英文名称 :metaphyseal chondrodysplasia
干骺软骨发育不良(metaphyseal chondrodysplasia,MCD)是一种由于管状骨干骺软骨发育障碍影响其纵径生长而导致患者表现为短肢型侏儒的疾病。它是由Jansen于1934年首次报道,本病的基本病理是干骺端软骨肥大层细胞不能进行正常增殖、退变、进而骨化的生理过程,而骺板附近的其余各层软骨细胞仍在进行正常的增殖发育。从而造成干骺端软骨细胞的叠加堆积,压迫骺端、加之重力的挤压作用,使干骺端向外周膨出,而软骨膜、骨膜骨化过程正常进行,最终导致干骺端膨大变形。其中下肢表现尤其典型,干骺端呈“杯口”状或“斜坡”状,而上肢缺少重力挤压,骺端多呈“杵状”或轻“杯口”样改变。
临床无智力障碍,颅面部发育正常及实验室检查血清钙、磷和糖代谢无异常。目前根据临床分为三型,即Jansen型、Schmid型和Mckusick型,Jansen型属于最少见且骨关节疾病最严重的一型,病因不明,出生时即出现异常,同时可伴有头颅、脊柱和胸廓的畸形。Schmid型最常见,属于常染色体显性遗传,临床表现典型,常以身材矮小、弓形腿及髋内翻为特征性表现,双下肢受累最常见,表现为“鸭态步”。Mckusick型为常染色体隐性遗传,病变分布广泛,可累及全身管状骨的干骺端,其中双手最常受累。临床可伴有关节松弛及毛发(包括眉、睫毛)稀疏等。
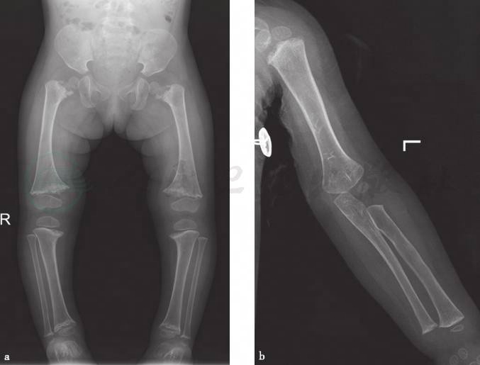
本病的主要X线特点:管状骨短粗,下肢比上肢明显,干骺端对称性膨大,可见不规则致密斑和囊状透亮区相互交错,骨骺和干骺端距离可加大,骨骺出现亦可延迟,但骨骺及骨干基本正常(图1)。
1.Jansen型
先天型,病变累及所有干骺端并有严重的骨质疏松,可伴有颅底硬化、骨盆和骶骨发育不全、脊柱先天性弯曲及短颈等其他畸形。
2.Schmid型
晚发型,发病年龄相对较晚,病变病程可轻可重,可仅局限于双侧股骨颈,亦可累及所有管状骨干骺端,以下肢长骨(髋、膝关节)干骺端多见。具有明显的髋内翻,表现为股骨颈缩短、大转子升高、骨骺和干骺端低垂、骺板甚至呈垂直位、颈干角明显变小等改变。
3.Mckusick型
掌指骨受累为其特征表现,而髋关节通常表现正常。还可累及肋骨及胸骨,表现为肋骨前端增宽、前移和鸡胸畸形等。关节松弛或脱位/半脱位。

图1干骺软骨发育不良
X线片。a.双侧股骨及胫腓骨干骺端对侧性不规则膨大,先期钙化带毛糙,骨骺和干骺端距离加大,骨骺未见异常;b.左侧肱骨近端及尺桡骨远端干骺端改变较轻,远端骨骺未见异常
引自:中华影像医学·儿科卷.第2版.ISBN:978-7-117-29038-8.主编:



