基本信息
英文名称 :psittacosis
作者
杨永弘;刘钢
病原学
鹦鹉热(psittacosis)系由鹦鹉热衣原体(Chlamydia psittaci,CPs)(图 1、图 2)所致的人兽共患感染病,传染源包括鹦鹉科鸟类、禽类。人类感染CPs大多为偶然吸入鸟类排泄物或接触携带病原体鸟类所致,然而,流行病学调查显示仍有约20%患者未查到与鸟类的接触史,人与人之间通过呼吸道传播极为罕见。CPs具有独特的病原学特点,在宿主细胞质的空泡内增生,具有特异性包涵体,其内不含糖原,形状不规则,广泛散在于细胞质内,不压迫细胞核,不能被碘染色,对磺胺药有抵抗。

图1CPs电镜下RB
注:a.突出特点是偏心的、电子致密DNA核(n),它紧贴衣原体组蛋白;EB基质中有颗粒状物(c);b.显示CPs呈轴对称;c.CPs边缘着色浅、中间深,使得其成花环状;d.CPs冰冻蚀刻图;e.CT冰冻蚀刻图,呈EB表面呈花环状

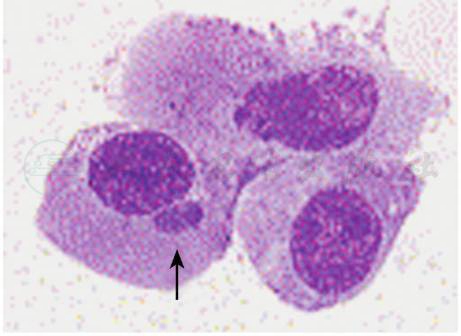
图2上皮细胞内的CPs(箭头所指),EB聚集于细胞之中(染成灰紫色)
此内容为收费内容
治疗
鹦鹉热治疗首选四环素类抗生素口服,其能较好的通过血-脑屏障,用法为500mg,每日4次,10~21日为一疗程。早期诊断并及时治疗可阻止病情发展。一般服药48~72小时内即可控制症状。未经治疗的鹦鹉热病例可持续发热或呈弛张热10~21日,少数可长达3个月,可给予四环素口服,重症病例可静脉给药,酌加肾上腺皮质激素。红霉素、罗红霉素、阿奇霉素、甲红霉素及新氟喹诺酮类药物等亦有确切疗效。治疗的主要目的为减少本病复发。
概述
鹦鹉热(psittacosis)系由鹦鹉热衣原体(Chlamydia psittaci,CPs)(图 1、图 2)所致的人兽共患感染病,传染源包括鹦鹉科鸟类、禽类。人类感
来源
实用传染病学,第4版,978-7-117-21942-6,2017.02



