英文名称 :Perilunate dislocation
月骨周围脱位是指桡月、尺月关节正常,月骨周围腕骨背侧或掌侧脱位,以背侧脱位多见,属于复合型腕关节不稳定(CIC)。发生于月骨周围一系列韧带由桡侧向尺侧逐渐损伤之后,即前述的进行性月骨周围不稳定的Mayfield分型中的第Ⅱ期,属于小弧损伤模式。月骨周围脱位为头状骨相对月骨向背侧或掌侧移位,其中以背侧脱位多见,而月骨位置保持正常。
月骨周围脱位通常是高能量创伤的结果,例如从高处跌落、运动相关的损伤或者是机动车交通事故,腕关节过伸、尺偏、内部旋后同时受到轴向应力的直接作用导致。
月骨周围脱位的病理特征包括:月骨周围腕骨脱位、舟月韧带损伤和月三角韧带损伤
1.X线
X线片是主要的检查方法(图1),后前位X线片显示Gilula线中断,腕高减小,近排与远排腕骨重叠,尤其是头状骨与月骨的重叠,腕中关节间隙消失。侧位X线片显示桡骨远端、月骨、头状骨及第3掌骨不再共线,月骨位置正常,其余腕骨通常向背侧或掌侧移位,以背侧移位多见,头状骨近端位于月骨后方。

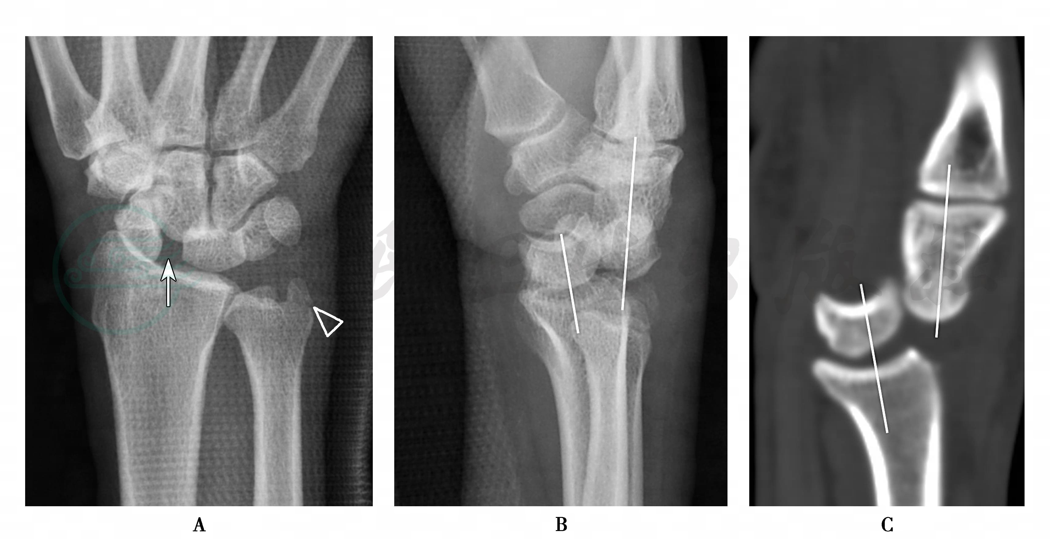
图1月骨周围脱位(背侧)的影像表现
A、B.腕关节后前位及侧位X线片,可见腕关节的外固定影,后前位片显示Gilula线中断,月骨与头状骨、钩骨近端的投影重叠,舟月关节间隙增宽(箭),还可见尺骨茎突骨折(空心箭头),桡骨远端骨质欠规整;侧位片可见月骨与桡骨对位正常,其余腕骨相对月骨向背侧移位。C.矢状位重建的CT图像可以更清晰地显示月骨周围脱位
引自:腕和手运动损伤影像诊断.第1版.ISBN:978-7-117-32771-8.主编:
2.CT检查
CT检查对骨骼病变的检测优于X线片,CT冠状面重建图像上可见Gilula线中断,近排腕骨与远排腕骨失去正常对应关系,通常是头状骨向背侧脱位。但桡月关系保持正常;矢状面重建可见桡骨、月骨、头状骨构成的纵轴线在头月关节处发生中断,桡月关节对位正常,月骨远端关节凹空虚,头状骨以向背侧移位多见(图 1C)。
3.MRI检查
对于月骨周围脱位的诊断,很少使用MRI检查。
首先要矫正脱位及恢复桡骨远端、月骨与周围腕骨间的正常解剖关系;然后矫正骨折移位、舟月骨或月三角骨分离。脱位矫正后,舟月骨分离或月三角骨分离可依然存在并可能变得更加明显,需加以整复,彻底消除妨碍关节功能恢复的不利因素。
(1) 月骨周围背侧脱位
1) 闭合复位外固定:闭合复位在关节明显肿胀之前容易获得成功。
2) 闭合复位经皮穿针固定:由于外固定不能彻底消除舟月骨分离及骨折移位复发的可能性,因此,在闭合复位成功后可先经皮穿针固定舟头骨、舟月骨以及远、近侧骨折段,然后再用石膏托作外固定,以阻止分离及移位的复发。6~8周后拔针进行功能锻炼。
3) 切开复位克氏针内固定:适用于复位失败者或陈旧性的脱位、移位折和舟月骨分离。
月骨周围脱位,通常采用背侧S形或纵向弧形切口,如复位困难或修复韧带还需作掌侧切口。在牵引下矫正脱位、舟月骨分离、DISI和骨折移位,然后穿针于舟月骨、舟头骨及月二角骨作固定,修复切开和撕裂的背侧关节囊及韧带。术后,用长臂石膏托将腕关节固定于屈曲位或中立位,2周后拆线,6~8周后拔针开始功能锻炼。
经桡骨茎突月骨周围骨折-脱位,多采用横行或S形切口。茎突骨折多为粉碎性骨折,但无需特殊处理。如骨折块较大并有移位,可在复位后作克氏针内固定。
经舟骨月骨周围骨折-脱位,脱位与骨折移位并存者可用背侧入路,如脱位已矫正、仅存骨折移位,可采用掌侧入路。植骨与否,可根据掌侧骨质缺损程度以及损伤时限而定。术后固定同闭合复位。
就陈旧性脱位/骨折-脱位的切开复位而言,复位前彻底清除关节腔内肉芽组织、松解背侧关节囊及瘢痕组织,复位后仔细地修复背侧关节囊(韧带)和腕背伸肌支持带,是获得成功的关键。
4) 腕中关节融合:适用于陈旧脱位或软骨损伤严重者。术后关节运动幅度虽有所降低,但疼痛消失、腕关节仍可保持原有的高度。
5) 近排腕骨切除:适应证与腕中关节融合相同、术后虽也可保留部分运动度,但关节高度有所减少,手的握力明显降低、此术所需的固定时间较短,因而不能耐受长期固定的老年人宜选用此法。
6) 全腕关节融合:当腕骨或关节软骨广泛破坏时可作全腕关节融合,用牺牲运动来换取疼痛症状的缓解和消失。
(2) 月骨周围掌侧脱位:
闭合复位的难度大于背侧,通常需要作切开复位。



