英文名称 :aneurysmal bone cyst
所有动脉瘤样骨囊肿中约20%发生于脊柱。发病以20岁以下年轻人居多,男性略多于女性。动脉瘤样骨囊肿多位于脊椎后部结构,少数可位于椎弓根及椎体。
动脉瘤样骨囊肿的病因及发病机制尚不明确。多数学者认为是由于骨局部血流动力障碍致静脉压持续增高,导致血管床扩张,受累部位骨质吸收及继发性反应性修复的结果。即原发性可能是外伤后骨内出血的一种反应;继发性可能起源于骨内原有的病变,推测是由于原有的骨病造成动静脉瘘引起血流动力学改变而形成。
在组织学上,肉眼观察标本为暗红色的破碎组织,切面常见海绵状小囊腔,周围有骨硬化。局部切除标本为球状膨胀性肿物,表面有骨膜覆盖,切面正常骨结构消失,代以大小不等的血性囊腔,内含不凝血液,互有沟通。囊腔间是质韧的灰白色或铁锈色组织。动脉瘤样骨囊肿常累及软组织,并有薄的骨壳。镜下腔隙的内面由成纤维细胞、吞噬含铁血黄素的组织细胞及多核巨细胞披覆,囊壁及间隔中有纤维组织骨化、新生骨小梁和高度扩张的毛细血管和小静脉。组织学上可分为肉芽肿型和纤维型两类。
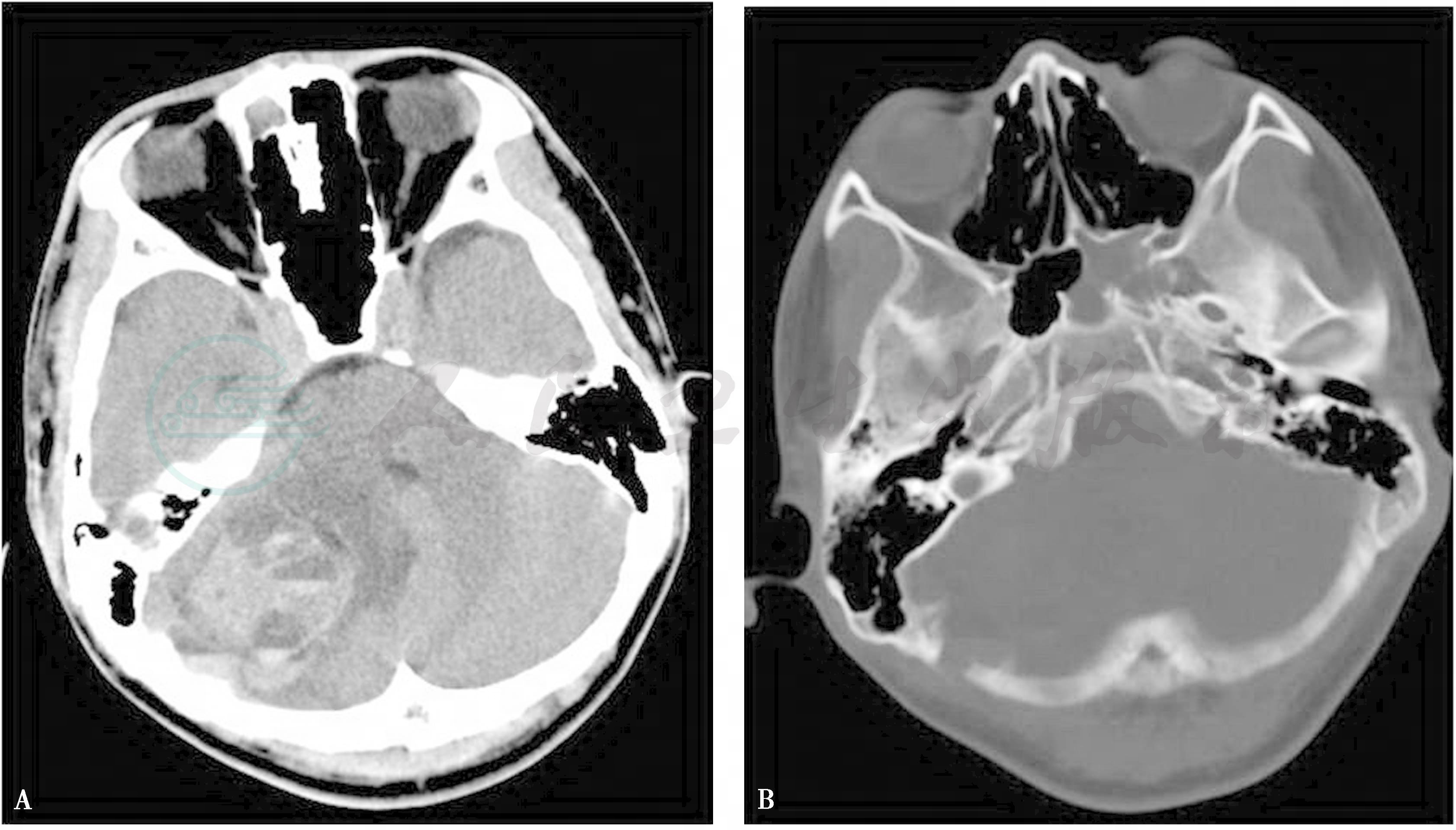
X线、CT表现 颅面骨动脉瘤样骨囊肿多表现为囊状膨胀性透光区,骨皮质变薄如蛋壳样,边界清楚,可见硬化,多无骨膜反应,病灶内有粗细不等的小梁分隔,呈皂泡状、蜂窝状外观。CT扫描显示大小不等的液性密度囊区内可见液-液平面,平面以上为低密度,平面以下为略高密度,是ABC的特征性表现 (图1A、B)。为更好地显示液-液平面,检查前最好让患者在检查床上静卧15~20分钟。增强扫描病变实质部分明显强化,液性囊腔无明显强化。
