胸腰段(T11~L2)脊柱骨折脱位最是常见的脊柱损伤。近年的文献报道指出汽车交通事故所造成的脊柱骨折要比其他原因所造成的脊柱骨折更严重,老年病人的致伤因素主要为低能量损伤,约60%为跌倒造成。15%~20%胸腰段骨折脱位病人合并神经功能损伤。
脊柱受到外力时,可能有多种外力共同作用,但多数情况下,只是其中一种或两种外力产生脊柱损害。作用于胸腰椎的外力包括压缩,屈曲,侧方压缩,屈曲-旋转,剪切,屈曲-分离,伸展。
(一) 轴向压缩
在胸椎因为生理后凸的存在,轴向压缩应力主要在椎体产生前侧屈曲负荷。在胸腰段主要产生相对垂直的压缩负荷。这将导致终板的破坏,进而导致椎体压缩。在作用力足够大的情况下,将会产生椎体爆裂骨折。如果作用力很大时,将会导致后侧结构的破坏。
(二) 屈曲
屈曲暴力将会导致椎体、间盘前缘压缩,同时椎体后缘产生张应力。后侧韧带可能没有撕裂,但是可能会产生撕脱骨折。中柱结构通常保持完整。但是,当后侧韧带和关节囊破坏后,将会产生局部不稳定。如果椎体前柱压缩超过40%~50%,将可能会导致后侧韧带、关节囊的损坏,后期将会出现不稳定及进行性后凸畸形。屈曲压缩损伤伴有中柱结构的破坏将会导致脊柱的不稳定以及神经损害。
(三) 侧方压缩
侧方压缩的作用机制类似于椎体前侧的压缩损伤,只不过作用力于椎体的侧方。
(四) 屈曲-旋转
屈曲-旋转损伤机制包括屈曲和旋转两种作用力。随着旋转暴力的增加,韧带和关节囊结构将会受到破坏,这将会导致前柱和后柱结构的损坏。伴随着后侧关节囊结构和前柱间盘、椎体的破坏,高度不稳定的损伤类型将会产生。在胸椎或腰椎,单纯脱位是很少见的,这决定于关节突的结构。当关节突受到屈曲-旋转暴力作用的时候,关节突发生骨折,继而才可能出现脊柱的脱位。
(五) 屈曲-分离
Chance最先描述了骨损伤类型,骨折从棘突,向前通过椎板、横突、椎弓根,到达椎体。这种单纯的骨损伤通常发生于L1~L3椎体,虽然在早期是急性损伤造成的不稳定,但是其后期的骨愈合能力强,稳定重建好。骨韧带损伤或单纯的软组织损伤通常发生于T12~L2水平,这种损伤应被认为是不稳定的,自行愈合机会很少。
屈曲分离损伤在胸椎和胸腰段可以产生双侧关节突脱位,韧带、关节囊、间盘被撕裂,但前纵韧带通常保留完整;如果轴向屈曲外力足够大,前纵韧带将会被撕裂从而导致严重的不稳定。
(六) 剪切
Roaf最先报道了单纯剪切外力的作用机制,其作用机制类似于屈曲-旋转作用。这可以产生脊柱的前、侧、后滑椎畸形。创伤性前滑椎是最常见的损伤类型,常伴有严重的脊髓损伤。
(七) 过伸损伤
过伸损伤产生于躯体上部向后过伸外力作用。其受伤机制与屈曲损伤正好相反。外力作用于前纵韧带和纤维环的前部,同时后部结构受到压缩应力。这将会导致关节突、椎板和脊突的骨折。椎体的前下部将会发生撕脱骨折,多数情况下这种损伤是稳定的,除非上位椎体相对于下位椎体发生后滑移。
脊柱骨折分为小骨折和大骨折。小骨折包括单独的关节突骨折、横突骨折、棘突骨折和关节突间骨折。四类大骨折包括压缩骨折、爆裂骨折、屈曲分离骨折和骨折脱位。
(一) 压缩骨折
由定义可知,压缩骨折发生于椎体的前部骨折,中柱结构保持完整。在一些病例,后柱可能受到张力产生破坏,这是由于以中柱为轴的张力作用引起。椎体压缩可发生于前柱或椎体侧方。椎体的压缩可发生于上终板,也可以发生于下终板,或双侧终板受累,或者终板保持完整,而椎体皮质发生骨折。Denis报道的197例压缩骨折中没有一例发生神经损害,椎体压缩少于40%~50%的、没有后侧韧带损伤的骨折是稳定的低能量损伤。但是如果年轻人椎体前缘40%~50%的压缩而后侧结构完整的损伤应当考虑后侧韧带结构损伤的可能性。
(二) 爆裂骨折
爆裂骨折的是指涉及椎体中柱的骨折,特点是椎体后侧壁的骨折(中柱损伤),这是与压缩骨折的区别。爆裂骨折的损伤机制是由极度的轴向负荷引起,这类骨折占胸腰椎主要骨折的15%。椎体的爆裂骨折程度由外力的作用速度决定。快速的作用力将主要导致椎体爆裂骨折。在伴有屈曲暴力的爆裂骨折中,常见椎管后壁骨折块向椎管内突入。Cammisa发现CT扫描可以看到50%的椎体爆裂骨折患者存在椎板骨折。在其30例椎体爆裂骨折患者中,70%的骨折存在骨折块向椎管内突入。所以在椎管减压重建的过程中要考虑椎管侵占的情况。一些爆裂骨折伴随有后柱的水平骨折线。这种类型骨折与屈曲分离骨折不同,后者通常还伴有中柱的损伤。这种类型的骨折与没有后柱劈裂骨折的类型相比,前者更需要外科手术稳定,以防止后凸畸形的出现。
爆裂骨折患者中大约50%的人会出现神经损害症状。为了研究椎管侵占率与神经损害之间的不一致关系,Panjabi等使用动态损伤模型,发现在动态情况下测量椎管侵占与伤后静态椎管侵占的程度不一样。他们的模型显示动态下椎管侵占为33%,而伤后静态下椎管侵占仅为18%。这个明显的区别可以解释伤后静态椎管测量与神经损害之间的不协调性。
(三) 屈曲分离损伤
屈曲和分离的损伤机制,多发生于交通事故中乘客使用安全带肩部没有束缚,导致后柱和中柱承受张力损伤,前柱作用相当于支点。Denis将这种损伤分为两类。①在一个水平通过骨结构,类似于chance骨折,或者主要通过韧带损伤;②在两个水平通过中柱骨结构或韧带、间盘结构。这个分类的缺点是没有包括后柱分类损伤而前柱、中柱承受轴向负荷导致椎体压缩和爆裂骨折的病例。Denis的病例中因屈曲分离导致的神经损害较少。这种损伤应被认为是不稳定的损伤。
(四) 骨折脱位
骨折脱位是由于压缩、张力、旋转、或剪切应力导致脊柱三柱的损伤。骨折脱位损伤可分为三类,A型损伤为屈曲旋转损伤,可发生于患者在交通事故中从车辆内弹出或者高处坠地伤引起。B型损伤发生于脊柱长轴受到垂直爆力打击所致。C型损伤指由屈曲分离外力所致双侧关节突脱位。这种损伤发生于前侧间盘或椎体损坏。前纵韧带从伤椎的前下缘撕裂,导致脱位更加明显。这类损伤的特点是脊柱的三柱结构均受到损害,且伴有较高的神经损害几率。
虽然这种基于脊柱解剖的三柱理论对判断脊柱的稳定性有所帮助,但是此分类方法中没有考虑脊髓及神经根的存在。虽然脊髓和神经根不能提供给脊柱稳定支持,但是在考虑脊柱损伤时也不应该忽视。
McAfee及其同事将Denis与White及Panjabi的分类结合起来,根据中柱损伤类型,用CT影像学分析后,建立了一个简化的分类。通过对100例胸腰椎骨折的患者平片、CT的观察,提出中柱的损伤原因有轴向压缩、轴向分离、横向平移,这些损伤可能影响脊柱稳定性。McAfee将损伤分为六类:楔形压缩骨折、稳定的爆裂骨折、不稳定爆裂骨折、Chance骨折、屈曲分离骨折和平移损伤。这套系统是在椎弓根系统出现之前,钩棒在广泛应用的时代。McAfee提出椎体损伤应该通过牵引分离或加压实现脊柱的稳定的观点。
目前较为全面的分类系统是AO的分类系统,这是多中心统计分析1400例患者的平片和CT总结出来的。该分类主要基于脊柱损伤的病理形态学特点及损伤的外力,损伤的类别取决于损伤的病理形态是否一致。损伤类型主要由几个易于认识的影像学特征来判定。因为这种损伤模式能够明确反应损伤的外力或及外力的效应,作为常见的损伤类型(用英文字母表示),三种简单的机制可被分为:①压缩外力,它引起压缩性和爆裂性损伤(A型损伤,图3-1-5-1);②牵张外力,它引起的损伤伴有横向结构的损伤(B型损伤,图3-1-5-2);③轴向扭转外力,它引起旋转性损伤(C型损伤,图3-1-5-3)。形态学的依据用来将每一主要类型进一步分为不同的亚型(用数字表示),利用更详细的形态学所见可再分为次亚型,甚至可以更进一步的划分,以达到对几乎所有创伤的精准描述。在此分类中,损伤的等级是根据损伤的严重程度从上往下排列的。即是损伤的严重程度从A到C逐渐加重,同样在各型、亚型及次亚型中也是如此。进一步的亚型主要用以区分骨折的位置、形态以及区分骨、韧带损伤和移位的方向。损伤的等级主要是根据不稳的程度来决定的。预后也与损伤的等级尽量相关。该分类可以用来判断骨折的严重程度及预后,并可以指导治疗方式的选择。

