的,但是也可以发生严重的并发症,包括感染性心内膜炎和重度二尖瓣关闭不全。
二尖瓣脱垂可以分为原发性、继发性或功能性。原发性二尖瓣脱垂发生在没有结缔组织病的患者,可以出现三尖瓣黏液瘤样变性,有时候主动脉瓣和肺动脉瓣也会受累。原发性二尖瓣脱垂可以伴随骨骼异常、血友病和乳腺过小。继发性二尖瓣脱垂通常发生在已知的某种结缔组织病,如马方综合征、Ehlers-Danlos综合征、成人多囊肾、成骨不全、弹性假黄瘤。继发性二尖瓣脱垂二尖瓣结构的病理改变和原发性二尖瓣脱垂相同。功能性二尖瓣脱垂二尖瓣的解剖正常,但是不管瓣膜发生向上和向后移位,都会发生其他继发性心脏病。功能性二尖瓣脱垂的原因包括二尖瓣环的扩张和缺血性乳头肌功能障碍。在肥厚型心肌病,左心室腔太小以至于不能适应二尖瓣导致了功能性二尖瓣脱垂。在房间隔缺损的患者,左向右分流和继发于容量负荷过重的右心室腔扩张可以导致左心室变小和功能性二尖瓣脱垂。
二尖瓣脱垂的病因不明。家族性二尖瓣脱垂为常染色体显性遗传,伴有不同的外显率。然而,没有单一或一组遗传异常可以引起二尖瓣脱垂。原发性和继发性二尖瓣脱垂的病理改变包括二尖瓣叶和腱索。典型的肉眼可见的病理改变包括二尖瓣叶的增厚、冗长和腱索的拉长。
尽管黏液瘤样改变可以影响二尖瓣前叶和后叶,但是后叶扇贝样改变是最常见的。二尖瓣瓣叶的组织学检查显示胶原束断裂和松质层酸性黏多糖蓄积。
心室开始收缩时,二尖瓣正常关闭,当主动脉瓣开放左心室射血时,左室容量突减,瓣叶突向左房。重度二尖瓣反流可引起左房压增高、左心房增大、左心室舒张期容量负荷过重和左心室扩大,逐渐导致左室舒张末压增高、左房压进一步增高,最后发生肺静脉淤血、肺动脉高压和心力衰竭等。二尖瓣脱垂时,二尖瓣后叶附着处常有血小板聚集、纤维素沉积,形成微血栓,可引起小动脉栓塞。
1.心脏检查
特征性表现为心尖部收缩中期喀喇音,偶尔可发生于收缩晚期,为一尖锐具有拍击样的额外心音,可单一,为瓣叶突然膨出或腱索突然绷紧所致;如多个部位脱垂,可呈短阵连珠鞭炮样喀喇音。二尖瓣反流时可闻及收缩中晚期或全收缩期杂音。可有心律失常,以室性期前收缩和室上性心律失常较常见。
2.胸部X线检查
心影大多正常,无特征性变化。伴中、重度二尖瓣反流者可出现左心房、左心室扩大。此外,常可观察到胸廓骨骼畸形。
3.心电图检查
多表现正常,部分病人有复极的改变,可见T波倒置或双向改变,常见于Ⅱ、Ⅲ、aVF和V6导联。ST段改变常在运动时出现。少数有QT间期延长。可有室性或房性期前收缩等心律失常。
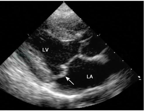
4.超声心动图检查
有特征性改变,可观察二尖瓣脱垂的程度、瓣叶形态、瓣环大小、腱索长短粗细、左心房和左心室的大小,可测定心功能和肺动脉压力等,是目前检查二尖瓣脱垂最具有决定性的无创伤性方法。如两个瓣叶均有脱垂,在M型超声心动图上前瓣叶曲线在CD段后突成弧形,后瓣叶曲线则有更大的后突,两瓣叶曲线在该处分离。二维超声心动图胸骨旁长轴切面上可看到二尖瓣关闭时,瓣叶超过二尖瓣环水平(图1)。