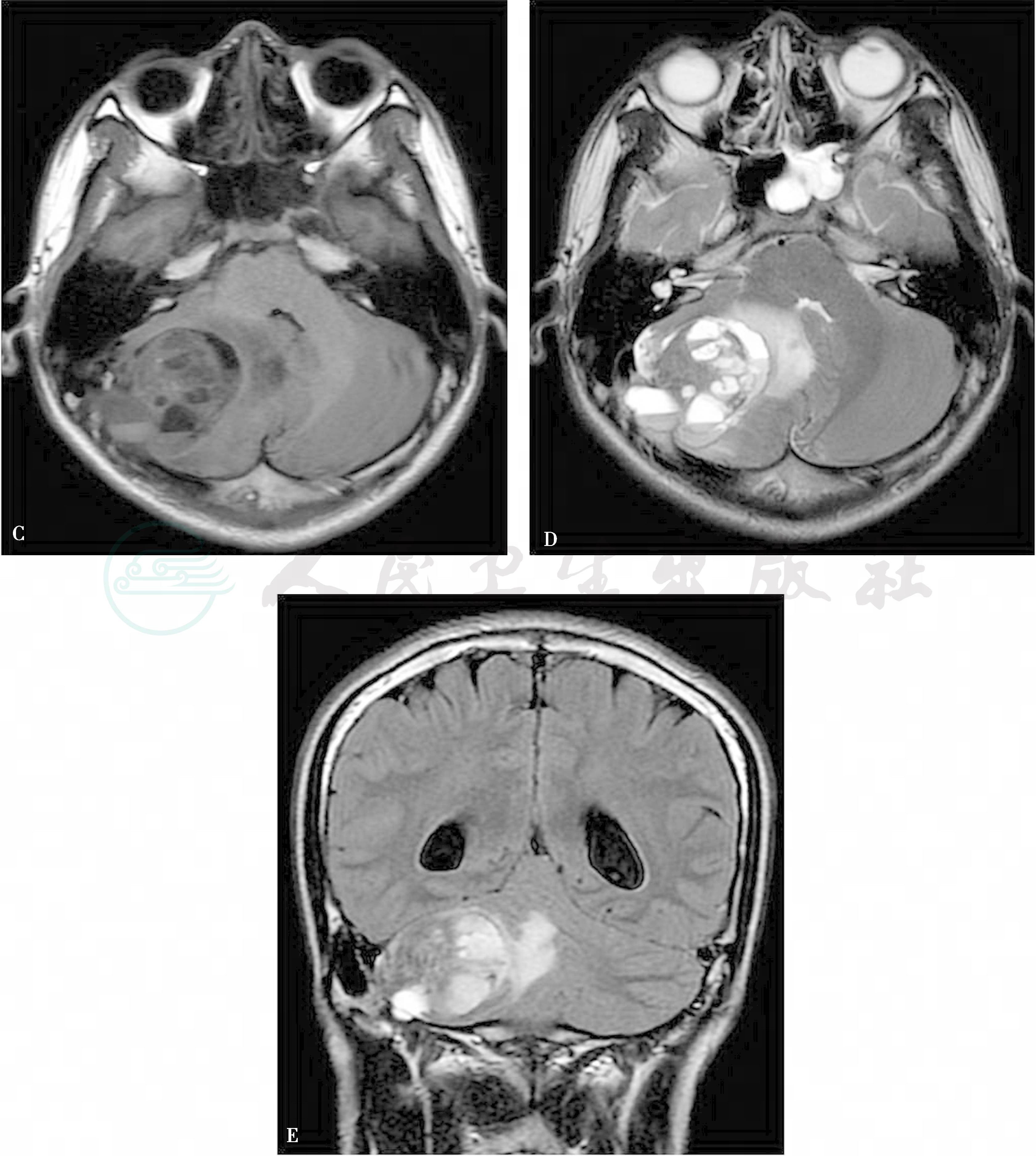
MRI表现 主要表现为边界清楚的多房分叶状囊性膨胀性骨破坏病灶,边缘有薄如纸的低信号边界,囊腔大小不一,信号不均,在T2WI上呈高信号,T1WI上呈等或低信号,部分可为高信号,多数患者可见典型的液-液平面,在T2WI上显示较清,特别是在TE较长的重T2WI上更为清楚。液面上部呈明显长T1长T2信号,下部多呈等T1等T2信号(图1C~E)。
图1 动脉瘤样囊肿
A、B:CT示右侧颞枕骨交界处见囊状膨胀性病变,边界清楚,局部颅骨内外板膨胀、消失,病灶向颅内延伸形成较大多房状略高密度肿块,内见多个液-液平面,邻近脑组织受压,周围见片状低密度水肿区;C~E:MR扫描显示右侧颞枕部见边界清楚的多囊状肿块影,呈等长T1、等长T2混杂信号,边缘有薄如纸的低信号边界,囊腔大小不一,信号不均,可见液-液平面,液面上部呈明显长T1长T2信号,下部呈等T1等T2信号,病灶周围见条片状长T1长T2水肿影
动脉瘤样骨囊肿对放射治疗比较敏感,约50%可经放疗得到良好疗效。经放疗未能获得预期效果者,应行手术进行病灶刮除及植骨,对于发育未成熟者,还应考虑单节段融合手术。经病灶刮除手术后的复发率据报告约为10%。也有人对动脉瘤样骨囊肿做血管栓塞治疗,或将血管栓塞作为手术前准备,以减少术中出血。