图3-1-5-1 A型损伤
各种类型骨折的特征:
A型损伤的特点是椎体骨折,后柱基本没有损伤。这类损伤由轴向压缩力引起,伴有或不伴有屈曲外力,仅累及椎体,椎体高度丢失,但后方韧带结构完整,不出现矢状面损伤。
B型损伤主要特点是单一或两个柱的横贯伤。屈曲牵张外力导致后方的结构损伤及延伸(B1及B2型),过伸伴或不伴有前后的剪切力导致前方结构的破坏及延伸(B3型)。
在B1及B2型损伤,前方的损害可能是经椎间盘或A型椎体骨折。因此,A型骨折存在于这两个亚型的骨折中。为了准确定义不同类型的损伤,必须对这些骨折的描述有所区别。更严重的B1及B2型损伤可以累及骶棘肌,或者肌肉及其筋膜,因此,后方的损伤可以扩大到软组织。

图3-1-5-2 B型损伤

图3-1-5-3 C型损伤
矢状面方向的横向脱位也可能发生,即使在影像学上没有被发现,也应警惕横向脱位的潜在可能性。不稳定的程度可以从不完全到完全,神经损伤的发生率明显高于A型损伤的。
C型损伤的特点是在多种损伤形式以外,有三种具有相同损伤形式的骨折:①A型骨折伴有旋转;②B型骨折伴有旋转;③旋转剪切伤。除少许病例外,旋转损伤表示有严重的胸椎和腰椎损伤,并且神经损伤的发生率最高。神经损伤是由突入椎管的骨块或椎体间脱位造成。
常见的特点包括双柱的损伤、旋转移位、在水平位上各方向移位的可能、所有纵向走行的韧带及间盘的损伤、通常为单侧的关节突骨折、横突骨折、肋骨脱位或近脊柱端的骨折、终板的外侧撕脱骨折、椎弓骨折和不对称的椎体骨折。这些都是典型的轴向扭力所造成的损伤,同时还有A型和B型损伤。由于在前面已经详细讨论了A型和B型损伤,对于C型损伤的描述仅限于其常见表现及一些损伤的特有表现(表3-1-5-1,表3-1-5-2)。
表3-1-5-1 AO 胸腰椎损伤分型

