英文名称 :tuberculosis of epididymis
附睾结核(epididymal tuberculosis)是男性生殖系结核的代表。来自前列腺、精囊和输精管的感染,病变一般从附睾尾部开始,呈干酪样变、脓肿或纤维化,逐渐发展到整个附睾,甚至延及睾丸,与阴囊粘连外穿形成窦道。少数附睾结核经血行感染,病变多从附睾头部开始(图1)。

图1附睾结核呈干酪样变
引自:实用结核外科学.第1版.ISBN:978-7-117-33792-2.主编:
附睾结核主要由血行感染引起,可伴有泌尿系统结核,也可独立存在。结核分枝杆菌通过血源性扩散到达附睾,在附睾上皮内形成结核结节,引起慢性炎症反应,随后导致附睾管纤维化并可能使管腔闭塞。附睾结核病变多在附睾尾部,并可累及输精管,导致输精管增粗呈串珠状。
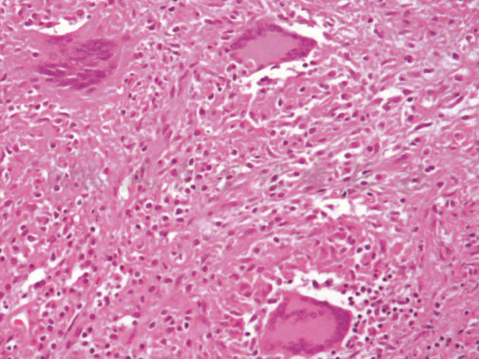
附睾及睾丸结核镜下的主要病理学改变主要为肉芽肿、干酪样变和纤维化。附睾结核时可见附睾肿大,切面见散在或融合性灰黄色干酪样坏死灶,大小不规则的干酪样坏死灶围绕以结核性肉芽组织。附睾的干酪样变蔓延至附睾外,与阴囊粘连,形成寒性脓肿,破溃形成窦道。附睾结核可蔓延至睾丸,引起睾丸结核。结核结节在生精小管上皮内以及睾丸的结缔组织隔膜内形成(图2)。受累的睾丸组织最终被干酪样物质和纤维化所取代。睾丸固有膜受累时,可有炎性渗出液。

图2睾丸结核的病理组织学表现
引自:现代泌尿外科学.第1版.ISBN:978-7-117-33548-5.主编:
根据典型的病史和局部检查所见,即可获得正确诊断。凡疑似附睾结核的患者,均应做全面的泌尿系统检查,首先确定有无肾结核的存在。附睾结核应与淋菌性或非特异性附睾炎相鉴别。鉴别诊断应根据病历、局部检查所见和细菌学检查。结核性附睾炎的患者无淋病病史,病变发展较慢,输精管往往有串珠状的结节。如果有肾结核的病象或阴囊部窦道,则诊断更为明确。淋菌性附睾炎有淋病的历史,开始时呈急性过程,局部红肿疼痛,尿道分泌物中可查出细胞内的革兰氏阴性双球菌。非特异性附睾炎常伴有前列腺精囊炎或尿道炎,输精管不形成串珠状硬结,亦不发生阴囊窦道。
附睾及睾丸结核药物治疗效果较好,早期附睾结核药物治疗可治愈,免于手术治疗。抗结核药物治疗遵循五项原则:早期、联用、适量、规律、全程使用敏感药物。推荐方案:标准短程方案2HRZ/4HR:前2个月为强化阶段,服用异烟肼300mg/d、利福平450mg/d、吡嗪酰胺1500mg/d;后4个月为巩固阶段,口服异烟肼和利福平。如果药物治疗效果不明显,局部干酪样坏死严重,病变较大伴有脓肿形成,可行附睾切除术。睾丸正常者术中尽量保留睾丸,累及睾丸者需同时行睾丸、附睾切除。围手术期必须应用抗结核药物,一般建议手术前用药至少2周以上,待血沉、病情稳定后手术治疗,手术后继续用抗结核药物3个月以上。



