英文名称 :meconium aspiration syndrome
胎粪吸入综合征(meconium aspiration syndrome,MAS)是由于新生儿在出生过程中吸入被胎粪污染的羊水,发生气道阻塞、肺部炎症及一系列全身病理生理变化所致的综合征。MAS多见于足月儿和过期产儿,常有胎儿窘迫、产程延长、胎盘功能不全、难产等高危分娩病史。近年来,由于产前预防和产房复苏技术的普及,MAS发生率已明显下降,但在基层地区,发生率和病死率仍较高。
主要原因为胎儿窘迫和出生时窒息,常见于胎盘早剥、脐带脱垂、臀位产等异常分娩。胎儿因缺氧发生肠壁痉挛、肛门括约肌松弛,使胎粪排出,羊水被胎粪污染。低氧血症又刺激胎儿呼吸中枢,出现喘息样呼吸而吸入被胎粪污染的羊水。胎粪吸入主要发生在分娩过程中胎儿喘息或深吸气时。
胎粪吸入后肺及全身各脏器可发生一系列病理与病理生理变化。
1.气道阻塞
胎粪吸入使气道发生机械性阻塞,气道炎症发生充血水肿,加重气道阻塞,不完全性阻塞时胎粪呈活瓣样,发生肺气肿,严重者发生气漏。完全阻塞则发生肺不张。
2.炎症反应
胎粪含有脂肪酸、胆固醇、脱落细胞等,可刺激气道和肺泡发生炎症反应,胎粪吸入后24~48小时炎症反应最为严重。在炎症反应过程中,炎症细胞大量浸润,释放大量炎性介质,如白介素1、6、8,肿瘤坏死因子,血小板活化因子等,炎症反应破坏气道和肺泡上皮细胞,使肺泡毛细血管通透性增加,造成肺水肿,血浆物质如白蛋白、纤维蛋白原、蛋白溶解酶等大量渗出,2~3天后,这些物质可形成肺透明膜,加重肺损伤。同时肺血管广泛性坏死、出血、微血栓形成。
3.肺表面活性物质被破坏
由于胎粪的直接损害作用、炎症介质和血浆渗出物的抑制作用,使肺表面活性物质的合成、分泌及活性严重受损,导致肺泡萎陷和肺透明膜形成,进一步加重肺损伤。
4.合并急性呼吸窘迫综合征(ARDS)
由于气道和肺泡严重炎症反应、炎症介质的作用、肺表面活性物质受损伤、肺水肿、渗出等,重症胎粪吸入综合征易并发ARDS。
5.合并持续性肺动脉高压(PPHN)
由于低氧血症、酸中毒导致肺血管痉挛,容易发生持续性肺动脉高压,右向左分流,加重缺氧。
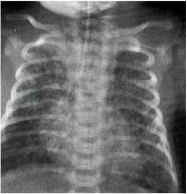
1.肺部X线表现
按严重程度可分为三型。轻度:主要表现为肺纹理增粗、斑点斑片状渗出影、肺气肿。中度:主要表现为肺气肿和肺泡渗出,可见颗粒状、片状、团块状、结节状阴影,渗出影密度较高,有些病例见节段性肺不张,以肺气肿为主者,肺透亮度明显增高,心影缩小。重度:两肺颗粒、斑片或团块状影更加广泛,伴严重肺气肿,发生气漏综合征,可见气胸、纵隔气肿(图1)。肺部X线改变常在7~10天逐渐好转,但有时会持续数周。

图1 胎粪吸入综合征胸片表现
肺纹理增多增粗,两肺过度膨胀,膈面压低,可见斑片状渗出影与过度膨胀区间隔现象。
2.血气分析
对MAS患者,应及时做血气分析,常表现为低氧血症、高碳酸血症、酸中毒。
维持最佳通气和氧合,积极纠正低氧血症和高碳酸血症。
1.清理呼吸道
对羊水被胎粪污染者,应在新生儿娩出后,迅速吸净口腔、鼻咽部分泌物,必要时气管插管吸清气管内分泌物。在气道未清理之前,不行正压通气。
2.氧疗和无创通气
对轻度MAS出现呼吸困难者,可先使用头罩吸氧。如FiO2>0.4时,可使用持续气道正压通气(CPAP),对阻塞性通气障碍或肺气肿患者须谨慎应用或不用CPAP。
3.机械通气
如呼吸困难比较严重,头罩吸氧或CPAP不能改善者,应尽早改用机械通气,对没有严重合并症者可先使用常频机械通气,呼吸机参数调节要根据病情不同个体化,如胸片以肺气肿为主或血气分析PaCO2较高时,则吸气峰压较低,15~20cmH2O即可,PEEP 4~5cmH2O,频率宜快,有利于CO2排出。如胸片以渗出、肺不张为主,可提高吸气峰压,20~25cmH2O,PEEP 5~6cmH2O。如病情加重,合并气漏、RDS、PPHN或常频机械通气疗效不理想,可改用高频机械通气。
4.肺表面活性物质治疗
研究显示,对重症MAS使用肺表面活性物质可改善病情,如影像学提示肺实质出现类似 RDS表现,呼吸机参数FiO2>0.5或 MAP>12cmH2O时可考虑使用肺表面活性物质[4]。
5.吸入一氧化氮(iNO)治疗
如合并严重PPHN发生低氧性呼吸衰竭,使用iNO治疗,NO选择性扩张肺血管,降低肺动脉压力,改善PPHN。如没有iNO条件,可使用西地那非,为磷酸二酯酶5型抑制剂,降低肺血管阻力。
6.体外膜氧合器(ECMO)
对重症MAS患者,在机械通气和iNO等治疗效果不理想,可使用ECMO治疗。
7.其他治疗
抗感染,维持血压稳定,保持水电解质平衡,纠正酸中毒。