表3-1-5-2 脊髓损伤严重程度及进展

由于目前多数关于脊柱脊髓损伤的分类都没有将脊柱和脊髓损伤结合起来进行综合评定,Vaccaro等通过多中心大宗病例观察建立了 TLICS评分(Thoracolumbar Injury Classification and Severity Score,TLICS)。TLICS系统是目前指导临床用于判断手术与否的唯一的分类评估系统,其将神经损伤和后纵韧带复合的状态融入到评估体系,试图用具体分值来回答“保守还是手术”的问题。按创伤形态、神经功能、后方韧带复合体(posterior ligamentous complex,PLC)完整性三部分进行评估。建议≥5分采用手术治疗,再根据有无神经损伤、后韧带复合体损伤等情况选择前路、后路、前后路联合手术。由于每个患者的实际情况不同,TLICS可以指导治疗的选择,但无法完全替代临床的判断(表3-1-5-3)。
三项评分只计算最大的分数,然后求和,TLICS分数≤3分:非手术;4分:手术或非手术;≥5分:手术。有后部韧带复合体损伤时建议后路手术,有不全脊髓损伤时建议前路手术,不全脊髓损伤或马尾综合征同时有后部韧带复合体断裂时建议前后联合手术。
随着人们对脊柱后侧张力带对脊柱稳定性影响的认识,TLICS建议PLC(指棘上韧带、棘突间韧带、黄韧带、关节突关节囊等)损伤行后路手术,重建脊柱张力带的稳定性,但未具体描述PLC损伤到何种程度需要手术。虽然MRI对软组织敏感度较高,但单纯通过MRI来判定PLC损伤有时并不十分确切,一定程度上影响临床医生对手术方式的正确选择。PLC损伤常见于屈曲牵张样损伤,即AO分型B1\B2型多见。TLICS考虑到了神经功能的重要性,不全脊髓损伤或马尾神经损伤建议前路手术减压,重建前中柱的稳定。但TLICS对椎体的碎裂程度和椎管骨块占位评分缺少细化且所占分值权重较轻,椎体压缩骨折为1分,椎体爆裂骨折为2分。临床上常见一些爆裂骨折椎体碎裂严重,椎管占位大,同时因伴有椎板骨折却没有神经症状患者,此时按TLICS评分结果建议后路手术,很明显这类损伤前路手术减压及重建对远期效果更具优势。
我们常用的是AO分型,因为该分型是以受伤外力和骨折形态结合的分类法,其分类的级别与神经损伤程度有较大相关性,可以用来判断预后,也可以根据骨折的类型决定手术与保守治疗的选择及手术入路的选择,同时因为它是字母和数字的编码分类,也便于资料收集。
表3-1-5-3 TLICS 评分标准

骨折与神经损伤的关系
胸腰椎骨折是最常导致脊髓损伤的原因之一。一些学者认为受伤时,椎体骨折块向椎管内突入暴力造成的脊髓伤害,其强度是静态的CT平扫所不能反映的。Fontijne对139例胸腰椎爆裂骨折的患者进行研究认为CT平扫所见椎管的狭窄与神经损害之间存在正相关的联系。他们报道椎管狭窄在25%、50%、75%,神经损害的几率在胸腰段是29%,51%,和71%,在腰椎是14%,28%,和48%。但是研究中不能确定椎管狭窄的程度与神经损害的程度之间建立明确的关系。
脊髓损伤(SCI)程度的评估,是脊柱损伤研究的核心课题之一。脊髓损伤后,及时、准确地进行检查,全面了解和评价脊髓损伤程度,对拟定治疗方案,提高和观察治疗效果以及正确评估预后都具有重要的指导意义。近年来,随着脊柱外科迅速发展,脊髓损伤引发了一系列相关学科的兴趣和广泛研究,显得异常活跃,取得了多方面的进展。但目前,脊髓损伤严重程度的研究角度、表达方式繁多,评价方法不一,标准不一。要从众多评价脊髓损伤的标准中选择一个较准确、可靠的标准也有一定难度。
(一) Frankel脊髓损伤程度分类法
1969年,由Frankel提出,其将脊髓损伤平面以下感觉和运动存留的多少分为5个级别(表3-1-5-4)。
表3-1-5-4 Frankel 脊髓损伤分级法

Frankel法对SCI的评定有较大的实用价值,但对脊髓圆椎和马尾神经损伤的评价有缺陷,也缺乏反射、括约肌功能的内容,尤其对膀胱、肛门括约肌神经功能表达不全。
(二) ASIA脊髓损伤程度分类法
ASIA提出的新的参照NASCIS标准制订出来的脊髓损伤神经分类评价标准,其特点是用积分的方法来表达SCI的严重程度,将其各种功能障碍的大小量化了。因此被认为是迄今最先进的SCI评价标准而于1992年在巴塞罗那被国际截瘫医学会(IMSOP)批准使用,并传播推广。英国Masry对56例SCI患者的运动缺失百分数(MDP)与运动恢复百分数(MRP),用ASIA运动评分、NASClS北美脊髓损伤运动评分及传统运动评分(CMS)3者评价结果进行比较,结论是ASIA运动评分是可靠的。
ASIA标准其特点在于,对精心筛选出来的,最具代表性的、最基本的神经系统检查目标,即感觉的28个关键点,运动的10条关键肌,一一进行检查和评分。感觉评分的总和即代表患者的感觉功能状况;运动评分的总和即代表患者的运动功能状况。具体做法:①感觉的检查和评分:在28个关键点上,用针刺测试锐痛觉,用棉絮测试浅触觉。按3个等级评分:缺失为0分、障碍为1分、正常为2分,不能区分锐性和钝性刺激的应评0分。这样,每个关键点的检查有4种情况:即左、右两侧皮区的针刺锐痛觉和棉絮浅触觉。如正常人每个关键点应得8分,全身28个关键点满分总共28×8=224分。②运动的检查和评分:按自上而下顺序,对规定的10条关键肌(肌节:指每个节段神经根运动轴突所支配的肌、肌群)进行检查,各关键肌肌力仍用原临床5分法评定。0分:受检肌完全瘫痪;1分:可触感肌力收缩;2分:不需克服地心引力能主动活动关节;3分:对抗地心引力进行全关节主动活动;4分;对抗中度阻力进行全关节主动活动;5分:正常肌力。这样,左、右两例共20条关键肌,正常人所有关键肌均为5分,其运动功能满分20×5=100分(图3-1-5-1)。
从总体内容上看或与传统神经功能检查方法相比较,ASIA92法缺少了位置觉和深感觉内容。目前ASIA已建议增加检查两侧示指和拇趾的位置觉和深痛觉。同时要作肛门指诊,检查肛门括约肌的自主收缩、深感觉是否存在。借以判断SCI是完全性还是不完全性。均以缺失、障碍、正常3个等级表示。
感觉关键点和运动关键肌分别见表3-1-5-5、表3-1-5-6。
表3-1-5-5 感觉检查的关键点