图1二尖瓣脱垂的二维超声心动图表现
5.心导管检查
不作为二尖瓣脱垂的常规诊断手段。当需要了解伴随畸形或寻找原发性病因,如冠状动脉病变等情况时,可做该项检查,进行选择性造影。
1.最佳治疗
继发于二尖瓣脱垂的二尖瓣关闭不全的治疗主要是由血流动力学紊乱的程度决定的。轻度二尖瓣关闭不全的患者可以进行一年一次的体格检查随访。只有当症状加重或体格检查发现改变时再次进行超声心动图检查。无症状的中度至重度二尖瓣关闭不全的患者必须进行一年一次的体格检查和心脏超声来评估心室的收缩功能。静息左心室功能障碍(射血分数≤60%)或左心室收缩末期内径≥45mm的患者应立刻进行瓣膜修复或置换。平均手术死亡率为1.6%,长期研究显示大多数患者对二尖瓣修补有良好的承受力,然而,一部分患者二尖瓣关闭不全重新出现,此时通常必须行二尖瓣置换术。重度二尖瓣关闭不全和有充血性心力衰竭症状的患者用外科手术治疗效果最好。然而,重度二尖瓣关闭不全和左心室功能障碍的患者,手术也可能是禁忌证,因为一旦二尖瓣关闭不全解除了,左心室可能不能发挥其功能。
2008年,AHA修改了关于二尖瓣脱垂和预防感染性心内膜炎的推荐。尽管二尖瓣脱垂和二尖瓣关闭不全同时存在的患者发生感染性心内膜炎的风险增加,但是二尖瓣脱垂患者发生感染性心内膜炎的实际数量仍然非常低。此外,与先天性心脏病、人工心脏瓣膜和其他情况相比,二尖瓣脱垂伴感染性心内膜炎的患者其预后良好,现在也推荐在上述疾病预防感染性心内膜炎。最后,使用抗生素严重的不良反应的风险也不低,耐药菌株的发生也是减少不必要的抗生素使用的原因。鉴于以上原因,不再推荐二尖瓣脱垂患者预防感染性心内膜炎,甚至合并严重的二尖瓣关闭不全时也不作为推荐。
二尖瓣脱垂患者的治疗主要是保证疾病病程良好。初次诊断时推荐使用经胸超声心动图来评估瓣膜的形态、二尖瓣关闭不全的程度、左心室收缩功能和相关联的结构性心脏病。没有二尖瓣关闭不全的无症状患者可以每2~3年随访进行体格检查。新的杂音或症状的出现提示应再次进行超声心动图的检查。中度或重度二尖瓣关闭不全的患者应进行连续的心脏超声检查来评估左心室的收缩功能和血流动力学紊乱的程度。
2.避免治疗错误
二尖瓣脱垂患者胸痛和心悸的高发生率使诊断和治疗面临共同的挑战。一般而言,二尖瓣脱垂患者胸痛的评估与治疗与其他患者没有区别。临床医师应该避免把非典型的非心脏性胸痛归结为二尖瓣脱垂。二尖瓣脱垂患者的心悸最常由房性和室性期前收缩引起。当一个患者在临床检查时有心悸不适,标准心电图检查已足以确诊。不常出现的症状可以通过动态心电图监测来检查。这些相对简单和便宜的方法通常可以提供很有帮助的信息,也基本不需要进一步的检查。戒酒和咖啡因可以减少心悸的频率,一些研究提示二尖瓣脱垂患者在开始定期锻炼后其症状得到改善。因为大部分患者可以通过简单的良好状态达到有效的治疗,应该避免过早的开始药物治疗。然而,小剂量的β受体阻滞剂对症状顽固的患者有效。动态监测发现有严重的心律失常提示应进行电生理检查或抗心律失常治疗。



