英文名称 :congenital pulmonary cysts
先天性肺囊肿(congenital pulmonary cysts),在儿童并不少见,也可见于新生儿。其发生机制一般认为是在胚胎发育过程中一段支气管从主支气管芽分隔出,其远端支气管分泌的黏液聚积而成。如只一支气管芽隔断,即形成一孤立性囊肿,若几个支气管芽同时隔断,即形成多发性囊肿。支气管源性囊肿多位于纵隔,肺泡源性肺囊肿则多位于肺周围部分,位于肺实质内。
囊肿的分布70%在肺内,30%在纵隔,2/3在下叶,两肺发生率相等,囊肿可以单个或多个。首都医科大学附属北京儿童医院在1960—1980年共收治128例,其中约90%为单发,可分为支气管源性、肺泡源性和混合型三种。约5%合并其他肺畸形,最常见为隔离肺;1979—1994年收治的先天性肺囊肿64例中,支气管源性 85.2%,肺泡源性 6.6%,混合性8.2%。囊肿壁结构有很大不同,可呈支气管、细支气管或肺泡之结构,支气管囊肿之囊肿壁由支气管壁的组织组成,内层为柱状上皮细胞及假复层纤毛上皮,外层为弹力性组织。常有肌纤维,黏液腺或软骨。一般囊肿不与支气管相通。肺泡性肺囊肿则多无肌纤维,囊腔内充满黏液,逐渐膨胀后可向支气管破溃,和支气管沟通,此时囊肿内同时存在液体和空气。肺泡性肺囊肿较少见,多为含气囊肿,可占一大叶。肺囊肿可分孤立性和多发性,多发性亦局限于一个肺叶内。
1.胸部X线检查
孤立性液性囊肿呈一界限清晰的圆形致密阴影。孤立性含气囊肿呈一圆形或椭圆形薄壁的透亮空洞阴影,大者可占据半个胸腔。其周围肺组织无浸润,可见正常含气的肺或无气的肺不张阴影。如囊肿与支气管沟通,则可见薄壁而含有气液平面的囊肿影(图1)。如系多发性囊肿,可见多个环形空腔或蜂窝状阴影分布在一个肺叶内。支气管造影可以确定囊肿病变范围和位置。CT对于判断囊肿的部位、大小及邻近脏器的关系有帮助。大泡性囊肿与气胸的鉴别可作增强CT扫描,前者可见到肺血管影。血管造影有助于鉴别隔离肺。如肺囊肿位于后纵隔,出现食管压迫症状,吞咽困难时需作钡餐检查以了解肿物与食管的关系,并可鉴别膈疝。

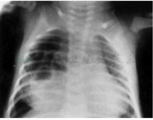
图1 肺囊肿
患儿,男,1个月。因咳嗽1周伴喘憋,右中叶多房性肺囊肿继发感染;2.5月+时手术证实囊肿大小7cm×5cm×4cm。X线显示右第3~6前肋前可见巨大多房性囊性肿物,其中有气液面及分隔薄壁。
2.B超检查
对于区分肺内、胸膜病变,气体、囊性、实性病变有一定作用,但对肺脓肿、囊性腺瘤等需要更进一步的鉴别。
3.支气管镜检查
在出现咯血时,支气管镜可了解黏膜的情况,查清出血部位,除外支气管肿瘤。
应在控制感染及准备输血的情况下手术治疗,不论年龄大小,均可做手术。如果迁延不做手术,容易发生反复感染,以致严重胸膜粘连。肺叶边缘的囊肿可作囊肿剥离术;肺叶中部的囊肿则需做肺叶切除术,一般效果良好。国内有对先天性肺囊肿进行肺叶切除术的11例患儿1~10年的随访,显示其肺功能均正常。