注:肋间检查点均位于锁骨中线上。
表3-1-5-6 运动检查的关键肌

(三) ASIA 脊髓损伤分级(图3-1-5-4)
A 骶段(S4、S5)无任何运动及感觉功能保留
B 神经损伤平面以下,包括骶段(S4、S5)存在感觉功能,但无任何运动功能

图3-1-5-4 脊髓损伤ASIA评分图
C 神经损伤平面以下有运动功能保留,一半以上的关键肌肌力小于3 级
D 神经损伤平面以下有运动功能保留,至少一半的关键肌肌力大于或等于3 级
E 感觉和运动功能正常
胸腰段是脊柱活动度的转换区域,由相对固定的胸椎到活动度较大的腰椎过渡。胸腰段关节突方向的变化也改变了作用于脊柱的应力分布,这种改变了的应力导致了胸腰段不同的骨折类型。胸腰段的转换特点使得其比胸椎或腰椎更容易发生骨折。轴向加压的生物力学试验表明胸椎比腰椎更僵硬。在伸展、轴向扭转、侧方弯曲方面,胸腰段与腰椎没有明显的区别。因为T11、T12肋是浮肋,没有和胸骨之间形成固定。
维持脊柱稳定的一个重要结构是连接骨结构的软组织。这些复杂的结构包括韧带、间盘及肌肉组织,控制脊柱的运动及参与维护脊柱的稳定性。椎间盘结构包括纤维环和髓核组织。髓核组织镶嵌于纤维环内,作为脊柱轴向运动负荷的吸收结构。
影像学检查是脊柱骨折治疗前所必须的评估损伤手段。对于急性多发损伤,如果患者有脊柱损伤的表现,或者患者处于意识丧失状态,但怀疑有脊柱的损伤时,都应该进行全脊柱的彻底检查。
(一) X线片
怀疑胸腰椎骨折时,常规的正位和侧位平片是最基本的检查方法。在初始阶段的评估中,胸腰段及腰椎的顺列可以在正侧位平片上很好的观察出来。许多胸腰椎骨折不仅存在椎体的骨折同时还存在损伤区域的后凸畸形。正位平片可以帮助我们获得很多信息,椎弓根的位置帮助我们了解脊柱的顺列,侧凸的存在与否,棘突的位置。侧位平片可帮助我们了解椎体的顺列,腰椎生理前凸的存在,椎体高度的丢失与否,椎体受伤后,局部的后凸角度。椎间隙狭窄的情况,观察损伤椎体的后上角可以看到椎管侵占的情况。还可观察到椎体骨折脱位后椎体间脱位对应关系。
(二) CT
CT可以获得关于损伤椎体的任何平面的信息,三维重建CT可以观察脊柱的序列情况,CT最基本的价值是在轴位平面上,可以清楚地显示椎管及骨折块与椎管的位置关系。扫描速度的增快和扫描层距的增密减少了患者搬动,获得了更多关于脊柱的信息。CT可以①确定平片影像不能肯定的图像;②提供详尽的骨结构损伤情况以给外科医生选择治疗提供帮助;③了解平片正常患者存在疼痛的原因;④上胸椎棘下颈椎区域平片信息不清楚的地方;⑤了解椎体骨折块与椎管的关系;⑥评估术后内固定的位置及并发症的情况;⑦评价术后椎体骨折愈合情况。
三维重建CT可以了解椎体半脱位及脱位情况,螺旋CT可以提供给我们清楚的,高质量的影像。
(三) MRI
MRI是检查中枢神经系统的有力工具。其优点包括:①在任何平面上对脊髓成像;②与其他影像系统相比,MRI对软组织,包括韧带组织的辨别具有较高的敏感度;③脊髓周围空间成像诊断血肿,骨折块,间盘组织和骨刺,且不需要使用造影剂;④直接显像脊髓诊断挫伤,血肿,或裂伤;⑤以MRI影像为基础预测患者将来脊髓功能恢复状况;⑥观测脊髓血流状况,评估主要血管的供血情况,而不需要使用造影剂;⑦不需要使用造影剂了解脊髓形态。
MRI可以清楚的显示脊髓和软组织图像。MRI检查可以辨别椎间盘损伤,硬膜外血肿,脊髓水肿,软组织损伤情况,这在其他影像学检查时不能替代的。当患者的损伤节段与神经损伤不符,或者有神经损伤但没有证据说明骨结构损伤,MRI检查将会提供脊髓节段的影像,了解损伤的情况。这些信息对治疗和判断预后将会提供较大的帮助。
(一) 保守治疗
保守治疗是胸腰椎骨折的一种基本治疗方法,主要方法是支具外固定或者卧床休息治疗,包括一段时间的卧床休息直到全身症状的缓解,接着应用支具固定10~12周,并逐步进行功能锻炼。
保守治疗适应证选择得当将会取得良好的治疗效果。Robert W. Bucholz等认为稳定的没有神经损害的椎体压缩骨折和爆裂骨折可以进行保守治疗。包括①骨折椎体高度丢失少于10%的不需要外部支具;②骨折椎体高度丢失在30%~40%,后凸角度在20°~25°可以通过矫形支具固定。
胸腰椎的外固定支具的作用是限制脊柱的运动,减少肌肉组织的活动,增加腹部压力稳定脊柱,减少脊柱的承重负荷。最有效的胸腰支具是Jewett设计的三点固定支具,其前侧在胸骨和耻骨联合,后侧在胸腰段,可将脊柱固定于伸直位。这种支具允许脊柱过伸,但限制屈曲,重量轻,易于调节。Jewett外固定架适用于T6-L3节段的损伤。
保守治疗的指征可简单归纳为:
1. 无神经病损者;
2. 脊柱三柱中至少两柱未受损;
3. 后凸角度小于20°;
4. 椎管侵占小于30%;
5. 椎体压缩不超过50% 。
(二) 手术治疗
与支具外固定或者卧床治疗相比,手术治疗有几方面的优点。首先,对于那些不能耐受支具或者卧床的患者可以提供即刻的稳定。在一个多发创伤的患者,长期的卧床将可能会产生严重的危及生命的并发症。及时的外科手术稳定可以允许患者早期坐起和康复治疗;其次,外科手术可以很好的恢复脊柱的序列,纠正畸形;最后,解除对神经系统的压迫。一些文献报道手术减压稳定可以增加神经损害的恢复几率,减少康复所需时间。
1. 手术目的可简单归纳为
(1) 减压,为神经功能恢复创造最佳条件。
(2) 恢复和维持脊柱的高度和曲线。
(3) 减少脊柱活动度的丢失。
(4) 保持脊柱的稳定性。
(5) 坚强固定以利早期护理和康复。
(6) 防止创伤后后凸畸形及神经病损。
2. 手术的时机
对脊髓或马尾损伤的患者进行手术干预(减压和稳定)的时机还不十分明确。尽管人体临床研究没有足够的证据,但是可能存在一个重要的时间窗(可能<3h),在该时间窗内减压可能会促进脊髓神经功能的恢复,改善预后。多数学者同意进行性神经损害加重是急诊手术的适应证。急性外伤导致脊柱畸形、脊髓损伤的患者应当急诊手术,以恢复脊柱序列,给脊髓恢复创造最大的可能性。在那些完全脊髓损伤或静止的不完全脊髓损伤,一些学者认为应当延迟几天手术以减轻脊髓的水肿,而另外一些学者支持早期手术稳定。然而,迄今为止唯一的一个脊髓损伤临床前瞻性随机对照研究发现,在损伤早期(3d内)或晚期(5d后)施行手术,神经功能的恢复并没有显著差别。有研究表明,如果胸腰段脊髓受压持续存在,即使是在损伤晚期才进行减压,也有利于改善神经功能。因后路手术是通过韧带整复缓解椎管压迫的一项间接减压方法,故在创伤早期能更顺利地进行。
3. 外科手术的适应证
对于胸腰椎骨折,不同类型的骨折应当选择相适应的手术方式。
(1) 椎体压缩骨折:
是指椎体前柱压缩,中柱结构保持完整。这种类型骨折的治疗决定于后侧结构的损伤程度。椎体前柱压缩超过40%,或者后凸角度超过25°~30°,则考虑后柱的韧带结构受到损害,很难恢复正常的结构功能。MRI可以清楚地显示后侧韧带复合体的损伤情况。这种骨折被认为是极度不稳定的骨折,应当考虑手术治疗。对于椎体损伤处于临界状态的患者,如果是年轻人,高能量的损伤,首先选择手术治疗。严重的椎体压缩骨折可以选择后路椎弓根固定系统进行固定和融合。对于老年患者,低能量所造成的椎体压缩骨折,特别是伴有骨质疏松的椎体压缩骨折,后路固定的选择应当慎重,因为较差的骨质量会影响固定的强度。可考虑椎体成形术。前路手术对于此类患者一般来说是不需要的,因为中柱结构没有受到破坏。
