英文名称 :tuberculosis of Long bone shaft
长骨骨干结核(tuberculosis of Long bone shaft)较少见,其发病顺序为股骨、胫骨、桡尺骨干、肱骨干和腓骨干。10岁以下的儿童最多,且常为多发。30岁以上的则很少见。
骨干结核的病理变化以增生为主,溶骨性破坏次之,死骨形成少见。除胫骨外,其他长骨干的周围都有丰富的肌肉包围,因而脓肿不易被发现,脓肿容易被吸收,窦道形成比较少见。
由于病变离骨骺板和关节都较远,故对骨的生长影响不大,对关节功能也无明显影响。若骨干病变向骨端发展,可穿破骺板和关节软骨面而进入关节,造成关节结核。由于骨干结核以骨膜性新骨增生为主,一般不易发生病理性骨折。
1.X线表现
X线片可见骨干周围有新骨形成,其边缘光滑整齐,有时呈葱皮样改变。髓腔内或新骨内可见单发或多发的椭圆形溶骨性破坏区,死骨较少见。骨皮质高度膨胀变薄,髓腔扩大,呈骨气臌样改变的比较少。局限性结核性骨膜炎仅见局限性骨膜增生(图2~图4)。
图2 肱骨远端结核
图3 股骨远端结核
图4 胫骨远端结核骨皮质高度膨胀变薄,髓腔扩大
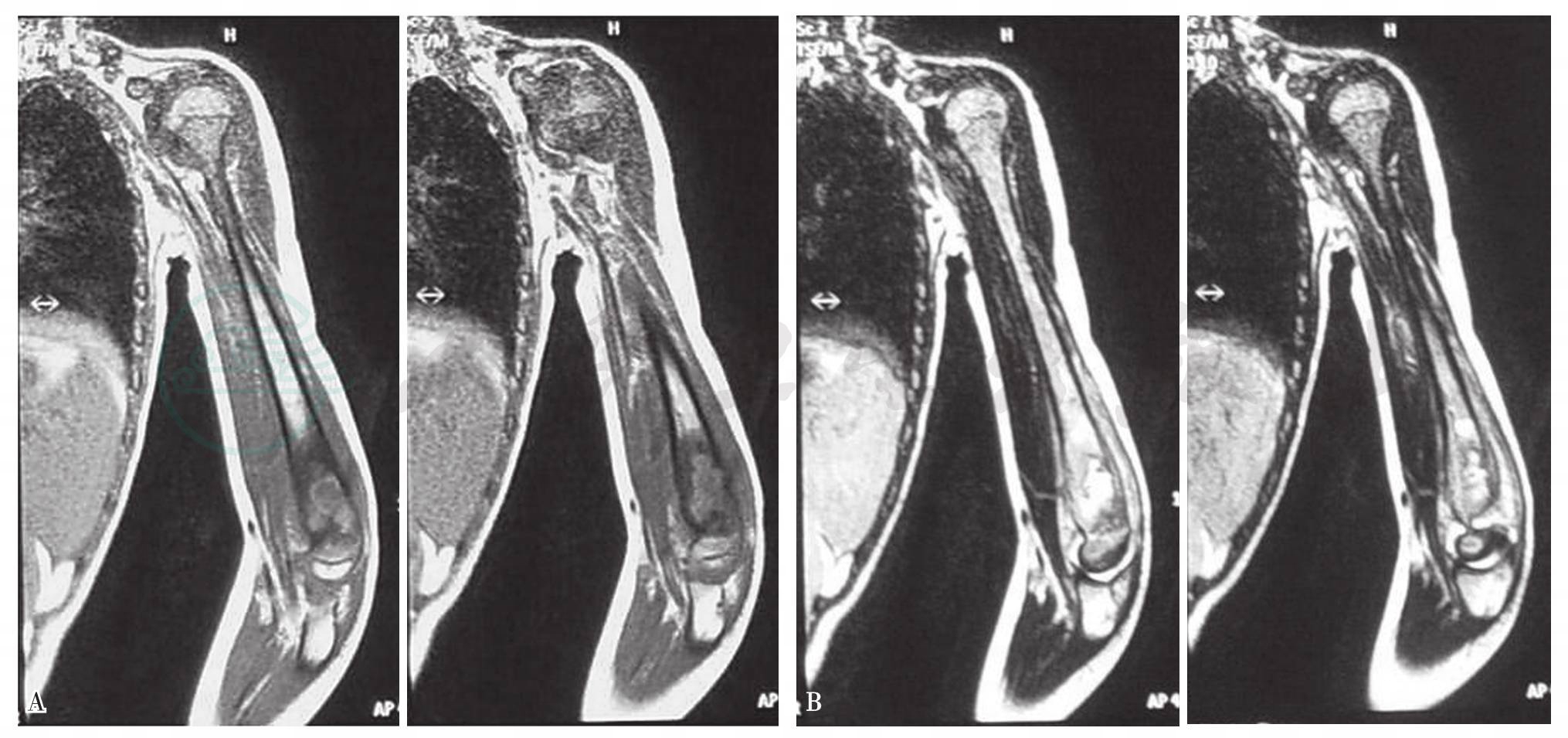
2.MRI表现
正常骨髓高信号为异常的骨髓水肿及骨质破坏信号取代。骨质破坏在T1加权像表现为骨质中低均一的低信号阴影,在T2加权像表现为骨质内高中低的混杂信号。骨髓水肿在T1加权像表现为稍低信号、T2加权像表现为近于骨髓信号的片状模糊影(图5~图8)。
图5 肱骨结核MRI
T1加权表现为稍低信号;T2加权表现为近于骨髓信号的片状模糊影
图6 股骨远端结核T1、T2加权像
图7 胫骨远端结核T1、T2加权像
图8
A. CT可见胫骨远端结核空洞;B. CT可见胫骨远端结核窦道形成
儿童长骨骨干结核多数不需要手术治疗,预后多较好,成人长骨干结核如果没有穿透关节,仍可考虑保守治疗。局部有明显死骨或经非手术疗法无效者,可采用手术病灶清除。穿透或即将穿透关节者,应尽早手术以挽救关节。未严重危害骨干强度的髓腔骨缺损可不用植骨处理,术后髓腔可置管抗结核药物持续冲洗,对于侵及骨端的结核,特别是负重关节,应进行植骨填充,防止关节塌陷,植骨材料及方法同上,术中可放置负压引流管,术后持续负压吸引。术后可根据骨干及关节稳定性决定是否需要外固定(图9)。
图9 胫骨远端结核一期病灶清除,并植骨术后



