基本信息
英文名称 :glomus tumour or glomangioma
中文别名 :球瘤
作者
于哲;范清宇
概述
骨血管球瘤(glomus tumour or glomangioma)或者称球瘤,是一种少见的良性小型血管瘤,很少发生恶变。起源于正常小动脉,静脉分流处,由血管球细胞构成,具有器官样结构。血管球是正常组织结构,直径约1mm,位于真皮网状层下,以肢端、甲床下最多见。
病因学
该病机制还不清楚。可呈常染色体显性遗传,多见于儿童血管球是位于皮肤中的一种正常结构,是小动、静脉之间的短路,有丰富的神经末梢,是交感神经及感觉神经末梢。
病理改变
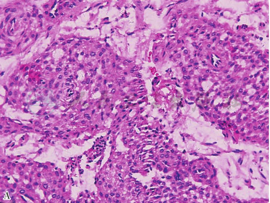
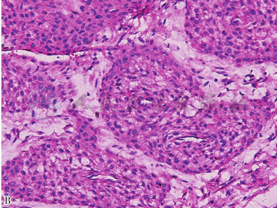
组织病理见许多血管腔衬以单层扁平内皮细胞,内皮细胞周围为数层或多层球细胞,球细胞为平滑肌细胞Vimentin染色阳性(图1)。
图1 肿瘤细胞为圆形细胞,细胞膜界限清楚,围绕于血管周围(HE,×40)
此内容为收费内容
辅助检查
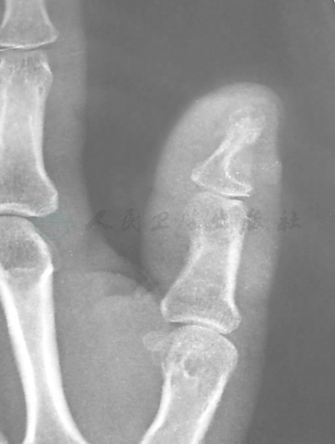
X线片上有时可见到指骨上有肿瘤的压迹。(图2)。
图2 左手拇指甲下血管球瘤,指骨上可见肿瘤压迹
治疗
手术彻底切除多可治愈。除局部指甲,甲床浅层即可见。在深层者需切开甲床,术中动作要轻柔,以免将包膜弄破不能完整取出(图3)。
图3 左手拇指甲下血管球瘤,术中切开甲床后将瘤体完整取出
来源
骨科学,第1版,978-7-117-19793-9