(2) 爆裂骨折:
爆裂骨折包括前柱和中柱的破坏,伴有或不伴有后柱结构的损坏。有三个因素在选择治疗时应当考虑:椎管受侵占的比例,受伤区成角畸形的角度,神经损害的程度。
手术应当考虑三方面的因素:神经损伤程度,稳定程度和畸形程度。如果患者具有神经损害同时伴有不稳定,脊髓压迫,明显的后凸畸形,后者两种上述条件同时存在,这些都是手术治疗的指征。如果椎管侵占超过50%,或者后凸角度大于30°,不管是否伴有神经损害都具有手术的适应证。
(3) 屈曲分离损伤:
屈曲分离损伤可以经过骨或者软组织结构,可累及一个或多个运动节段。韧带损伤愈合能力较差,常会导致局部不稳定和疼痛。累及三柱的屈曲分离损伤是极度不稳定的。脊髓损伤有较高的发生率。这种损伤最好的治疗手段是手术治疗。进行局部节段的固定和后侧融合。
(4) 骨折脱位:
在骨折脱位,脊柱的三柱结构均遭到损伤。这种类型的损伤常伴有较高的神经病损率,多数患者需要进行手术治疗。如果出现骨折脱位的患者没有神经损害,手术的目的是稳定脊柱,恢复脊柱序列,防止继发神经损害,争取早日下床活动。如果骨折脱位伴有部分神经损害,亦应手术稳定脊柱和对神经进行减压。如果神经损害是完全的,亦应进行脊柱稳定,减少患者住院和卧床时间,给脊髓恢复创造最大的可能性。
手术指征为:
1) 有神经损伤;
2) 所有AO C型骨折;
3) AO A3型及B型中成角超过30°、椎体压缩超过50%、椎管侵占超过30%;
4) MRI证实有椎间盘损伤。
4. 手术入路的选择
(1) 前路手术:
前路手术进行胸腰椎骨折减压稳定,无论单独使用还是与其他手术方式结合使用,在过去几十年来一直受到骨科医生的推崇。前路经胸腔减压和融合适用于胸椎和胸腰段骨折(T2-L1)。前路手术的指征是伴有神经损害的椎体爆裂骨折,在急性期进行减压和稳定;纠正陈旧创伤所引起的畸形;重建脊柱前柱的支撑结构。随着内固定技术、植骨方式以及手术安全性的提高,前路手术越来越为外科医生所接受。
随着内固定技术的发展和自体骨植骨之外植骨方法的改进,前路手术治疗胸腰椎爆裂骨折作为一种独特的技术手段获得了更多的接受。在20世纪80年代末期,随着前路钢板的日趋成熟,前路减压固定胸椎和胸腰椎骨折的手术治疗质量得到很大提高。现代的内固定技术多采用一个椎体两枚螺钉的固定技术,一枚螺钉靠后,平行于椎管后壁,另一枚螺钉靠前自前侧向后侧斜行打入,两枚螺钉之间呈三角形,增加了抗拔出力。在邻近的两个椎体之间,可以完成撑开或加压的操作。
对于脊柱结构的两柱(前柱和中柱)损伤,Denis分类的椎体爆裂骨折,AO分类的A型损伤,单纯前路固定获得了良好的疗效。对于不稳定的三柱损伤,即Denis分类的屈曲分离损伤,AO分型的B型或C型骨折,单纯前路手术能否解决这种损伤的稳定问题还有争议。Rick C等研究203例胸腰椎骨折,按照AO分类标准,40例不稳定骨折(三柱损伤)实行了单纯前路固定手术治疗。术后没有患者出现神经损害加重的表现,不全损伤患者中90%有一级以上的神经功能恢复。术前椎管侵占平均68.5%,后凸角度平均是22.7°。术后随访后凸角度平均是2.1°,37例患者在随访中显示局部很好地稳定。
(2) 后路手术:
后路治疗胸腰椎骨折主要应用内固定器械在损伤节段实行撑开和复位并间接减压。撑开力量被证明在使突入椎管的椎体后壁骨块复位方面有着明确的作用,特别是在伤后几天内更有效。
1) Harrington棒:
是最早的用以治疗胸椎和腰椎骨折后路棒钩系统之一,因其坚强和稳定程度不够,现在已很少使用。
2) 节段间固定系统:
椎弓根螺钉固定系统可以很好的纠正后凸和侧凸畸形。有多个连接的钩与椎弓根钉可以完成撑开和加压的作用,因此可以矫正复杂的畸形和提供脊柱强有力的稳定支持。在应用横向连接后,两侧的钉棒结构变为一个整体,更有效的提供稳定支持。节段间固定系统与单钩棒系统相比明显增加了对椎体的把持力,减少了内固定失败的几率,其另一个好处是可以实行单个节段间的加压和撑开。
在胸腰段,椎弓根有较大的直径,可以考虑全部采用椎弓根钉进行固定。椎弓根系统的优点是使得短节段固定成为可能,经常采用的固定方式是在伤椎上一个节段和下一个节段进行固定。这种固定方式在腰椎显得优点更为突出。
在完成后路椎弓根固定的同时,根据椎管侵占情况,可以完成椎管减压。单纯平片不能作为判断椎管减压与否的依据。术前的CT平扫与三维重建,MRI检查可以提供关于椎体结构破坏情况,椎管侵占情况的完整信息。后路减压的优点是不需要再次另外切口,缺点是减压需要切除椎管后壁结构或者后外侧结构,这将会影响脊柱的稳定性,并可能对植骨融合造成不利影响。另外一个缺点是此种减压不如前路减压直接,可能形成不彻底或减压失败。
5. 手术技巧及注意事项
(1) 手术入路:
胸腰段骨折的手术入路主要为侧前方入路及后侧入路。文献报道及我们自己的经验都未证实那种手术入路更有优势。前路减压固定的绝对指征是椎体爆裂骨折,后壁骨块翻转向前,其特点是在CT横断面可见椎体后壁骨皮质位于椎体内并指向前方(见典型病例2)。而其他类型骨折的手术入路的选择除了根据术者的经验外主要取决于前柱的结构是否稳定。大部分胸腰椎骨折脱位可通过后方入路达到减压、复位及固定的目的;但如果出现椎管侵占超过50%,椎体高度丢失超过70%,应选择前方入路(见典型病例1)。如何判断前柱的稳定性目前还存在争议,可以参考Gaines载荷分享评分(图3-1-5-5)来指导入路的选择。如果小于6分可选择选择后路手术,如果大于等于6分可选择前路手术,而对于B2、B3及C型骨折同时Gaines评分大于等于6分者可以选择前后联合入路(病例5)。
(2) 胸腹联合入路(显露T 10-L 1)和腹膜后入路(显露T 12-L 5):
患者右侧卧位,右侧腹跨过手术台腰桥处。切口沿肋骨(T10、T11、或T12),从肋横突关节直到腹直肌外侧缘。腹膜后分离可以在不影响胸膜腔的同时切除肋骨。在肋横突关节处或近端切断肋骨。注意保留横隔和腹壁肌肉止点;找到腹膜外脂肪后,钝性分离定位腹膜后间隙。
用“花生米”钝性分离腹膜,将外斜肌和内斜肌分开来。用“花生米”分离腹膜后脂肪和腹膜,辨认腰大肌。确定并没有进入胸膜腔;如果已进入,在最后需用胸管置入胸膜腔。辨认椎间盘(注意,椎间盘是突出来的部分而不是凹进去的部分);男性患者的腰大肌常常跨过中线完全覆盖脊柱,这时,用“花生米”钝性分离直至看到椎间盘,然后透视,确认手术节段。在L1和L2节段,为充分暴露要切断横膈脚并在最后修复。
侧前方椎体切除术减压的关键在处理椎间盘,要将切除的椎体上下的椎间盘在减压之前清除掉。干净地切除了椎体上下的椎间盘后,失血量将被控制在最少,而且术者可看到后纵韧带。下一步要去除一小部分后纵韧带以辨认硬脊膜。一旦硬脊膜显露清楚了,就可应用高速磨钻或咬骨钳进行椎体切除了,将椎体切除直至仅剩一薄壳附于后纵韧带上。
当从前外侧入路进行椎体切除时,用宽骨刀从椎弓根基部开始。薄壳和后纵韧带沿整个椎体长度一并切除。切除宽度是一侧椎弓根到另一侧椎弓根,要使椎管和神经根彻底减压。

图3-1-5-5 Gaines载荷分享评分
自体的髂骨、肋骨、腓骨及钛网、人工椎体都是椎体切除术后的植骨替代材料。但独立应用的稳定性差,应联合应用后方椎弓根固定或前外侧钉板或钉棒固定。
(3) 腰段后路减压及椎弓根螺丝钉内固定术的技术要点:
全麻,患者俯卧于支架或枕垫上,腹部不施加压力,双臂置于头侧,双肩前倾。术前应确定C形臂透视是否能够在正、侧位方向均能拍摄到骨折固定节段。一般先置椎弓根钉,再行减压、固定及植骨。
椎弓根钉向内侧偏移是最危险并发症,可以伤及脊髓,正确的放置椎弓根螺钉应该遵循以下原则:
①选择正确的椎弓根进钉点;②选择正确的进钉方向。椎弓根钉的方向取决于椎弓根的内倾角和下斜角。内倾角为椎弓根轴线在椎体横断面上的投影与椎体冠状面垂线的夹角,在胸腰段及腰椎为5°~15°,下斜角为椎弓根轴线在矢状面上的投影与椎体水平面之成角,在胸腰段及腰椎一般0°,但应参考侧位片。 ③钉深度。一般认为深度达到椎弓根轴线长度的80%已获得足够的生物力学强度。但进钉越深,固定越牢固,最佳深度为进入椎体前侧但不穿透皮质,否则易损伤血管。④术中透视判断椎弓根螺钉位置。侧位片螺钉应于椎弓根内,钉尖不超过椎体前缘皮质,正位片顶尖向内不能超过棘突中线,否则可能进入椎管内。
对于椎体有楔型变及椎体高度有丢失的骨折,术中要恢复椎体的形态及高度,主要依靠椎弓根钉对椎体间撑开,通过紧张后纵韧带将骨折推向前方,恢复椎体后壁的高度,再通过拉近椎弓根钉的延长杆或Schanz钉的尾端使前方展开达到恢复椎体前方高度的目的(图3-1-5-6)。
新鲜的胸腰椎骨折脱位复位并不困难,通过提拉复位装置均可达到满意复位。陈旧的脱位或难复性的脱位需要切除部分交锁的关节及瘢痕组织才能达到复位。
腰椎骨折和胸腰段骨折的手术方式略有不同。由于L2以下没有脊髓结构而且椎管宽大,所以可以安全的采用后路减压方式,而L2以下腰大肌及的覆盖造成侧前方入路显露困难,因此后路减压固定的方式在腰椎骨折脱位的治疗上应用较多(病例4)。
6. 并发症
(1) 前路手术的并发症如下
1) 损伤胸导管:
胸导管行经的路径变异很大,但通常伴行于主动脉右侧。并发症主要发生在左侧胸廓切开术,可导致乳糜胸。治疗通常采取保守方法——胸腔闭式引流,但对于个别无脂饮食的患者,大量淋巴液的丢失需要手术治疗结扎胸导管。

图3-1-5-6 Schanz钉复位胸腰椎骨折示意图
A.平行上终板置入Schanz钉;B.拉近Schanz钉的尾端;C.前方张开,椎体前方高度恢复;D.后方撑开通过紧张后纵韧带将骨折推向前方,并恢复椎体后壁的高度
2) 损伤奇静脉和半奇静脉:
切断肋间血管时过于偏向中间,或是准备时没有靠近前纵韧带或骨膜下,都有可能损伤到奇静脉和半奇静脉,一旦损伤,应手术缝合或结扎。
3) 损伤大血管:
损伤大血管是很严重的并发症。患者短时间内丢失大量血液,手术野很快被血液充满。这时应用事先准备好的血管圈套器止血,没有圈套器应手动止血。钳夹血管需要将血管前移,静脉的撕裂通常发生在底面,操作比较困难,应将血管充分翻转,使得缝合不受限制。
4) 损伤输尿管:
输尿管由于其圆柱形的外形及其可蠕动的特点比较容易识别。对于完全或是不完全的断裂,首先应使两断端保持足够长度,平行长轴切开输尿管,置入导管进入膀胱并固定,用可吸收线作单排全层间断缝合。
5) 腹膜穿孔:
穿孔主要发生在膈下。手术中应尽可能地将腹膜推至旁边。可以行连续缝合修补穿孔。
6) 腹壁神经支配异常:
躯干前侧的肌肉受胸神经前支的感觉和运动神经支配,应根据神经的分布情况决定必要的切口,避免腹壁疝的形成。
7) 下腹部神经丛损伤:
在处理大血管时可能会损伤这些神经丛,可以导致逆行射精。
8) 错误估计病变节段:
由于解剖上的个体差异,错误估计节段的情况时有发生,所以术中透视及术后影像学的复查是绝对必要的。
(2) 椎管减压相关的并发症
1) 神经损伤:
在脊髓和脊髓圆锥水平发生神经损伤的风险要大于马尾水平。损伤的原因大多是技术上的错误,但有少数病例的病因不清。神经损伤的风险可以通过以下的方法避免:①用磨钻和刮匙谨慎的处理椎体的后壁;②入路应选择在狭窄程度相对较轻的节段;③操作时应尽可能远离椎管,避免神经结构受压。
2) 椎管减压不完全:
术后需要进行CT复查。对于术后仍存在椎管狭窄的病例,应根据其具体情况决定是否需要再次手术修正。
3) 硬脊膜撕裂:
其发生率为4%~10%。可以行连续缝合修补。当撕裂的范围较长时,应行椎板切除术使撕裂完全暴露。如果裂口没有完全缝合,应把肌肉组织缝合到该区域,并使用生物蛋白胶。胸椎节段的持续性脑脊液瘘需要引流数日。
4) 器械操作和稳定性相关的并发症:
椎弓根螺钉置入位置偏差或错误,术后松动或断裂等。
5) 感染:
其发生率在2%左右。手术切口感染常导致切口延迟愈合或不愈合,必要时需进行清创处理,而深部感染若累及到内固定物,在清创时要考虑取出内固定物以控制感染。髂骨取骨处也有发生感染的可能。术后肺部感染和泌尿系统感染也比较常见。这与患者术后长时间卧床有关,特别是前路术后的患者,会因为术后疼痛和胸壁肌肉损伤而导致呼吸功能受限,增加术后肺部感染的可能,应特别加强术后护理。
6) 下肢深静脉血栓:
其发生率在1%左右。伴有神经损伤的胸腰椎骨折患者,术后下肢深静脉血栓形成的风险更大,这与术后长时间卧床和下肢缺少活动有关。病情较轻的下肢深静脉血栓,若早诊断早治疗,可无明显的后遗症,但病情较重特别是继发了肺动脉栓塞时,可导致患者死亡。
典型病例
病例1 (图3-1-5-7至图3-1-5-10):男性,29岁,坠落伤。ASIA脊髓损伤分级为A。AO 骨折分型为B2.3型。Gaines评分总分7分,选择侧前方入路,T12椎体次全切,钛网置入,T11-L1 Ventrofix内固定。

图3-1-5-7 病例1,AO B2.3型T12骨折
A.正位X线片;B.侧位X线片

图3-1-5-8 病例1
A. CT矢状位;B. MRI矢状位

图3-1-5-9 病例1,CT冠状位示椎管侵占>50%

图3-1-5-10 病例1,T12椎体次全切术后
A.正位;B.侧位
病例2(图3-1-5-11至图3-1-5-14):女性,20岁,车祸伤。ASIA脊髓损伤分级为B,AO 骨折分型为B2.3型。因椎体后壁骨折块向前翻转,为前路手术绝对适应证,行L2椎体次全切,人工椎体置入,L1-L3单棒Ventrofix内固定。

图3-1-5-11 病例2,AO B2.3型L2骨折术前正侧位X线片

图3-1-5-12 病例2,术前MRI示神经严重受压

图3-1-5-13 病例2,CT示椎体后壁骨折块翻转

图3-1-5-14 病例2,前路椎体次全切术后正、侧位X线片
病例3(图3-1-5-15):男性,27岁,坠落伤致T12爆裂骨折。ASIA神经损伤分级为C。AO骨折分类为B1.2.1型。椎体高度丢失<50%,后凸明显,选择后路复位骨折,纠正后凸,Schanz钉内固定。
病例4 (图3-1-5-16至图3-1-5-18):男性,40岁,坠落伤致L3爆裂骨折。马尾神经损伤。AO 骨折分型为A3.2.1型。虽然骨块侵占椎管>50%,但因损伤节段无脊髓结构,选择简单安全的后路L3半椎板切除减压,Schanz钉复位固定,因骨折相对较稳定,复位位置良好未予植骨。

图3-1-5-15 病例3,AO B1.2型骨折
A.术前正位X线片;B.术前侧位X线片;C.术前MRI;D、E.术后正、侧位X线片

图3-1-5-16 病例4,AO A3.2型骨折术前正侧位X线片

图3-1-5-17 病例4,术前CT示椎体爆裂、椎管侵占>50%

图3-1-5-18 病例4,术后X线片示椎体高度完全恢复
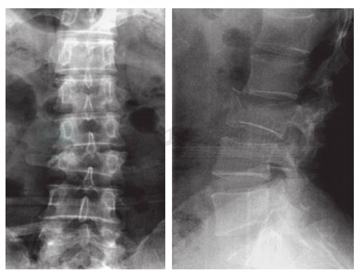
病例5(图3-1-5-19至图3-1-5-21):男性,44岁,重物砸伤。T12骨折,AO骨折分类为B2.2型,ASIA脊髓损伤分级为B。Gaines评分总分=6分,双侧椎板骨折,一期行前后联合入路减压固定。

图3-1-5-19 病例5,AO B2.2型T12骨折术前正、侧位X线片

图3-1-5-20 病例5
A.术前CT矢状位;B.术前CT冠状位;C.术前X线片侧位

图3-1-5-21 病例5,前、后联合术后
A.正位X线片;B.侧位X线片;C. MRI示减压充分,脊髓无压迫
病例6(图3-1-5-22至图3-1-5-25)女性,51岁,骑车跌倒致L2骨折,AO骨折分类为A3.1型,ASIA脊髓损伤分级为D。行后路复位,L1-L3椎弓根定,未减压。因骨折相对较稳定,未予植骨。术后30个月取出内固定,椎体高度无丢失,无后突,脊髓功能完全恢复。

图3-1-5-22 病例6,AO A3.1型L2骨折术前正、侧位X线片

图3-1-5-23 病例6,术后正、侧位X线片示椎体高度完全恢复

图3-1-5-24 病例6
A.术前CT示椎体后壁骨块突入椎管50%;B.术后30个月CT示椎管形态正常

图3-1-5-25 病例6,术后30个月复查正、侧位X线片示椎体高度无丢失